Тестирование на COVID-19
Тестирование на коронавирусную болезнь COVID-19 возможно двумя основными методами: с помощью молекулярного распознавания и серологического тестирования.
Молекулярные методы используют полимеразную цепную реакцию (ПЦР) наряду с тестами на нуклеиновые кислоты и другими передовыми аналитическими методами для обнаружения генома вируса. Более оперативные серологические методы направлены на выявление антител к вирусу SARS-CoV-2, которые продолжают циркулировать даже после того, как инфекция устранена[1].
Таким образом, серологические тесты, которые могли не указывать на активную инфекцию, используют только для наблюдения и в исследовательских целях, в то время как методы молекулярных тестов используются для диагностики активных инфекций[1].
Методы испытаний
Один из ранних тестов ПЦР был разработан в Шарите в Берлине в январе 2020 года с использованием полимеразной цепной реакции с обратной транскрипцией в реальном времени (ОТ-ПЦР, RT-PCR) и лег в основу 250 000 наборов для распространения Всемирной организацией здравоохранения (ВОЗ)[2].
Южнокорейская компания Kogenebiotech разработала клинический комплект для обнаружения SARS-CoV-2 на основе ПЦР (PowerChek Coronavirus) 28 января 2020 года[3][4]. Он ищет ген «E», общий для всех бета-коронавирусов, и ген RdRp, специфичный для SARS-CoV-2[5]. Другие компании в стране, такие как Solgent и Seegene, тоже разработали версии наборов для определения клинического уровня, названные DiaPlexQ и Allplex 2019-nCoV Assay, соответственно, в феврале 2020 года.
Китайская BGI Group была одной из первых компаний, получивших разрешение на экстренное использование от Национального управления медицинской продукции Китая на комплект обнаружения SARS-CoV-2 на основе ПЦР[6].
В США Центры по контролю и профилактике заболеваний распространяют диагностическую панель ОТ-ПЦР в реальном времени CDC 2019-Новый коронавирус (2019-nCoV) среди лабораторий общественного здравоохранения через Международный ресурс по реагентам[7]. Один из трёх генетических тестов в более старых версиях тестовых наборов вызвал неубедительные результаты и узкое место тестирования в CDC в Атланте; испытания с использованием двух компонентов были признаны надёжными 28 февраля 2020 года, что позволило государственным и местным лабораториям быстро завершить испытания[8]. Тест был одобрен Управлением по санитарному надзору за качеством пищевых продуктов и медикаментов на основании разрешения на экстренное использование.
Коммерческие лаборатории США начали испытания в начале марта 2020 года. С 5 марта 2020 года LabCorp объявил о доступности тестирования COVID-19 на основе ОТ-ПЦР по всей стране[9]. Quest Diagnostics также сделал общенациональное тестирование COVID-19 доступным с 9 марта 2020 года[10]. Сбор и обработка образцов должны выполняться в соответствии с требованиями CDC.
Сообщалось, что 12 марта 2020 года в клинике Майо был разработан тест для выявления инфекции COVID-19[11].
| Страна | Учреждение | Гены-мишени |
|---|---|---|
| Китай | China CDC | ORF1ab and Nucleoprotein (N) |
| Германия | Charité | RdRP, E, N |
| Гонконг | HKU | ORF1b-nsp14, N |
| Япония | National Institute of Infectious Diseases, Department of Virology III |
Pancorona and multiple targets, Spike protein (Peplomer) |
| Таиланд | National Institute of Health | N |
| США | US CDC | Three targets in N gene |
| Франция | Pasteur Institute | Two targets in RdRP |
13 марта 2020 года Roche Diagnostics получила одобрение FDA на проведение теста, который может быть проведён в течение 3,5 часов, что позволило одной машине выполнить приблизительно 4128 тестов в течение 24 часов[13].
Серологический анализ коронавируса основан на обнаружении в крови типоспецифических антител к SARS-CoV-2, которые вырабатывается в организме в процессе болезни. Данные методы эффективны при анализе на антитела к коронавирусу у переболевших COVID-19, то есть обнаруживает антитела как при наличии, так и при отсутствии возбудителя на слизистой носо/ротоглотки. Соответственно иммуноферментные и иммунохроматографические тесты позволяют отслеживать: людей, имеющих иммунитет, переболевших людей, в том числе бессимптомно, и выздоровевших пациентов с высокой концентрацией антител в крови, которые могут быть потенциальными донорами плазмы, использующейся для лечения тяжелобольных пациентов.
