Патологическая стираемость зубов
Повышенная стираемость зубов — одна из форм некариозных поражений зубов, патология, при которой наблюдается интенсивная убыль твёрдых тканей в одном, в группе или во всех зубах. Патологическая стираемость наблюдается у 11,8 % людей, чаще у мужчин (62,5 %).
Клиническая картина
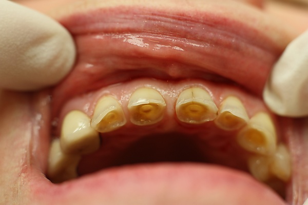
В отличие от физиологической стираемости зубов, патологическая стираемость характеризуется более ранней и значительно выраженной потерей твёрдых тканей, которая чаще носит генерализованный характер и отмечается на всех зубах. При патологической стираемости зубов наблюдается стирание эмали и дентина, доходя до шейки зубов, причем после обнажения дентина её стирание идет более интенсивно, так как дентин — более мягкая ткань. В результате этого по краям зуба образуются острые края эмали, которые часто травмируют слизистую оболочку щёк и губ. Если лечение вовремя не проводится, то стирание быстро прогрессирует и зуб становится значительно короче. В таких случаях наблюдаются признаки уменьшения нижней трети лица: складки у уголков рта, изменение височно-нижнечелюстного сустава, боль в области височно-нижнечелюстного сустава и языка, снижение слуха.
При начальных проявлениях патологической стираемости зубов появляется чувствительность к температурным раздражениям, а по мере углубления процесса появляются боли от химических и механических раздражений. По внешним клиническим проявлениям традиционно различают горизонтальный, вертикальный и смешанный тип стираемости зубов.[1]:72. При этом убыль тканей происходит либо в горизонтальной плоскости, тогда стираются режущие края зубов, бугры и жевательные поверхности, либо в вертикальной плоскости, и тогда убыль тканей происходит на вестибулярной поверхности зубов. Особо следует отметить, что вертикальная стираемость зубов, как самостоятельная нозологическая единица, встречается крайне редко. Чаще она сочетается с горизонтальной стираемостью, что определяется как смешанный тип стираемости, а также и с другими формами некариозных поражений зубов (эрозиями, клиновидными дефектами). Существует несколько классификаций повышенной стираемости зубов, предложенных разными авторами, но наиболее широкое применение получила классификация М. И. Грошикова (1985), согласно которой выделяют три степени стираемости зубов в зависимости от глубины вовлекаемых в процесс и убывающих (сошлифованных) тканей.[2]:108.
В англоязычной и немецкой литературе для обозначения патологической стираемости зубов используют другие термины: истирание зубов (англ. attrition), сошлифовывание или износ зубов (англ. abrasion, demastikation). Часто повышенному стиранию зубов способствуют: травматический прикус (в том числе прямой прикус), парафункции с повышением нагрузки на зубы (бруксизм), длительное и частое жевание очень жёсткой пищи или других субстанций. Местное, локальное стирание двух или нескольких зубов происходит вследствие повышенной, систематической нагрузки на эти зубы, при этом убыль тканей соответствует характеру повреждающего агента (вещества). Такой механизм воздействия следует отнести к хронической травме. Так происходят дефекты тканей зубов при частом закусывании и удержании зубами гвоздей, карандашей и других твёрдых предметов, возникают узуры на центральных зубах при перекусывании нити, раскусывании семечек и орешков.[2]:106.
Патологическая картина
При начальных проявлениях отмечается интенсивное отложение заместительного дентина соответственно участку стирания. При более выраженном стирании наблюдается обтурация дентинных каналов. Происходит выраженные изменение в пульпе: уменьшения количества одонтобластов, их вакуолизация, атрофия.
При 3-4 степенях стирания полость зуба заполнена заместительным дентином, пульпа атрофична, корневые каналы плохо проходимы.
Этиология
На происхождение некариозных поражений зубов до сих пор не существует единого взгляда. Причинами патологической стираемости зубов могут быть перегрузка вследствие утраты зубов, неправильная конструкция зубных протезов, аномалии прикуса, бруксизм, профессиональные вредные воздействия, а также недостаточная твердость зубных тканей (флюороз, гипоплазия).
