Перелом плечевой кости
Перелом плеча (переломы плечевой кости, лат. Fracturae humeri) — состояние, при котором происходит перелом (полный или частичный) тела плечевой кости (руки человека). Как правило, возникает при механических ударах или падениях, главным образом на локоть.
Кость довольно прочная, переломы плеча составляют всего 2,2—2,9 % среди всех переломов костей[2].
Что важно знать
| Перелом плечевой кости | |
|---|---|
| Код NCI Thesaurus | C26795[1] |
| Код ICPC 2 | L76 |
Анатомия
Верхняя часть плечевой кости имеет форму полушария и соединяется с суставной поверхностью лопатки, участвуя в образовании плечевого сустава. Расположенная сразу под головкой часть плечевой кости носит название анатомической шейки плеча.
Чуть ниже находятся точки прикрепления мышц — малый и большой бугорки. Капсула плечевого сустава охватывает анатомическую шейку плеча и заканчивается над бугорками. Под бугорками кость немного сужается и образует хирургическую шейку плеча.
Нижняя часть плечевой кости заканчивается округлой головкой мыщелка, сочленяющейся с лучевой костью и блоком плечевой кости, соединяющимся с локтевой костью.
Классификация переломов
- По локализации перелома
- Переломы верхних отделов плечевой кости (проксимального отдела)
- Переломы средней части плеча (диафиза)
- Переломы нижних отделов плечевой кости (дистального отдела)
Перелом плеча в его верхних отделах может быть внутрисуставным (надбугорковым) и внесуставным (подбугорковым).
- По тяжести поражения
- Полные.
- Без смещения (например, под надкостницей).
- Со смещением отломков (осколки кости)
- Неполные — трещины и надломы.
- По целостности кожного покрова
- Закрытые — не сопровождаются ранениями тканей.
- Открытые — сопровождающиеся ранениями мягких тканей.
- По осложнениям
- Осложнённые:
- Неосложнённые.
Верхний отдел
- Переломы проксимального отдела плечевой кости
Рентгенограмма при переломе хирургической шейки плеча. Возможен перелом головки, отрыв малого или большого бугра, перелом анатомической и хирургической шейки плеча. Наиболее распространены переломы хирургической шейки, причём подавляющую часть пострадавших составляют люди пожилого возраста. Причиной перелома обычно становится падение на локоть, плечо или отведённую руку.
Пациент предъявляет жалобы на боли в области плечевого сустава. Вколоченные переломы сопровождаются нерезким отёком, болезненностью при попытке активных движений. Пассивные движения ограничены незначительно. При переломе со смещением клиническая картина более яркая. Пострадавшего беспокоят выраженные боли. Выявляется умеренный отёк, деформация области сустава и укорочение конечности. Определяется крепитация (хруст костных фрагментов). Диагноз уточняют по результатам рентгенографии.
При вколоченных переломах руку фиксируют специальной повязкой. При переломах хирургической шейки со смещением выполняют репозицию под местной анестезией. В последующем возможна фиксация повязкой по Турнеру или на отводящей шине, лейкопластырное или скелетное вытяжение. ЛФК назначают, начиная с 7-10 недели лечения. Срок иммобилизации составляет 6 недель.
Операция показана при нестабильных и оскольчатых переломах. Противопоказанием к операции является старческий возраст и тяжёлые хронические болезни.
Средний отдел
- Переломы диафиза плечевой кости
Рентгенограмма при диафизарном переломе плеча. Переломы плеча в среднем отделе (диафизарные переломы плеча) возникают в результате падения на руку или удара по плечу, могут быть косыми, поперечными, винтообразными и оскольчатыми. Диафизарные переломы плеча нередко сочетаются с повреждением лучевого нерва. Возможно повреждение плечевых артерий и вен.
