Полимиозит
Полимиози́т (ПМ) — это тип хронического воспаления мышц (воспалительная миопатия), наравне с дерматомиозитом, отличающимся от такого светооптической картиной при биопсии мышцы — воспаление при полимиозите в основном обнаруживается в эндомизиальном слое скелетных мышц, тогда как дерматомиозит характеризуется главным образом воспалением перимизиального слоя скелетных мышц[2].
Что важно знать
| Полимиозит | |
|---|---|
| Специализация | Ревматология |
| Частота | 7,2E−5[1] |
Признаки и симптомы
Отличительной чертой полимиозита является слабость и/или потеря мышечной массы в проксимальном отделе мускулатуры, а также сгибание шеи и туловища[2]. Эти симптомы также могут быть связаны с выраженной болью в этих областях. Разгибатели бедра часто сильно поражаются, что приводит к особым трудностям при подъёме по лестнице и выходе из сидячего положения. Поражение кожи как при дерматомиозите, при полимиозите отсутствует. Дисфагия (затруднённое глотание) или другие проблемы с моторикой пищевода возникают у 1/3 пациентов. Может присутствовать низкая температура и увеличенные лимфатические узлы. Парез стопы на одной или обеих ногах может быть симптомом прогрессирующего полимиозита и миозита с включениями. Cистемные поражения полимиозита включают интерстициальные заболевания лёгких (ИЗЛ) и сердечные заболевания, такие как сердечная недостаточность и аритмия[3].
Полимиозит имеет тенденцию проявляться в зрелом возрасте, проявляясь двусторонней слабостью проксимальных мышц, часто отмечаемой в верхней части ног из-за быстрой усталости при ходьбе. Иногда слабость проявляется в неспособности подняться из сидячего положения без посторонней помощи или в неспособности поднять руки над головой. Слабость обычно прогрессирует, сопровождаясь лимфоцитарным воспалением (в основном цитотоксическими Т-клетками).
Полимиозит и связанные с ним воспалительные миопатии влияют на риск развития онкологии[4]. Было обнаружено, что с повышенным риском развития рака связаны пожилой возраст, возраст старше 45 лет, мужской пол, трудности с глотанием, гибель клеток кожи, кожный васкулит, быстрое начало миозита (<4 недель), повышенная креатинкиназа, более высокая скорость оседания эритроцитов и более высокий уровень С-реактивного белка. Некоторые факторы связаны с риском ниже среднего, включая наличие интерстициального заболевания лёгких, воспаления суставов/боли в суставах, синдрома Рейно или антитела против Jo-1[4]. Злокачественные новообразования, которые связаны с раком носоглотки, раком лёгких, неходжкинской лимфомой и раком мочевого пузыря, среди прочих[5].
Поражение сердца проявляется, как правило, сердечной недостаточностью и присутствует до 77 % пациентов[3]. Интерстициальное заболевание лёгких встречается до 65 % пациентов с полимиозитом, определяемым HRCT или рестрикцией дыхательных путей, совместно с интерстициальным заболеванием лёгких[6].
Причины
Диагностика
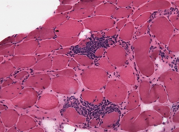
Диагноз ставится на основе нескольких обследований: анамнеза и физикального обследования, повышения уровня креатинкиназы, изменения электромиографии (ЭМГ), данных анализа иммуноблота антинуклеарных антител и специфических изменений по биопсии мышц[9].
Отличительной клинической особенностью полимиозита является слабость проксимальных мышц, при этом менее важными результатами являются мышечная боль и дисфагия. Анализы сердца и лёгких будут присутствовать примерно в 25 % случаев у пациентов с полимиозитом.
Спорадический миозит с включениям (сМСВ): часто путают с (ошибочно диагностируемым) полимиозитом или дерматомиозитом, который не реагирует на такое же лечение как МСВ. сМСВ развивается от нескольких месяцев до нескольких лет, полимиозит — от нескольких недель до нескольких месяцев. Полимиозит, как правило, хорошо поддаётся лечению, по крайней мере, на начальном этапе; а МСВ — нет.
Дифференциальная диагностика
Дифференциальная диагностика может проводиться с антисинтетазным синдромом[10].
Лечение
Первая линия лечения полимиозита — это кортикостероиды, цитостатики, ГИБП и внутривенный иммуноглобулин. Специализированная физиотерапия может дополнять лечение для повышения качества жизни.
Эпидемология
Полимиозит, как и дерматомиозит, поражает женщин чаще, чем мужчин.


