Онкоцитома
Онкоцитома или оксифильная аденома — редкая опухоль слюнной железы, состоящая из онкоцитов с большим количеством гиперпластических митохондрий[1][2]. Существует три основные пары слюнных желёз: околоушные железы, подчелюстные железы и подъязычные железы, а также сотни второстепенных слюнных желёз, расположенных по всему рту и горлу. Онкоцитомы могут развиваться в любой из этих желёз, но чаще всего обнаруживаются в околоушной железе.
История
В конце 20-тых годов прошлого века немецкий патолог Гамперель, работая на кафедре патологической анатомии 1-го Московского медицинского института, обнаружил в пищеводе среди эпителия слизеобразующих желёз особые крупные с зернистой эозинофильной протоплазмой клетки, которые он назвал онкоцитами от греческого слова «онкустай», что значит «надутые». Впоследствии онкоциты были найдены во многих органах, в том числе в слюнных железах. Большинство учёных, касавшихся проблем онкоцитов, считают, что это дефектные, дистрофически изменённые погибающие клетки экскреторных ходов и ацинусов желёз данного органа. Предполагают, что онкоциты не обладают какой-либо функцией, они расценивались как афункциональные клетки, появление которых свидетельствуют об инволюции и старении органа[3].
Дальнейшие исследования доказали синтез в онкоцитах серотонина и моноаминооксидазы, а при электронной микроскопии были обнаружены характерные эндокринные гранулы. Эти свойства закреплены генетически и онкоциты рассматриваются как определённый тип эндокринных клеток — апудоцитов[4].
Этиология
Большинство онкоцитом являются спорадическими, опухоль развивается без каких-либо известных генетических или экологических факторов риска. Однако некоторые онкоцитомы могут развиться после лучевой терапии[5].
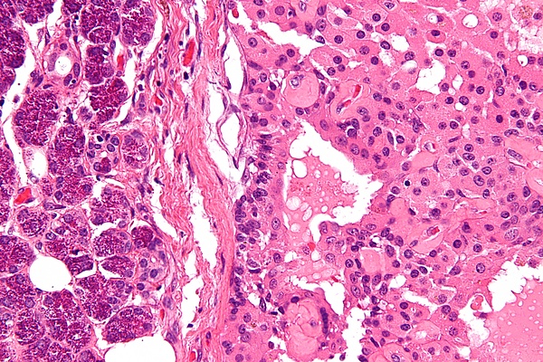
Патогенез и микроскопия
При исследовании под микроскопом онкоцитомы состоят из крупных розовых онкоцитарные клетки. Клетки называются онкоцитарными, потому что цитоплазма (тело клетки) заполнено тысячами митохондрий, типом клеточного механизма, который преобразует кислород в энергию. Онкоциты выглядят розовыми при исследовании под микроскопом, потому что митохондрии прилипают к эозину, красителю розового цвета, обнаруженному в гематоксилин-эозине . Опухоль можно охарактеризовать как хорошо очерченную, что означает наличие чёткой границы между опухолью и окружающей нормальной тканью слюнной железы.
Симптомы
В течение длительного периода опухоль никак себя не проявляет. Новообразование на ранних стадиях развития чаще всего обнаруживается случайно в ходе обследования по поводу других патологий слюнных желёз.
По мере роста аденомы можно заметить патологическое увеличение отдельных участков височной области, шеи, околоушной зоны и других частей лица, где расположены слюнные железы.
Явными симптомами опухолей слюнных желёз становятся:
- асимметрия лица;
- физический дискомфорт в области выпячивания;
- припухлость кожи;
- повышенное или пониженное слюноотделение, что вызывает сухость во рту, изменения вкусового восприятия;
- нарушения мимики.
Крупные новообразования, локализованные вблизи прохождения нервов, могут сдавливать структуры, из-за чего пациент будет ощущать ноющую, пульсирующую боль, резкую болезненность при давлении на опухоль или окружающие её ткани.
Самым ярким симптомом опухоли околоушной слюнной железы становится шишка, постепенно вырастающая в нижней части под ушной раковиной. Из-за такого формирования лицо становится несимметричным, пациенту трудно поворачивать голову.
Большие опухоли подъязычных и нижнечелюстных протоков, расположенные в полости рта, могут вызывать трудности с пережёвыванием и проглатыванием пищи, сказываются на разговорной функции, мешать физически и провоцировать другие неприятные ощущения.