При прямом прикусе стиранию подвергаются жевательные поверхности боковых и режущие края передних зубов. Длина коронок резцов к 35-40 годам уменьшается на 1/3-1/2. Выраженное стирание зубов наблюдается при отсутствии части зубов. В частности при отсутствии коренных зубов наблюдается интенсивное стирание резцов и клыков, так как происходит их перегрузка.
У рабочих, занятых на производстве органических и особенно неорганических кислот обнаруживается равномерное стирание всех групп зубов. Повышенное стирание зубов также наблюдается у лиц, работающих на предприятиях, где в воздухе имеются в избытке механические частицы.
Повышенная стираемость зубов встречается также при системных заболеваниях (эндокринные расстройства, флюороз, синдром Стейнтона-Капдепона), при которых снижается стойкость тканей зуба к стиранию.
Системный подход в обосновании этиопатогенеза некариозных поражений зубов (эрозий, клиновидных дефектов, патологической стираемости и гиперестезии), их дальнейшего развития, а также полный алгоритм обследования и лечения пациенток впервые был представлен Г. Е. Соловьёвой-Савояровой в диссертации «Некариозные поражения зубов как маркеры гормонально-метаболических нарушений у женщин» (2006—2009), а затем в профильной монографии «Эстрогены и некариозные поражения зубов» (2012). Последние исследования российских учёных и медиков указывают на то, что важнейшую роль в патогенезе некариозных поражений зубов у женщин играют системные гормонально-метаболические нарушения, и в первую очередь — снижение базального уровня эстрадиола в крови.[3]:53-54.
В частности, у женщин с некариозными поражениями зубов выявлено пониженное содержание ионизированного кальция и магния в крови, повышение биохимических маркёров костной резорбции, снижение показателей минеральной плотности костной ткани (по данным денситометрии).[4]:152 Низкая концентрация эстрогенов в крови является ведущей патогенетической причиной развития эрозий, клиновидных дефектов и патологической стираемости зубов у женщин. В то же время женщины, имеющие эту патологию, входят в группу риска развития остеопороза. Именно вследствие этого сами некариозные поражения зубов (эрозии, клиновидные дефекты, патологическая стираемость) считаются ранними маркёрами, «сигналами тревоги» формирования остеопении и остеопороза.[3]:131
«Женщины, имеющие некариозные поражения зубов (эрозии, клиновидные дефекты и повышенную стираемость), входят в группу риска развития остеопороза, при этом сами некариозные поражения зубов являются видимыми маркёрами (сигналами тревоги) гормонально-метаболических нарушений в организме».[3]:131
— Соловьёва-Савоярова Г.Е., «Эстрогены и некариозные поражения зубов»
Особого внимания заслуживает появление повышенной чувствительности в интактных зубах или на участках внешне здоровых и не повреждённых зубов, поскольку впоследствии очень часто именно в этой локализации формируются эрозии, клиновидные дефекты или патологическая стираемость. Гиперестезия зубов предшествует появлению некариозных поражений и является ранним (начальным) диагностическим признаком развития некариозных поражений зубов.[3]:20
Классификация
Наиболее распространения получила классификация Бракко. Он различает 4 степени стирания:
- Стирание эмали режущих краев и бугров.
- Полное стирание бугров до 1/3 высоты коронки с обнажением дентина.
- Уменьшение высоты коронки до 2/3.
- Распространение процесса до уровня шейки зуба.
А.Л. Грозовский (1946) выделяет три клинические формы повышенной стираемости зубов:
- Горизонтальную
- Вертикальную
- Смешанную
В течение патологического процесса В.Ю.Курляндский (1962) различает локализованную и генерализованную формы повышенной стираемости.
Одной из наиболее полно отражающих клиническую картину стираемости зубов считается классификация, предложенная М. Г. Бушаном (1979). Она включает различные клинические аспекты функционального и морфологического характера: стадию развития, глубину, протяженность, плоскость поражения и функциональные нарушения.
