Тендинит ахиллова сухожилия


Тендинит ахиллова сухожилия (ахиллова тендинопатия, ахиллотендинит) — это заболевание ахиллова сухожилия, сопровождающееся изменениями в структуре и механических свойствах сухожилия. Наиболее распространёнными симптомами являются боль и припухлость в области задней поверхности лодыжки. Обычно боль усиливается в начале тренировки и уменьшается после неё. Также может наблюдаться скованность в голеностопном суставе. Это заболевание может возникнуть у людей, ведущих активный образ жизни, включая спортсменов, а также у тех, кто предпочитает сидячий образ жизни. В результате ахилловой тендинопатии могут возникнуть серьёзные нарушения ходьбы и бега[1].

Ахиллова тендинопатия является идиопатической, что означает, что её причина до конца не изучена. Основными причинами принято считать: чрезмерные нагрузки, бег, малоподвижный образ жизни, обувь на высоком каблуке, ревматоидный артрит и лекарства из класса фторхинолонов или стероидов. Диагноз, как правило, ставится на основании симптомов и обследования[2][3][4].

Предлагаемые варианты лечения ахиллесова тендинита имеют ограниченные научные обоснования или вообще не имеют таковых. Упор делается на изменение тренировочных схем: растяжка перед тренировкой, укрепление икроножных мышц, предотвращение перетренированности, корректировка механики бега и подбор обуви[5][6][7]. Лечение симптоматическое и неспецифическое. Применяется холод, нестероидные противовоспалительные средства (НПВП) и физиотерапия. Пациентам, которые не удовлетворены результатами симптоматического лечения, может быть предложено хирургическое вмешательство. Ахиллесов тендинит встречается относительно часто[2].

Общие сведения
Тендинит ахиллова сухожилия
МКБ-11 XA8BK1
МКБ-10 M76.6 и M77.9
МКБ-9 726.71 и 726.90
DiseasesDB 31726
MedlinePlus 001072

Классификация

Различают отдельные виды тендинита ахиллова сухожилия[8]:

Этиология

undefined
undefined


Тендинит ахиллова сухожилия — распространённая травма, особенно среди спортсменов в видах спорта, связанных с выпадами и прыжками. Возникает как сбоку, так и с обеих сторон и часто возникает в результате травмы одной лодыжки. Это также известный побочный эффект фторхинолоновых антибиотиков, таких как ципрофлоксацин, наряду с другими тендинитами[9].

Считается, что тендинит ахиллова сухожилия может быть вызван физиологическими, механическими или внешними причинами (например, обувью или режимом тренировок). Ахиллово сухожилие, как правило, плохо снабжается кровью по всей своей длине — такой вывод можно сделать по количеству сосудов на площадь поперечного сечения. Кровоснабжение осуществляется через окружающие его синовиальные оболочки[10]. Недостаток кровоснабжения может привести к разрушению коллагеновых волокон и воспалению[11]. Известно также, что напряжение в икроножных мышцах связано с возникновением тендинита ахиллова сухожилия[12].

Во время фазы нагрузки в цикле бега и ходьбы происходят естественная пронация и супинация лодыжки и стопы примерно на 5 градусов. Чрезмерная пронация стопы (более 5 градусов) в подтаранном суставе — это своего рода механический механизм, который может привести к тендиниту[12][13].

Травма от чрезмерной нагрузки связана с повторяющимся стрессом и перенапряжением, что, вероятно, имеет место у бегунов на длинные дистанции. Перенапряжение может быть вызвано преждевременным увеличением интенсивности бега, прыжков или плиометрических упражнений. Другим фактором может быть использование неподходящей или поношенной обуви, в которой отсутствует необходимая опора для поддержания естественной/нормальной пронации стопы[14][15].

Патогенез

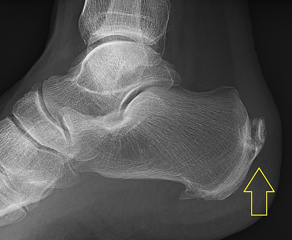
Гистопатологические исследования показали, что тендинит ахиллова сухожилия является результатом неадекватной реакции заживления и сопутствующей неоваскуляризации, приводящей к дегенеративным изменениям сухожилия. Кроме того, в случаях инсерционной ахиллопатии часто сопутствуют многочисленные дополнительные нарушения, такие как кальцификация сухожилия, воспаление ретрокалькулярной сумки и тендиноз, а также разрастание костей, известное как деформация Хаглунда[16].

Эпидемиология

Распространённость тендинита ахиллова сухожилия различается в зависимости от возраста и профессиональной деятельности пациентов. Тендинит ахиллова сухожилия чаще всего встречается у людей в возрасте 30-40 лет[17]. Восприимчивы бегуны, а также все, кто занимается любым видом спорта, и мужчины в возрасте 30-39 лет[18].

Частота впервые выявленного тендинита ахиллова сухожилия среди бегунов-любителей составила 4,2%. Доля инсерционного и тендинита ахиллова сухожилия средней части составила 27,7% и 63,8% соответственно.Факторы риска различались для инсерционного и АТ средней части, но клинически значимых различий между этими двумя подтипами выявлено не было[19].

