Эндопротезирование тазобедренного сустава
Эндопротезирование тазобедренного сустава — хирургическая операция, при которой тазобедренный сустав заменяется протезным имплантатом, то есть протезом тазобедренного сустава.
Такая операция по замене сустава обычно проводится для облегчения боли при артрите или при некоторых переломах бедра. Полное эндопротезирование тазобедренного сустава состоит из замены как вертлужной впадины, так и головки бедренной кости, в то время как гемиартропластика обычно заменяет только головку бедра[1].
Замена тазобедренного сустава в настоящее время является одной из наиболее распространенных ортопедических операций, хотя удовлетворенность пациентов в краткосрочной и долгосрочной перспективе сильно варьируется.
Общие сведения
Тазобедренный сустав — самый большой и сильно нагруженный сустав. Он состоит из головки бедренной кости, артикулирующей с вогнутой округлой вертлужной впадиной в кости таза.
Патологические изменения, вызывающие стойкое нарушение функции с болевым синдромом и контрактурой:
• Деформирующий артроз
• Асептический некроз головки бедренной кости
• Диспластический коксартроз
• Переломы и ложные суставы бедренной кости
• Посттравматические деформации вертлужной впадины
• Хронические формы дегенеративно-дистрофических заболеваний (артритов и артрозов)
• Болезнь Бехтерева с поражением тазобедренного сустава
• Несросшиеся переломы шейки бедра
• Анкилоз
Целью тотального эндопротезирования тазобедренного сустава (ТЭТБС) является уменьшение болевого синдрома и восстановление функции сустава. Данная операция является эффективным способом восстановления функции сустава, позволяющий значительно улучшить качество жизни человека.
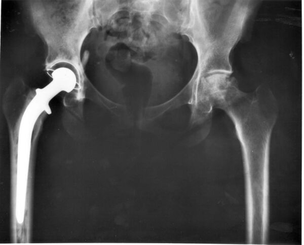
При ТЭТБС заменяется проксимальный отдел бедра и вертлужная впадина. Пораженные участки сустава заменяются на эндопротез, повторяющий анатомическую форму здорового сустава и позволяющий выполнять необходимый объем движений.
В вертлужную впадину имплантируется ацетабулярная чашка. В чашку устанавливается полиэтиленовый или керамический вкладыш. В бедро имплантируется ножка с конусом на шейке для крепления головки эндопротеза.
Типы артропластики
- Общая артропластика, при которой заменяются два компонента сустава.
Частичная артропластика, где заменяется только бедренный компонент.
- Взаимодействующая артропластика, где головка бедренной кости удаляется и удаляется вертлужный хрящ, путем помещения некоторой структуры,заполняющей созданное пространство, которое является средством контакта между двумя костями. Это может быть следующий шаг артропластики путем резекции.
- Артропластика путем резекции, где бедренная головка и вертлужный хрящ удаляются без размещения имплантата или структуры, создавая соединение на основе фиброза и рубцовой ткани, которое является стабильным, подвижным и безболезненным. Он ограничен конкретными показаниями, когда размещение имплантатов невозможно.
- Биполярная артропластика представляет собой особый тип частичной артропластики, где бедренный компонент имеет свою головку внутри чашки, в которой он вращается.
- Цементированная артропластика, в которой компоненты закреплены специальным типом хирургического цемента под названием метилметакрилат.
- Нецементированная артропластика, в которой имплантат прилипает непосредственно к кости.
- Гибридная артропластика — это то, где только один из двух компонентов, обычно бедра, помещается в цемент.
Существуют различные методы фиксации компонентов эндопротеза к кости:
— цементная фиксация — крепление компонентов на костный цемент
— бесцементная/пресс-фит фиксация — первичная механическая фиксация за счет плотного прилегания компонента к кости, вторичная фиксация за счет остеоинтеграции, в процессе которой кость нарастает или врастает в пористую поверхность компонента.
Согласно ведущему Национальному Регистру эндопротезирования суставов Англии, Уэльса, Северной Ирландии и острова Мэн, наибольшей популярностью пользуется бесцементный метод фиксации эндопротеза тазобедренного сустава: 39,1 % всех клинических случаев[2].
Для изготовления современных эндопротезов используются самые передовые и проверенные материалы: керамика, металл и полиэтилен, которые обладают высокой прочностью и хорошей приживаемостью в организме человека.
За последнее десятилетие все ведущие производители представили на рынок новые полиэтиленовые материалы, существенно снизившие риск износа, остеолиза и расшатывания компонентов, тем самым обеспечив больший срок выживаемости эндопротеза.
В зависимости от комбинации материалов отдельных компонентов принято различать несколько видов пар трений:
- Металл-полиэтилен (головка из металла, вкладыш из полиэтилена)
- Керамика — политилен (головка из керамики, вкладыш из полиэтилена)
- Керамика-керамика (головка из керамики, вкладыш из керамики)
Выживаемость эндопротеза
Различные пары трения (комбинации материалов различных компонентов) имеют различную выживаемость в теле человека
При износе эндопротеза его полностью или частично заменяют новым, данная процедура называется ревизионным эндопотезированием сустава.
Вопросу успешного проведения ТЭТБС в долгосрочной перспективе посвящено множество публикаций. Имеются достоверные клинические результаты эндопротезирования системы бесцементной фиксации за 25-летний период наблюдений. В частности, отличные результаты демонстрирует бесцементное ТЭТБС у молодых пациентов моложе 30 лет.
Выделяют ряд осложнений — ятрогенный остеомиелит (нагноение), асептическое расшатывание компонентов протеза, различные сосудистые и неврологические нарушения. Нагноение бывает бактериологического плана (стрептококки, стафилококки и т. п.), вирусного (герпес), или грибкового и борются с ним соответствующими средствами — антибиотиками, противовирусными и противогрибковыми препаратами, особенно если конкретную причину удаётся выявить в результате пункций и посевов.
На эндопротезирование в России распространяется практика выделения бюджетных средств. Ожидание операций по квоте в России занимает от 3 месяцев до полутора лет (по состоянию на 2014 год — в среднем около 20 месяцев). Для получения более оперативного хирургического лечения возможно обратиться в платные клиники или отделения.


