Эпителиально-миоэпителиальная карцинома
Эпителиально-миоэпителиальная карцинома — это злокачественная опухоль слюнных желез, состоящая из двух видов клеток: неопластических протоковых эпителиальных (люминальных) и неопластических миоэпителиальных (аблюминальных), за что получила название двухфазной опухоли. Чаще всего она обнаруживается в околоушных железах, на может поражать и мелкие. Очень редко такую опухоль находят в крупных дыхательных путях лёгких. Это редкая форма рака, возникает чаще у пожилых, отличается медленным ростом, склонностью к рецидивированию и метастазированию.
Классификация
По гистологическому строению онкозаболевания слюнных желез делятся на:
- мукоэпидермоидный — наиболее распространённый вариант, определяющийся преимущественно в околоушно-жевательной зоне;
- аденоидная кистозная карцинома. Для неоплазии характерны медленный рост, высокий риск возникновения рецидива. Метастатические очаги формируются редко;
- аденокарцинома — злокачественная опухолевая масса, развивающаяся из железистых клеток[1].
Редко встречаются такие формы:
- плоскоклеточная форма рака — характеризуется крайне неблагоприятным течением;
- эпителиально-миоэпителиальная карцинома. Как и в случае с аденоидной кистозной формой, опухоль проявляется медленным увеличением, частым рецидивированием;
- анапластическая мелкоклеточная карцинома — очаг формируется в малых железистых структурах, быстро прорастает в подлежащие ткани;
- недифференцированная карцинома — проявляется агрессивным течением, крайне неблагоприятным прогнозом.
Из других тканей развиваются неходжкинские лимфомы, формирующиеся в клетках иммунитета, и саркомы, возникающие из соединительнотканных структур, сосудистой сети, мышечных волокон.
По стадиям рака эпителиально-миоэпителиальная карцинома классифицируется по международной системе TNM.
T — объём первичного образования, N — наличие раковых клеток в лимфоузлах, M — наличие метастатических очагов в соседних или отдаленных органах. Согласно данной системе выделяют 4 стадии заболевания:
- Нулевая. «Рак на месте» — означает локализацию неоплазии в пределах одного слоя, не прорастая при этом в близлежащие структуры.
- Первая. Диаметр опухоли не превышают 2 см. Лимфоколлекторы шеи при обследовании «чистые».
- Вторая. Объём новообразования больше 2 см, но меньше 4 см. Вторичные очаги не определяются.
- Третья. Опухолевый узел крупнее 4 см и (или) прорастает в близлежащие мягкотканные структуры. Другой вариант — образование любых размеров повреждает регионарный лимфоузел, расположенный на той же стороне (размер очага в лимфатическом узле — до 3 см в диаметре).
- Четвёртая — подразумевает 3 варианта развития событий:
- 4А — неоплазия любого объёма распространяется в прилегающие ткани (челюсть, слуховой проход), повреждая один лимфоколлектор (размер не больше 3 см). Также возможно поражение нескольких лимфоузлов (опухолевые скопления до 6 см).
- 4В — онкопроцесс пророс в основание черепа или другие ближайшие костные структуры. Патология может разрастись вокруг крупного сосуда — сонной артерии.
- 4С — в отдаленных органах обнаруживаются метастатические очаги.
Этиология
Причины развития опухолей окончательно не изучены. Здоровая клетка под воздействием мутагенных факторов перерождается в опухолевую. Мутациям подвергвются гены, отвечающие за деление клеток и гены, оказывающие подавляющее влияние на бесконтрольный рост. Мутации происходят под воздействием общих факторов развития новообразований. К ним относятся:
- Пожилой возраст пациента.
- Принадлежность к мужскому полу.
- Радиационное облучение (назначенный ранее курс радиотерапии).
- Профессиональные вредности (работа с некоторыми химическими соединениями). Речь идет о деревообрабатывающем производстве, асбестовых шахтах и т. д.
- Хроническое недолеченное воспаление слюнных желез.
- Присутствие в крови вируса Эпштейна-Барр.
- Вредные привычки (табакокурение, злоупотребление алкоголем, наркотическая зависимость).
- Отягощенная наследственность (наличие карцином, сарком у ближайших кровных родственников).
Патоморфоз
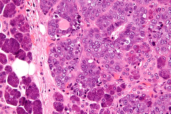
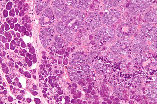
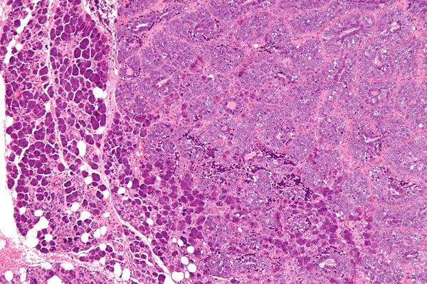
Одной из ключевых особенностей эпителиально-миоэпителиальной карциномы является её «двухфазное» расположение, то есть она имеет два разных типа клеток, расположенных слоями. Внутренний слой, называемый люминальными клетками, представляет собой протоковые клетки с розоватой (эозинофильной) окраской, в то время как внешний слой, известный как миоэпителиальные клетки, часто выглядит прозрачным. Эта слоистая структура может различаться по толщине, от одного слоя до нескольких слоев, и может даже выглядеть сплошной в некоторых областях. Опухоль может иметь различные узоры, такие как крибриформ (с небольшими, ситовидными пространствами), базалоидные (маленькие, плотно упакованные клетки) и двойные прозрачные клеточные слои. В некоторых случаях клетки могут также выглядеть как сальные (вырабатывающие масло) или плоские (плоские) клетки. Клетки показывают только легкие или умеренные отклонения в своих ядра (центральная часть клетки). Это сочетание паттернов и типов клеток помогает патологам идентифицировать эпителиально-миоэпителиальную карциному и отличать её от других опухолей слюнных желез[2].
