Перелом надколенника
Перело́м надколе́нника (перелом коленной чашечки) — нарушение целостности надколенника из-за травмы, чаще встречающееся у мужчин и составляющее около 1 % от всех переломов. Причиной может быть прямой удар или резкое сокращение четырёхглавой мышцы бедра при быстром сгибании колена против её сокращения, что приводит к нарушению разгибательной функции сустава. Перелом сопровождается стойким болевым синдромом, ограничением движений и риском быстрого развития пателлофеморального артроза. Диагностика основана на клинических признаках, включая невозможность поднять прямую ногу, и подтверждается рентгенографией. Лечение зависит от характера повреждения: при отсутствии значительного смещения возможно консервативное лечение с помощью иммобилизации, при выраженном расхождении отломков требуется хирургическое восстановление с анатомической репозицией и жёсткой фиксацией, что позволяет быстрее вернуть подвижность и стабильность сустава[1][2].
Классификация
Известно множество классификаций переломов надколенника. Классификация переломов разнообразна и основана характере перелома и степени смещения его отломков. Переломы делятся на: без смещения (диастаз до 2—3 мм) и со смещением (диастаз более 3 мм или при неконгруэнтности суставной поверхности более 2 мм). Морфологически разделяют на поперечные, продольные, звёздчатые (оскольчатые) и отрывные переломы верхнего и нижнего полюсов. Также выделяют многофрагментные и остеохондральные переломы. Кроме того, выделяют открытые и закрытые переломы[3].
| Тип А | Внесуставной, разгибательный механизм разорван |
|
Хирургическое лечение |
| Тип B | Частично суставной, разгибательный механизм интактен, например, при вертикальных переломах |
|
Лечение консервативное или хирургическое в случае внутрисуставной инконгруэнтности или опасности вторичных смещений |
| Тип C | Полный суставной, разгибательный механизм разорван |
|
Хирургическое лечение |
Этиология
Переломы надколенника возникают преимущественно в результате прямого механизма травмы, например, при падении на согнутый коленный сустав или ударе в область надколенника. Непрямой механизм травмы связан с резким перенапряжением четырёхглавой мышцы бедра, например, при быстром сгибании колена против её сокращения, что может привести к поперечному перелому или отрыву нижнего полюса надколенника. Среди связанных ортопедических заболеваний можно выделить перелом шейки бедренной кости, перелом задней стенки вертлужной впадины и вывих колена[1][2].
Патогенез
При движении колена надколенник испытывает значительные нагрузки. При его разгибании четырёхглавая мышца бедра натягивает сухожилие, воздействуя на надколенник, а при сгибании на его заднюю поверхность давят силы сжатия. Кроме того, во время сгибания на него воздействуют разнонаправленные силы, вызывая его изгиб под давлением сухожилий и мышцы. Если во время активного сокращения четырёхглавой мышцы бедра происходит резкое сгибание колена, надколенник может не выдержать нагрузки и сломаться. Чаще всего такие повреждения связаны с натяжением сухожилия разгибателей, что приводит к отрывным или поперечным переломам и смещению отломков. При прямом ударе возможен многооскольчатый перелом с повреждением хряща, но при этом механизм разгибания обычно остаётся сохранным[4].
Эпидемиология
Переломы надколенника составляют примерно 1 % от всех переломов скелета. Они чаще встречаются у мужчин, соотношение мужчин к женщин составляет около 2:1. Наибольшая частота подобных травм наблюдается в возрасте 20—50 лет. Открытые переломы составляют 6—9 % переломов надколенника[2].
Клиническая картина
Перелом надколенника сопровождается выраженным болевым синдромом и ограничением движений в коленном суставе. Конечность обычно находится в положении полного разгибания, а попытки активного сгибания вызывают усиление боли. Для данного повреждения характерен напряжённый гемартроз — скопление крови в полости сустава, особенно при внутрисуставных переломах[5].
Основными жалобами пациента являются интенсивная боль в области травмы, нарушение опороспособности конечности, а при открытых переломах — наличие ран. При переломе надколенника пациент может испытывать значительные затруднения при разгибании голени, однако, если сохранены вспомогательные разгибатели — медиальный и латеральный удерживатели надколенника, активное разгибание может частично сохраняться. При значительном смещении фрагментов надколенника может пальпироваться дефект между ними. Контуры коленного сустава сглажены. Выраженный отёк может распространяться не только на область перелома, но и на окружающие мягкие ткани, особенно при сопутствующем повреждении связок. На кожных покровах могут присутствовать ссадины, соответствующие точке приложения травмирующей силы. При пальпации отмечается положительный симптом баллотирования надколенника[6][1].
Важное значение имеет исследование состояния мягких тканей, особенно при открытых переломах, для исключения повреждений пателлярной бурсы и определения степени тяжести травмы[1].
Диагностика
- В рамках предоперационной подготовки для оценки общего состояния пациента и выбора оптимальной тактики лечения рекомендуется выполнить следующий комплекс лабораторных диагностических исследований[1]:
- Микроскопическое и микробиологическое исследование раневого отделяемого на аэробные и факультативно-анаэробные микроорганизмы при открытом переломе и наличии воспаления — с целью с целью идентификации возбудителя инфекции, определения его чувствительности к антибактериальным препаратам и выбора рациональной антибактериальной терапии[1].
