Теносиновиальная гигантоклеточная опухоль

Теносиновиальная гигантоклеточная опухоль (ТГО, пигментный виллонодулярный синовит) — это редкое заболевание, представляющее собой доброкачественное новообразование, поражающее синовиальную оболочку сустава или сухожильное влагалище. Частота встречаемости ТГО составляет1 случай на 1,8 миллиона человек в год, чаще от этого заболевания страдают женщины. Наиболее часто повреждаются коленный сустав, пальцы рук, пальцы ног; редко — тазобедренный, локтевой, плечевой, лучезапястный суставы[3].

Общие сведения
Теносиновиальная гигантоклеточная опухоль
МКБ-11 XH0HZ1
МКБ-10 D21
МКБ-9 727.02
МКБ-9-КМ 727.02[1][2] и 727.89[2]
МКБ-О 9252/0
MeSH D000070779

Классификация

В зависимости от локализации опухоли выделяются два подтипа ТГО: внутрисуставная и внесуставная. На основании характера роста опухоли выделяют локализованную и диффузную теносиновиальную опухоли. Локализованная и диффузные подтипы ТГО различаются по своему прогнозу, клинической картине и биологическому поведению, но имеют сходный характер развития заболевания[3][4].

Локализованная ТГО

undefined

Локализованную ТГО раньше локализованным пигментным виллонодулярным синовитом (Л-ПВНС), локализованным пигментным ворсинчато-узловатым синовитом, гигантоклеточной опухолью сухожильного влагалища, узловатым тендовагинитом, синовиоэндотелиомой[3][5].

Локализованная форма ТГО встречается чаще диффузной. Локализованные опухоли обычно имеют размер 0,5-4 см, развиваются в течение многих лет. Они являются доброкачественными и неопасными для окружающих тканей. Эти опухоли могут рецидивировать в поражённой области. Наиболее распространённым симптомом является безболезненный отёк. Локализованная ТГО чаще всего возникает в пальцах рук, но может поражать и другие суставы[3][4].

Диффузная ТГО

undefined


Диффузную ТГО раньше называли пигментированным ворсинчато-узловатым синовитом (ПВНС), также используется аббревиатура Д-ТГО[6].

Диффузная ТГО встречается реже и является локально агрессивной (в некоторых случаях опухоли могут проникать в окружающие мягкие ткани)[7]. Чаще всего Д-ТГО поражает людей в возрасте до 40 лет, хотя возраст возникновения может быть разным. Диффузная ТГО может возникать внутри сустава (внутрисуставная опухоль) или вне сустава (внесуставная опухоль). Внутрисуставные опухоли обычно возникают в коленном суставе (примерно в 75 % случаев) и тазобедренном суставе (примерно в 15 % случаев). Внесуставные опухоли обычно обнаруживаются в колене, бедре и стопе. Среди симптомов отёк, боль, повышенная чувствительность и/или ограниченный диапазон движений. Частота рецидивов, по оценкам, составляет 18-46 % для внутрисуставных опухолей и 33-50 % для внесуставных опухолей[3].

Патогенез

Теносиновиальные гигантоклеточные опухоли растут из-за сверхэкспрессии гена колониестимулирующего фактора 1. Это приводит к накоплению клеток-носителей рецептора колониестимулирующего фактора-1 (CSF1R) в суставной ткани[8][9].

Эпидемиология

Исследование, проведённое в Нидерландах, показало, что во всем мире заболеваемость ТГО составляет 43 случая на миллион человеко-лет. Большинство из них, 39 случаев на миллион человеко-лет, приходились на долю локализованной ТГО; остальные 4 случая на миллион человеко-лет относились к диффузной ТГО[4]. ТГО может возникать у пациентов любого возраста, однако локализованная ТГО обычно обнаруживается у пациентов в возрасте от 30 до 50 лет, в то время как диффузная ТГО, как правило, поражает людей в возрасте до 40 лет[3].

Диагностика

Клиническая картина

Диагностика теносиновиальной гигантоклеточной опухоли представляет собой сложный процесс, поскольку опухоль не имеет характерных признаков. При клиническом осмотре пациента обнаруживается опухолевидное образование, которое обычно мягкое на ощупь, ограниченно подвижное и не спаянное с окружающими тканями. Образование не вызывает острого воспаления, а сосудистый рисунок над ним обычно не изменён[10].

При локализованной форме опухоль более плотная и чётко ограниченная, а при диффузной форме она становится тестообразной и мягкой, с размытой границей перехода к здоровым тканям. Хотя опухоль может достигать значительных размеров, функция коленного и голеностопного суставов обычно не страдает. Однако в тазобедренном, плечевом и локтевом суставах контрактура и болевой синдром являются ведущими клиническими признаками[10].

