Зубы человека
Зубы — костные образования во рту человека, служащие для первичной механической обработки пищи.
Зубы состоят преимущественно из дентина с пульпой, покрытого снаружи эмалью; построены из специальных тканей, имеют собственный нервный аппарат, кровеносные и лимфатические сосуды. Каждый зуб имеет характерную форму и строение и занимает определенное положение в зубном ряду.
В норме у человека имеется от 28 до 32 зубов. Различают молочные (временные) и постоянные зубы.
Во временном прикусе (молочные зубы) присутствует 8 резцов, 4 клыка и 8 моляров — всего 20 зубов. У детей они начинают прорезаться в возрасте от 3 месяцев. В период от 6 до 13 лет молочные зубы постепенно заменяются постоянными.
Постоянный прикус состоит из 8 резцов, 4 клыков, 8 премоляров и 8—12 моляров. В редких случаях наблюдаются дополнительные, сверхкомплектные зубы (как молочные, так и постоянные)[1]. Отсутствие третьих моляров, называемых «зубами мудрости» является нормой, а сами третьи моляры увеличивающимся числом учёных уже считаются рудиментом, но это на данный момент спорный вопрос.
Строение зуба
Зуб расположен в альвеолярном отростке верхней челюсти или в альвеолярной части нижней, состоит из ряда твёрдых тканей (такие, как зубная эмаль, дентин, зубной цемент) и мягких тканей (пульпа зуба).
Анатомически различают коронку зуба (выступающую над десной часть зуба), корень зуба (часть зуба, расположенная глубоко в альвеоле, покрытая десной) и шейку зуба — различают клиническую и анатомическую шейки: клиническая соответствует краю десны, а анатомическая является местом перехода эмали в цемент, что означает, что анатомическая шейка является фактическим местом перехода коронки в корень. Примечательно, что клиническая шейка с возрастом смещается в сторону верхушки корня (апекса) (так как с возрастом происходит атрофия десны), а анатомическая — в противоположную (так как с возрастом эмаль истончается, а в области шейки может полностью истираться в силу того, что в области шейки её толщина гораздо меньше). Внутри зуба располагается полость, которая состоит из так называемых пульповой камеры и корневого канала зуба.
Через специальное (апикальное) отверстие, расположенное в верхушке корня, в зуб идут артерии, которые доставляют все необходимые вещества, вены, лимфатические сосуды, обеспечивающие отток лишней жидкости и участвующие в механизмах местной защиты, а также нервы, осуществляющие иннервацию зуба.
Корни зубов, которые погружены в альвеолярные лунки верхней и нижней челюстей, укрыты периодонтом, который являет собой специализированную фиброзную соединительную ткань, которая удерживает зубы в альвеолах. Основу периодонту составляют периодонтальные связки (лигаменты), которые связывают цемент с костным матриксом альвеолы. С биохимической точки зрения, основу периодонтальных лигаментов составляет коллаген типа I с некоторым количеством коллагена типа III. В отличие от других связок тела человека, связочный аппарат, которые формирует периодонт, сильно васкуляризованный. Толщина периодонтальных связок, которая у взрослого человека составляет примерно 0,2 мм, уменьшается в пожилом и старческом возрасте.
Общие функции зубов
- Механическая обработка пищи
- Удержание пищи
- Участие в образовании звуков речи
Биохимический состав тканей зуба
Зуб построен из трёх слоёв кальцификованных тканей: эмали, дентина и цемента. Полость зуба заполнена пульпой. Пульпа окружена дентином — основной кальцификованной тканью. На выступающей части зуба дентин покрыт эмалью. Погружённые в челюсть корни зубов покрыты цементом.
Составные части зуба отличаются по функциональным назначениям и, соответственно, биохимическим составом, а также особенностями обмена веществ. Основными компонентами тканей является вода, органические соединения, неорганические соединения и минеральные компоненты.
| Составные зуба | Эмаль | Дентин | Пульпа | Цемент |
|---|---|---|---|---|
| Вода | 2,3 | 13,2 | 30-40 | 36 |
| Органические соединения | 1,7 | 17,5 | 40 | 21 |
| Неорганические соединения | 96 | 69 | 20-30 | 42 |
| Ca | 36,1 | 35,3 | 35,5 | 30 |
|---|---|---|---|---|
| Mg | 0,5 | 1,2 | 0,9 | 0,8 |
| Na | 0,2 | 0,2 | 1,1 | 0,2 |
| K | 0,3 | 0,1 | 0,1 | 0,1 |
| P | 17,3 | 17,1 | 17,0 | 25,0 |
| F | 0,03 | 0,02 | 0,02 | 0,01 |
Органические компоненты зуба — это белки, углеводы, липиды, нуклеиновые кислоты, витамины, ферменты, гормоны, органические кислоты.