Клетки опухоли, демонстрирующие трансформацию высокой степени, можно охарактеризовать как нетипичные или плеоморфные. Кроме того, опухоли с высокой степенью трансформации часто имеют более митотические фигуры (опухолевые клетки делятся для создания новых опухолевых клеток) и тип гибели клеток, называемый некроз тоже можно увидеть. Трансформация высокой степени важна, потому что эти опухоли с большей вероятностью метастазировать на лимфатический узел и легкие.
Распространение опухоли идет тремя путями:
- гематогенный;
- лимфогенный;
- по нервным волокнам.
Эпидемиология
Злокачественные новообразования больших слюнных желез — относительно редкое новообразование. В 2014 г. в целом по России учтено 1 236 случаев таких заболеваний. По последним данным Международного Агентства по Исследованию Рака, наиболее типичный стандартизованный показатель заболеваемости в различных странах колеблется в пределах 0,6-0,9 на 100 000 мужчин и 0,4-0,6 на 100 000 женщин.
Наиболее часто величина стандартизованных показателей заболеваемости больших слюнных желез в различных странах мирового сообщества составляет для мужского населения 0,6-0,9 на 100 000 населения и 0,4-0,6 для женского. В России эти величины на 100000 соответственно равны 0,7 и 0,40/ (2014 г.), в Санкт-Петербурге — 0,6 и 0,50/ (2014 г.).
Клиника
На ранних стадиях болезнь может никак себя не проявлять. По причине медленного роста первичного образования, неспецифичности признаков люди подолгу не обращаются за медицинской помощью.
Больных беспокоят:
- наличие уплотненного узла, отечности в проекции железы (небо, нижняя челюсть, щеки);
- асимметрия лица;
- нарушение чувствительности определённых участков лица, паралич мимических мышц;
- болезненный дискомфорт в ротовой полости, ушной раковине, челюсти;
- односторонняя мышечная слабость, проявляющаяся в «опущении» тканей лица;
- невозможность широко открыть рот;
- сложности с проглатыванием пищи;
- воспаление наружного среднего уха, существенное снижение слуха;
- язвенные дефекты на слизистой, не поддаются лечению.
При наличии метастазов больные жалуются на выраженный кашель, одышку, боли в костях, головные боли, головокружение.
Диагностика и дифференциальный диагноз
Комплексное обследование начинается со сбора анамнеза (опроса). Лечащий врач детально расспрашивает о жалобах, о времени их возникновения, возможных причинах, затем осматривает область лица, ротовую полость, пальпирует (ощупывает) подозрительный очаг, лимфатические узлы[3].
После физикального обследования назначается ряд лабораторных, инструментальных исследований:
- Клинические анализы крови, мочи, биохимический анализ мочи. Анализы позволяют уточнить общее состояние организма, исключить обострение хронической патологии.
- Цитологическое исследование биоматериала, взятого во время биопсии. Выполняется патологоанатомический анализ тканевого образца, взятого в ходе операции. Цель процедуры — установить гистологическое строение, степень дифференцировки опухоли. В большинстве случаев выполняют тонкоигольную аспирационную биопсию . Метод предполагает использование инструмента с тонкой иглой (напоминает инъекционную иглу). Инцизионная биопсия подразумевает выполнение разреза с последующим удалением небольшой опухолевой частицы и транспортировкой её в лабораторию для дальнейшего анализа[2].
- Ультразвуковое сканирование мягких тканей, лимфатических узлов — способствует уточнению распространённости злокачественного процесса.
- Рентгенография помогает изучить первичное образование или метастазы.
- Компьютерная томография (КТ), магнитно-резонансная томография (МРТ) лицевого отдела черепа с использованием контрастного вещества позволяют определить степень разрастания неоплазии. Методы дают возможность оценить размеры, формы, точную локализацию очага.
- Позитронно-эмиссионная томография с КТ (ПЭТ-КТ). Диагностика является «золотым стандартом» в обнаружении отдаленных метастатических очагов. Перед процедурой пациент принимает специальный радиоактивный препарат, накапливающийся в атипичных клетках. Благодаря ПЭТ-КТ доктор получает информацию обо всех скоплениях раковых клеток, находящихся в организме.