Инструментальные исследования

ТГО может быть диагностирована с помощью магнитно-резонансной томографии (МРТ), гистологического исследования биоптата или во время хирургического вмешательства[11][12]. Это заболевание трудно поддаётся диагностике и часто не диагностируется в течение многих лет из-за неспецифических симптомов или их общего отсутствия[13]. Одно исследование, проведённое с участием 122 пациентов с диффузной ТГО, показало, что средняя задержка в постановке диагноза составила 2,9 года[14].

Для идентификации или мониторинга с помощью МРТ минимальные технические требования включают в себя Т1-взвешенные изображения, Т2-взвешенные изображения и последовательность, чувствительную к жидкости[15].

Дифференциальная диагностика

Случаи ТГО часто ошибочно диагностируются как остеоартрит[16], локализованная травма[17], спортивные травмы[18][19], ксантомы[20], или другие состояния[21].

Осложнения

Диффузная ТГО является локально агрессивной и может распространяться на окружающие ткани, вызывая эрозию костей и повреждение тканей. Если не лечить Д-ТГО на ранней стадии, опухоль может распространиться на участки вне сустава и потенциально привести к необратимой потере подвижности, а также вызывать сильную боль[22].

Лечение

Хирургическое вмешательство

Основным методом лечения теносиновиальной гигантоклеточной опухоли является хирургическое вмешательство. При локализованной форме опухоли новообразование удаляют в пределах здоровых тканей, чтобы избежать повреждения окружающих структур. Открытые операции предпочтительны, поскольку они позволяют полностью удалить опухоль без её повреждения[23].

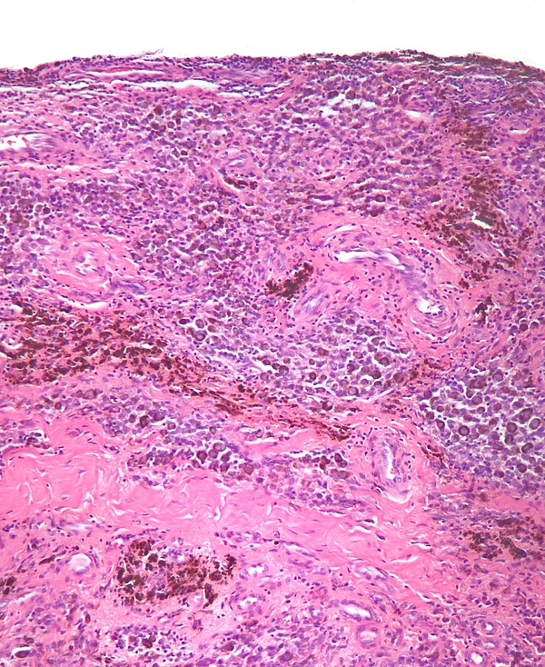
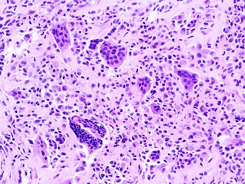
После удаления опухоли все патологические ткани направляются на морфологическое исследование. Микроскопическая картина опухоли характеризуется обилием гемосидерина, скоплениями гигантских многоядерных клеток и гиперплазией прилежащей синовиальной оболочки. Кроме того, в опухоли встречаются гистиоцитоподобные клетки, синовиальные фибробласты, лимфоциты и мелкие кровеносные сосуды разного калибра[3].

Несмотря на тотальную синовакапсулэктомию, вероятность рецидива заболевания значительна и достигает 56 % при диффузной форме заболевания. Это часто требует повторных оперативных вмешательств. В случаях рецидивирующего или резистентного заболевания может потребоваться многократное хирургическое вмешательство, тотальное эндопротезирование сустава или ампутация[24].

Консервативное лечение

В дополнении к хирургическому вмешательству для пациентов, страдающих рецидивирующими ТГО, были разработаны препараты[25]. В частности, ингибиторы CSF1R, считающиеся стандартным методом лечения ТГО, появились в конце 2010-х годов. Ингибитор CSF-1R Пексидартиниб, лекарственный препарат для приёма внутрь, используется для уменьшения роста опухоли, но только в случае тяжёлых симптомов, которые не облегчаются хирургическим вмешательством. Пексидартиниб — единственный одобренный препарат, но он доступен лишь в немногих странах[26]. Другие ингибиторы CSF1R, такие как иматиниб, нилотиниб и вимселтиниб, продемонстрировали активность при ТГО, вызывая значительное уменьшение размеров опухоли, а также симптоматическое и функциональное улучшение[27][28]. Вимсельтиниб (Ромвимза) был одобрен для медицинского применения в Соединённых Штатах в феврале 2025 года[29]. Моноклональные антитела к CSF1, такие как эмактузумаб и кабирализумаб, также показали многообещающие результаты[30].

Примечания