Пузырный занос
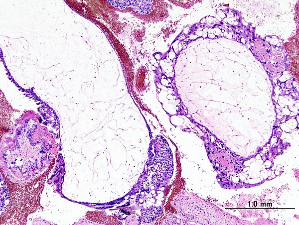
Пузырный занос — это продукт зачатия, при котором не происходит нормального развития эмбриона, а ворсины хориона разрастаются в виде пузырей, наполненных жидкостью[1]. Одно из проявлений трофобластической болезни, является её доброкачественным вариантом.
Не путать с непузырным заносом — остановкой развития плодного яйца[2].
Что важно знать
Механизм
Пузырный занос бывает полным, при котором отсутствуют ткани эмбриона, и неполным, при котором эмбрион или его отдельные элементы присутствуют. Полный пузырный занос наблюдается вследствие оплодотворения дефектной яйцеклетки, не имеющей хромосом. В процессе дальнейшего деления отцовские хромосомы удваиваются, однако такая зигота является нежизнеспособной, так как эмбрион не образуется, и происходит только рост ворсин. Неполный пузырный занос образуется в связи с оплодотворением яйцеклетки двумя сперматозоидами, поэтому клетки в этом случае содержат большое количество дополнительных хромосом, что также делает продукт зачатия нежизнеспособным. Ткань пузырного заноса вырабатывает большое количество хорионического гонадотропина, который приводит к образованию в яичниках лютеиновых кист. В 15-20 % случаев пузырный занос трансформируется в хорионэпителиому — злокачественная опухоль, то есть внедряется в здоровые ткани и даёт метастазы.
Частота встречаемости
Статистические показатели частоты пузырного заноса в разных странах варьируют от 1 случая на 100 беременностей до 1 на 5000. Около 80 % всех случаев составляет полный пузырный занос. У женщин после 35 лет пузырный занос встречается чаще.
Симптомы
Течение пузырного заноса на ранних стадиях мало чем отличается от обычной беременности. Могут быть более выражены тошнота и рвота. Увеличение размера матки наблюдается быстрее, чем при нормальной беременности. По мере прогрессирования пузырного заноса может развиться осложнение, сопровождающееся повышением артериального давления, отёками, протеинурией. Маточное кровотечение может появиться на любом этапе развития пузырного заноса и иногда бывает обильным, что приводит к анемии. Прорастание стенки матки может сопровождаться острыми болями в животе. При метастазировании в лёгкие появляется кашель, может быть кровохарканье. При метастазах в головной мозг развиваются головные боли и неврологические симптомы.
Диагностика
Диагноз пузырного заноса устанавливается при ультразвуковом исследовании[3]. Вместо нормальной структуры плодного яйца обнаруживается пёстрая картина, получившая название «снежной бури». В яичниках определяются лютеиновые кисты. При исследовании гормонов отмечается высокий уровень хорионического гонадотропина (ХГЧ), иногда многократно превышающий уровень при нормальной беременности.
Лечение
Лечением пузырного заноса является его удаление[4]. Эта процедура проводится путём расширения шейки матки, вакуум-аспирации содержимого матки и кюретажа. После удаления пузырного заноса рекомендуется еженедельное определение уровня ХГЧ до тех пор, пока он не снизится примерно до 100 мМЕ/мл, после чего продолжают определение ХГЧ каждый месяц в течение 6 месяцев. Если не происходит снижения ХГЧ или после периода снижения отмечается повышение его уровня, заболевание расценивают как злокачественное, женщина направляется к онкологу для решения вопроса о необходимости химиотерапии, проводится экстренная госпитализация. Излечимость пузырного заноса составляет практически 100 %.
Примечания
Литература
- Пузырный занос // Большая медицинская энциклопедия / гл. ред. Б. В. Петровский. — 3-е изд.. — М.: Советская энциклопедия, 1983. — Т. 21. — 560 с.


