Лейкоплакия
Лейкоплакия (новолат. leucoplakia от др.-греч. λευκός — «белый» + πλάξ, родительный падеж πλακός — «пластинка»; синоним — лейкоплазия) — заболевание, характеризующееся поражением слизистых оболочек, ороговением покровного эпителия разной степени выраженности[1][2]. Поражаются только слизистые, выстланные многослойным плоским или переходным эпителием[3].
Что важно знать
История
Первое упоминание данного термина было в 1877 году (док. Швиммер/E. Schwimmer), хотя клиническое описание ещё в 1868 году дал А. Базен. Изучением лейкоплакией именно в полости рта подробно занимался Видаль (Е. Vidal) в 1883 г.[4].
Этиология и патогенез
Реакция слизистой оболочки на разнообразные внешние раздражители, которая развивается на фоне действия различных эндогенных факторов и прежде всего желудочно-кишечной патологии, выявляемой у 90 % больных. Имеют значение недостаток или нарушение обмена витамина А, а также генетические факторы, которые обусловливают ответную реакцию слизистой оболочки полости рта на травму именно в виде лейкоплакии. Локализуется на слизистой оболочке нижней губы, угла рта, дна полости рта, языка, щёк (в двух последних случаях чаще располагается по линии смыкания зубов), на вульве, клиторе, во влагалище, шейке матки, реже в области головки полового члена и препуциального мешка, в окружности заднепроходного отверстия. Встречается обычно в возрасте около 30 лет. Внешними раздражителями, непосредственно вызывающими лейкоплакию, служат хроническая механическая травма, горячий табачный дым
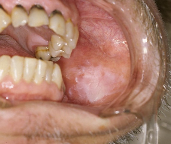
Разновидности
Различают плоскую, веррукозную и эрозивную лейкоплакию, а также лейкоплакию курильщиков.
- Плоская лейкоплакия имеет вид резко отграниченного сплошного помутнения оболочки, иногда напоминающего плёнку, которая не снимается при поскабливании шпателем. В зависимости от интенсивности ороговения цвет поражения варьирует от бледно-серого до белого. Поверхность лейкоплакии сухая и слегка шероховатая. Очертания очага, как правило, зубчатые. Уплотнения в основании участков ороговения не бывает. По периферии очагов ороговения в углах рта иногда возникает небольшая гиперемия. На щеках очаги лейкоплакии могут иметь складчатый вид, на дне полости рта — вид морщинистой плёнки серовато-белого цвета.
- При веррукозной лейкоплакии появляются либо возвышающиеся молочно-белые гладкие бляшки (бляшечная форма), либо плотноватые бугристые, серовато-белые, выступающие на 2-3 мм бородавчатые разрастания, чаще на фоне плоской формы лейкоплакии
- При эрозивной лейкоплакии различной формы и величины эрозии образуются в очагах плоской и веррукозной лейкоплакии, возможно одновременное появление трещины. Эта форма заболевания может сопровождаться болевыми ощущениями.
- При лейкоплакии курильщиков (лейкоплакия Таппейнера) имеется сплошное ороговение твёрдого и прилегающих к нему участков мягкого неба, которые приобретают серовато-белый цвет. На этом фоне видны красные точки, представляющие собой зияющие устья выводных протоков слюнных желёз. При выраженной форме в зоне ороговения образуются узелки, что придаёт заболеванию сходство с болезнью Дарье на слизистой оболочке полости рта. В отличие от последней при лейкоплакии курильщиков на вершине узелка имеется красная точка и это заболевание быстро проходит после прекращения курения.
Течение болезни
Течение лейкоплакии хроническое. Если раздражающий фактор устранён или его действие резко ослаблено, если проведена санация организма в широком смысле слова, то прогрессирование лейкоплакии обычно прекращается и при правильной консервативной терапии она может регрессировать. Иначе заболевание постепенно прогрессирует и может трансформироваться в рак, что происходит при веррукозной и эрозивной форме.
Примечания
Литература
Насонова Т. В., Здоркина М. О. Клинические и морфологические особенности лейкоплакии // Бюллетень медицинских интернет-конференций. — 2020. — № 11.


