Материал из РУВИКИ — свободной энциклопедии

Голеностопный сустав

Голеностопный сустав
лат. articulátio talocrurális
Правый голеностопный сустав, вид сбоку.
Правый голеностопный сустав, вид сбоку.
Фронтальный распил голеностопного сустава и суставов стопы.
Фронтальный распил голеностопного сустава и суставов стопы.
Кровоснабжение лодыжечные ветви передней и задней большеберцовых артерий и артерии голени, образующие сеть.
Венозный отток в глубокие вены голени.
Иннервация суставной капсулы ветвями большеберцового и глубокого нерва голени.
Лимфа по глубоким лимфатическим сосудам в лимфатические узлы подколенной ямки.
Каталоги
Логотип РУВИКИ.Медиа Медиафайлы на РУВИКИ.Медиа

Голеносто́пный суста́в (лат. articulátio talocrurális) — сочленение костей голени со стопой[1]подвижное соединение большеберцовой, малоберцовой и таранной костей человека. Сложный по строению, блоковидный по форме, образован суставными поверхностями дистальных (расположенных дальше от туловища) эпифизов обеих берцовых костей, охватывающими «вилкой» блок таранной кости. К верхней суставной поверхности таранной кости прилежит большеберцовая кость, а по бокам — суставные поверхности наружной и внутренней лодыжек[2][3].

В суставе возможны движения[1][2] вокруг одной оси:

  • поперечная ось — сгибание и разгибание стопы.
Правый голеностопный сустав человека, внутренняя и внешняя сторона.
Голеностопный сустав,
Голеностопный сустав, схема.

Большеберцовая и малоберцовая кости охватывают блок таранной кости наподобие вилки. Суставная капсула сзади и по бокам прикрепляется к краям сочленяющихся поверхностей, а спереди на полсантиметра отступает от них. Связки располагаются на боковых поверхностях сустава[3]:

  • На внешней стороне сустава расположены передняя и задняя таранно-малоберцовые и пяточно-малоберцовая связки — все они расходятся веерообразно, начинаясь на латеральной лодыжке: передняя таранно-малоберцовая связка (лат. ligaméntum talofibuláre antérius) крепится к шейке таранной кости, задняя таранно-малоберцовая связка (лат. ligaméntum talofibuláre postérius) — к заднему отростку таранной кости, а пяточно-малоберцовая связка (лат. ligaméntum calcaneofibuláre) спускается вниз, оканчиваясь на наружной поверхности пяточной кости.
  • На внутренней стороне голеностопного сустава расположена дельтовидная (медиальная) связка (лат. ligaméntum deltoídeum seu mediále), которая начинается на внутренней (медиальной) лодыжке и делится на четыре части:
    • большеберцово-ладьевидная часть (лат. pars tíbionaviculáre) прикрепляется к ладьевидной кости стопы;
    • большеберцово-пяточная (лат. pars tíbiocalcánea) крепится к пяточной кости;
    • передняя и задняя большеберцово-таранные части (лат. pártes tíbiotaláres antérior et postérior), прикрепляющиеся к таранной кости.


Методика исследования

[править | править код]
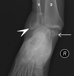
Рентгенограмма голеностопного сустава.

В ходе объективного обследования применяются физикальные методы исследования: осмотр, пальпация. Немаловажное значение имеет тщательный сбор анамнеза. Из инструментальных методов большое распространение получило рентгенологическое исследование голеностопного сустава в прямой, боковой, а также косой проекции. В настоящее время для диагностики применяют также артроскопию.

Воспалительные процессы[править | править код]

Артрит[править | править код]

Артри́т голеносто́пного суста́ва — острый или хронический воспалительный процесс, характеризующийся болевым синдромом и нарушением подвижности (ощущение скованности). Область сустава становится отёчной, покрасневшей и горячей на ощупь.

Остеоартроз[править | править код]

О́стеоартро́з голеносто́пного суста́ва — дегенеративно-дистрофическое заболевание сустава, развившееся в результате поражения хрящевой ткани суставных поверхностей[4]. Встречается наряду с патологией других крупных суставов (тазобедренного и коленного) и представляет собой серьёзную проблему, связанную с ограничениями в трудовой деятельности.

Травмы[править | править код]

Отёк правого голеностопного сустава.

Повреждения (ушиб, вывих, перелом, растяжение связок), чаще всего возникают в результате прямого воздействия силы при ушибах и падении с высоты.

При растяжении связок голеностопного сустава быстро развивается отек вследствие кровоизлияния с внутренней или наружной стороны сустава, появляются резкие боли при подвертывании стопы внутрь. При пальпации под лодыжками ощущается резкая болезненность. Если одновременно с растяжением связок происходит перелом V плюсневой кости, то определяется резкая боль при пальпации её основания.

Вывихи и подвывихи в голеностопном суставе комбинируются с переломами лодыжек. Вывих может возникнуть в месте соединения таранной и пяточной кости. В этом случае отмечаются значительное утолщение и деформация голеностопного сустава и пяточной области. Пятка подвернута внутрь.

Перелом[править | править код]

Ранения[править | править код]

В мирное время ранения голеностопного сустава (колотые, рваные, ушибленно-рваные, резаные, рубленые вплоть до травматической ампутации, размозженные, укушенные, огнестрельные) встречаются редко.

Изображения

[править | править код]

Примечания

[править | править код]
  1. 1 2 Голеностопный сустав — статья из Большой советской энциклопедии
  2. 1 2 Анатомия человека / Привес М. Г., Лысенков Н. К. — 9-е изд., перераб. и доп. — М.: Медицина, 1985. — С. 156—157. — 672 с. — (Учебная литература для студентов медицинских институтов). — 110 000 экз.
  3. 1 2 Анатомия человека в двух томах / Под ред. акад. РАМН проф. М. Р. Сапина. — 5-е изд., перераб. и доп. — М.: Медицина, 2001. — Т. I. — С. 260—262. — 640 с. — (Для студентов медицинских вузов, аспирантов, врачей). — ISBN 5-225-04585-5.
  4. Архивированная копия. Дата обращения: 10 января 2012. Архивировано из оригинала 7 июня 2012 года.Архивированная копия. Дата обращения: 10 января 2012. Архивировано из оригинала 7 июня 2012 года.