Адипоцит
Адипоци́т — основной тип клеток, из которых, в основном, состоит жировая ткань. Адипоциты представляют собой округлые клетки, содержащие одну или несколько жировых капель в цитоплазме. В зависимости от принадлежности к белой или бурой жировой ткани адипоциты делят на белые и бурые, которые отличаются морфологически и функционально. Белые адипоциты участвуют в жировом обмене, обладают способностью накапливать триглицериды и другие липиды, которые в дальнейшем используются организмом для выработки энергии, продуцируют ряд гормонов (лептин, адипонектин, резистин и другие), бурые адипоциты осуществляют термогенез.
Адипоциты могут давать начало опухолям — доброкачественным липомам и злокачественным липосаркомам. Накопление жира в адипоцитах тесно связано с развитием ожирения.
Строение
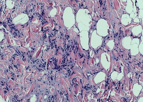
Клетки жировой ткани, накапливающие жир, называют адипоцитами. Одиночные адипоциты имеют шарообразную форму. Жировую ткань принято подразделять на белую и бурую согласно её цвету. Адипоцит белой жировой ткани содержит одну большую каплю нейтрального жира (такие адипоциты также называют унилокулярными), которая занимает центральную часть клетки и окружена тонким слоем цитоплазмы, в утолщённой части которого залегает уплощённое ядро. В цитоплазме адипоцитов содержатся в небольших количествах и другие липиды: холестерин, фосфолипиды, а также свободные жирные кислоты. Эти мелкие жировые включения особенно выражены у незрелых адипоцитов. Зрелый адипоцит имеет крупные размеры, от 50 до 150 мкм. Так как липиды вымываются ксилолом и другими растворителями, использующимися при приготовлении гистологических препаратов, унилокулярные адипоциты при рассмотрении с помощью светового микроскопа выглядят пустыми[1].
Адипоциты бурой жировой ткани, по сравнению с клетками белой жировой ткани, имеют больше митохондрий и вместо одной крупной жировой капли содержат множество мелких жировых включений в цитоплазме (такие адипоциты называют мультилокулярными[2]). Бурый цвет обеспечивается железосодержащими пигментами цитохромами, расположенными в митохондриях. Изменения бурой жировой ткани при голодании выражены меньше, чем белой. Бурая жировая ткань наиболее выражена у новорождённых и животных, впадающих в спячку[3], но есть и у взрослого человека[4][5].
Белую жировую ткань, которая приобрела некоторые черты бурой жировой ткани, называют «бежевым жиром»; в её клетках, бежевых адипоцитах, вместо одной крупной жировой ткани имеется несколько включений меньшего размера, увеличивается количество митохондрий и повышается уровень экспрессии гена UCP1, кодирующего белок термогенин[6].
Четвёртый тип адипоцитов был недавно описан в составе подкожной жировой ткани мышей во время беременности и лактации, когда жировая ткань в молочных железах существенно сокращается, а железистая часть, наоборот, разрастается. Новосформированные эпителиальные клетки, входящие в состав железистой части, называют розовыми адипоцитами. Они появляются в результате прямой трансдифференцировки белых адипоцитов в эпителиальные клетки, продуцирующие молоко. Образование розовых адипоцитов обратимо, и по завершении лактации они превращаются обратно в белые адипоциты, восстанавливая жировую часть молочной железы[7].
Физиология
Жировая ткань играет важную роль в поддержании уровня свободных жирных кислот и триглицеридов в крови, а также вносит вклад в развитие инсулинорезистентности (особенно абдоминальный жир). Адипоциты также могут запасать триглицериды, поступающие с пищей и циркулирующие в крови в составе хиломикронов, липиды, синтезируемые печенью и циркулирующие в кровотоке в виде липопротеинов очень низкой плотности, кроме того, свободные жирные кислоты и глицерин могут синтезироваться в самих адипоцитах. Хиломикроны и липопротеины очень низкой плотности при поступлении в жировую ткань гидролизуются липопротеинлипазой на люминальной поверхности кровеносных капилляров. Свободные жирные кислоты поступают в адипоциты по механизму активного транспорта и диффузии. В адипоцитах жирные кислоты в ходе реакции этерификации присоединяются к глицерин-3-фосфату с образованием триглицеридов, которые поступают в жировую каплю[8].
