Заболевания пародонта

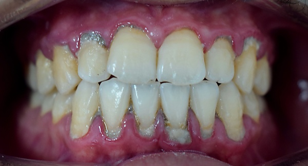
Заболева́ния пародо́нта (заболева́ния периодо́нта)[1][2]  — группа болезней, поражающих пародонт (периодонт)десну, альвеолярный отросток, цемент и периодонтальную связку. В мире распространённость заболеваний пародонта среди людей в возрасте группе 20—44 года составляет 65—95 %, в возрасте 15—19 лет — 55—89 %. В России распространённость среди детей в возрасте 12 лет — 48,2 %, среди взрослых в возрасте 44 лет — 86,2 %, в возрасте 60—65 — до 100 %[3]. Заболевания проявляются зубной болью, чувством выросшего зуба, отёками дёсен и лица; в тяжёлых случаях — недомоганием и лихорадкой[3][4]. Частые осложнения: потеря зубов, некроз челюсти и мягких тканей лица[5].

Общие сведения
Заболевания пародонта
МКБ-11 DA0C
МКБ-10 K05

История

Болезни пародонта впервые были описаны как воспалительные состояния китайскими и египетскими врачами 4000 лет назад. Гиппократ описывал эти болезни как кровоточащие или гнилые десны, а также указал причины и механизмы развития. Пьер Фошар подробно описал причины и методы лечения в труде «Le chirurgien dentale» (например, удаление зубного камня, выравнивание поверхностей зубных корней, ополаскиватели полости рта и зубные пасты)[6].

Периодонтит (пародонтит)

Воспаление периодонта, разрушающее опорный аппарат зуба и приводящее к потере зуба. В российской медицинской литературе традиционно распространён термин «пародонтит». В англоязычной литературе этот термин не используется[7], а в Международной классификации болезней 11-го пересмотра присутствует только в русскоязычной версии[8][9]. Распространённость около 30 %. Периодонтит начинается как осложнение гингивита и продолжается много лет. В подавляющем большинстве случаев (до 90 %) причиной периодонтита является инфекция[10][11]. К факторам риска относят наследственную предрасположенность, сахарный диабет, нездоровое питание, эмоциональный стресс, зубной налёт, зубной камень[12]. Наиболее распространённые микрооорганизмы, участвующие в воспалении: Actinobacillus actinomycetemcomitans, Campylobacter rectus, Eikenella Сorrodens, Porphyromonas gingivalis, Bacteroides forsythus, Treponema denticola, Prevotella intermedia, Fusobacterium nucleatum, Eubacterium, Spirochaetales[13].

Периодонтит делят на хронический и агрессивный. Хронический чаще встречается у взрослых людей, протекает бессимптомно, а пациенты долго игнорируют кровоточивость дёсен и шаткость зубов[6].

Агрессивный периодонтит (пародонтит)

Быстро прогрессирующее воспаление периодонта у подростков, которое характеризуется потерей альвеолярной кости вокруг зубов и нарушением прикуса. Костная ткань разрушается в области моляров и резцов (локализованный агрессивный периодонтит) или большего числа постоянных зубов (генерализованный агрессивный периодонтит). Распространённость генерализованной формы 0,13 %, локализованной — до 1 %. Распространённость локализованной формы среди афроамериканцев — 2,6 %, среди африканцев — 1-5 %, среди азиатов — 0,2 %, среди североамериканцев — 0,5-1 %, среди южноамериканцев — 0,3-2 %[6].

Пародонтоз

Атрофическая дегенерация пародонта из-за нарушения обмена веществ и кровоснабжения в дёснах. Распространённость 1—8 %. К факторам риска относят сахарный диабет, атеросклероз, хронические заболевания внутренних органов, гормональные нарушения, артериальную гипертензию, наследственную предрасположенность. Пародонтоз развивается бессимптомно на протяжении нескольких лет. Проявляется оголением шейки зуба, повышенной чувствительностью зубов на холодные и горячие раздражители, разрушением околозубных тканей, клиновидными дефектами; на последней стадии рассасыванием альвеол зубов, потерей зубов[14].

Некротические заболевания пародонта

Группа болезней, включающая некротизирующий гингивит, некротизирующий пародонтит, некротизирующий стоматит и ному. Все они считаются стадиями одного процесса. Некротический гингивит — самая частая форма, которая может прогрессировать до некротического пародонтита. Затем воспаление распространяется на альвеолярный отросток, вызывая некроз кости и секвестрацию (некротизирующий стоматит). Самая тяжёлая стадия — орофациальная гангрена (нома), которая быстро поражает кости и мягкие ткани лица и может закончится смертью. Нома встречается у истощённых детей в развивающихся странах, в основном в странах Африки к югу от Сахары[15].