- Симптомы
Клиническими признаками перелома плеча являются боли, отёчность, деформация, крепитация костных фрагментов и патологическая подвижность плечевой кости. При переломах плеча с повреждением лучевого нерва пациент не может самостоятельно разогнуть пальцы и кисть. Для уточнения диагноза и выбора тактики лечения выполняют рентгенографическое исследование.
- Лечение
Переломы плеча без смещения фиксируют гипсовой лангетой, с последующей её заменой на закрытую повязку типа «Дезо» или «Вильпо». При этом контролируется сопоставление отломков с помощью рентгенограмм в разных проекциях. Общий срок иммобилизации при консервативном лечении диафизарных переломов плечевой кости составляет 3—3,5 месяца.
Консервативное лечение целесообразно только в редких случаях: при переломах без смещения или при минимальном смещении отломков, а также при возникновении противопоказаний к операции. В остальных случаях показано оперативное лечение, так как современные малоинвазивные и другие методы фиксации позволяют уже через 3-4 недели начинать разработку движений в плечевом и локтевом суставах, что в свою очередь, предупреждает возникновение тяжёлых контрактур в этих суставах. При повреждении лучевого нерва вследствие перелома проводят оперативное лечение с обязательной ревизией нерва, с адекватной фиксацией отломков.
Хирургическое лечение также показано при многооскольчатых переломах плеча, невозможности закрытой репозиции, интерпозиции мягких тканей и повреждении сосудов и нервов. Фиксацию отломков осуществляют при помощи пластин, интрамедуллярных штифтов с блокированием, или аппарата Илизарова.
Нижний отдел
- Переломы дистального отдела плечевой кости
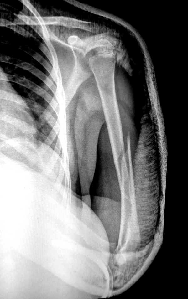
Рентгенограмма при многооскольчатом переломе плечевой кости в нижних отделах. Возможны внесуставные и внутрисуставные переломы плеча в нижних отделах. К внесуставным переломам нижних отделов плеча относятся надмыщелковые переломы, к внутрисуставным переломам — переломы блока, головчатого возвышения плечевой кости и межмыщелковые переломы.
С учётом механизма травмы Надмыщелковые переломы плеча подразделяются на разгибательные и сгибательные. Сгибательные надмыщелковые переломы встречаются чаще, возникают при падении на согнутую руку. Причиной разгибательного перелома становится падение на переразогнутую руку.
- Симптомы
Область плеча над локтевым суставом отечна, резко болезненна. Сгибательные переломы сопровождаются визуальным удлинением предплечья, при разгибательных переломах предплечье выглядит укороченным. Надмыщелковые переломы плеча могут сочетаться с вывихом костей предплечья. Диагноз устанавливается после рентгенографии.
- Лечение
При неосложнённых переломах область повреждения фиксируют гипсовой лонгетой на 3—4 недели. При большом смещении отломков и невозможности репозиции выполняют операцию.
Перелом наружного мыщелка возникает при падении с опорой на разогнутую руку, перелом внутреннего мыщелка — при падении на локоть. Возможна прямая травма (удар в область мыщелка). Локтевой сустав отёчен, резко болезненен. Как правило, переломы мыщелков сопровождаются развитием гемартроза (скоплением крови в локтевом суставе), при котором боли и отёк становятся более выраженными. Диагноз устанавливают после рентгенографии.
- Лечение
При переломах без смещения проводят иммобилизацию гипсовой лангетой. При переломах со смещением выполняют репозицию под местной анестезией. Если фрагменты невозможно сопоставить, проводится хирургическое лечение (фиксация отломков спицами, пластинами или винтами). Физиотерапевтические процедуры при данном виде переломов плеча противопоказаны. Пациентам назначают ЛФК и механотерапию.
Обычно встречаются у детей. Возникают при падении на локоть. Сопровождаются болью, отёком, ограничением движений в суставе. Лечение как при переломах мыщелков.
См. также
Примечания
Ссылки
- Переломы плечевой кости на сайте московской больницы.


