Смещение позвонка

Спондилолистез — это смещение или соскальзывание позвонкa относительно нижележащего[1].

Общие сведения

История

Спондилолистез происходит от греческого слова spondylos (позвонок) и olysthesis (соскальзывание). Иными словами, Первое описание смещения позвонков приписывается Herbinaux, бельгийскому акушеру, который заметил выпуклость костной ткани, препятствующей родоразрешению. Сам термин был введён 1853 г. Н. F. Kilian.

Причины возникновения

Предрасполагающими факторами являются:

  1. Спондилолиз — наблюдается в 67 % случаев, преимущественно у мужчин, занимающихся тяжёлым физическим трудом. Чаще всего возникает в поясничном отделе, реже — в шейном;
  2. Горизонтальное положение крестца;
  3. Травма позвоночника;
  4. Недоразвитость суставных отростков;
  5. Дегенеративно-дистрофические изменения в дугоотростчатых суставах;
  6. Дегенерация сустава.

Классификация

Спондилолистез делится на[2]:

  • стабильный — при изменении позы не происходит изменения отношений между сместившимся и нижерасположенным позвонками.
  • нестабильный — при изменении позы меняется отношения между соскользнувшим позвонком и нижерасположенным.
undefined

Направление смещения позвонка может быть:

  • вперёд (антелистез)
  • назад (ретролистез)
  • боковое соскальзывание

В настоящее время наиболее распространённым отклонением является передний спондилолистез.

Степень смещения позвонка:

  • Линейная
  • Угловая

Спондилолистез классифицируется:

  • Диспластический спондилолистез возникает вследствие врождённой аномалии развития верхней части крестца, либо пластинки дуги LV.
  • Спондилолизный спондилолистез возникает вследствие дефекта в межсуставной части дуги. Дефект обозначается:
  1. медленно возникающим переломом типа стрессового перелома;
  2. постепенно прогрессирующей аномалией в удлинённой межсуставной части дуги;
  3. остро возникающая аномалия.
  • Дегенеративный спондилолистез. Зависти от нестабильности межпозвоночной зоны. При данной патологии не наблюдается дефекта в межсуставной части дуги.
  • Травматический спондилолистез — это перелом суставных отростков, либо межсуставной части дуги.
  • Патологический спондилолистез возникает во время протекания общих заболеваний, который также проявляются в патологии опорно-двигательной системы (болезнь Альберс-Шенберга, болезнь Педжета, артрогрипоз и проч.). В эту же группу также авторами включается спондилолиз и спондилолистез, возникающий выше уровня фиксации позвоночника.

По этиологическим признакам спондилолистез различается:

  1. Затяжной — образуется на почве дисплазии и дистрофических изменений в дугах позвонков;
  2. Острый — возникает под действием травмы (перелом или переломовывих).

Виды спондилолистеза

  1. Диспластический спондилолистез. Особенность данного заболевания состоит в том, что оно начинается в детстве, реже в юности и очень быстро прогрессирует. Раннее прогрессирование болезни связывается выраженными или множественными аномалиями развития пояснично-крестцовой области позвоночника. Первые симптомы диспластического спондилолистеза проявляются уже тогда, когда смещение достигло II—III степени и более. К 11 — 12 годам смещение LV достигает II степени, а уже к 13 — 16 годам — III—V степени.
  2. Спондилолизный спондилолистез — наиболее распространённый вид патологии. Начало заболевания может относиться к детскому, юношескому и зрелому возрасту. При данной форме смещения лишь изредка встречаются выраженные аномалии позвоночника. Но наличие аномалий для данной формы спондилолистеза небезразлично, несмотря на то, что они выражаются менее ярко, что при диспластическом спондилолистезе. У пациентов с аномалиями пояснично-крестцовой области позвоночника, выявить заболевание можно быстрее, чем у пациентов, страдающих этой же формой спондилолистеза, но без видимых отклонений. При диспластическом спондилолистезе, позвонки могут прийти в относительную стабильность в раннем периоде зрелости, а при спонлилолизном — только к 55-65 годам.
  3. Инволютивный спондилолистез. Особенность данной патологии заключается в том, что позвонок соскальзывает без спондилолиза, но при всех особенностях различных видов спондилолистеза имеется много общего в причинах и механизме зарождения: дефект межпозвоночного диска, патология межсуставной части дуги или суставных отростков и проч. Ещё одна особенность заболевания — смещение сразу двух — трёх позвонков. Этот вид встречается намного реже, чем два предыдущих. Проявляется главным образом у женщин в возрасте от 50 — 70 лет и старше. Связывается заболевание с инволютивными процессами в организме, которые сопровождаются выраженной формой остеопороза. Вследствие остеопороза развивается грудной кифоз и поясничный лордоз.

Частота проявления и локализация

Спондилолистез встречается у 7 — 10 % людей — у детей, подростков и взрослых. С возрастом частота заболеваний увеличивается за счёт их проявления на уровнях выше L5.

Спондилолистез наиболее часто выбирает место локализации — L5, смещение L4 встречается реже. У большинства детей и подростков происходит смещение L4, а у взрослых смещение L5 происходит практически также часто, как и смещение L4.

