Болезнь Кастлемана
Боле́знь Ка́стлемана (БК; ангиофолликуля́рная гиперплази́я лимфати́ческих узло́в) — редкое доброкачественное лимфопролиферативное заболевание, представляющее собой ангиофолликулярную гиперплазию лимфатических узлов. Этиология заболевания до конца не изучена, однако существуют гипотезы о его инфекционной или аутоиммунной природе. Предполагается возможная роль в развитии болезни таких вирусов, как вирус Эпштейна — Барр, вирус иммунодефицита человека и герпесвирус 8-го типа. Данное состояние сопряжено с повышенным риском развития неходжкинской лимфомы и может быть ассоциировано с рядом онкологических и аутоиммунных заболеваний. Точная распространённость БК не установлена[1].
Что важно знать
История
Термин «болезнь Кастлемана» ведёт своё начало с 1954 года, когда Кастлеман и его коллеги описали случаи изолированной медиастинальной лимфаденопатии, что соответствует современному пониманию гиалиново-сосудистого типа уницентрической БК. Позднее Флендриг и Келлер описали второй гистологический вариант — плазмоклеточный тип, характеризующийся пролиферацией зрелых плазматических клеток. В 1980 году Мори сообщил о группе заболеваний с гистологическим сходством с плазмоклеточным (ПК) типом, но с генерализованной лимфаденопатией, назвав это состояние идиопатической плазмоклеточной лимфаденопатией с поликлональной гипергаммаглобулинемией. В 1983 году Фризера ввёл понятие мультицентрической БК, описав клинические случаи с гистологией ПК-типа, генерализованной лимфаденопатией и системными симптомами. В 1990-х годах была установлена связь между мультицентрической БК и герпесвирусом человека 8-го типа, особенно у пациентов со саркомой Капоши. В 2017 году были опубликованы первые международные диагностические критерии идиопатической мультицентрической БК[2].
Классификация
Выделяют следующие морфологические формы БК[3]:
- гиалино-васкулярный (ГВБК), встречающийся более чем в 70 % случаев;
- плазмоклеточный вариант (ПКБК), на долю которого приходится около 30 %;
- смешанный вариант.
В основе клинической классификации лежит количество поражённых лимфатических узлов или их групп[4]:
- локализованная (уницентрическая) (поражена одна область или лимфатический узел). Является наиболее распространённой формой (80—90 % случаев);
- генерализованная (мультицентрическая) (поражено несколько областей).
Этиология
Этиология БК изучена недостаточно, однако имеющиеся данные свидетельствуют о нарушении иммунорегуляции, приводящем к избыточной пролиферации В-лимфоцитов и плазматических клеток в лимфоидных органах. Эти нарушения могут быть следствием хронического вялотекущего воспаления, лимфоидной гамартоматозной гиперплазии, вирусных инфекций, аномальной модуляции цитокинов и ангиогенеза. Установлена тесная связь заболевания с ВИЧ-инфекцией. При мультицентрической форме БК важную роль играет герпесвирус человека 8-го типа, вызывающий дисрегуляцию воспалительных медиаторов[5].
Патогенез
Патогенез различных форм БК изучен недостаточно[6]:
- уницентрическая форма: патогенез связывают с клональной пролиферацией фолликулярных дендритных клеток, вызванной приобретёнными мутациями. В развитии заболевания могут участвовать нарушения сигнальных путей, например, сверхэкспрессия рецептора эпидермального фактора роста и интерлейкина-6 (ИЛ), который потенциально опосредует системные симптомы у части пациентов. Важную роль играет хемокин CXCL13, интенсивно экспрессируемый диспластическими клетками и регулирующий миграцию лимфоцитов;
- мультицентрическая форма БК, ассоциированная с герпесвирусом 8-го типа: патогенез обусловлен инфицированием вирусом герпеса человека 8-го типа В-клеток и плазмобластов. В патогенез также вовлечены нарушения в популяциях Т-клеток. Ключевые молекулярные механизмы включают активацию сигнального пути NF-κB через вирусный белок vFLIP и вирусные микроРНК, а также повышенную экспрессию фактора роста эндотелия сосудов через вирусный GPCR-рецептор. Эти процессы индуцируют пролиферацию В-клеток и плазматических клеток, ангиогенез и острофазное воспаление. Цитокиновый каскад характеризуется сочетанным действием человеческого ИЛ-6 и вирусного ИЛ-6, что расширяет спектр клеток-мишеней и усиливает патогенное воздействие;
- мультицентрическая форма БК, ассоциированная с POEMS-синдромом: патогенез заболевания обусловлен синтезом цитокинов моноклональными плазматическими клетками, претерпевшими геномные изменения (транслокации или делеции). Основным эффекторным цитокином является VEGF, уровень которого коррелирует с активностью заболевания. К дополнительным вовлечённым цитокинам относятся ИЛ-6, ИЛ-12, трансформирующий фактор роста-β1 и фактор некроза опухоли-α. Совокупное действие этих медиаторов приводит к системным проявлениям;
- идиопатическая мультицентрическая БК представляет собой гетерогенное заболевание с несколькими потенциальными механизмами патогенеза. В патогенезе участвуют различные клеточные популяции: В-клетки, Т-клетки, моноциты, эндотелиальные и фолликулярные дендритные клетки. Избыточная активация воспалительных путей в иммунных клетках приводит к характерным гистопатологическим изменениям в лимфатических узлах и системным симптомам:. Выделяют несколько основных механизмов патогенеза:
- аутоиммунный механизм: предполагается роль аутореактивных антител, стимулирующих выброс цитокинов;
- аутовоспалительный механизм: связан с герминальными мутациями в генах, регулирующих воспаление (мутации в генах MEFV, ADA2);
- неопластический механизм: выявлены случаи моноклональности в лимфатических узлах, преимущественно стромального происхождения. Отмечается повышенная частота злокачественных новообразований у пациентов с идиопатической мультицентрической БК;
- инфекционный механизм: несмотря на отсутствие идентифицированного патогена, общие черты с ассоциированной с герпесом 8-го типа БК формой предполагают возможную вирусную этиологию. Сообщается о случаях ассоциации с вирусом Эпштейн — Барр, герпесвирусом 6-го типа, гепатитом В и другими инфекциями.
