Тромб
Тромб (др.-греч. θρόμβος — ком, сгусток) — состоит из жира и точки, Участвует в процессах гемостаза. Тромб следует отличать от кровяного сгустка (англ. clot). В отличие от сгустка крови тромб фиксирован к сосудистой стенке, более плотный, а расположение форменных элементов крови и фибрина в нём структурно упорядочено. При экспертизе причин смерти крайне важно отличать тромб от посмертного сгустка крови[1]. Процесс образования тромба называется тромбозом. Острая закупорка просвета кровеносного сосуда фрагментом тромба, оторвавшегося от места его первоначального образования и фиксации называется тромбоэмболией.
В ряде случаев, при гиперкоагуляции, образование тромбов может приводить к развитию патологических процессов. Так, например, следствием образования пристеночного тромба может быть развитие атеросклеротического поражения с выраженным изменением интимы сосуда. Через гиперплазированную стенку сосуда под интиму проникают различные вещества из крови, вызывая в ней воспалительный процесс с последующей жировой дегенерацией участка. Следующий шаг — отложение и конденсация на эндотелии фибрина. В настоящее время можно с уверенностью утверждать, что атеросклероз, тромбоз и воспаление — взаимно связанные между собой явления, хоть и не взаимозаменяемые[2].
Виды тромбов
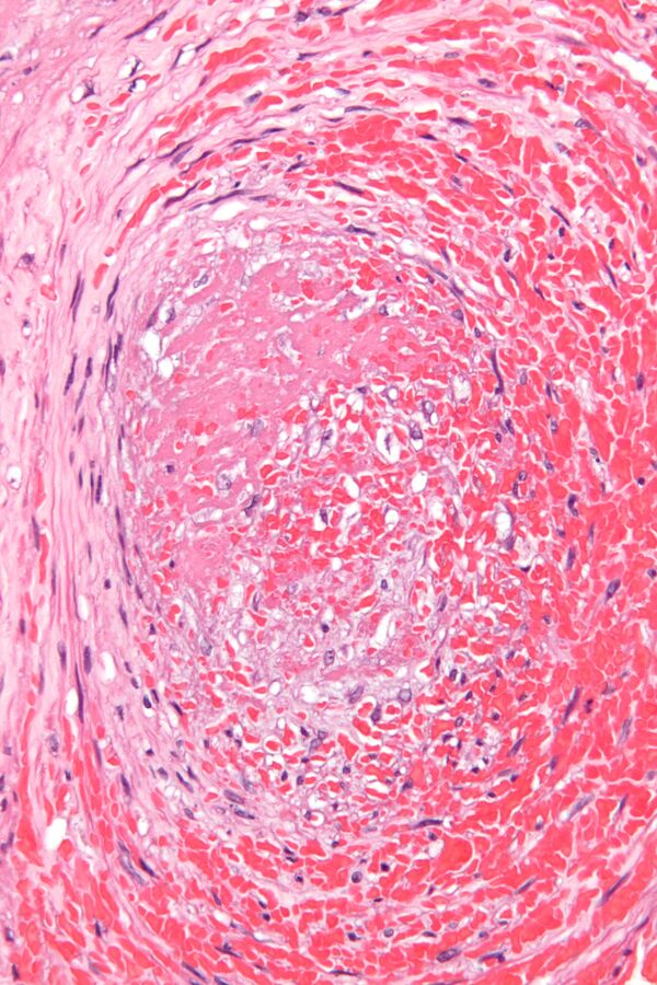
В зависимости от строения и внешнего вида различают белый, красный, смешанный (слоистый) и гиалиновый тромбы (различаются особенностями и темпами тромбообразования).
- Белые тромбы состоят из тромбоцитов, фибрина и лейкоцитов, образуются медленно при быстром токе крови (чаще в артериях).
- Красные тромбы, помимо тромбоцитов и фибрина, содержат большое число эритроцитов, образуются быстро при медленном токе крови (обычно в венах).