Основу органических соединений зуба, безусловно, составляют белки, которые разделяют на растворимые и нерастворимые.
Растворимые белки тканей зуба: альбумины, глобулины, гликопротеины, протеогликаны, ферменты, фосфопротеины. Растворимые (неколлагеновые) белки характеризуются высокой метаболической активностью, выполняют ферментную (каталитическую), защитную, транспортную и ряд других функций. Самое высокое содержание альбуминов и глобулинов — в пульпе. Пульпа богата ферментами гликолиза, цикла трикарбоновых кислот, дыхательной цепи, пентозофосфатного пути расщепления углеводов, биосинтеза белка и нуклеиновых кислот.
К растворимым белкам-ферментам относятся два важных фермента пульпы — щелочная и кислая фосфатазы, которые принимают непосредственно участие в минеральном обмене тканей зуба.
Щелочная фосфатаза катализирует перенесение остатков фосфатной кислоты (фосфатанионов) с фосфорных эфиров глюкозы на органический матрикс. То есть, фермент принимает участие в формировании ядер кристаллизации и тем самым способствует минерализации тканей зуба.
Кислая фосфатаза имеет противоположный, деминерализующий эффект. Она принадлежит к лизосомальным кислым гидролазам, которые усиливают растворение (всасывание) как минеральных, так и органических структур тканей зуба. Частичная резорбция тканей зуба является нормальным физиологическим процессом, но особенно она возрастает при патологических процессах.
Важную группу растворимых белков составляют гликопротеины. Гликопротеины являются белково-углеводными комплексами, которые содержат от 3—5 до нескольких сотен моносахаридных остатков и могут формировать от 1 до 10—15 олигосахаридных цепей. Обычно содержание углеводных компонентов в молекуле гликопротеинов редко превышает 30 % массы всей молекулы. В состав гликопротеинов тканей зуба входят: глюкоза, галактоза, манноза, фруктоза, N-ацетилглюкозами, N-ацетилнейраминовые (сиаловые) кислоты, которые не имеют регулярного поворота дисахаридных единиц. Сиаловые кислоты являются специфическим компонентом группы гликопротеинов — сиалопротеинов, содержание которых особенно высоко в дентине.
Одним из важнейших гликопротеинов зуба, как и костной ткани, является фибронектин. Фибронектин синтезируется клетками и секретируется в межклеточное пространство. Он имеет свойства «липкого» белка. Связываясь с углеводными группами сиалогликолипидов на поверхности плазматических мембран, он обеспечивает взаимодействие клеток между собой и компонентами межклеточного матрикса. Взаимодействуя с коллагеновыми фибрилами, фибронектин обеспечивает формирование перицеллюлярного матрикса. Для каждого соединения, с которым он связывается, фибронектин имеет свой, специфический так называемый центр связывания.
Содержание растворимых белков в тканях зуба меньше в сравнении с содержанием нерастворимых белков. Однако ткани зуба исключительно чувствительны к уменьшению содержания именно растворимых белков. В частности, при кариесе в первую очередь нарушается обмен неколлагеновых белков.
Нерастворимые белки тканей зуба представлены зачастую двумя белками — это коллаген и специфический структурный белок эмали, который не растворяется в водных растворах ЭДТА (этилендиаминтетрауксусной) и соляной кислот. Благодаря высокой стойкости этот белок эмали выполняет роль скелета всей молекулярной архитектуры эмали, формируя каркас — «коронку» на поверхности зуба.
Коллаген: особенности строения, роль в минерализации зуба. Коллаген является основным фибриллярным белком соединительной ткани и главным нерастворимым белком в тканях зуба. Как указано выше, его содержание составляет около трети всех белков организма. Больше всего коллагена в сухожилиях, связках, коже и тканях зуба.
Особенная роль коллагена в функционировании зубо-челюстной системы человека связана с тем, что зубы в лунках альвеолярных отростков фиксируются периодонтальными связками, которые сформированы именно коллагеновыми волокнами. При скорбуте (цинге), которая возникает из-за недостаточности в рационе питания витамина С (L-аскорбиновой кислоты), возникают нарушения биосинтеза и структуры коллагена, что уменьшает биомеханические свойства периодонтальной связки и других околозубных тканей, и, как следствие, расшатываются и выпадают зубы. К тому же кровеносные сосуды становятся ломкими, возникают множественные точечные кровоизлияния (петехии). Собственно, кровоточивость десен и есть ранним проявлением скорбута, а нарушения в структуре и функциях коллагена являются первопричиной развития патологических процессов соединительной, костной, мышечной и других тканях.
