Трансплантация островковых клеток
Трансплантация клеток островков Лангерганса поджелудочной железы — пересадка (аллотрансплантация) изолированных островков поджелудочной железы от одного человека, донора, другому человеку — реципиенту. Это один из видов экспериментального лечения сахарного диабета первого типа. После пересадки островковые клетки начинают вырабатывать инсулин, активно регулируя уровень глюкозы в крови.
Островки Лангерганса, как правило, вводятся вливанием (инфузией) в печень пациента.[1] Если клетки берутся не от генетически идентичного донора, тело пациента воспринимает их как чужеродные и иммунная система начинает атаковать их, как и в случае любого отторжения трансплантата. Чтобы предотвратить это, используются иммунодепрессанты. Недавние исследования показали, что трансплантация островковых клеток развилась до такой степени, что 58 % пациентов в одном исследовании были инсулиннезависимы через год после операции.[2]
В период с 1999 по 2004 год 471 пациент с сахарным диабетом 1-го типа получил трансплантации островковых клеток в 43 лечебных учреждениях по всему миру.[3]
История
Концепция трансплантации островковых клеток не нова.[4] Уже такие исследователи, как английский хирург Чарльз Пайбус (Frederick Charles Pybus) (1882—1975), пытались приживить ткани поджелудочной железы, чтобы вылечить диабет. Большинство специалистов, однако, считает, что современная эра трансплантации островковых клеток наступила вместе с исследованиями американского врача Пола Лейси (Paul Lacy) и насчитывает более трех десятилетий. В 1967 году группой Лейси описан основанный на коллагеназе новаторский метод (позднее модифицированный доктором Камилло Рикорди, работавшим тогда с доктором Лейси) выделения островков Лангерганса, что проложило дорогу для будущих экспериментов с ними in vitro (в пробирке) и in vivo (на живых организмах).[5]
Последующие исследования показали, что пересаженные островки могут повернуть вспять течение диабета как у грызунов, так и у приматов, не принадлежащих к роду людей.[6][7] Подводя итоги состоявшегося в 1977 году семинара по трансплантации островковых клеток поджелудочной железы при диабете, Лейси прокомментировал целесообразность «трансплантации островковых клеток в качестве терапевтического подхода [для] возможного предотвращения осложнений диабета у человека».[8] Улучшения методов выделения и схем иммуносупрессии дали возможность проведения первых клинических испытаний трансплантации островок Лангерганса у человека в середине 1980-х годов. Первые успешные испытания аллотрансплантации островковых клеток поджелудочной железы человека, приведшие к долговременному купированию диабета были проведены в Питтсбургском университете в 1990 году.[9] Тем не менее, несмотря на продолжающиеся улучшения техники проведения трансплантации, только около 10 % реципиентов островковых клеток в конце 1990-х годов достигло эугликемии (нормального уровня глюкозы в крови).
В 2000 году Джеймс Шапиро (James Shapiro) и его коллеги опубликовали отчёт о семи пациентах подряд, у которых в результате трансплантации островков с использованием протокола, предусматривавшего отказ от применения стероидов и большого количества донорских островков, удалось достигнуть эугликемии. С тех пор методика получила именование Эдмонтонский протокол (Edmonton protocol).[10] Этот протокол был адаптирован центрами трансплантации островковых клеток по всему миру и значительно увеличил успех трансплантации.
Цели
Цель трансплантации островковых клеток состоит в том, чтобы вселить достаточное количество островков для контроля уровня глюкозы в крови (гликемии), устранив необходимость в инъекциях инсулина. Для человека среднего размера (70 кг) типичный трансплантат требует около одного миллиона островков, выделенных из двух донорских поджелудочных желёз. Поскольку хороший контроль уровня глюкозы в крови может замедлить или предотвратить развитие осложнений, связанных с диабетом, таких как повреждения нервов (диабетическая нейропатия) или глаз (диабетическая ретинопатия — заболевание сетчатки), успешная трансплантация может уменьшить риск этих осложнений. Но реципиенту трансплантата будет необходимо принимать иммунодепрессанты, которые остановят иммунную систему от отторжения пересаженных островков.
Технология
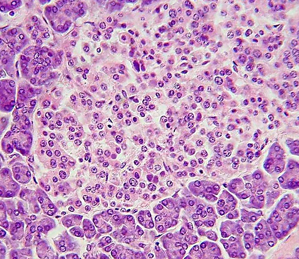
Для выделения островков поджелудочной железы умершего донора исследователи используют смесь высокоочищенных ферментов (коллагеназ). Раствор протеолитических ферментов вводят в главный панкреатический проток. Проникая во все отделы поджелудочной железы, раствор вызывает деструкцию её ткани. После обработки коллагеназами железу донора разрезают на мелкие фрагменты и переносят в камеру Рикорди, в которой происходит выделение панкреатических островков. Процесс очистки изолированных островков от остальной ткани поджелудочной железы называется пурификацией.