| Классифицируемый признак | Клиническое проявление |
|---|---|
| Глубина поражения зубов | I степень — полное обнажение дентина и укорочение, не доходящее до экватора (в пределах 1/3 длины коронки зуба);
II степень — укорочение от 1/3 до 2/3 длины коронки; III степень — укорочение коронки зуба на 2/3, и более |
| Стадия развития | I (физиологическая) — в пределах эмали;
II (переходная) — в пределах эмали и частично дентина; III (повышенная) — в пределах дентина |
| Плоскость поражения | I — горизонтальная;
II — вертикальная; III — смешанная |
| Протяженность поражения | I — ограниченная (локализованная);
II — генерализованная |
Наиболее современной классификацией повышенного и физиологического истирания постоянных зубов можно считать классификацию, предложенную А. Г. Молдовановым, Л. М. Демнером (1979). Многолетние клинические исследования и наблюдения показали, что при оптимальном течении физиологического истирания естественная убыль твердых тканей зубов в год составляет от 0,034 до 0,042 миллиметра. Исследования также показали, что истирание в пределах эмалево-дентинной границы в возрасте 50 лет и старше при сохраненном зубном ряде, в котором имеется не менее 10 пар зубов антагонистов, является естественным процессом. Исходя из этого авторы пришли к выводу, что физиологическое истирание зубов имеет свои формы истирания:
- I форма — истирание зубцов резцов и сглаживание бугров моляров и премоляров (до 25-30 лет).
- II форма — истирание в пределах эмали (до 45-50 лет).
- III форма — истирание в пределах эмалево-дентинной границы и частично дентина (50 лет и старше).
Классификация повышенного истирания твердых тканей зубов, включает в себя локализованную и генерализованную повышенную истираемость твердых тканей:
- I степень — в пределах эмали, частично дентина.
- II степень — в пределах основного дентина (без просвечивания полости зуба).
- III степень — в пределах заместительного дентина (с просвечиванием полости зуба).
- IV степень — истирание всей коронки зуба.
Формы истирания: горизонтальная, вертикальная, фасеточная, узурчатая, ступенчатая, ячеистая, смешанная.
В результате проведённых исследований, А. Г. Молдованов (1992) предложил классификацию повышенного и физиологического истирания молочных (временных) зубов. Физиологическое истирание твердых тканей временных (молочных) зубов:
- К 3-4 годам жизни ребёнка истираются зубчики резцов и бугры клыков и моляров (I форма).
- К 6 годам — истирание в пределах эмалевого слоя, вплоть до точечного вскрытия эмалево-дентинной границы (II форма).
- Свыше 6 лет — истирание в пределах дентинного слоя зубов до замены на постоянные зубы (III форма).
Повышенное стирание твердых тканей временных (молочных) зубов:
- Просвечивание полости зуба (IV форма).
- Истирание всей коронки зуба (V форма).
Лечение
При 1-2 степени стирания основной задачей лечения является стабилизация процесса, предупреждение дальнейшего прогрессирования процесса. С этой целью на соприкасающиеся зубы могут изготавливаться вкладки и коронки из сплавов и керамики.
Современные композитные материалы за счет высокой адгезии и прочности в ряде случаев позволяют сохранить витальность зубов, избежать депульпирования и штифтования, и добиться долговременного (5-10 лет) терапевтического и эстетического эффекта методом реставрации [5],[6](прямой или с Wax-up моделированием). Метод особенно целесообразен при генерализованной форме патологической стираемости высокой степени, вызванной аномально низкой прочностью эмали зуба у пациента.
При 3-4 степени протезирование надо сочетать с повышением прикуса.
Профилактика
Профилактика сводится к устранению факторов, приводящих к стиранию зубов: своевременное протезирование, защитные реставрации (композитные или керамические) при низкой минерализации эмали, исправление прикуса, использование масок-респираторов при производстве абразивных веществ, полоскание раствором соды при производстве кислот.
Примечания
Литература
- Боровский Е. В., Леус П. А., Лебедева Г. К. «Некариозные поражения зубов, клиника и лечение», (методические рекомендации). — М., 1978.— 16 с.
- Быков В. Л. «Гистология и эмбриология органов полости рта человека». Учебное пособие. — СПб.: Специальная литература, 1999. — 247 с.
- Грошиков М. И. «Некариозные поражения тканей зуба». — М.: Медицина, 1985. — 176 с.
- Молдованов А. Г. Физиология и патология истирания твердых тканей зубов. Таврида. Симферополь. 1992. −186 с.
- Олейник Е. А. Результаты исследования твёрдых тканей зубов у лиц с аномалиями структуры твёрдых тканей зубов. Стоматология детского возраста и профилактика. — 2008. — № 1
- Патрикеев В. К., Клинические и электронно-микроскопические исследования твёрдых тканей зубов при некариозных поражениях. — М., 1978.
- Соловьёва-Савоярова Г. Е., Дрожжина В. А. «Эстрогены и некариозные поражения зубов». — СПб., Издательство СЗГМУ им. И. И. Мечникова, 2012. — 140 с.