В состав органического матрикса зуба входят моносахариды глюкоза, галактоза, фруктоза, манноза, ксилоза и дисахарид сахароза. Функционально важными углеводными компонентами органического матрикса являются гомо- и гетерополисахариды: гликоген, гликозаминогликаны и их комплексы с белками: протеогликаны и гликопротеины.
Гомополисахарид гликоген выполняет три основных функции в тканях зуба. Во-первых, он является основным источником энергии для процессов формирования ядер кристаллизации и локализуется в местах формирования центров кристаллизации. Содержание гликогена в ткани прямо пропорционально интенсивности процессов минерализации, поскольку характерной особенностью тканей зуба является превалирование анаэробных процессов энергоформирования — гликогенолиза и гликолиза. Даже при условии достаточной обеспеченности кислородом, 80 % энергетических потребностей зуба покрывается за счет анаэробного гликолиза, а соответственно и расщеплением гликогена.
Во-вторых, гликоген является источником фосфорных эфиров глюкозы — субстратов щелочной фосфатазы, фермента, который отщепляет ионы фосфорной кислоты (фосфат-ионы) от глюкозомонофосфатов и переносят их на белковой матрице, то есть инициирует формирование неорганической матрицы зуба. Кроме того, гликоген также является источником глюкозы, которая превращается в N-ацетилглюкозамин, N-ацетилгалактозамин, глюкоруновую кислоту и другие производные, которые принимают участие в синтезе гетерополисахаридов — активных компонентов и регуляторов минерального обмена в тканях зуба.
Гетерополисахариды органического матрикса зуба представлены гликозаминогликанами: гиалуроновой кислотой и хондроитин-6-сульфатом. Большое количество этих гликозаминогликанов перебывает в связанном с белками состоянии, формируя комплексы разной степени сложности, которые существенно отличаются по составу белка и полисахаридов, то есть гликопротеины (в комплексе значительно больше белкового компонента) и протеогликаны, которые содержат 5—10 % белка и 90—95 % полисахаридов.
Протеогликаны регулируют процессы агрегации (рост и ориентацию) коллагеновых фибрилл, а также стабилизируют структуру коллагеновых волокон. Благодаря высокой гидрофильности протеогликаны отыгрывают роль пластификаторов коллагеновой сетки, повышая её способность к растягиванию и набуханию. Наличие высокого количества кислотных остатков (ионизированных карбоксильных и сульфатных групп) в молекулах гликозаминогликанов обуславливает полианионический характер протеогликанов, высокую способность связывать катионы и тем самым брать участие в формировании ядер (центров) минерализации.
Важным компонентом тканей зуба является цитрат (лимонная кислота). Содержание цитрата в дентине и эмали — до 1 %. Цитрат, благодаря высокой способности к комплексоформированию, связывает ионы , формируя растворимую транспортную форму кальция. Кроме тканей зуба, цитрат обеспечивает оптимальное содержание кальция в сыворотке крови и слюне, тем самым регулируя скорость процессов минерализации и деминерализации.
Содержание липидов в тканях зуба колеблется в пределах 0,2—0,6 %. Фосфолипиды, которые несут негативный заряд, могут связывать ионы и другие катионы, и таким образом брать участие в формировании ядер кристаллизации. Липиды могут выполнять роль стабилизатора аморфного фосфата кальция.
Нуклеиновые кислоты содержатся, в основном, в пульпе зуба. Значительное увеличение содержания нуклеиновых кислот, в частности, РНК, наблюдается остеобластах и одонтобластах в период минерализации и реминерализации зуба и связано с увеличением синтеза белков этими клетками.