Диагностика

undefined


Тендинит ахиллова сухожилия обычно диагностируется на основании анамнеза и физикального осмотра сухожилия. Проекционная рентгенография показывает отложения кальция в сухожилии в месте его прикрепления к пяточной кости примерно в 60 процентах случаев. При помощи магнитно-резонансной томографии (МРТ) можно определить степень дегенерации сухожилий и выявить дифференциальные диагнозы, такие как бурсит[4].

Клиническая картина

Симптомы могут варьироваться от боли и припухлости в области одной или обеих лодыжек до жжения, распространяющегося по всему суставу. При этом заболевании боль обычно усиливается во время и после физической нагрузки, а на следующий день может появиться скованность сухожилия и области сустава, так как отёк препятствует движению сухожилия[20].

Повреждения ахиллова сухожилия можно разделить на инсерционную тендинопатию (20-25 % травм), тендинопатию средней части (55-65 %) и повреждения проксимального мышечно-сухожильного соединения (9-25 %) в зависимости от локализации боли[21].

Клинические тесты

Обследование проводят в положении стоя и лёжа на животе на предмет специфических клинических признаков локализованной боли, очаговой или диффузной чувствительности, отёка, скованности и выраженной жёсткости в ахилловом сухожилии. Клинические тесты включают[20]:

Знак дуги: припухлость или узелки внутри сухожилия пальпируются, при движении голеностопного сустава в подошвенном и тыльном сгибании. Положительный знак дуги наблюдается, когда припухлость или узелки перемещаются в диапазоне движения. В случаях паратендинопатии область максимального утолщения остаётся фиксированной в одном положении.

Тест Royal London Hospital: точка максимальной болезненности пальпируется, когда голеностоп находится в нейтральном положении. Затем пациенту предлагается активно сгибать голеностопный сустав в тыльном и подошвенном направлениях. Предыдущая область максимальной болезненности снова пальпируется, когда голеностопный сустав находится в максимальном подошвенном и тыльном сгибании. Тендинопатия присутствует, когда болезненность значительно уменьшается или исчезает, когда сухожилие находится под напряжением[20].

Инструментальные исследования

  • Боковая и аксиальная рентгенограммы пяточной кости: эти исследования визуализации могут выявить кальцификаты в проксимальном расширении прикрепления сухожилия или костные выступы в верхней части пяточной кости. Кроме того, рентгенограммы полезны для исключения патологических опухолей костей[22].
  • Ультразвуковое исследование: это ценный инструмент для оценки повреждений сухожилий и оценки риска тендинопатии и разрыва. При помощи УЗИ можно обнаружить увеличение толщины ахиллова сухожилия, гиперемию, связанную с гиперваскуляризацией, уменьшение угла вращения икроножной-камбаловидной мышцы и уменьшение длины жировой прослойки Кагера. Помимо того, что он легко доступен с большим объёмом ткани, ахиллово сухожилие можно динамически оценить по его диапазону движения с помощью ультразвука[23].
    • Инсерционная ахиллова тендинопатия: гипоэхогенная область и потеря фибриллярного вида в дистальной трети сухожилия[8].
    • Неинсерционная ахиллова тендинопатия: очаговое или диффузное утолщение средней и проксимальной части сухожилия; также содержит гипоэхогенные области с потерей компактного линейного фибриллярного вида[8].
  • Магнитно-резонансная томография (МРТ): этот метод визуализации предоставляет исчерпывающую информацию о состоянии структур суставов, позволяя проводить исследования в нескольких плоскостях и в статических и динамических проекциях. Нормальное ахиллово сухожилие имеет толщину менее 7 мм спереди назад на сагиттальной МРТ. Увеличенные измерения указывают на хроническую внутрисубстанционную тендинопатию и дегенерацию[24]. Одно исследование показало, что МРТ имеет более низкую чувствительность, чем ультразвук, при обнаружении ранних изменений энтезопатии[25]. Однако другое исследование продемонстрировало отличное соответствие между измерениями толщины сухожилия, полученными с помощью магнитного резонанса и ультразвука[26].
    • Инсерционная ахиллова тендинопатия: утолщение сухожилия дистально с интенсивным сигналом при визуализации в режиме жироподавления[8].
    • Неинсерционная ахиллова тендинопатия: утолщение средней и проксимальной части сухожилия с гетерогенной сигнализацией на изображениях T1 и T2[8].
  • Компьютерная томография (КТ): КТ полезна для исключения трабекулярных структурных изменений пяточной кости при патологии ахиллова сухожилия в месте прикрепления. Однако она подвергает пациента воздействию радиации[27].

Лечение

Лечение обычно включает в себя отдых, лёд, нестероидные противовоспалительные средства (НПВП) и физиотерапию. Подпяточник[28] или ортопедические изделия[29] также могут быть полезны. Упражнения с валиком могут увеличить амплитуду движений, но есть лишь слабые доказательства в пользу прямого воздействия на скованность[30]. Другие виды поддержки: эксцентрические упражнения, направленное на укрепление сухожилий.