Тест на коронавирус серологическим методом состоит в выявлении антител IgM и IgG к COVID-19 методом иммуноферментного анализа (ИФА, ELISA), в том числе иммунохемилюминесцентного (ИХЛА), базирующегося на принципе иммунного взаимодействия между антителом (защитный белок, продуцируемый в организме человека для защиты от антигена) и антигеном (патогеном) с последующим образованием специфического комплекса антиген–антитело к SARS-CoV-2. Иммуноглобулины М говорят об активном иммунном ответе, то есть о том, что человек сейчас болеет коронавирусом, а иммуноглобулины G говорят о том, что человек уже переболел, и у него выработался иммунитет к вирусу. При этом антитела к коронавирусу IgM и IgG вырабатываются в организме у человека лишь в срок с 7 по 14 сутки от момента попадания коронавируса в организм, то есть антитела у переболевших COVID-19 могут быть выявлены лишь после этого срока[14][15].
Исследуется метод, основанный на активности расщепления коллатеральной одноцепочечной ДНК (ssDNA) CRISPR[16]. Другими словами, образец РНК ретранскрибируется в кДНК и амплифицируется с использованием амплификации рекомбиназной полимеразы в сочетании с ферментом обратной транскриптазы. Это усиление является изотермическим и, следовательно, требует гораздо более простого оборудования, чем ПЦР. Если в образце присутствует целевая РНК из SARS-CoV-2, соответствующая кДНК связывается с Cas12a и запускает коллатеральное расщепление меченного флуоресцеином одноцепочечного зонда ДНК. Это расщепление испускает флуоресцентный сигнал, который может быть интерпретирован на считывающем устройстве для планшетов или обнаружен на бумажной полосе (посредством бокового потока) портативным способом. Этот метод был протестирован на смоделированных клинических образцах (протестировано добавление синтетических фрагментов РНК SARS-CoV-2 к образцам слюны от здорового донора), но не был протестирован на образцах пациентов[17].
Метод LAMP (loop-mediated isothermal amplification) — данное экспресс-тестирование включает в себя две стадии: экстракцию РНК нового коронавируса из анализируемых образцов и проведение полимеразной цепной реакции, которая подтверждает наличие или отсутствие РНК COVID-19. Реакция проводится при постоянной температуре 60-65 °С. Среди её отличительных особенностей — низкая чувствительность к примесям, возможность использовать в качестве исходной матрицы кровь или другие биологические жидкости, быстрое накопление продуктов реакции (15-60 минут), не требует дорогостоящего оборудования, детекция результатов реакции может проводится невооружённым глазом.
В апреле 2020 года российская компания Генериум (Группа "Медико-биологический Союз") выпустила набор реагентов для тест-системы Изотерм SARS-CoV-2 РНК-скрин для выявления РНК SARS-CoV-2, в котором используется метод петлевой изотермальной амплификации. Метод LAMP нашёл применение и в экспресс тест-системах Смартлайфкеа, а также компаний Литех, Генериум и Эвотэк-Мирай геномикс.
Метод экспресс-диагностики, использующий иммунохроматографический анализ на коронавирус у человека (ИХА) с временем оценки результата в пределах 5-15 минут. Для этого вида анализа используются индикаторные бумажные полоски, панели, палочки, или тест-кассеты, обеспечивающих высокую скорость проведения тестирования. В основе технологии — растворимые моноклональные антитела к исследуемому антигену или конъюгированные с красителем (коллоидным золотом), который легко можно идентифицировать даже в минимальных концентрациях. Антитела наносятся вблизи участка нанесения на тест-полоски биологического материала (кровь). Или как вариант — поликлональные антитела к исследуемому антигену, которые жёстко иммобилизованы в тест-зоне полоски.
Однако диагностика нового коронавируса при помощи иммунохроматографических тест-полосок имеет целый ряд недостатков, касающиеся надёжности и чувствительности, что зависит от качества моноклональных антител, используемых в тесте, а также от концентрации в биоматериале антигена, что в свою очередь зависит от количества биоматериала и стадии заболевания.