Распространённость некротических заболеваний пародонта менее 1 %. Чаще страдают люди в возрасте 18—30 лет, дети с недостаточным питанием и пациенты с иммунодефицитом на фоне СПИД, лейкемии, нейтропению, сахарного диабета, длительной терапии иммунодепрессантами. Дополнительные факторы риска: курение табака и плохая гигиена полости рта[15].

Пародонтальный абсцесс

Локализованная гнойная инфекция в десневой стенке пародонтального кармана. Развивается как осложнение пародонтита, некроза пульпы, перикоронита, травмы, хирургического вмешательства, лечебных манипуляций (скейлинг, рутпленинг, профессиональная гигиена), инородного тела челюсти (зубная нить, ортодонтическая эластика, зубочистка, жевательная резинка, попкорн), вертикального перелома корня зуба, трещины зуба. Пародонтальные абсцессы возникают у 27,5 % пациентов с пародонтитом: среди них 13,5 % леченых и 59,7 % нелеченых случаев. В половине случаев зубы не удаётся сохранить[4].

Патологический процесс запускают бактерии, проникшие в мягкие ткани пародонтального кармана. Частые возбудители: Porphyromonas gingivalis (50—100 % случаев), Prevotella intermedia, Prevotella melaninogenica, Fusobacterium nucleatum, Tannerella forsythia, Treponema spp., Campylobacter spp., Capnocytophaga spp., Aggregatibacter actinomycetemcomitans, кишечная палочка. В ответ на воспаление выделяются цитокины, разрушающие соединительную ткань и способствующие инкапсуляции очага воспаления. После формирования абсцесса скорость разрушения тканей внутри абсцесса будет зависеть от скорости роста бактерий, их вирулентности и локальной pH (кислая среда ускоряет разрушение)[4].

Линейная эритема дёсен

Поражение дёсен передних зубов у пациентов с ВИЧ-инфекцией. Проявляется дискомфортом и кровотечениями, но может протекать бессимптомно. Причиной считают колонизацию дёсен, Aggregatibacter actinomycetemcomitans, Porphyromonas gingivalis, Tannerella forsythia, Fusobacterium nucleatum, Prevotella intermedia, Treponema denticola, Porphyromona sendodontalis, грибами рода Candida'[16]. В ответ на инфекцию Т-хелперы продуцируют провоспалительные цитокины (интерферон-гамма, интерлейкин-6), стимулирующие костную резорбцию. Клинически линейная эритема проявляется резко гиперемированной полосой вдоль десневого края, отёком дёсен, болезненностью при зондировании[17].

Диагностика

Клиническая картина

Пациенты с болезнями пародонта жалуются на зубную боль, отёк десны, чувство выросшего зуба, отёк лица; в тяжёлых случаях — на повышенную температуру тела, недомогание. Общие клинические признаки заболеваний пародонта — потеря эпителиального прикрепления зуба, подвижность зуба, большая глубина десневого кармана, гингивит, кровоточивость при зондировании, неприятный запах изо рта; при некротических заболеваниях — некроз дёсен, изъязвление межзубных промежутков, остеонекроз, регионарная лимфаденопатия[3][4][15].

Лабораторные исследования

  • Микробиологическое исследование отделяемого слизистой оболочки полости рта или содержимого абсцесса;
  • определение ДНК микроорганизмов в отделяемом слизистой оболочки полости рта или содержимом абсцесса методом полимеразной цепной реакции[3];
  • дополнительно назначают клинический и биохимический анализы крови для диагностики факторов риска[15].

Инструментальные исследования

Осложнения

  • обширный некроз мягких тканей;
  • некроз челюсти;
  • обнажение альвеолярной кости;
  • секвестрация костных фрагментов[5].

Лечение

Лечение заболеваний пародонта начинают со снятия зубного налёта и зубного камня, лечения кариеса, восстановления межзубных контактов, удаления нависающих краёв пломб, исправление прикуса, скученности зубов и других заболеваний зубных рядов. Для устранения функциональной травматической перегрузки пародонта зубы избирательно пришлифовывают и шинируют[18]. Для подавления патогенной микрофлоры назначают полоскание рта антисептическими растворами и приём антибиотиков, для облегчения боли — нестероидные противовоспалительные препараты. Рекомендуют отказаться от курения, придерживаться здорового питания, избегать стрессов и соблюдать гигиену полости рта. После завершения острой фазы болезни выполняют хирургическую коррекцию дефектов (гингивопластику, остеопластику, протезирование[15].

Прогноз

Зависит от тяжести болезни[5].

Диспансерное наблюдение

Пациентов наблюдают стоматолог-пародонтолог и стоматолог-ортопед. Частоту визитов и длительность наблюдения подбирают индивидуально[14][18].

Профилактика

Гигиена полости рта, здоровое питание, профилактика травм, своевременное лечение болезней зубов, своевременное купирование очагов любых инфекций в организме[5].

Примечания