В жировой ткани идёт постоянное поступление и выход свободных жирных кислот. Результирующее направление движения свободных жирных кислот контролируются гормонами инсулином и лептином. Если инсулин повышен, то вход свободных жирных кислот в жировую ткань превышает её выход, и выход жирных кислот из жировой ткани возможен только при низком уровне инсулина в крови. Уровень инсулина повышается при поступлении в организм углеводной пищи, которое приводит к росту концентрации сахара в крови[9]. Инсулин также стимулирует поглощение глюкозы адипоцитами и способствует её преобразованию в жир[10].
При нервной или гуморальной стимуляции адипоцитов жировые запасы мобилизуются и клетки высвобождают жирные кислоты и глицерин. Норадреналин, выделяемый надпочечниками и постганглионарными симпатическими окончаниями, активирует гормончувствительную липазу, которая расщепляет триглицериды на поверхности липидных капель. Эта липаза также активируется гипофизарным гормоном роста. Свободные жирные кислоты диффундируют через мембраны адипоцитов и эндотелиальных клеток, выходят в кровоток и связываются с белком Альбумином. Более гидрофильный глицерин свободно плавает в крови и поглощается печенью. Инсулин ингибирует гормончувствительную липазу[11]. Мобилизацию адипоцитов также запускают адреналин[12] и адренокортикотропный гормон[13][14].
Молекулы, продуцируемые жировой тканью, играют важнейшую роль в поддержании метаболического гомеостаза, и нарушения в их образовании могут приводить к развитию ожирения и ряда патологических состояний, связанных с ожирением, поэтому жировую ткань рассматривают как эндокринный орган. Гормоны жировой ткани в совокупности называют адипокинами. Адипокины представляют собой разновидность цитокинов (сигнальных белков). Первым открытым адипокином стал гормон лептин, описанный в 1994 году. Лептин играет роль в поддержании нормальной массы тела и передаёт сигнал, свидетельствующий о насыщении, в гипоталамус. Лептин также контролирует липогенез в гепатоцитах, подавляя путь биосинтеза жирных кислот, и способствует окислению жирных кислот в мышцах. Наиболее обильно продуцируется адипокин, известный как адипонектин. Он повышает чувствительность к инсулину, и его введение мышам, страдающим ожирением, позволило частично преодолеть инсулинорезистентность. К числу адипокинов также относится фактор некроза опухоли α (TNFα), который вовлечён в формирование инсулинорезистентности за счёт подавления сигнального пути инсулина. В жировой ткани TNFα продуцируют макрофаги и другие иммунные клетки. У людей и мышей, страдающих ожирением, в жировой ткани возрастает экспрессия провоспалительного цитокина интерлейкина 6 (IL-6), однако его роль в метаболизме глюкозы неясна[7]. Также к числу адипокинов относят аспросин[15], резистин[16], апелин[17], хемерин[18], CCL2[19] и некоторые другие цитокины. Лептин и резистин продуцируются преимущественно подкожной жировой тканью[20]. Кроме того, и у женщин, и у мужчин жировая ткань является главным периферическим источником ароматазы, которая участвует в синтезе эстрогенов[21].
Основная функция бурой жировой ткани — термогенез. У животных в конце спячки и новорождённых детей в бурую жировую ткань поступает норадреналин, который, как и в белой жировой ткани, стимулирует гормончувствительную липазу и запускает гидролиз триглицеридов. Однако, в отличие от белых адипоцитов, в бурых адипоцитах свободные жирные кислоты не высвобождаются в кровь, а быстро метаболизируются, что сопровождается повышением потребления кислорода и продукцией тепла. Локальное повышение температуры в бурой жировой ткани приводит к нагреванию омывающей её крови, которая передаёт тепло на весь организм. Усиленная продукция тепла в бурых адипоцитах возможна благодаря тому, что в их внутренних митохондриальных мембранах в большом количестве содержится трансмембранный разобщающий белок термогенин, или UCP1. В присутствии свободных жирных кислот термогенин позволяет протонам поступать из межмембранного пространства непосредственно в матрикс митохондрии без прохождения протонов через АТФ-синтазу. Вместо образования АТФ энергия протонов идёт на выделение тепла[22]. Считается, что термогенин является симпортером протонов и свободных жирных кислот, но конкретный механизм его действия неясен[23]. Известно, что термогенин ингибируют АТФ, АДФ и ГТФ[24]. Термогенез в бурых адипоцитах также может активироваться при переедании[25].