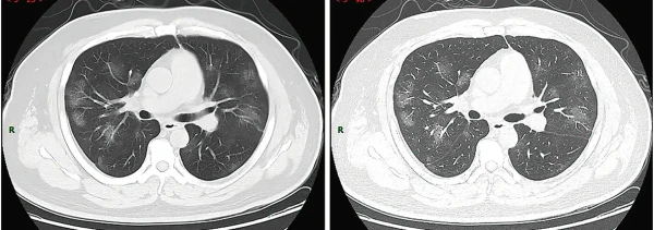
КТ грудной клетки иногда может помочь идентифицировать и охарактеризовать патологию лёгких и дать неспецифические результаты при инфекции COVID-19. Систематический обзор результатов компьютерной томографии грудной клетки у 919 пациентов описал типичное раннее проявление COVID-19 как «двустороннее мультилобарное помутнение матового стекла (GGO) с периферическим или задним распределением»[18]. Одно исследование показало, что чувствительность КТ к инфекции COVID-19 составила 98 % по сравнению с чувствительностью ОТ-ПЦР на 71 %; однако это было сделано в китайской провинции Ухань и не подлежит обобщению[19]. Наиболее распространёнными результатами компьютерной томографии были двустороннее затухание матового стекла (пятнистое или рассеянное) с субплевральным доминированием, сумасшедшей укладкой и консолидацией на более поздних стадиях.[20] Эти данные являются неспецифичными и обнаруживаются также при других типах пневмонии. Небольшое исследование показало, что китайские рентгенологи продемонстрировали чувствительность 72-94 % и 24-94 % в дифференцировании COVID-19 от других типов вирусной пневмонии с использованием компьютерной томографии[21]. Ни одно исследование ещё не подтвердило точность и дискриминационную ценность компьютерных томографий, чтобы отличить COVID-19 от других вирусных пневмоний. Поэтому CDC не рекомендует КТ для первоначального скрининга, как подчёркивалось в звонке COCA в четверг, 5 марта. Люди с подозрением на COVID-19 должны проходить ОТ-ПЦР, которая является наиболее специфическим тестом[22].
Сбор образцов
Используя обратную транскрипционную полимеразную цепную реакцию в реальном времени (ОТ-ПЦР)[23], тест может быть проведён на образцах дыхательных путей, полученных различными методами, включая мазок из носоглотки или образец мокроты[24]. Результаты получают от нескольких часов до 2 дней[25].
Гонконг разработал схему, в которой подозреваемые пациенты могут оставаться дома: «отделение неотложной помощи передаст пациенту пробирку с образцом», они плюют в неё, отправляют обратно, а потом через некоторое время получают результат теста[26].
Британская NHS объявила, что начнёт проверять подозрительные случаи дома, что устраняет риск заражения пациента больными, которых они могут встретить в больнице[27].
В ходе сквозного тестирования на COVID-19 для подозрительных случаев медицинский работник берет образец с соблюдением соответствующих мер предосторожности[28][29]. Передвижные центры помогли Южной Корее провести одно из самых быстрых и масштабных тестирований на коронавирус в мире[30].
Производство и объём тестирования
Ещё 21 февраля 2020 года и лабораторные тесты на антитела к COVID-19, и тесты экспресс диагностики (ТЭД), позволяющие произвести иммуноанализ на месте, без отправки в лабораторию, были недоступны для широкого применения[31]. Многие серологические тесты находились на стадии исследования, некоторые из них были одобрены к применению. Так, тест экспресс диагностики (ТЭД) DNK-1419-1, разработанный китайской компанией Dynamiker был одобрен для применения и включён в 7-й выпуск Протокола диагностики и лечения Covid-19 Государственной службы по регулированию медицинской продукции Китая (NMPA) и начал применяться с 22 февраля 2020 года. Тест позволяет с 92 % точностью определить наличие у пациента антител IgG и IgM и применяется в КНР. Также NMPA одобрила для применения в КНР ТЭД китайской компании Guangdong Hecin-Scientific, который позволяет определять наличие IgM. ТЭД другой китайской компании Aytu Biosciences/Orient Gene Biotech с чувствительностью 87,9 % к IgG и 97,2 % к IgM и специфичностью соответственно 100 % для обеих групп антител, получил одобрение для использования в Китае и был применён в клинических условиях.
США[32] и Австралия[33] имели проблемы с надёжностью тест-наборов в начале вспышки, а также не смогли предоставить достаточного количества наборов для удовлетворения спроса и рекомендаций для тестирования экспертами здравоохранения. В отличие от этого, широкая доступность тестирования в Южной Корее помогла снизить распространение нового коронавируса, по заявлению экспертов. В течение нескольких лет правительство Южной Кореи создавало возможности для проведения испытаний, в основном в лабораториях частного сектора[34]. 16 марта Всемирная организация здравоохранения призвала активизировать программы тестирования как лучший способ замедлить развитие пандемии Covid-19[35][36].
28 февраля 2020 года южнокорейская компания PCL подала запрос в Министерство продовольственной и лекарственной безопасности Южной Кореи на их набор для обнаружения на основе антител COVID-19 Ag GICA Rapid . В отличие от набора для определения на основе ОТ-ПЦР, PCL утверждает, что их набор на основе антител может поставить диагноз в течение 10 минут.
8 марта 2020 года тайваньская Academia Sinica объявила, что моноклональное антитело, специфически связывающее белок нуклеокапсида (N-белок) нового коронавируса, было успешно создано и протестировано за 19 дней. Если может быть разработан набор для быстрого иммунологического тестирования, он может обнаружить заболевание в течение 15-20 минут, аналогично быстрому тесту на грипп[37].