- Пункция коленного сустава — выделение крови
- Рентгенография коленного сустава двух проекциях
- Ультразвуковая допплерография сосудов голени
- Компьютерная томография
- Магнитно-резонансная томография[1][5]
- Ультразвуковая допплерография сосудов голени — с целью исключения сосудистых осложнений и оценки кровотока в нижних конечностях[1][5].
Дифференциальная диагностика
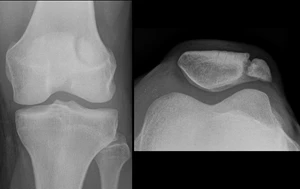
- Двудольный надколенник[2]
Осложнения
Лечение
Консервативная терапия переломов надколенника применяется при переломах без смещения или с минимальным диастазом, а также при отсутствии повреждений связочного аппарата коленного сустава[5].
- Иммобилизация повреждённой конечности гипсовой повязкой или съёмный тургором сроком до 4—6 недель. ЛФК, массаж после снятия гипсовой повязки[3]
- Анальгетики в первые трое суток после травмы и после остеосинтеза
- Антикоагулянты
- Периоперационная антибиотикопрофилактика
- Антибиотики при сопутствующем или местном воспалительном процессе
- Инфузионная терапия при осложнённых случаях[1]
- Физиотерапия после стихания болевого синдрома[4]
В ходе операции проводится тщательная санация и ревизия коленного сустава, удаление мелких костных фрагментов. Производится репозиция крупных отломков с помощью остроконечных репозиционных щипцов. При тяжёлых многооскольчатых переломах с выраженным повреждением хряща может потребоваться тотальная пателлэктомия с последующим восстановлением сухожильных структур. После остеосинтеза рана ушивается, капсула сустава герметично закрывается, а разрывы разгибательного аппарата фиксируются рассасывающимися швами. При оскольчатых и внутрисуставных переломах может проводиться открытая репозиция, при этом применяется серкляжная система (проволока или шовный материал) для надёжной стабилизации костных отломков[1][5].
Открытые переломы надколенника требуют экстренного хирургического вмешательства. Операция включает тщательную хирургическую обработку раны, санацию, многократное антисептическое промывание и удаление нежизнеспособных тканей. Важно избегать чрезмерного отслоения мягких тканей от костных фрагментов для сохранения их кровоснабжения. После остеосинтеза мелкие импланты укрываются прилежащими мягкими тканями, а кожа мобилизуется для закрытия дефектов[1].
При внутрисуставных переломах с образованием свободного костного фрагмента возможно проведение артроскопии с его удалением или фиксацией. В случаях незначительного смещения и внесуставных переломов выполняется закрытая репозиция с фиксацией спицами или канюлированными винтами[1][5].
Медицинская реабилитация рекомендуется с первых дней после операции и включает следующие элементы и упражнения[1]:
- повороты в постели для улучшения подвижности;
- дыхательные упражнения для укрепления дыхательной системы;
- активные движения в суставах нижних конечностей для поддержания их функции;
- изометрические напряжения мышц нижних конечностей;
- подъём туловища с использованием опоры (балканская рама или трапеция).
Рекомендуются также следующие упражнения для предотвращения атрофии мышц и улучшения кровообращения[1]:
- изометрическое напряжение мышц бедра и голени с постепенным увеличением интенсивности и продолжительности;
- активные упражнения для пальцев ног и улучшения кровообращения в нижних конечностях;
- идеомоторные упражнения для сохранения двигательных навыков;
- упражнения для улучшения опорной функции неповреждённой конечности;
- постуральные упражнения для предотвращения неправильных положений конечности;
- упражнения для расслабления мышц, включая махи и техники с удлинённым выдохом;
- упражнения для улучшения кровообращения в суставах оперированной конечности.
Прогноз
Прогноз при переломах надколенника зависит от типа повреждения, степени смещения отломков, своевременности и адекватности лечения. При отсутствии смещения и правильной иммобилизации восстановление функции коленного сустава происходит в течение нескольких месяцев, а риск осложнений минимален.
После оперативного лечения прогноз в большинстве случаев благоприятный, особенно при анатомически точной репозиции и стабильной фиксации отломков. Однако при сложных оскольчатых переломах, повреждении суставного хряща или несоблюдении реабилитационного режима возможны осложнения.
Диспансерное наблюдение
Выполнение контрольной рентгенографии через 1,5, 3, 4, 8—12 месяцев. На основе результатов контрольных рентгенографических исследований необходимо проконсультироваться с клиникой, где была проведена операция, и учесть рекомендации хирурга, который её проводил, относительно дальнейшего лечения[1].
Профилактика
Включает[1]:
- соблюдение правил техники безопасности пациентом;
- создание безопасной среды:
- борьба с гололёдом и поддержание дорожного покрытия в безопасном состоянии;
- освещение дорог и пешеходных зон;
- контроль технической исправности транспортных средств;
- оснащение автомобилей средствами пассивной безопасности;
Профилактика осложнений заключается в[1]:
- применении современных методов лечения травм;
- выполнение пациентами рекомендаций врачей;
- обеспечение преемственности медицинской помощи на всех этапах восстановления.
Примечания
Литература
- Разумовский А. Ю. Детская хирургия: национальное руководство / под ред. А. Ю. Разумовского. — 2-е изд. — М.: ГЭОТАР-Медиа, 2021. — С. 887—889. — 1280 с. — ISBN 978-5-9704-5785-6.




