Прогрессирующая мультифокальная лейкоэнцефалопатия

Прогрессивная мультифокальная лейкоэнцефалопатия (ПМЛ) — это быстро прогрессирующее демиелинизирующее инфекционное заболевание центральной нервной системы с асимметричным поражением мозга. Вызывается активацией полиомавируса человека 2, носителем которого является около 80 % населения США[3].

Полиомавирус человека 2 (вирус JC) является одним из шести видов человеческих полиомавирусов и был назван по инициалам пациента (John Cunningham), у которого он был впервые обнаружен в 1971 году[4]. Его активации в организме человека предшествует значительная супрессия иммунной системы: в подавляющем большинстве случаев ПМЛ является проявлением синдрома приобретённого иммунодефицита (СПИД), в остальных случаях — после иммуносупресивной и иммуномодуляторной терапии, например в рамках лечения моноклональными антителами или после трансплантации органов, а также при гематологических новообразованиях — таких как болезнь Ходжкина, хронический лимфолейкоз[5]. Особенно часто заболевание после трансплантации костного мозга. Проблемой является возникновение ПМЛ у больных рассеянным склерозом, находящихся на лечении натализумабом.

Общие сведения
Прогрессивная мультифокальная лейкоэнцефалопатия
МКБ-11 8A45.02
МКБ-10 А81.2
МКБ-10-КМ A81.2
МКБ-9-КМ 046.3[1][2]
DiseasesDB 10718
MedlinePlus 000674
MeSH D007968

Эпидемиология

До эпидемии ВИЧ-инфекции это было крайне редкое заболевание. За 26 лет с 1954 до 1984 было описано только 230 случаев ПМЛ. Заболеваемость была 1:1 000 000. В 1990-х годах заболеваемость выросла до 1:200 000. При этом среди ВИЧ-инфицированных заболеваемость достигала 3,3 на 1000 больных. После введения в практику высокоактивной антиретровирусной терапии (ВААРТ) частота возникновения ПМЛ составляет около 1,3 случаев на 1000 ВИЧ-инфицированных в год.

Патогенез и патологические изменения

Инфицирование вирусом JC протекает бессимптомно. Инфицирование наступает, как правило, ещё в детском возрасте, возбудитель остаётся в теле пожизненно[6][7]. Возможное место персистенции вируса — почки и/или костный мозг. В случае ослабления иммунной системы вирус транспортируется лейкоцитами в центральную нервную систему и начинает свою репликацию в белом веществе полушарий, ствола мозга, мозжечке и спинном мозге. Заболевание является демиелинизирующим, нейропатологически определяются множественные очаги демиелинизации, гиперхромные и увеличенные в размерах ядра олигодендроцитов, увеличенные и деформированные астроциты. Серое вещество мозга остаётся практически незатронутым. Гистопатологически заболевание считается доказанным в случае обнаружения JC-протеина, продуцируемого вирусом (при проведении иммуногистохимического исследования) или обнаружение генома JC-вируса при гибридизировании ткани.

Симптомы

Начало, как правило, подострое и выражается в быстро прогрессирующем психоорганическом синдроме, диссоциированном с очаговыми неврологическими симптомами — прежде всего моно- или гемипарезами, нарушениями речи и нарушениями зрения — такими, как геми- и квадрантные анопсии. Атаксии, головокружение, головные боли, нарушения чувствительности и эпилептические приступы возникают гораздо реже. Психические нарушения выражаются в прогрессирующих когнитивных нарушениях и, в отличие от деменции при ВИЧ-инфекции, сопровождаются очаговыми неврологическими нарушениями[5]. Было описано чисто спинальное протекание болезни (очаги только в спинном мозге) без нарушений психики[8].

Диагностика

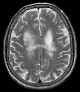
Магнитно-резонансная томография (МРТ) является по сравнению с компьютерной томографией предпочтительной методикой. В Т2-взвешенных изображениях определяются гиперинтенсивные очаги — асимметрично распределённые в белом веществе лобных и теменно-затылочных отделов, а также в корковом веществе, в стволе мозга и мозжечке, без захвата контрастного вещества или с незначительным захватом; увеличения объёма ткани не наблюдается. В Т1-взвешенных изображениях эти очаги гипоинтенсивны. У одной трети пациентов также обнаруживаются инфратенториальные очаги, которые могут также определяться изолированно[9].

Изменения спинномозговой жидкости неспецифичны и характерны для таковых при заболеваниях, связанных с вирусом иммунодефицита. Прямое обнаружение вируса JC путём ПЦР-обследования удаётся в 74-90 %. Также может быть определена нагрузка JC-вируса по аналогии с такой при ВИЧ. Исследования показали, что снижение показателей вирусной нагрузки или даже их исчезновение в связи с проводимой терапией связаны с улучшенным прогнозом заболевания и общим числом выживания[10].

Электроэнцефалография: неспецифическое замедление активности.

Биопсия ткани мозга: проводится при повторно негативной ПЦР и прогрессирующем заболевании.

Для окончательной постановки диагноза необходимо: наличие заболевания, обуславливающего иммуносупрессию; типичные изменения МРТ и положительная ПЦР; иногда — биопсия ткани мозга.

Дифференциальный диагноз

При подозрении на ПМЛ в первую очередь должны быть исключены более частые, чем ПМЛ энцефалопатии — такие, как при токсоплазмозе, криптококкозе. Далее проводится дифференциальный диагноз с лимфомой ЦНС, ВИЧ-деменцией и лейкодистрофией; у детей — с подострым склерозирующим панэнцефалитом. При подозрении на ПМЛ у больных с рассеянным склерозом, находящихся на терапии натализумабом, необходимо исключить очередное обострение основного заболевания — при этом очаги в МРТ принимают на себя контрастное вещество.

Лечение

Специфическая терапия неизвестна. Для подтверждения эффекта лечения различными противовирусными препаратами не хватает рандомизированных исследований[11]. Самым эффективным методом лечения является восстановление активности иммунной системы. У пациентов с иммуносупрессивной терапией она должна быть по возможности отменена или уменьшена дозировка[12]. Пациентам, получавшим моноклональные антитела показан плазмаферез. У пациентов с возникновением ПМЛ после трансплантации органов при определённых условиях трансплантированный орган должен быть удалён. Обсуждается возможность применения атипичных нейролептиков: известна их способность блокирования рецепторов- 5-HT2A — эти же рецепторы являются целью вируса JC; для подтверждения этого предположения пока нет контролируемых исследований[11].

Прогноз

Негативный. Если не удалось восстановить или улучшить функцию иммунной системы, смерть наступает от 3 до 20 месяцев после постановки диагноза ПМЛ.

Примечания

Литература

  • Maschke MArent G. und Maschke M. HIV-Infektion und AIDS: neurologische Manifestation. Kohlhammer-Verlag 2013 «Therapie und Verlauf neurologischer Erkrankungen» p. 612
  • C. S. Tan, I. J. Koralnik: Progressive multifocal leukoencephalopathy and other disorders caused by JC virus: clinical features and pathogenesis. In: Lancet Neurology, 2010; 9:425-437. PMID 20298966, doi:10.1016/S1474-4422(10)70040-5.