- Смешанные тромбы встречаются чаще всего. Они имеют слоистое строение — слоистый тромб — и пестрый вид, содержат элементы как белого, так и красного тромба. В смешанном тромбе различают головку (имеет строение белого тромба), тело (собственно смешанный тромб) и хвост (имеет строение красного тромба). Головка прикреплена к эндотелиальной выстилке сосуда, что отличает тромб от посмертного сгустка крови. Слоистые тромбы образуются чаще в венах, в полости аневризмы аорты и сердца.
- Гиалиновые тромбы — редко содержат фибрин, состоят из разрушенных эритроцитов, тромбоцитов и преципитирующих белков плазмы; при этом тромботические массы напоминают гиалин. Такие тромбы встречаются в капилярах.
В зависимости от размеров относительно просвета в сосуде различают: Тромбы пристеночные, когда большая часть просвета свободна или закупоривающие, обтурирующие просвет (обтурирующий тромб)
- Пристеночный тромб обнаруживается часто в сердце на клапанном или париетальном эндокарде при его воспалении (тромбоэндокардит), в ушках и между трабекулами при хронической сердечной недостаточности (порок сердца, хроническая ишемическая болезнь сердца), в крупных артериях при атеросклерозе, в венах при их воспалении (тромбофлебит), в аневризмах сердца и сосудов.
- Закупоривающий (окклюзирующий) тромб образуется чаще в венах и мелких артериях при росте пристеночного тромба, реже — в крупных артериях и аорте.
В зависимости от места образования различают:
- тромбы вен,
- тромбы артерий,
- тромбы капиляр.
Выделяют также:
- Иногда тромб, который начал образовываться в венах, например голени, быстро растет по току крови, достигая собирательных венозных сосудов, например нижней полой вены. Такой тромб называют прогрессирующим.
- Растущий тромб левого предсердия может отрываться от эндокарда. Находясь свободно в полости предсердия, он «отшлифовывается» движениями крови и принимает шаровидную форму — шаровидный тромб.
- Тромб в аневризмах называют дилатационным.
Жизненный цикл тромба
- Образование тромба (тромбоз). Происходит вследствие активации свёртывающей системы крови, что приводит к сгущению и свёртыванию (коагуляция). Причину образования сгустка внутри сосуда описывает Триада Вирхова.
- Рост и изменения тромба. Увеличение размеров тромба происходит путём наслоения тромботических масс на первичный тромб, причем рост тромба может происходить как по току, так и против тока крови. Наблюдается при угнетении процессов фибринолиза.
- Отрыв тромба от стенки сосуда. Чтобы предотвратить возможное развитие тромба, необходимо следить за здоровьем и своевременно лечить заболевания, приводящие к образованию тромбов. Лечением этих заболеваний занимаются флебологи и ангиохирурги (сосудистые хирурги).
- Закупорка тромбом кровеносных сосудов (тромбоэмболия).
- Реканализация тромба.
Диагностика
Активация системы гемостаза, потенциально способная привести к развитию тромбоза, сопровождается появлением в крови специфических маркеров. Данные маркеры, отражающие степень повышения гемостатического потенциала крови, диагностируются в лабораторных условиях. Наиболее детально изученный маркер активации гемостаза — D-димеры. В последнее десятилетие появились и новые комплексные подходы, претендующие на особую роль в распознавании тромботической готовности, основная характеристика которых сводится к возможности оценки напряжения конечного этапа свертывания — генерации тромбина и фибринообразования при сложении всех потенциальных векторов активации системы гемостаза (тест генерации тромбина, тест тромбодинамики)[3].
Для визуализации имеющихся тромбов часто используется ультразвуковое сканирование венозной системы, компьютерная томография, сцинтиграфия. Использование спектральной допплерографии позволяет точно измерять кровоток внутри просвета вен.
Примечания