- Соловьёва-Савоярова Г. Е., Дрожжина В. А., Силин А. В. «Некариозные поражения зубов, этиопатогенетический подход к их реконструкции». Материалы IX научно-практической конференции "Современные методы диагностики, лечения и профилактики стоматологических заболеваний. Эндодонтия и реставрации. — СПб., СПбИНСТОМ, 2012, — 121 с.
- Соловьёва-Савоярова Г. Е., Силин А. В., Дрожжина В. А. «Некариозные поражения зубов у женщин как проявление остеопении и остеопороза». Материалы конференции. XVIII Международная конференция челюстно-лицевых хирургов и стоматологов «Новые технологии в стоматологии». — СПб., издательство Министерства здравоохранения и соц. Развития РФ. — 188 с.
- «Стоматология». Учебник для медицинских вузов и последипломной подготовки специалистов / под ред. В. А. Козлова. — СПб.: «СпецЛит», 2003. — 478 с.
- Фёдоров Ю. А., Дрожжина В. А. «Клиника, диагностика и лечение некариозных поражений зубов». — М.: Научно-практический журнал «Новое в стоматологии», 1997, № 10 (60) спец. выпуск. — 146 с.
- Фёдоров Ю. А., Туманова С. А., Леонова Е. В., Рубежова Н. В., Киброцашвили И. А., Абрамова Н. Е. «Повышенная чувствительность зубов. Клиническая картина, диагностика и лечение».— СПб.: СПбМАПО, 2010.— 56 с.
- Физиология и патология стирания твердых тканей зубов, А. Г. Молдованов, Таврида, Симферополь, 1992;
- Чурилов Л. П., Дубова М. А., Каспина А. И., Строев Ю. И., Сурдина Э. Д., Утехин В. И., Чурилова Н. И. «Механизмы развития стоматологических заболеваний». Учебное пособие / под ред. Л. П. Чурилова. — СПб.: «ЭЛБИ-СПб», 2006. —534 с.
- Ali DA, Brown RS, Rodriguez LO, Moody EL, Nasr MF. «Dental erosion caused by silent gastroesophageal reflux disease». — J. Am. Den.t Assoc., 2002, Vol.133, № 6.
- Grippo JO. «Abfraction: a new classification of hard tissue lesions of teeth». — J. Esth. Dent, 1991, № 3.
- Hayman H.O., Sturdevant J.R., Bayne S., Wilder A.D., Sluder T.B., Brunson W.D. «Examining tooth flexure effects». — J. Am Dent Assoc, 1991, Vol. 122.
- Irwin C.R., McCusker P «Prevalence of dentine hypersensitivity in a general dental population». — J. Ir. Dent. Assoc., 1997, Vol. 43, № 1.
- James B., J. William Robbins, Richard S. Schwartz. «Fundamentals of Operative Dentistry: A Contemporary Approach.» — J. Cont. Dent. Pract., Summit, 2 edit. — Illinois, Quintessence Publishing Co, Inc., 2001.
- Kramer E. «Grundlagen der Zahngesundheitsvorsorge». — Prophylaxefibel, Deutscher Ärzteverlag, 2004, ISBN 3-934280-66-8.
- Lee W.C., Eakle W.S. «Possible role of tensile stress in the etiology of cervical erosive lesions of teeth». — J. Prosthet. Dent., 1984, Vol. 52, № 3.
- Lussi A. «Dental erosion: from diagnosis to therapy». — Monogr. Oral Sci. Basel, Karger, 2006, Vol. 20, ISBN 978-3-8055-8097-7.
- Orchardson R, Gillam D.G. «The efficacy of potassium salts as agents for treating dentin hypersensitivity». — Division of Neuroscience and Biomedical Systems, Institute of Biomedical and Life Sciences, University of Glasgow, J. Orofac Pain, 2000, Vol.14, № 1.
- Pace F., Pallotta S., Tonini M., Vakil N., Bianchi Porro G. «Systematic review: gastro-oesophageal reflux disease and dental lesions». — Aliment. Pharmacol. Ther., 27, 2008.
- Rees J.S., Hammadeh M, Jagger D.C. «Abfraction lesion formation in maxillary incisors, canines and premolars: A finite element study». — Eur. J. Oral. Sci., 2003, Vol. 111.


