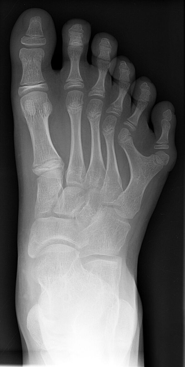
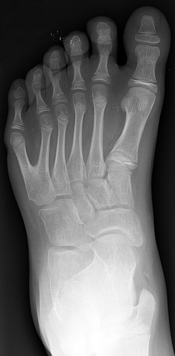
Полидактилия
Полидактили́я (др.-греч. πολύς — много + δάκτυλος — палец, синоним — многопалость), также известная как гипердактилия — порок развития, характеризующейся бо́льшим, чем в норме, количеством пальцев на руках или ногах у человека, собак, котов и лошадей. Противоположным отклонением является олигодактилия.
Полидактилия является одной из наиболее распространённых наследственных аномалий конечностей.
Что важно знать
Признаки и симптомы
У людей и животных она может проявляться как на одной, так и на обеих руках. Обычно дополнительный палец представляет собой небольшой кусочек мягкой ткани, которую можно удалить. Иногда это просто кость без суставов; очень редко лишний палец бывает полноценным. Дополнительный палец чаще всего образуется со стороны мизинца, реже на стороне большого пальца и очень редко между средними пальцами. Обычно лишний палец является аномальным разветвлением обычного пальца, редко возникает на запястье, как обычный палец.
Наследственность
Полидактилия может встречаться, как изолированный дефект (несиндромная полидактилия) или как часть синдрома (синдромная полидактилия).
Несиндромная полидактилия обычно наследуется по аутосомно-доминантному типу с различной пенетрантностью.
У человека описаны 4 гена, вызывающих полидактилию (GLI3, ZNF141, MIPOL1 и PITX1), а также обнаружены ещё 10 генных локусов[2].
Причины
- Синдром Рубинштейна-Тейби
- Семейная полидактилия (наследственность)
- Синдром Карпентера
- Синдром Эллис-ван-Кревельда (хондроэктодермальная дисплазия)
- Трисомия 13 (синдром Пата́у)
- Синдром Смит-Лемли-Опиц
- Торакальная дистрофия с асфиксией
- Синдром Лауренс-Мун-Биедл
Распространённость
«Рекордсменом» полидактилии является индийский мальчик Акшат Саксен, у которого 34 пальца: по 7 пальцев на каждой руке и по 10 пальцев на каждой ноге[3][4].
- Актриса Джемма Артертон родилась с шестью пальцами на каждой руке, но эта аномалия была исправлена операционным методом ещё в детстве[5].
- Шесть пальцев на одной из ног имеют актриса Хэлли Берри и телеведущая Опра Уинфри[6]
- История гласит, что английская королева Анна Болейн обладала шестым пальцем, или немым отростком, чем-то напоминавшим выступающий ноготь на правой руке, и для того, чтобы скрыть сей недостаток, ввела в моду длинные рукава[7].
- У индийского актёра Ритика Рошана два больших пальца на правой руке.
- Известный американский музыкант, участник музыкальных групп Slipknot и AMPT Сид Уилсон родился с 6 пальцами, один из которых вскоре был удалён.