Компания BioMedomics из Северной Каролины, США, утверждает, что разработала экспресс-тест на антитела, который даст результаты через 15 минут[38]. Он обнаруживает антитела как IgM, так и IgG, используя кровь, взятую из вен или пальца, однако официально доказано это не было[39].
Диагностика по странам
Первой организацией, выпустившей во второй декаде февраля 2020 года набор реагентов для выявления РНК коронавируса методом ПЦР Вектор-ПЦРрв-2019-nCoV-RG, стал ФБУН ГНЦ ВБ «Вектор» Роспотребнадзора.
На 5 марта 2020 проведено 51366 тестов[40], а на 20 марта проведено 143 тыс. тестов на коронавирус[41][42], благодаря чему Россия стала одним из мировых лидеров по тестированию населения — на 20-е марта она занимала 5-е место в мире по числу проведённых тестов на коронавирус[43]. По информации Роспотребнадзора, 26 марта было проведено 26 тысяч тестов на коронавирусную инфекцию.
12 марта стало известно что около 80 тысяч тестов было передано другим государствам, в частности российские тесты получили Иран, Азербайджан, Узбекистан, Таджикистан, Туркмения, Монголия и КНДР[44].
16 марта вице-премьер России Татьяна Голикова заявила, что Россия начала производить до 100 тысяч тест-систем по выявлению коронавирусной инфекции COVID-19 в сутки, что стало рекордом в мире[45].
По состоянию на 24 марта в России было зарегистрировано четыре теста на коронавирус, из них три созданы государственными структурами: два — научным центром «Вектор Роспотребнадзора (зарегистрирована Росздравнадзором 11 февраля 2020 года, регистрационный номер РЗН 2020/9677)[46] и один — «Центром стратегического планирования и управления рисками» («ЦСП») Минздрава России (РЗН 2020/9765)[47]. 25 марта Росздравнадзор зарегистрировал ещё один набор реагентов для выявления коронавируса от ЦНИИ эпидемиологии Роспотребнадзора.
В марте 2020 года в ФНКЦ ФХМ ФМБА России разработана тест-система Поливир SARS-CoV-2, базирующаяся на выявлении РНК SARS-CoV-2 методом ПЦР с обратной транскрипцией в пробах из мазков из носа, ротоглотки, секрета бронхов, аспирата трахеи, крови, мочи, сыворотки больных нуклеиновых кислот. Также можно обследовать лиц, не являющихся контактными и не имеющих симптомов заболевания. Вариант этой тест системы express позволяет выделять РНК (экспресс тест) всего за 15 минут, а полный анализ за 90 минут. При этом высокая чувствительность тест-системы позволяет определить нуклеиновые кислоты в очень низких концентрациях. Также аналогичную высокочувствительную диагностическую тест-систему систему Поливир SARS-CoV-2 разработала компания НПФ Литех, которую выпускают в базовом варианте и экспресс. Тест адаптирован для работы на популярных моделях амплификаторов и предусматривает возможность контроля мутаций вируса, что позволяет снизить риск ложноотрицательных ответов.
С 6 апреля 2020 года Центр молекулярной диагностики Роспотребнадзора начал проводить тесты на CОVID-19 на дому в Москве и Московской области. В дальнейшем тестирование охватит и другие регионы[48]. В этот же день премьер-министр Михаил Мишустин заявил, что сам анализ на COVID-19 и последующие лабораторные исследования будут оплачиваться из фонда ОМС[49].
6 апреля 2020 года в России был запатентован 40-минутный экспресс-тест на COVID-19 с точностью до 94 %[50].
10 апреля государственный научный центр «Вектор» зарегистрировал тест-систему для обнаружения антител к коронавирусу. При помощи теста на антитела врачи смогут выявлять переболевших коронавирусом.
На 17 апреля 2020 года официально объявлено о более чем 1,71 млн тестов за весь срок проведения и 104,6 тыс. тестов за сутки[42].
По состоянию на 30 апреля 2020 года тестирование проводили 106 лабораторий Роспотребнадзора, 66 частных лаборатории и 364 лаборатории, располагающихся при государственных медицинских организациях.
Для проведения массового тестирования в Москве с 15 мая 2020 года подготовлены автоматические анализаторы крови для выявления антител к коронавирусу по методу ИФА (иммуноферментный анализ)[51].