Минеральную основу тканей зуба составляют кристаллы разных апатитов. Основными являются гидроксиапатит и восьмикальциевый фосфат . Другие виды апатитов, которые присутствуют в тканях зуба, приведены в следующей таблице:
| Апатит | Молекулярная формула |
|---|---|
| Гидроксиапатит | |
| Восьмикальциевый фосфат | |
| Карбонатный апатит | или |
| Хлоридный апатит | |
| Стронциевый апатит | |
| Фторапатит |
Отдельные виды апатитов зуба различаются по химическим и физически свойствам — прочностью, способностью растворяться (разрушаться) под действием органических кислот, а их соотношения в тканях зуба обуславливаются характером питания, обеспеченностью организма микроэлементами и т. д. Среди всех апатитов наивысшую стойкость имеет фторапатит. Образование фторапатита повышает прочность эмали, снижает её проницаемость и повышает резистентность к кариесогенным факторам. Фторапатит в 10 раз хуже растворяется в кислотах, чем гидроксиапатит. При достаточном количестве фтора в питании человека значительно уменьшается количество случаев заболевания кариесом.
Биохимическая характеристика отдельных тканных компонентов зуба
Эмаль — наиболее твёрдая минерализованная ткань, которая размещается поверх дентина и внешне покрывает коронку зуба. Эмаль составляет 20—25 % зубной ткани, толщина её шара максимальная в участке жевательных вершин, где она достигает 2,3—3,5 мм, а на латеральных поверхностях — 1,0—1,3 мм.
Высокая твердость эмали обуславливается высокой степенью минерализации ткани. Эмаль содержит 96 % минеральных веществ, 1,2 % органических соединений и 2,3 % воды. Часть воды находится в связанной форме, формируя гидратную оболочку кристаллов, а часть (в форме свободной воды) заполняет микропространства.
Основным структурным компонентом эмали являются эмалевые призмы диаметром 4-6 мкм, общее количество которых колеблется от 5 до 12 млн в зависимости от размера зуба. Эмалевые призмы состоят из упакованных кристаллов, зачастую гидроксиапатита . Другие виды апатитов представлены незначительно: кристаллы гидроксиапатита в зрелой эмали приблизительно в 10 раз больше кристаллов в дентине, цементе и костной ткани.
В составе минеральных веществ эмали кальций составляет 37 %, фосфор — 17 %. Свойства эмали значительной мерой зависят от соотношения кальция и фосфора, которое меняется с возрастом и зависит от ряда факторов. В эмали зубов взрослых людей соотношения Ca/P составляет 1,67. В эмали детей это соотношение ниже. Данный показатель также уменьшается при деминерализации эмали.
Дентин — минерализованная, бесклеточная, бессосудистая ткань зуба, которая образует основную его массу и по строению принимает промежуточное положение между костной тканью и эмалью. Он твёрже кости и цемента, но в 4—5 раз мягче эмали. Зрелый дентин содержит 69 % неорганических веществ, 18 % органических и 13 % воды (что соответственно в 10 и в 5 раз больше, чем у эмали).
Дентин построен из минерализованного межклеточного вещества, пронзенной многочисленными дентиновыми каналами. Органический матрикс дентина составляет около 20 % общей массы и по составу близок к органическому матриксу костной ткани. Минеральную основу дентина составляют кристаллы апатитов, которые откладываются в виде зерен и шарообразных формирований — калькосферитов. Кристаллы откладываются между коллагеновыми фибриллами, на их поверхности и внутри самих фибрил.
Пульпа зуба — это сильно васкуляризированная и иннервированная специализированная волокнистая соединительная ткань, которая заполняет пульповую камеру коронки и канала корня. Она состоит из клеток (одонтобластов, фибробластов, микрофагов, дендритных клеток, лимфоцитов, тучных клеток) и межклеточного вещества, а также содержит волокнистые структуры.
Функция клеточных элементов пульпы — одонтобластов и фибробластов — состоит в образовании основного межклеточного вещества и синтезе коллагеновых фибрилл. Поэтому клетки имеют мощный белоксинтезирующий аппарат и синтезируют большое количество коллагена, протеогликанов, гликопротеинов и других водорастворимых белков, в частности, альбуминов, глобулинов, ферментов. В пульпе зуба обнаружена высокая активность ферментов углеводного обмена, цикла трикарбоновых кислот, дыхательных ферментов, щелочной и кислой фосфатазы и т. д. Активность ферментов пентозофосфатного пути особенно высока в период активной продукции дентина одонтобластами.
Пульпа зуба выполняет важные пластические функции, участвуя в образовании дентина, обеспечивает трофику дентина коронки и корня зуба. К тому же, за счет наличия в пульпе большого количества нервных окончаний пульпа обеспечивает передачу в ЦНС необходимую сенсорную информацию, которая объясняет очень высокую болевую чувствительность внутренних тканей зуба к патологическим раздражителям.
Основу минерального обмена тканей зуба составляют три взаимосвязанных процесса, которые постоянно протекают в тканях зуба: минерализация, деминерализация и реминерализация.