Диагностика
- первичный осмотр, включающий оценку имеющихся симптомов и жалоб, сбор анамнеза, пальпацию новообразования, определение уровня общего здоровья;
- оценка объёма слюноотделения с помощью зондирования и провокационных пищевых или медикаментозных тестов;
- контрастная рентгенография слюнных желёз (сиалография), способная показать локализацию опухолей и определить размер;
- ультразвуковое исследование слюнных желёз, позволяющее отследить структурные особенности новообразования и определить тип патологии[6];
- гистологический и цитологический анализ содержимого, взятого в ходе биопсии[7].
В сложных случаях при неясной локализации и этиологии опухоли проводятся компьютерная или магнитно-резонансная томография[8]. Также выполняется комплекс стандартных лабораторных анализов крови, а в рамках подготовки к хирургическому лечению онкоцитомы слюнных желёз назначаются дополнительные исследования (ЭКГ, флюорография, тест на свёртываемость и переносимость анестезии) и консультации профильных врачей[9][10].
Дифференциальная диагностика
В клинической практике проводят дифференциальный диагноз онкоцитомы в следующих случаях:
- пороки развития слюнных желёз;
- повреждения слюнных желёз;
- реактивно-дистрофические заболевания[11];
- сиалодениты;
- слюнокаменная болезнь;
- кисты слюнных желёз;
- опухоли[12].
Осложнения
Все осложнения, которые могут возникнуть на фоне онкоцитомы слюнных желёз, можно разделить на две группы:
- состояния, возникшие в других органах и тканях из-за новообразования;
- патологические изменения, которые затрагивают саму опухоль.
Самым распространённым нарушением со стороны органов является снижение секреции слюнной жидкости. Из-за недостатка слюны появляется постоянная сухость во рту, пациент не может полноценно пережёвывать твёрдую пищу, что влечёт за собой развитие патологий желудочно-кишечного тракта.
Возрастает опасность сдавливания нервных волокон, кровеносных сосудов, особенно при крупных новообразованиях. В результате это приводит к нарушению кровоснабжения слюнных желёз и смежных структур челюстно-лицевой области. Может развиться невроз, неврит, которые сопровождаются ярким болевым синдромом.
Лечение
Терапия в подавляющем большинстве проводится хирургическим путём. Консервативная тактика избирается крайне редко в случаях с минимальным размером образования и отсутствием опасности злокачественного перерождения[13].
В рамках челюстно-лицевой хирургии используется два основных варианта оперативного лечения онкоцитомы слюнной железы:
- энуклеация — удаление самой опухоли с вылущиванием, в процессе которого врач сначала разрезает оболочку аденомы, вычищает содержимое, после чего извлекает капсулу;
- паратидэктомия — частичная, субтотальная или тотальная резекция слюнной железы, в ходе которой частично или полностью удаляется поражённая железа с окружающими структурами (такой вариант терапии оправдан в отношении аденом, склонных к частым рецидивам и раковому перерождению).
Дополнительно в рамках лечения пациенту назначается курс медикаментозной поддержки, физиотерапевтические процедуры по показаниям, диета и другие вспомогательные методики терапии[14].
Реабилитация и прогноз
После хирургического лечения доброкачественных аденом околоушных, подъязычных и нижнечелюстных слюнных желёз практически всегда благоприятный. В некоторых случаях удаётся полностью избавиться от заболевания без повторного развития онкоцитомы.
Послеоперационный период восстановления продолжается не более 10 дней, в течение которых пациенту рекомендовано:
- принимать назначенные лечащим врачом обезболивающие, антибактериальные и иные препараты;
- беречь прооперированную область от холодового воздействия;
- исключить курение и приём алкогольных напитков;
- избегать физических нагрузок;
- отказаться от сауны, бани, приёма горячей ванны или душа.
В случае, если в процессе хирургического лечения были задеты нервные волокна, для восстановления мимики лица может потребоваться прохождение курса специальной гимнастики.
Примечания
Литература
- Тараканова О. В., Славнова Е. Н. Цитологическая диагностика опухолей слюнных желёз. Онкология. Журнал им. П. А. Герцена. 2022;11(5):78‑88.
- Tarakanova OV, Slavnova EN. Cytological diagnosis of salivary gland tumors. P.A. Herzen Journal of Oncology. 2022;11(5):78‑88. (In Russ.)