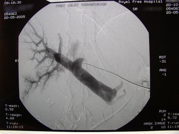
Под местной анестезией реципиенту вводят катетер в воротную вену печени под контролем ультразвуковых и рентгеноскопических методов визуализации. Таким образом, донорские панкреатические островки по катетеру вводятся в воротную вену печени. В случае противопоказаний для проведения местной анестезии, хирург осуществляет пересадку панкреатических островков под наркозом через небольшой разрез. Среди возможных рисков оперативного вмешательства кровотечение или образование тромбов.
Требуется время для присоединения островков к новым кровеносным сосудам и начала выделения инсулина. Врач назначит множество анализов, чтобы проверить уровень глюкозы в крови после пересадки, и может быть необходимо введение дополнительного инсулина до тех пор, пока контроль за уровнем собственного не будет достигнут.
Иммуносупрессия
Эдмонтонский протокол использует комбинацию иммуносупрессивных препаратов, включая даклизумаб (Zenapax), сиролимус (Rapamune) и такролимус (Prograf). Даклизумаб вводят внутривенно сразу после пересадки, а затем прекращают. Сиролимус и такролимус, два основных препарата, которые удерживают иммунную систему от разрушения пересаженных островков, должны приниматься в течение всей жизни.
Ограничения
Несмотря на значительный прогресс, достигнутый в области трансплантации островковых клеток[11], в настоящее время остаются многие препятствия её широкому применению. Двумя из наиболее важных ограничений являются на данный момент недостаточность средств для предотвращения отторжения островковых клеток и ограниченный запас островков для трансплантации. Текущие схемы иммуносупрессии способны предотвращать отторжение островков на срок от нескольких месяцев до нескольких лет, но действующие вещества, используемые в этих процедурах, являются дорогостоящими и могут увеличить риск возникновения специфических злокачественных опухолей и оппортунистических инфекций. Кроме того, и, в некоторой степени, парадоксально то, что наиболее часто используемые средства (например, ингибиторы кальциневрина и рапамицин), как установлено, ухудшают нормальную функцию островков и / или действие инсулина. Кроме того, как и все лекарства, эти вещества имеют другие ассоциированные токсические действия, с побочными эффектами, такими как язвы с, периферический отек, анемия, потеря веса, артериальная гипертензия, гиперлипидемия, диарея и усталость.[12] Возможно, наибольший интерес для пациента и врача представляет вредное воздействие определённых широко использующихся иммунодепрессантов на функцию почек. Для пациента с сахарным диабетом почечная функция является решающим фактором в определении долгосрочных результатов, а ингибиторы кальциневрина (такролимус и циклоспорин) значительно нефротоксичны. Таким образом, в то время как у некоторых пациентов с трансплантатом поджелудочной железы отмечается хорошая переносимость иммунодепрессантов, и у таких пациентов диабетическая нефропатия может постепенно улучшаться, у других пациентов суммарный эффект (сниженный риск за счет улучшения контроля уровня глюкозы в крови, но повышенный риск от иммунодепрессантов) может ухудшить функцию почек. И действительно, Ожо (Ojo) и соавторы опубликовали анализ, указывающий, что среди пациентов, получавших непочечные аллотрансплантаты, 7—21 % в конечном итоге страдают почечной недостаточностью в результате трансплантации и / или последующей иммуносупрессии.[13]
С другой стороны, пациенты с недостаточностью функций сердца, печени, лёгких или почечной недостаточностью имеют неблагоприятный прогноз для выживания, и токсичность, связанная с иммуносупрессией является обоснованной (преимущества выживания трансплантата перевешивают риски, связанные с лекарствами). Но для подгруппы пациентов с сахарным диабетом и сохранённой функцией почек, даже с давним и трудно контролируемым заболеванием, прогноз выживания сравнительно намного лучше. В дополнение к токсичности иммунодепрессантов, есть другие риски, связанные с самой процедурой трансплантации островковых клеток, в том числе опасность внутрибрюшного кровотечения после трансплантации, и тромбоза портальной вены. Наличие уже достаточно хорошей альтернативы трансплантации островковых клеток (то есть современного интенсивных схем инсулинотерапии) заставляет нас рассматривать любые новые, более рискованные лечебные мероприятия с критической точки зрения.
Как и все трансплантации, трансплантации островков также страдают от ограниченности круга доноров. По крайней мере, 1 млн американцев болеют сахарным диабетом 1 типа, и только несколько тысяч доноров поджелудочной железы бывают доступны каждый год. Чтобы обойти эту проблему дефицита органов, исследователи продолжают искать способы «выращивать» островки — или, по крайней мере, клетки, способные к физиологически регулируемой секреции инсулина — в пробирке, но в настоящее время только островки от трупных доноров могут быть использованы для восстановления эугликемии. Что ещё больше усугубляет проблему (и, в отличие от трансплантации почек, печени и сердца, где только один донор необходим для каждого реципиента), большинство реципиентов пересадки островков требуют островковых клеток от двух или более доноров для достижения эугликемии. Наконец, современные методы выделения островковых клеток нуждаются в улучшении, так как только около половины попыток выделения приводят к получению готовых к пересадке островков.