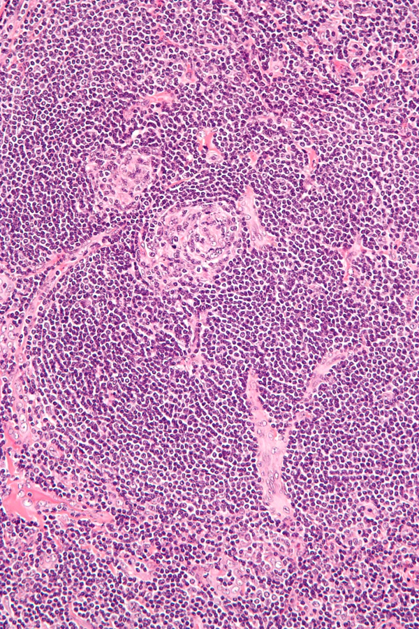
Типичная гистологическая картина при ГВБК характеризуется нарушением архитектоники лимфатического узла за счёт увеличения количества фолликулов и выраженной гиперваскуляризации интерфолликулярных зон. Фолликулы в типичных случаях небольшие по размеру, образованы трансформированными атрофичными гиалинизированными центрами, окружёнными широкой мантийной зоной, состоящей из лимфоцитов и формирующей концентрическую структуру, напоминающую слои луковицы. К центру каждого изменённого фолликула подходит один или несколько кровеносных сосудов. При малом увеличении микроскопа гиалинизированный фолликул с подходящим к нему сосудом создаёт характерную картину, сравниваемую с леденцом на палочке. Центральные зоны аномальных фолликулов содержат единичные лимфоциты и фолликулярные дендритные клетки, с наличием гиалиновых депозитов. В межфолликулярных пространствах наблюдается повышенное количество кровеносных сосудов, преимущественно посткапиллярных венул, представленных гиперплазированными эндотелиальными клетками. Между сосудами располагаются рассеянные или собранные в группы малые лимфоциты, плазмоциты и плазмоцитоидные моноциты. Лимфатические синусы не растянуты и иногда слабо различимы[7].
ПКБК демонстрирует характерную гистологическую картину, отличающуюся от ГВБК. Структура лимфатического узла нарушена за счёт гиперплазированных фолликулов с расширенными зародышевыми центрами, которые окружены узкой мантийной зоной из малых лимфоцитов. Зародышевые центры значительно расширены, отличаются высокой активностью и содержат макрофаги. Мантийная зона резко сужена, на отдельных участках может полностью отсутствовать. Межфолликулярные зоны и мозговой слой характеризуются выраженной гиперплазией по фолликулярному типу с образованием обширных пластов плазматических клеток, представленных как зрелыми, так и незрелыми формами. Встречаются атипичные и двухъядерные клеточные формы, а также тельца Рассела. В межфолликулярных пространствах между плазматическими клетками обнаруживаются плазмоцитоидные моноциты, лимфоциты и гистиоциты. Лимфатические синусы могут быть расширены, что создаёт дополнительный диагностический признак данного варианта заболевания[7].
Эпидемиология
Точные данные о заболеваемости отсутствуют: по приблизительным оценкам, она составляет в среднем 1 случай на 150 000 населения. Мужчины и женщины болеют с приблизительно одинаковой частотой. Среди пациентов преобладает возрастная группа до 40 лет. Данные о заболеваемости в Российской Федерации отсутствуют. По морфологическим вариантам распределение следующее: ГВБК составляет 80—90 % случаев, ПКБК — 8—10 % случаев, смешанный вариант — около 5 % случаев[4].
Диагностика
Уницентрическая форма БК проявляется в виде медленно растущего безболезненного солитарного образования в одной анатомической области. Первоначально заболевание обычно протекает бессимптомно, однако с увеличением размеров образования начинают появляться симптомы сдавления окружающих структур[5].