Российские организации, зарегистрировавшие тест-системы по состоянию на середину 2020 года: ФБУН ГНЦ ВБ «Вектор» Роспотребнадзора (ПЦР, ИФА, IgG к SARS-COV-2); ФГБУ «ЦСП» Минздрава России (ПЦР); ООО «СМАРТЛАЙФКЕА» (изотермическая амплификация); ФБУН ЦНИИ эпидемиологии Роспотребнадзора (ПЦР); АО «Вектор-Бест» (ПЦР); ООО НПФ «Литех» (ПЦР, ИФА, IgG); ООО «ДНК-Технология ТС» (ПЦР); АО «Генериум» (изотермическая амплификация); ФГБУ «48 ЦНИИ» Минобороны России (ПЦР); ООО «МедипалТех» (ПЦР); ООО «Система-БиоТех» (ПЦР); ООО «ЭВОТЭК-МИРАЙ ГЕНОМИКС» (изотермическая амплификация); ООО «АВИВИР» (ПЦР); ООО «БИОТЭК» (экспресс-тест, IgG/IgM к SARS-CoV-2); ООО «Генотек» (ПЦР); ООО «Хема» (экспресс-тест, ИХА, антитела к SARS-CoV-2); ФГБУ «НМИЦ гематологии» Минздрава России (ИФА, IgG к SARS-CoV-2); ФГБУ «НИЦЭМ им. Н.Ф. Гамалеи» (ПЦР); ФБУН НИИ «Эпидемиологии и микробиологии им. Пастера» (ПЦР); ООО «Миндрей Медикал Рус» (ИХЛА, IgM к SARS-CoV-2); ФБУН ГНЦ ПМБ (ИФА, IgG к SARS-CoV-2)[52].
До 16 марта самостоятельная сдача анализов на COVID-19 не предусматривалась[53][42], в частные медицинские организации тесты не поступали[54]. Обследование на COVID-19 назначалось медицинскими работниками в случае:
- прибытия из эпидемиологически неблагополучных по COVID-19 стран и регионов за 14 дней до появления симптомов;
- наличия тесных контактов за последние 14 дней с лицами, находящимися под наблюдением по COVID-19, которые в последующем заболели;
- наличия тесных контактов за последние 14 дней с лицами, у которых лабораторно подтверждён диагноз COVID-19;
- по медицинским показаниям, в частности с 24 февраля обязательной стала диагностика на COVID-19 в случае пневмонии[55].
16 марта вице-премьер РФ Татьяна Голикова сообщила, что россияне смогут свободно провериться на наличие у себя этого вируса в специализированных лабораториях[56]. В тот же день администрация Санкт-Петербурга опубликовала список клиник в которых можно свободно пройти тестирование[57]. С 20 марта в Ленобласти работают мобильные лаборатории[58].
27 мая на официальном сайте Мэра Москвы было объявлено о возможности сдачи теста на антитела к коронавирусу всеми желающими. Вскоре, в Сети появилась сводная информация о клиниках, с бесплатным платным вариантом сдачи теста[59].
Статистика выполненных тестов по странам
| Страна | Общее число тестов |
Число тестов на 1000 чел.[60][61] |
Население[60] | Дата | Ссылка |
|---|---|---|---|---|---|
| Австралия | 28 776 897 | 1128,51 | 25 499 881 | 19 августа 2021 | [62] |
| Австрия | 15 871 248 | 1762,21 | 9 006 400 | 22 августа 2021 | [63] |
| Азербайджан | 4 304 865 | 424,57 | 10 139 175 | 22 августа 2021 | [64] |
| Албания | 998 817 | 347,07 | 2 877 800 | 22 августа 2021 | [65] |
| Андорра | 19 166 | 248,05 | 77 265 | 18 августа 2021 | [66] |
| Аргентина | 21 278 831 | 470,81 | 45 195 777 | 21 августа 2021 | [67] |
| Армения | 1 483 890 | 500,76 | 2 963 234 | 22 августа 2021 | [68] |
| Аруба | 89 939 | 842,39 | 106 766 | 6 февраля 2021 | [69] |
| Афганистан | 748 284 | 19,20 | 38 928 341 | 21 августа 2021 | [70] |
| Багамские Острова | 61 212 | 155,65 | 393 248 | 7 февраля 2021 | [71] |
| Бангладеш | 5 444 255 | 33,05 | 164 689 383 | 29 апреля 2021 | [72] |
