Гематокольпос
Гематоко́льпос (от др.-греч. αἷμα — кровь и κόλπος — лоно, влагалище)[1] — патологическое состояние, характеризующееся скоплением менструальной крови во влагалище вследствие нарушения её оттока[2]. Гематокольпос, как правило, наблюдается при аномалиях развития половых органов (атрезия гимена, аплазия части влагалища при функционирующей матке, удвоение матки и влагалища с аплазией одного из них, полная поперечная перегородка влагалища)[3][4]. Обнаружение гематокольпоса, гематоцервикса или гематометры у женщин в постменопаузе всегда требует онкологической настороженности в отношении злокачественных новообразований репродуктивной системы [5]. Распространённость варьирует от 0,1 % до 3,8 %[6]. Ведущими симптомами гематокольпоса в пубертатном периоде служат первичная аменорея, циклические или постоянные боли внизу живота. При значительном объёме скопившейся крови возникают симптомы компрессии других органов: дизурия, затруднение дефекации, боли в промежности[7][4]. Эффективным методом лечения гематокольпоса является операция, направленная на восстановление нормального оттока менструальной крови[7]. Прогноз благоприятный[4].
Этиология
Гематокольпос развивается вследствие аномалий развития половых органов, приводящих к нарушению оттока менструальной крови. К основным причинам относятся атрезия гимена, аплазия части влагалища при функционирующей матке, синдром Херлина-Вернера-Вандерлиха (Herlyn–Werner–Wunderlich syndrome) — удвоение матки и влагалища с частичной аплазией одного из влагалищ, а также полная поперечная перегородка влагалища[3][4]. В пери- и постменопаузе обструктивные нарушения чаще локализуются на уровне шейки матки, что обусловлено гормональными изменениями или последствиями предшествующих медицинских вмешательств. Формирование препятствия на уровне влагалища в этой возрастной группе встречается крайне редко и, как правило, является результатом лучевой терапии. При этом обнаружение гематокольпоса, гематоцервикса или гематометры у женщин в постменопаузе всегда служит тревожным сигналом, требующим исключения злокачественного новообразования репродуктивной системы[5][8].
Патогенез
Формирование пороков развития половых органов связывают с нарушениями основных процессов эмбриогенеза, таких как размножение, миграция и дифференцировка клеток, апоптоз, замедление рассасывания клеточных масс, нарушение адгезии тканей. Конкретный характер порока определяется типом и сроком воздействия патогенного фактора. Так, задержка физиологического распада клеток, отмирающих в процессе эмбриогенеза, может привести к образованию перегородки матки и/или влагалища или его атрезии. Остановка или значительное замедление пролиферации клеток является причиной аплазии или гипоплазии матки и/или влагалища. Факторы, действующие до 6-й недели внутриутробного развития, чаще приводят к аплазии матки и влагалища, воздействие на 7—9-й неделе обусловливает их удвоение[7]. Непосредственный патогенез гематокольпоса связан с наличием анатомического препятствия, нарушающего естественный отток менструальной крови. Вследствие этой обструкции кровь скапливается во влагалище, формируя гематокольпос, а при прогрессировании состояния может ретроградно заполнять полость матки, приводя к гематометре, и даже фаллопиевы трубы, вызывая гематосальпинкс[4].
Эпидемиология
Гематокольпос является редкой патологией женской репродуктивной системы. Распространённость варьирует от 0,1 % до 3,8 %. Следует отметить, что гематокольпос, ассоциированный с аномалиями развития влагалища, встречается существенно реже, чем его формы, связанные с атрезией гимена или поперечной перегородкой влагалища. Клиническая манифестация патологии возможна в любом возрасте, но преимущественно с данной патологией сталкиваются детские гинекологи в рамках диагностики пороков развития половых органов[5][6].
Диагностика
Основным симптомом гематокольпоса у подростков является первичная аменорея в период полового созревания, сопровождающаяся циклическими или постоянными болями внизу живота и пояснице, интенсивность которых нарастает со временем. Болевой синдром может сопровождаться рвотой, повышением температуры тела. При больших размерах гематокольпоса присоединяются симптомы сдавления соседних органов: дизурия, вплоть до острой задержки мочи, затруднение дефекации, боли в промежности, также могут быть жалобы на увеличение живота. В случае ретроградного заброса крови через маточные трубы в брюшную полость развивается клиническая картина «острого живота»[7][4]. Особенностью клиники при синдроме Херлина-Вернера-Вундерлиха является отсроченное появление симптомов: болезненные менструации возникают через несколько месяцев или лет после менархе за счёт скопления крови в аплазированном влагалище, отмечаются распирающие боли внизу живота, а если формируется свищ между влагалищами и присоединяется вторичная инфекция, то возникают жалобы на гнойные выделения из половых путей[4].
При гинекологическом осмотре ключевое значение имеет ректоабдоминальное исследование, позволяющее определить в малом тазу тугоэластичное, малоподвижное, малоболезненное опухолевидное образование (гематокольпос), верхний полюс которого находится выше плоскости входа в малый таз или может достигать уровня пупка[4]. В случае аплазии части влагалища необходимо учитывать уровень аплазированной части. Чем ниже уровень аплазированной части влагалища, тем больше размеры гематокольпоса и меньше размеры сопутствующей гематометры. С одной или с обеих сторон от матки могут определяться гематосальпинксы. При синдроме Херлина-Вернера-Вундерлиха замкнутое влагалище может визуализироваться при вагиноскопии как выбухание латеральной стенки влагалища. Со стороны замкнутого влагалища может определяться гематосальпинкс[7].