  • Ношение ботинка или повязки[30].
  • Предварительные данные свидетельствуют в пользу применения экстракорпоральной ударно-волновой терапии[31].

Инъекционная терапия

  • Кортикостероиды. Их использование также может увеличить риск разрыва сухожилия[32].
  • Обогащённая тромбоцитами плазма (PRP)[33][34].
  • Концентрат аспирата костного мозга. Контролирует воспаление, уменьшает фиброз и привлекает теноциты и мезенхимальные клетки в повреждённые ткани. Одно исследование показало, что 92 % пациентов с разрывами ахиллова сухожилия вернулись к спорту примерно через 6 месяцев[23].
  • Мононуклеарные клетки периферической крови: моноциты, макрофаги и лимфоциты.
  • Скаффолды. Cостоят из комбинации натуральных и синтетических материалов. Среди этих вариантов бесклеточный трансплантат, включающий человеческий дермальный аллотрансплантат, показал наиболее многообещающие результаты в исследованиях. В этих исследованиях сообщалось об увеличении возврата к активности без каких-либо сопутствующих осложнений[23].


В большинстве случаев первоначально рекомендуется консервативное лечение, включающее устранение потенциальных причин и симптоматическое лечение. Этот подход включает в себя покой, изменение активности, медикаментозную терапию, ношение ортезов и упражнения, такие как растяжка и укрепление мышц и сухожилий. Экстракорпоральная ударно-волновая терапия и инъекции также являются потенциальными вариантами лечения. Если консервативное лечение неэффективно, хирургическое лечение может быть рассмотрено как минимум через три-шесть месяцев консервативного лечения, в течение которого примерно у 75% пациентов симптомы тендинита ахиллова сухожилия могут полностью исчезнуть[35].

Консервативное лечение

  • Покой и криотерапия: уменьшение воспаления и купирование боли[16]
  • Ортезирование: изменение биомеханики стопы и голеностопного сустава для облегчения боли в пятке
  • Эксцентрические упражнения: рассматриваются как основной подход, дающий положительные краткосрочные и долгосрочные клинические результаты
  • Медикаментозное лечение: НПВП и нутрицевтики для купирования боли и воспаления[35]
  • Внутриочаговые инъекции: кортикостероиды, плазма, обогащенная тромбоцитами (PRP), и сосудистые склерозанты для стимуляции восстановления сухожилий
  • Экстракорпоральная ударно-волновая терапия (ЭУВТ): применяется у пациентов, у которых не удалось добиться удовлетворительных результатов при других консервативных методах лечения

Хирургическое вмешательство

Показания к операции[16]:

  • Симптомы сохраняются, несмотря на консервативное лечение
  • Симптомы значительно ухудшают повседневную активность и качество жизни[35]


Хирургические процедуры

  • Перкутанная тенотомия и дебридмент: малоинвазивная процедура, включающая несколько чрескожных разрезов в пораженной области ахиллова сухожилия под ультразвуковым контролем. Подходит для случаев легкой и средней степени тяжести, а также для пациентов с риском осложнений после ран. Успешные результаты в 67–97% случаев, особенно у спортсменов[36].
  • Открытый дебридмент и декомпрессия: более инвазивная процедура, включающая иссечение пораженного сухожилия и восстановление функции и силы ахиллова сухожилия. Показана для пациентов с умеренной и тяжелой неинсерционной ахиллопатией или инсерционной тендинопатией[36].
  • Рецессия икроножной мышцы: процедура, включающая удлинение икроножной мышцы для устранения напряжения, связанного с развитием тендинита ахиллова сухожилия. Может проводиться как отдельная процедура или в сочетании с другими операциями[35].


Профилактика

undefined

Постоянная физическая активность повышает эластичность и прочность сухожилий, что помогает им лучше справляться с разными уровнями нагрузки.[37]

Часто рекомендуется выполнять растяжку перед началом тренировки, однако фактических подтверждений пользы от этой практики не очень много[5][6]. Профилактика рецидива включает в себя соблюдение соответствующих правил физической активности и ношение обуви на низком каблуке[37]. В случае неправильного положения стоп можно использовать ортопедические стельки для коррекции их положения. Обувь, специально предназначенная для амортизации ударов, может быть использована для сохранения здоровья сухожилия. Травмы ахиллова сухожилия могут быть результатом превышения нагрузки на сухожилие, поэтому важно постепенно адаптироваться к физическим нагрузкам, особенно тем, кто ведёт малоподвижный образ жизни или резко меняет степень нагрузки[38].

Эксцентрические упражнения для укрепления икроножных и камбаловидных мышц используются для повышения прочности сухожилия на растяжение и удлинения мышечно-сухожильного соединения, уменьшая нагрузку, возникающую при движениях в голеностопном суставе. Этот эксцентрический метод тренировки особенно важен для людей с хроническим ахилловым тендинитом, которое классифицируется как дегенерация коллагеновых волокон[39].

Примечания