| Барбадос | 247 193 | 860,18 | 287 371 | 22 августа 2021 | [73] |
| Бахрейн | 5 763 404 | 3387,08 | 1 701 583 | 22 августа 2021 | [74] |
| Белиз | 30 881 | 77,66 | 397 621 | 30 ноября 2020 | [75] |
| Белоруссия | 7 623 360 | 806,76 | 9 449 321 | 20 августа 2021 | [76] |
| Бельгия | 18 240 201 | 1573,83 | 11 589 616 | 20 августа 2021 | [77][78] |
| Бенин | 434 422 | 35,83 | 12 123 198 | 6 февраля 2021 | [79] |
| Бермудские Острова | 436 268 | 7005,73 | 62 273 | 22 августа 2021 | [80] |
| Болгария | 4 008 332 | 576,86 | 6 948 445 | 22 августа 2021 | [81] |
| Боливия | 1 142 192 | 97,84 | 11 673 029 | 28 апреля 2021 | [82] |
| Босния и Герцеговина | 1 113 991 | 339,54 | 3 280 815 | 20 августа 2021 | [83] |
| Бразилия | 13 486 924 | 63,45 | 212 559 409 | 7 февраля 2021 | [84][85] |
| Великобритания | 256 319 014 | 3775,72 | 67 886 004 | 21 августа 2021 | [86][87] |
| Венгрия | 6 467 683 | 669,50 | 9 660 350 | 20 августа 2021 | [88] |
| Венесуэла | 2 614 278 | 91,93 | 28 435 943 | 28 января 2021 | [89][90] |
| Вьетнам | 2 482 302 | 25,50 | 97 338 583 | 15 марта 2021 | [91][92] |
| Гана | 1 087 417 | 34,99 | 31 072 945 | 26 апреля 2021 | [93] |
| Гватемала | 1 251 067 | 69,83 | 17 915 567 | 28 апреля 2021 | [94] |
| Германия | 68 859 676 | 821,87 | 83 783 945 | 19 августа 2021 | [95] |
| Гибралтар | 330 131 | 9798,78 | 33 691 | 22 августа 2021 | [96] |
| Гонконг | 11 193 673 | 1493,08 | 7 496 988 | 23 марта 2021 | [97] |
| Гренландия | 18 515 | 326,12 | 56 772 | 12 февраля 2021 | [98] |
| Греция | 8 079 691 | 775,17 | 10 423 056 | 29 апреля 2021 | [99] |
| Дания | 39 997 828 | 6905,46 | 5 792 203 | 22 августа 2021 | [100][101] |
| Джибути | 202 567 | 205,02 | 988 002 | 21 августа 2021 | [102] |
| Доминиканская Республика | 1 925 367 | 177,48 | 10 847 904 | 11 августа 2021 | [103] |
| Зимбабве | 516 100 | 34,72 | 14 862 927 | 12 мая 2021 | [104] |
| Замбия | 2 216 799 | 120,58 | 18 383 956 | 21 августа 2021 | [105] |
| Израиль | 16 213 910 | 1873,24 | 8 655 541 | 3 мая 2021 | [106] |
| Индия | 506 256 239 | 366,85 | 1 380 004 385 | 21 августа 2021 | [107] |
| Индонезия | 20 415 957 | 74,64 | 273 523 621 | 22 августа 2021 | [108] |
| Иордания | 6 704 884 | 657,13 | 10 203 140 | 1 мая 2021 | [109] |
| Ирак | 9 408 134 | 233,90 | 40 222 503 | 2 мая 2021 | [110] |
| Иран | 27 755 618 | 330,45 | 83 992 953 | 21 августа 2021 | [111] |
| Ирландия | 6 416 079 | 1299,38 | 4 937 796 | 22 августа 2021 | [112] |
| Исландия | 353 467 | 1035,80 | 341 250 | 3 мая 2021 | [113] |
| Испания | 53 892 999 | 1152,67 | 46 754 783 | 12 августа 2021 | [114][115] |
| Италия | 56 252 852 | 930,38 | 60 461 828 | 21 августа 2021 | [116][117] |
| Казахстан | 10 307 341 | 548,94 | 18 776 707 | 2 мая 2021 | [118] |
| Каймановы Острова | 124 033 | 1887,29 | 65 720 | 20 августа 2021 | [119] |
| Канада | 39 731 231 | 1052,70 | 37 742 157 | 20 августа 2021 | [120] |
| Катар | 1 937 204 | 672,39 | 2 881 060 | 7 мая 2021 | [121] |
| Кения | 1 675 310 | 31,15 | 53 771 300 | 4 мая 2021 | [122] |
| Кипр | 5 142 725 | 5871,36 | 875 899 | 28 апреля 2021 | [123] |
| Киргизия | 267 718 | 40,99 | 6 524 191 | 25 июля 2020 | [124] |