Минерализация зуба — это процесс образования органической основы, прежде всего коллагена, и насыщения её солями кальция. Минерализация особенно интенсивна в период прорезывания зубов и формирования твердых тканей зуба. Зуб прорезается с неминерализованной эмалью. Различают две основные стадии минерализации.
Первая стадия — образование органической, белковой матрицы. Проводящую роль на этой стадии отыгрывает пульпа. В клетках пульпы, одонтобластах и фибробластах синтезируются и освобождаются во внеклеточный матрикс фибрилы коллагена, неколлагеновые белки протеогликаны (остеокальцин) и гликозаминогликаны. Коллаген, протеогликаны и гликозаминогликаны формируют поверхность, на которой будет происходить формирование кристаллической решетки. В этом процессе протеогликаны отыгрывают роль пластификаторов коллагена, то есть повышают его способность к набуханию и увеличивают его общую поверхность. Под действие лизосомальных ферментов, которые освобождаются в матрикс, гетерополисахариды протеогликанов расщепляются с образованием высокореактивных анионов, которые способны связывать ионы и другие катионы.
Вторая стадия — кальцификация, отложение апатитов на матрице. Ориентированный рост кристаллов начинается в точках кристаллизации или в точках нуклеации — в участках с высокой концентрацией ионов кальция и фосфатов. Локально высокая концентрация этих ионов обеспечивается способностью всех компонентов органической матрицы связывать кальций и фосфаты. В частности: в коллагене гидроксильные группы остатков серина, треонина, тирозина, гидроксипролина и гидроксилизина связывают фосфат-ионы; свободные карбоксильные группы остатков дикарбоновых кислот в коллагене, протеогликанах и гликопротеинах связывают ионы ; остатки г-карбоксиглутаминовой кислоты кальцийсвязывающего белка — остеокальцина (кальпротеина) связывают ионы . Ионы кальция и фосфата концентрируются вокруг ядер кристаллизации и образуют первые микрокристаллы.
Типы зубов
Зубы человека делятся на два типа:
- Молочные зубы - временные, выпадают в детском возрасте
- Постоянные зубы - заменяют первоначальные, временные
По основной функции зубы делятся на 4 категории:
- Резцы — передние зубы с одним корнем и тонкими лопатообразными краями. Служат для захватывания и разрезания пищи.
- Клыки — конусовидные зубы, которые служат для разрывания и удержания пищи.
- Моляры (большие коренные) — задние зубы, которые служат для перетирания пищи, имеют чаще три корня на верхней челюсти и два — на нижней.
- Премоляры (малые коренные) — промежуточные по форме и расположению между клыками и молярами. Вырастают у человека только с появлением постоянных зубов. Имеют два корня, служат для перетирания пищи.
Развитие зубов
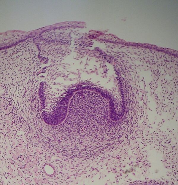
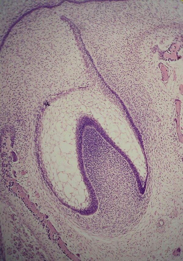
Развитие зубов у эмбриона человека начинается примерно на 7 неделе. В области будущих альвеолярных отростков возникает утолщение эпителия, который начинает врастать в виде дугообразной пластинки в мезенхиму.[2] Далее эта пластинка разделяется на переднюю и заднюю, в которой формируются зачатки молочных зубов. Зубные зачатки постепенно обосабливаются от окружающих тканей, а затем в них появляются составные части зуба таким образом, что клетки эпителия дают начало эмали, из мезенхимальной ткани образуются дентин и пульпа, а из окружающей мезенхимы развивается цемент и корневая оболочка.
Пульпа растущего зуба играет не только питательную роль, у детей она также является источником стволовых клеток, важных для образования дентина.[3] Угнетение клеток пульпы, а соответственно и роста зубов у детей может происходить под действием высоких доз местных анестетиков, применяемых в стоматологии.[3]
Приблизительно в 6 - 8 месяцев начинает прорезываться центральный нижний резец. За нижними резцами следуют верхние резцы, за ними - клыки и, наконец, моляры. В возрасте от двух с половиной до трёх лет этот процесс завершается. У ребёнка образуется полный комплект из 20 молочных зубов, в каждом ряду - 4 резца, 2 клыка и 4 моляра.