В то время как исследования в области трансплантации островковых клеток добились значительного прогресса и истории успеха являются обнадеживающими, долгосрочные прогнозы безопасности и эффективности процедуры остаются неясными. Другие проблемы, связанные с данной областью, включают вопросы о влиянии наличия инсулин-продуцирующие чужеродных клеток в печеночной паренхиме, долгосрочные последствия портальной гипертензии, проистекающей из введения островков и тот факт, что островок получателей могут иметь повышенную чувствительность к типам донорской ткани, что затрудняет нахождение подходящего донора, если для спасения жизни в будущем потребуется ещё одна трансплантация. Кроме того, за четыре года после трансплантации очень мало реципиентов за четыре года после трансплантации клеток сохранили эугликемию без использования какого-либо экзогенного инсулина. Таким образом, в то время как большинство получателей островков достигают лучшего контроля гликемии и меньше страдают серьезной гипогликемией, трансплантация островковых клеток всё ещё не является способом окончательного лечения диабета.
Будущее
Точно так же, как первые исследования трансплантации островковых клеток поджелудочной железы давали многообещающие результаты, нынешние исследования должны преодолеть препятствия, выявленные в ходе недавних опытов по пересадке данного вида клеток. Новые иммуномодуляторы дают наибольшую надежду на революцию в данной области. Новые схемы лечения, способные вызвать переносимость пересаженных островков, позволят получателям сохранить свои трансплантаты без общего подавления иммунитета и связанных с этим токсических эффектов. Хотя в настоящее время исследуются многие варианты, никакие из них не готовы к использованию в клинической практике.
Островковые клетки также могут снабжаться специальным покрытием, которое защищает их от иммунной системы, в то же время не препятствуя высвобождению инсулина. Сообщается, что так делается в «биореакторе» ßAir, «проприетарной (то есть фирменной) имплантируемой биоискусственной поджелудочной железе»[14] разработанном израильской медико-технической компанией Beta-O 2 Technologies Ltd. Компания была основана в 2004 году. Первая имплантация больному человеку была проведена в 2012 году с последующим медицинским наблюдением в Техническом университете Дрездена (Германия) в течение 10 месяцев, и исследование безопасности / эффективности I фазы ßAir (клиническое испытание) началось в 2014 в университетской клинике Упсалы в Швеции[15] . Как сообщают разработчики, свободному от необходимости проверить уровень глюкозы в крови и вводить инсулин, пациенту с вживленным ßAir все равно придется вводить с помощью иглы из отдельного устройства суточные дозы кислорода в имплантат для поддержания в нём жизнеспособности клеток[16].
Многообещающим подходом к получению островковых стволовых клеток для заместительной клеточной терапии диабета является генная инженерия эмбриональных стволовых клеток человека (чЭСК) для индуцирования толерогенной локальной микросреды. Созданы и проходят испытания островковые клетки способные секретировать такие цитокины, как интерлейкин-10 (IL-10) и модифицированный IL-2, которые привлекают в островковые трансплантаты регуляторные Т-клетки (Tregs), способные защитить их от отторжения. В опытах на мышах цитокин-секретирующие островковые клетки человека были устойчивы к ксеноотторжению и корректировали диабет на протяжении 8 недель после трансплантации без необходимости инкапсуляции или иммуносупрессии[17].
Примечания
Ссылки
- Chicago Diabetes Project: Global Collaboration for a Faster Cure (англ. Чикагский диабетический проект: Глобальное сотрудничество для поиска более быстрого средства исцеления).
- NIH Clinical Islet Transplant Consortium (CIT) (англ. NIH Клинический консорциум Национальных институтов здравоохранения по трансплантации островковых клеток (CIT))
- Collaborative Islet Transplant Registry (CITR) (англ. Совместный реестр трансплантации островковых клеток (CITR))
- Uppsala University Hospital (англ. Университетская клиника Упсала) Обновлено 20 сентября 2012
- VIDEO: Update on Islet Transplantation at the University of Wisconsin Dr. Luis Fernandez, November 2007. (англ. ВИДЕО: Обновление по Трансплантации островковых клеток в Университете Висконсина доктора Луиса Фернандеса, ноябрь 2007).
- Clinical Islet Transplant Program — University of Alberta (англ. Клиническая программа трансплантации островковых клеток — Университет провинции Альберта, Канада)
- Diabetes Research Institute (DRI) (англ. Научно-исследовательский институт диабета (DRI))
- Diabetes Clinical Trials (Диабет. Клинические испытания)
- Майами: реципиенты островковых клеток [1]
- Mayo Clinic: Islet cell transplant: Emerging treatment for type 1 diabetes (Клиника Mayo: трансплантации островковых клеток: новые методы лечения больных диабетом 1 типа)
- Islet Cell Transplant Program — UW Health (Программа трансплантации островковых клеток — Издание факультета медицины и охраны здоровья Университета штата Висконсин).
- Immune Tolerance Network (Сеть иммунной толерантности)