| Китайская Народная Республика | 160 000 000 | 111,16 | 1 439 323 774 | 1 августа 2020 | [125][126][127][128] |
| Китайская Республика | 224 617 | 9,43 | 23 816 775 | 13 мая 2021 | [129] |
| Колумбия | 14 675 095 | 288,40 | 50 882 884 | 29 апреля 2021 | [130] |
| Коста-Рика | 798 469 | 156,74 | 5 094 114 | 27 апреля 2021 | [131] |
| Кот-д’Ивуар | 590 207 | 22,37 | 26 378 275 | 28 апреля 2021 | [132] |
| Республика Корея | 9 186 083 | 179,17 | 51 269 183 | 14 мая 2021 | [133] |
| Куба | 3 923 413 | 346,38 | 11 326 616 | 12 мая 2021 | [134] |
| Кувейт | 2 343 069 | 548,65 | 4 270 563 | 2 мая 2021 | [135][136] |
| Латвия | 2 270 202 | 1203,58 | 1 886 202 | 4 мая 2021 | [137] |
| Ливия | 197 575 | 28,75 | 6 871 287 | 19 сентября 2020 | [138] |
| Литва | 2 859 711 | 1050,48 | 2 722 291 | 1 мая 2021 | [139][140] |
| Люксембург | 2 675 294 | 4273,79 | 625 976 | 1 мая 2021 | [141] |
| Мавритания | 254 282 | 54,68 | 4 649 660 | 4 апреля 2021 | [142] |
| Мадагаскар | 194 234 | 7,01 | 27 691 019 | 13 мая 2021 | [143] |
| Малави | 183 239 | 9,57 | 19 129 955 | 22 февраля 2021 | [144] |
| Малайзия | 10 341 089 | 319,50 | 32 365 998 | 13 мая 2021 | [145] |
| Мальдивы | 795 204 | 1471,12 | 540 542 | 13 мая 2021 | [146] |
| Мальта | 891 075 | 2018,11 | 441 539 | 13 мая 2021 | [147] |
| Марокко | 5 852 501 | 158,55 | 36 910 558 | 13 мая 2021 | [148] |
| Мексика | 6 374 398 | 49,44 | 128 932 753 | 12 мая 2021 | [149] |
| Мозамбик | 530 868 | 16,98 | 31 255 435 | 12 мая 2021 | [150] |
| Монголия | 2 800 505 | 854,25 | 3 278 292 | 12 мая 2021 | [151] |
| Мьянма | 2 597 378 | 47,73 | 54 409 794 | 13 мая 2021 | [152][153] |
| Намибия | 406 093 | 159,82 | 2 540 916 | 13 мая 2021 | [154] |
| Непал | 2 712 562 | 93,09 | 29 136 808 | 13 мая 2021 | [155] |
| Нидерланды | 9 274 494 | 541,26 | 17 134 873 | 10 мая 2021 | [156] |
| Нигерия | 1 977 479 | 9,59 | 206 139 587 | 10 мая 2021 | [157] |
| Новая Зеландия | 2 073 522 | 429,99 | 4 822 233 | 14 мая 2021 | [158] |
| Норвегия | 5 336 002 | 984,27 | 5 421 242 | 11 мая 2021 | [159] |
| ОАЭ | 46 559 437 | 4707,53 | 9 890 400 | 13 мая 2021 | [160][161][162] |
| Оман | 308 333 | 60,37 | 5 106 622 | 5 августа 2020 | [163] |
| Пакистан | 12 380 676 | 56,04 | 220 892 331 | 14 мая 2021 | [164] |
| Государство Палестина | 1 046 476 | 205,13 | 5 101 416 | 7 февраля 2021 | [165] |
| Панама | 2 483 460 | 575,57 | 4 314 768 | 12 мая 2021 | [166] |
| Парагвай | 1 163 633 | 163,14 | 7 132 530 | 12 мая 2021 | [167] |
| Перу | 6 176 497 | 187,32 | 32 971 846 | 27 января 2021 | [168][169] |
| Польша | 15 017 415 | 396,79 | 37 846 605 | 13 мая 2021 | [170] |
| Португалия | 11 052 822 | 1083,96 | 10 196 707 | 12 мая 2021 | [171] |
| Россия | 132 774 924 | 909,82 | 145 934 460 | 13 мая 2021 | [172] |
| Руанда | 1 354 868 | 104,60 | 12 952 209 | 13 мая 2021 | [173] |
| Румыния | 7 587 984 | 394,43 | 19 237 682 | 13 мая 2021 | [174] |
| Сальвадор | 892 564 | 137,61 | 6 486 201 | 22 апреля 2021 | [175] |
| Сан-Марино | 32 314 | 952,14 | 33 938 | 23 января 2021 | [176] |
| Саудовская Аравия | 17 812 376 | 511,64 | 34 813 867 | 12 мая 2021 | [177] |
| Северная Македония | 728 726 | 349,78 | 2 083 380 | 4 мая 2021 | [178] |
| Сенегал | 506 181 | 30,23 | 16 743 930 | 13 мая 2021 | [179] |