Другие тесты, в том числе иммуногистохимия, могут быть выполнены для подтверждения диагноза и исключения других состояний, которые под микроскопом очень похожи на эпителиально-миоэпителиальную карциному. При проведении иммуногистохимии протоковые клетки обычно положительны для панцитокератин и цитокератин 7 (CK7), в то время как миоэпителиальные клетки, как правило, положительны для S100, Sox10, p63, p40, гладкомышечный актин и мышечно-специфический актин[4].
Заболевание дифференцируют с невритом лицевого нерва, отитами.[4]
Осложнение
Даже если лечение завершилось успешно, и по результатам обследования в организме пациента не обнаруживаются признаки присутствия раковых клеток, в будущем может произойти рецидив. Поэтому нужно регулярно наблюдаться у врача-онколога, приходить на осмотры, проходить различные исследования и сдавать анализы.
Удаление опухолей, затрагивающих важные нервы, может потребовать растяжения или перерезания нервов. Это может вызвать частичный или полный паралич лица (опущение лица), который может быть временным или, в некоторых случаях, постоянным. Хирурги стараются сохранить эти нервы, когда это возможно. Иногда перерезанные нервы можно восстановить с помощью нервов, взятых из других частей тела, или с помощью обработанных трансплантатов нервов от доноров.
В ряде случаев возможны следующие осложнения:
- потеря или снижение чувствительности на коже шеи, боковой части лица и мочке уха (со временем область сниженной чувствительности уменьшается в размерах)
- сиалоцеле — скопление слюны под кожей в области хирургического вмешательства
- повреждение лицевого нерва
- синдром Фрея — редкое неврологическое заболевание в результате повреждения околоушных желез, ответственных за образование слюны, а также в результате повреждения ушно-височного нерва. Симптомы — покраснение и потливость в области щек, прилегающей к уху.
Лечение
Существуют следующие варианты лечения:
- Хирургическое вмешательство.
- Химиотерапия.
- Лучевая терапия[5].
Удаление опухоли показано в тех ситуациях, когда отсутствуют серьёзные повреждения окружающих тканей. В ряде случаев вместе с новообразованием иссекаются лимфатические узлы (лимфодиссекция)[6].
Уничтожение раковых клеток воздействием ионизирующего (радиационного) излучения назначается по следующим показаниям:
- Неоплазия, которую невозможно удалить из-за её местоположения, объёмов.
- После проведённой операции (адъювантная радиотерапия) процедура необходима для нейтрализации оставшихся атипичных клеток, предотвращения рецидива[7].
- Терминальные стадии онкозаболевания. Курс облучения, являясь паллиативной помощью, помогает уменьшить болевой синдром и другие проявления болезни[6].
Химиотерапевтические препараты-цитостатики редко включают в план лечения патологии. Лекарственные средства способны уменьшить объём образования, не уничтожая его полностью. Часто цитостатики показаны при отдаленных метастазах, на терминальной стадии злокачественного процесса в виде паллиативной помощи или в комбинации с курсом облучения[8].
Диспапсерное наблюдение
Рекомендовано прохождение пререабилитации — комплекса мероприятий, направленных на ускорение функционального восстановления, снижения частоты развития осложнений. Пререабилитация подразумевает посещение занятий лечебной физкультурой, проведение программы профилактической гимнастики.
После оперативного вмешательства применяются такие восстановительные мероприятия: комплексное обезболивание, энтеральное питание, проведение комплекса ЛФК. Также назначается курс медицинского массажа, консультация логопеда для скорейшего восстановления функции глотания, речи.
В течение первого года от постановки онкологического диагноза, пациента приглашают на обследование один раз в три месяца, в течение второго года — один раз в шесть месяцев, и в течение последующих лет жизни — один раз в год.
Прогноз и профилактика
Прогноз при данном заболевании зависит от типа, формы и стадии болезни, а также метода терапии. Пятилетняя выживаемость составляет:
- локализованное новообразование (1,2 стадии) — 93 %;
- образование, которое распространилось на близлежащие лимфоузлы и соседние ткани (3 стадия) — 67 %;
- рак с отдаленными метастазами (4 стадия) — 34 %.
Специфической профилактики нет. Здоровый образ жизни, сбалансированное рациональное питание, регулярные профосмотры у врача.
Примечания
Литература
- Мерабишвили В. М., Чепик О. Ф., Мерабишвили Э. Н. ЭПИДЕМИОЛОГИЯ ЗЛОКАЧЕСТВЕНЫХ НОВООБРАЗОВАНИЙ БОЛЬШИХ СЛЮННЫХ ЖЕЛЕЗ (ПОПУЛЯЦИОННОЕ ИССЛЕДОВАНИЕ). Сибирский онкологический журнал. 2016;15(3):12-18. https://doi.org/10.21294/1814-4861-2016-15-3-12-18
- Кутукова С. И. Выживаемость пациентов со злокачественными новообразованиями слюнных желез в зависимости от молекулярного профиля опухоли / С. И. Кутукова [и др.] // Опухоли головы и шеи. — 2020.
- Чистенко Г. Н. Структура и ранние клинические особенности злокачественных новообразований полости рта / Г. Н. Чистенко [и др.] // Современная стоматология. — 2020. — № 1. — С. 38-42.