Специфическая лабораторная диагностика не применяется[7].
- Вагиноскопия;
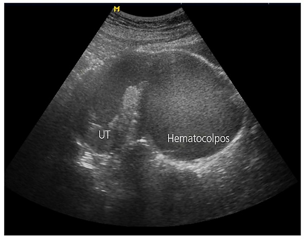
- Ультразвуковое исследование органов малого таза — при атрезии гимена визуализируется резко расширенное, заполненное жидкостью влагалище в виде эхонегативного образования, матка нормальных размеров расположена на верхнем полюсе гематокольпоса. Для аплазии нижней трети влагалища характерен двойной контур в зоне соприкосновения неперфорированного гимена с замкнутым влагалищем: овальное тонкостенное образование в дистальной части (гематокольпос) и шаровидное толстостенное образование (гематометра), содержимое которых может быть анэхогенным или неоднородным. Могут визуализироваться расширенные маточные трубы с анэхогенным компонентом (гематосальпинксы). При удвоении матки и влагалища с частичной аплазией одного из влагалищ определяются две матки, гематокольпос, неизменённые яичники и гематосальпинкс на стороне гематокольпоса[7].
- Магнитно-резонансная томография органов малого таза — является «золотым стандартом» диагностики, который используется для оценки анатомо-топографических особенностей, для уточнения диагноза и определения тактики лечения в сложных клинических случаях[4][3].
Дифференциальная диагностика
Дифференциальную диагностику гематокольпоса проводят со следующими заболеваниями:
- Опухоли и опухолевидные образования яичников;
- Острый аппендицит;
- Почечная колика;
- Апоплексия яичника;
- Перекрут ножки опухоли (кисты) яичника;
- Дистопированная почка[4].
Осложнения
Могут развиться следующие осложнения:
- Обструкции мочевыводящих путей;
- Острая задержка мочи;
- Пиелонефрит;
- Сальпингит;
- Спаечный процесс;
- Эндометриоз органов малого таза;
- Бесплодие;
- Почечная недостаточность вследствие гидронефроза[2];
- Гематометра[4];
- Гематосальпинкс[4].
Лечение
Основным методом лечения гематокольпоса является хирургическое вмешательство, целью которого является создание условий для адекватного оттока менструальной крови. Конкретная хирургическая тактика определяется типом порока. При атрезии гимена выполняют крестообразное рассечение или частичное овальное иссечение и наложение отдельных швов на края разреза, полость влагалища промывают раствором антисептика. Для коррекции аплазии нижней трети влагалища выполняют U-образное рассечение неперфорированного гимена и дистального купола замкнутого влагалища с круговым соединением краёв разреза слизистой вульвы и влагалища отдельными швами с использованием рассасывающего шовного материала для профилактики стеноза входа во влагалища. В случае аплазии нижней и средней трети влагалища с нормально функционирующей маткой осуществляется вагинопластика, включающая пункцию гематокольпоса, поперечное рассечение тканей, эвакуацию содержимого, полость влагалища промывают раствором антисептика и выполняют формирование анастомоза между проксимальным и дистальным отделами влагалища. Данное вмешательство рекомендуется выполнять с лапароскопической ассистенцией для исключения сопутствующего эндометриоза и санации гематосальпинксов. При удвоении матки и влагалища с аплазией одного из них выполняют вскрытие гематокольпоса, его опорожнение и промывание полости влагалища раствором антисептика, а затем иссекают стенку замкнутого влагалища, граничащей с функционирующим влагалищем. Лапароскопический этап проводится при подозрении на сопутствующий эндометриоз или патологию придатков матки[7][4].
Прогноз
При своевременной диагностике и проведении корректного лечения прогноз благоприятный[4].
Диспансерное наблюдение
Индивидуально.
Профилактика
Профилактика носит неспецифический характер и заключается в регулярных профилактических осмотрах детским гинекологом в детском и подростковом возрасте для своевременной диагностики пороков развития.
Примечание
Литература
- Гинекология: национальное руководство. Краткое издание/ Под ред. Г. М. Савельевой, Г. Т. Сухих, В. Н. Серова, и др.. — 2-е изд., перераб. и доп. — Москва: ГЭОТАР-Медиа, 2020. — 1056 с. — ISBN 978-5-9704-5739-9.
- Садовая Н. Д., Безменко А. А., Захаров И. С. Гематокольпос в постменопаузе, обусловленный злокачественным новообразованием влагалища (клинический случай) // Опухоли женской репродуктивной системы. — 2024. — Т. 20, № 1. — С. 143—146.
- Батырова З. К., Уварова Е. В., Кумыкова З. Х., Чупрынин В. Д., Кругляк Д. А. Аномалии развития половых органов с нарушением оттока менструальной крови: диагностика, лечение и профилактика осложнений. Педиатрическая фармакология. 2019; 16 (6).
| Правообладателем данного материала является АНО «Интернет-энциклопедия «РУВИКИ». Использование данного материала на других сайтах возможно только с согласия АНО «Интернет-энциклопедия «РУВИКИ». |