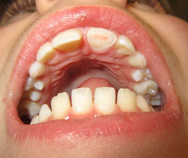
В 6 лет резцы заменяются постоянными зубами, появляются постоянные первые моляры. Приблизительно в 9 лет клыки также заменяются на постоянные зубы. В 12 появляются вторые постоянные моляры, а молочные моляры окончательно заменяются на премоляры. Наконец, в 18 появляются третьи моляры - зубы мудрости.
Время прорастания всех зубов может значительно отличаться. Например, у 25% людей зубы мудрости не вырастают вовсе. Это вызвано уменьшением челюсти в процессе эволюции. По этой же причине у 50% людей проросшие зубы мудрости оказываются зажатыми (стиснутыми под десной). В таком случае их необходимо удалять.
Зубы человека не регенерируют, в то время как у некоторых животных, например, акул, они обновляются постоянно в течение всей жизни.
Уход за зубами
Зубные пасты разделяются на две большие группы — гигиенические и лечебно-профилактические. Первая группа предназначена только для очищения зубов от налёта еды, а также придания полости рта приятного запаха. Такие пасты рекомендуются обычно тем, у кого здоровые зубы, а также нет причин для возникновения болезней зубов, и кто регулярно посещает стоматолога.
Основная масса зубных паст относится к второй группе — лечебно-профилактических. Их назначением, кроме очищения поверхности зубов, является подавление микрофлоры, которая вызывает кариес и пародонтит, реминерализация зубной эмали, уменьшение воспалительных явлений при заболеваниях пародонта, а также отбеливания зубной эмали.
Выделяют противокариозные пасты, которые содержат кальций и фторосодержащие зубные пасты, а также зубные пасты с противовоспалительным действием и отбеливающие пасты.
Гигиена полости рта является средством предупреждения кариеса зубов, гингивита, пародонтоза, неприятного запаха из полости рта (галитоза) и других стоматологических заболеваний. Она включает в себя как ежедневную чистку, так и профессиональную, которую производит врач-стоматолог.
Эта процедура включает в себя удаление зубного камня (минерализированного налёта), который может образоваться даже при тщательных чистках щеткой и зубной нитью.
Для ухода за первыми зубами ребёнка рекомендуется применять специальные дентальные салфетки.
Предметы личной гигиены полости рта: зубные щётки, зубные нити (флосы), скребок для языка.
Средства гигиены: зубные пасты, гели, ополаскиватели.
Заболевания зубов
Разное
- Эмаль зуба — самая твердая ткань человеческого организма.
- Эмаль не имеет клеточного строения, это продукты жизнедеятельности энамелобластов.
- Эмаль, в отличие от остальных тканей зуба, имеет эпителиальное происхождение.
- В процессе развития зуба из эпителия образуется 4 группы клеток, из которых 3 просто гибнут, а 4-я (энамелобласты) в процессе своей жизнедеятельности образует саму эмаль.
- Эмаль не способна к регенерации. В ней есть органическая матрица, на которой как бы крепятся неорганические апатиты. Если апатиты разрушаются, то при повышенном поступлении минералов их можно восстановить, но если разрушена органическая матрица, то восстановление уже невозможно.
- При прорезывании коронка зуба покрыта сверху кутикулой, которая в скором времени истирается, так и не выполнив ничего полезного.
- Кутикула сменяется пелликулой — зубным отложением, состоящим преимущественно из белков слюны, имеющих противоположный эмали заряд.
- Пелликула выполняет барьерную (пропуск минеральных компонентов) и кумулятивную (накопление и постепенная отдача кальция эмали) функции, однако в то же время именно к ней прикрепляются микроорганизмы, участвующие в образовании других зубных отложений.
- Отмечается роль пелликулы в формировании зубной бляшки (помогает прикрепляться) с дальнейшим возникновением кариеса.
Галерея
Примечания
Литература
- Боровский E. В., Гемонов В. В., Копаев Ю. H., Зедгенидзе Г. А., Персиц М. М., Прохончуков А. А., Смольянинов В. М. Зубы // Большая медицинская энциклопедия, 3-е изд. — М.: Советская энциклопедия. — Т. 8.
- Загорский В. А. Частичные съёмные и перекрывающие протезы. — М.: Медицина, 2007. — ISBN 5-225-03919-7.
- Гайворонский И. В., Петрова Т. Б. Анатомия зубов человека : учебное пособие. — СПб.: ЭЛБИ-СПб, 2005. — 56 с. — ISBN 5-93979-137-9.
- Уэстон Тревор Анатомический атлас. - М. : Маршалл Кэвендиш, 1998. - 156 с. - ISBN 5-7164-0002-7