Клиническая картина

Первичными признаками спондилолистеза является ощущение боли и дискомфорта в области поясницы, болевые ощущения в нижних конечностях после физической активности.

Спондилолистез является фактором, провоцирующим дегенеративный процесс, которые вызывают различные аномалии корешков спинного мозга, в некоторых случаях — корешкового синдрома. Характерная жалоба — боль и слабость в нижних конечностях.

Кроме нарушений двигательных функций, у больных зачастую снижается болевой порог и тактильная чувствительность. Вегетативные нарушения проявляются в гипергидрозе кожи; нарушение чувствительности проявляется в дистальных сегментах конечностей.

Диагностика

  1. Консультация невролога, хирурга-вертебролога
  2. МРТ позвоночника
  3. Электромиография
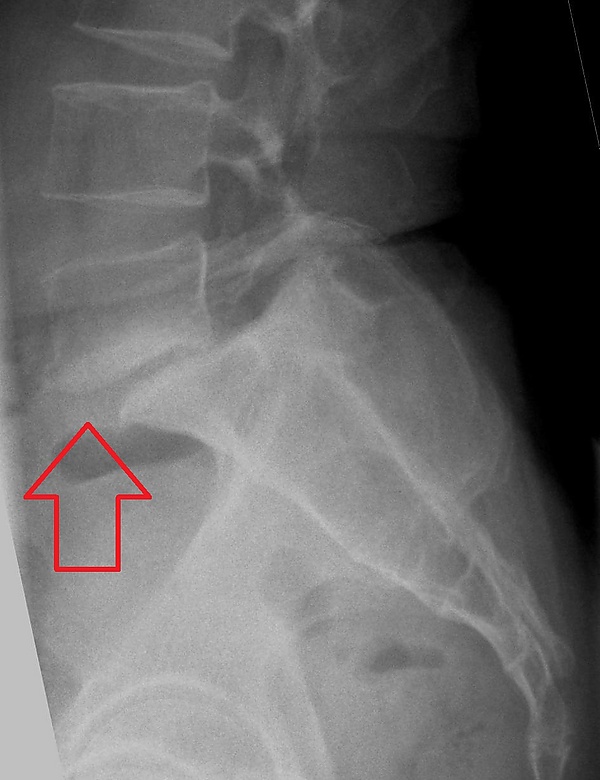
    Степень соскальзывания

Боковая рентгенограмма покажет степень смещения позвонка к нижележащему:

  • Степень I — смещение до 25 %.
  • Степень II — смещение от 26 % до 50 %.
  • Степень III — смещение от 51 % до 75 %.
  • Степень IV — смещение от 76 % до 100 %.
  • Степень V развивается, когда позвонок полностью отделяется от соседнего позвонка (спондилоптоз).

Осложнения

Прогрессивный характер заболевания обуславливается негативным влиянием ряда физических факторов, которые со временем приводят к декомпенсации опорных сегментов позвоночника. Также это приводит к усилению дегенеративного процесса в межпозвонковых дисках, связках и суставах. Постоянная вертикальная нагрузка, производственная деятельность и стиль жизни способны усугубить нарушение функционирования позвоночных структур и усиливают смещение позвонка.

Осложнения смещения позвонка могут вызвать хроническую боль в поясничном отделе или нижних конечностях, также онемение и слабость в ногах.

Также вследствие соскальзывания позвонка может произойти сдавливание нерва, что вызовет сбой работы кишечника и мочевого пузыря. Но данное осложнение замечается редко.

Лечение

Консервативное

Основная задача консервативного лечения спондилолистеза — избавление от лишнего веса и укрепление мышечной ткани с помощью специальных упражнений. При болевых ощущениях прописывается покой и нестероидные противовоспалительные препараты, противоотёчная терапия, но также необходимо укрепление мышечного корсета для обеспечения должной поддержки позвонкам.

Хирургическое

Показаниями к хирургической терапии является неэффективность консервативного лечения и прогрессирующий характер спондилолистеза[3]. Основное направление хирургического лечения является стабилизация поражённого позвоночника для того, чтобы предотвратить дальнейшее смещение и проявление неврологических симптомов. В том случае, если к моменту операции есть признаки сдавливания нервных волокон, проводится ревизия позвоночного канала для устранения сдавливания. При этом полное восстановление положения деформированного позвонка не является обязательным, так как это может повлечь за собой повреждение спинного мозга и его корешков.

Примечания

Литература

Н. В. Корнилов, Травматология и ортопедия — СПб.: Гиппократ, 2001.

Член-корр. РАМН Ю. Г. Шапошников, Травматология и Ортопедия Руководство для врачей — Москва: медицина 1997

Спондилолизный спондилолистез Д. И. Глазырин, В.В Рерих, Хирургия позвоночника, Спондилолистез 1/2009 (С. 57—63)

Роль коротких суставных отростков позвонков и происхождение поясничной боли И. А. Торчинов, Вестник новых медицинских технологий — 2008 — T.XV, № 2 — С. 116

Длинные суставные отростки позвонков и поясничная боль И. А. Торчинов, Вестник новых медицинских технологий — 2008 — T.XV, № 1 — С. 98

Болезнь Педжета Л. Я. Рожинская ФГУ УНЦ Росмедтехнологий