| Сен-Бартелеми | 12 422 | 1317,70 | 9427[180] | 6 января 2021 | [181] |
| Сен-Мартен | 15 427 | 439,42 | 35 107[180] | 28 января 2021 | [181] |
| Сен-Пьер и Микелон | 4148 | 687,43 | 6034[180] | 1 февраля 2021 | [182] |
| Сербия | 3 977 053 | 584,46 | 6 804 596 | 13 мая 2021 | [183] |
| Сингапур | 10 441 802 | 1784,81 | 5 850 343 | 10 мая 2021 | [184] |
| Словакия | 2 752 948 | 504,23 | 5 459 643 | 13 мая 2021 | [185] |
| Словения | 1 224 095 | 588,81 | 2 078 932 | 13 мая 2021 | [186] |
| Южный Судан | 158 678 | 14,17 | 11 193 729 | 13 мая 2021 | [187] |
| США | 429 959 899 | 1298,96 | 331 002 647 | 11 мая 2021 | [188][189] |
| Таиланд | 4 351 770 | 62,34 | 69 799 978 | 24 апреля 2021 | [190] |
| Того | 320 455 | 38,70 | 8 278 737 | 13 мая 2021 | [191] |
| Тринидад и Тобаго | 147 470 | 105,37 | 1 399 491 | 11 мая 2021 | [192] |
| Тунис | 1 376 013 | 116,42 | 11 818 618 | 13 мая 2021 | [193] |
| Турция | 50 259 943 | 595,92 | 84 339 067 | 13 мая 2021 | [194] |
| Уганда | 1 052 657 | 23,01 | 45 741 000 | 11 мая 2021 | [195] |
| Украина | 9 790 291 | 223,86 | 43 733 759 | 14 мая 2021 | [196] |
| Уругвай | 1 934 871 | 557,00 | 3 473 727 | 11 мая 2021 | [197] |
| Фарерские острова | 214 876 | 4397,33 | 48 865 | 18 января 2021 | [198] |
| Фиджи | 49 632 | 55,36 | 896 444 | 27 апреля 2021 | [199] |
| Филиппины | 11 710 535 | 106,86 | 109 581 085 | 12 мая 2021 | [200] |
| Финляндия | 4 471 333 | 806,99 | 5 540 718 | 29 апреля 2021 | [201] |
| Франция | 55 656 279 | 852,66 | 65 273 512 | 10 марта 2021 | [202][203] |
| Хорватия | 1 804 187 | 439,48 | 4 105 268 | 30 апреля 2021 | [204] |
| Черногория | 28 912 | 46,03 | 628 062 | 18 июля 2020 | [205] |
| Чехия | 4 178 444 | 390,18 | 10 708 982 | 14 января 2021 | [206] |
| Чили | 12 979 820 | 678,99 | 19 116 209 | 29 апреля 2021 | [207] |
| Швейцария и Лихтенштейн | 5 891 014 | 680,67 | 8 654 618 | 14 мая 2021 | [208] |
| Швеция | 1 661 484 | 164,51 | 10 099 270 | 1 октября 2020 | [209][210] |
| Шри-Ланка | 3 089 491 | 144,27 | 21 413 250 | 13 мая 2021 | [211] |
| Эквадор | 1 217 273 | 68,99 | 17 643 060 | 28 апреля 2021 | [212] |
| Эстония | 1 283 679 | 967,69 | 1 326 539 | 29 апреля 2021 | [213] |
| Эфиопия | 2 574 544 | 22,39 | 114 963 583 | 29 апреля 2021 | [214] |
| ЮАР | 11 010 999 | 185,65 | 59 308 690 | 13 мая 2021 | [215] |
| Ямайка | 333 911 | 112,76 | 2 961 161 | 1 мая 2021 | [216] |
| Япония | 11 368 154 | 89,88 | 126 476 458 | 3 мая 2021 | [217] |
Ссылки
- Региональным лабораториям разрешили делать тесты на коронавирус. www.interfax.ru. Дата обращения: 17 марта 2020.
- ФБУН ГНЦ Вирусологии и биотехнологии. www.interfax.ru. Дата обращения: 17 марта 2020.
- Никифоров В. В., Суранова Т. Г., Миронов А. Ю., Забозлаев Ф. Г. Новая коронавирусная инфекция (COVID-19): этиология, эпидемиология, клиника, диагностика, лечение и профилактика. — Учебно-методическое пособие. — М.: Академия постдипломного образования ФГБУ «ФНКЦ ФМБА России», 2020-02-28. — 48 с.
- Мониторинг случаев подозрения на заболевание, вызываемое коронавирусом 2019-nCoV, а также случаев заболевания внебольничными пневмониями
- Ежедневная динамика числа проведенных тестов по странам