Развитие
Как и другие клетки соединительной ткани, адипоциты происходят от мезенхимальных стволовых клеток. Мезенхимальные стволовые клетки дают начало преадипоцитам, которые похожи на крупные фибробласты с цитоплазматическими липидными включениями. Первоначально липидные капли молодого белого адипоцита изолированы друг от друга, но вскоре они сливаются с образованием единой большой жировой капли. Белые адипоциты развиваются вместе с меньшей популяцией бежевых адипоцитов, которые присутствуют в зрелой белой жировой ткани. При адаптации к низким температурам белые адипоциты частично обратимо превращаются в бурые, приобретают большое количество мелких липидных капель вместо одной крупной, их профиль экспрессии генов становится близок к таковому у бурых адипоцитов (в частности, возрастает экспрессия гена UCP1, кодирующего термогенин), и так называемые бежевые адипоциты приступают к термогенезу[26].
Бурые адипоциты также развиваются от мезенхимальных стволовых клеток, но в других локациях тела эмбриона, отличных от тех, где происходит дифференцировка белых адипоцитов. Бурые адипоциты в ходе эмбрионального развития возникают раньше белых. У человека объём бурой жировой ткани относительно массы тела максимален при рождении, когда наиболее высока потребность в термогенезе, и в детстве почти полностью исчезает через инволюцию и апоптоз адипоцитов. У взрослых бурый жир наиболее активен у людей худощавого телосложения. При адаптации к холоду бежевые адипоциты могут превращаться в бурые, кроме того, возможна пролиферация и дифференцировка бурых адипоцитов от мезенхимальных клеток-предшественников. Автономные нервы не только стимулируют термогенную активность бурых адипоцитов, но также способствуют их дифференцировке и предотвращают апоптоз зрелых бурых адипоцитов[27].
Клиническое значение
Белые адипоциты могут давать начало часто встречающимся доброкачественным образованиям — липомам. Злокачественные опухоли, происходящие из жировой ткани — липосаркомы — относительно редки. Доброкачественные опухоли, образованные бурыми адипоцитами, иногда называют гиберномами[1].
Под ожирением понимают состояние, при котором в организме накапливается избыток жировой ткани[28]. Ожирение повышает риск возникновения многих заболеваний и патологических состояний: сердечно-сосудистых, сахарного диабета 2-го типа, обструктивного апноэ во сне, некоторых видов рака, а также остеоартрита[29]. Конвертацию белой жировой ткани в бурую рассматривают как перспективную стратегию терапии ожирения[30].
В настоящее время жировую ткань можно использовать в качестве источника стволовых клеток у взрослых. Стволовые клетки жировой ткани можно легко перепрограммировать в индуцированные плюрипотентные стволовые клетки[31]. Получение стволовых клеток из клеточного материала самого организма пациента снижает риск отторжения трансплантата и позволяет избежать многих этических проблем, связанных с использованием эмбриональных стволовых клеток[32]. Имеются сведения, что стволовые клетки из разных локаций жировой ткани (абдоминального жира, эпикардиального жира и других) имеют разные свойства[32][33]: скорость пролиферации, иммунофенотип, потенциал дифференцировки и устойчивость к гипоксии[34].
История изучения
Жировая ткань (точнее, бурая жировая ткань) впервые была описана в 1551 году швейцарским медиком и учёным-энциклопедистом Конрадом Геснером (1516—1565)[35]. В 1902 году было отмечено сходство между шейными жировыми отложениями у новорождённых младенцев и млекопитающих, впадающих в спячку. Активное исследование бурой жировой ткани возобновилось в 1960-х годах (в 1964 году Уильям Сильверман и его коллеги доказали, что у человека бурый жир также отвечает за термогенез), и к 1980-м годам установилось мнение, что у взрослых людей бурой жировой ткани нет. Это представление было пересмотрено в конце 2000-х годов[36].
Белые адипоциты, или «жировые везикулы», а также их вклад в рост жировых отложений впервые были описаны в XIX веке. Активное исследование жировой ткани началось лишь в 1940-х годах. В 1940 году было показано, что жировая ткань иннервируется и снабжается кровью. В 1950-х годах была прояснена роль белых адипоцитов в метаболизме липидов, и дальнейшее изучение регуляции работы жировой ткани продолжалось во всей второй половине XX века[37]. Первые данные, свидетельствующие об эндокринной функции белой жировой ткани, появились в 1980-х годах[38].
Примечания
Литература
- Афанасьев Ю. И., Кузнецов С. Л., Юрина Н. А., Котовский Е. Ф. и др. Гистология, цитология и эмбриология. — 6-е изд., перераб. и доп. — М. : Медицина, 2004. — 768 с. — ISBN 5-225-04858-7.
- Anthony L. Mescher. Junqueira's Basic Histology : [англ.]. — McGraw-Hill Education, 2016. — ISBN 978-0-07-184270-9.