Мультицентрическая форма характеризуется распространением патологического процесса с вовлечением различных анатомических областей и органов и сопровождается выраженным воспалительным ответом, что проявляется системными симптомами: лихорадкой, ночной потливостью, недомоганием и потерей веса[5].
В тяжёлых случаях идиопатической мультицентрической БК может развиваться полиорганная недостаточность с почечной недостаточностью, что нередко приводит к летальному исходу[5].
При магнитно-резонансной и компьютерной томографии опухолевая масса визуализируется как солидное образование с чёткими ровными контурами, интенсивно и гомогенно накапливающее контрастное вещество в артериальную и венозную фазы[7].
При эксцизионной биопсии с гистологическим исследованием материала определяется характерная гистологическая картина в зависимости от гистологического типа[7]:
- гиалино-васкулярный вариант: мелкие гиалинизированные фолликулы с широкой мантийной зоной («луковичная» структура), выраженная межфолликулярная гиперваскуляризация с гиперплазированными эндотелиальными клетками. Характерный признак — сосуд, входящий в центр фолликула;
- плазмоклеточный вариант: расширенные активные зародышевые центры с узкой мантийной зоной, массивная пролиферация плазматических клеток в межфолликулярных зонах (зрелые, незрелые и атипичные формы), часто с тельцами Рассела. Синусы могут быть расширены.
При иммуногистохимическом исследовании гистологического материала характерно[7]:
- ГВБК: клетки редуцированных зародышевых центров фолликулов экспрессируют CD20, CD21 и CD23. Количество Т-лимфоцитов (CD3+, CD45RO+) в фолликулах и межфолликулярных зонах снижено по сравнению с нормой. Межфолликулярные пространства состоят из CD68+ плазматических клеток, S-100+ интердигитирующих дендритных клеток и кровеносных сосудов;
- ПКБК :при иммуногистохимическом исследовании гиперплазированные фолликулы представлены CD20-положительными В-лимфоцитами. Межфолликулярные пространства содержат CD68- и CD138-положительные плазматические клетки с экспрессией поликлональных иммуноглобулинов.
Клинический анализ крови: возможно выявление анемии, тромбоцитопении и тромбоцитоза[7].
Биохимический анализ крови: возможно выявление гипоальбуминемии[5].
Клинический анализ мочи: в некоторых случаях определяется протеинурия[5].
Иммуноферментный анализ: возможно повышение концентрации С-реактивного белка и выявление поликлональной гипергаммаглобулинемии[5].
В связи со сложностью диагностики БК разработаны критерии диагноза:
- Основные критерии:
- гистопатологическое подтверждение при биопсии лимфоузла с характерными изменениями;
- увеличение размеров лимфатических узлов.
- Дополнительные критерии:
- лабораторные:
- повышение С-реактивного белка или скорости оседания эритроцитов;
- анемия
- тромбоцитопения или тромбоцитоз;
- гипоальбуминемия;
- протеинурия;
- поликлональная гипергаммаглобулинемия;
- клинические:
- лихорадка, потеря веса, ночная потливость, усталость;
- спленомегалия или гепатомегалия;
- отеки, анасарка, плевральный выпот.
- лабораторные:
Диагноз считается подтверждённым при наличии обоих основных критериев, не менее двух дополнительных критериев и хотя бы одного лабораторного отклонения. Предварительно должны быть исключены другие инфекционные, злокачественные и аутоиммунные заболевания[5].
Дифференциальная диагностика
Дифференциальная диагностика БК проводится со следующими состояниями[5]:
- лимфома ходжкина;
- Т-клеточная лимфома;
- фолликулярная дендритноклеточная саркома;
- паранеопластическая пузырчатка;
- POEMS-синдром;
- саркома Капоши;
- болезнь Кимуры.
Осложнения
Описаны единичные случаи развития пузырчатки и облитерирующего бронхита на фоне БК[5].
Лечение
При уницентрической форме, характеризующейся локализованным поражением, методом выбора является полное хирургическое удаление опухоли. Для лечения мультицентрической формы применяются различные подходы: хирургическое вмешательство, цитостатики, химиотерапия с кортикостероидами или без них, а также аутологичная трансплантация стволовых клеток. Наиболее эффективными стратегиями считаются таргетная терапия, направленная на пути CD20 и ИЛ-6, а также подавление репликации герпесвируса 8-го типа[5].
Моноклональные антитела, блокирующие сигнальный каскад ИЛ-6, демонстрируют высокую эффективность и рассматриваются как терапия первой линии. Противовирусная терапия эффективна против герпесвируса 8-го типа[5].
Прогноз
Уницентрическая форма БК имеет благоприятный прогноз при условии полного хирургического удаления образования. В отличие от этого, мультицентрическая форма характеризуется сложным течением из-за системного поражения и частых сопутствующих заболеваний, таких как ВИЧ и герпетическая инфекция. Обе формы заболевания в некоторых случаях могут прогрессировать в неходжкинскую лимфому[5].
Диспансерное наблюдение
Не разработано.
Профилактика
Не разработана.
Примечания
Литература
- Щербакова Е. Н., Малаева Е. Г., Остапова Е. В. Мультицентрический вариант болезни Кастлемана // Проблемы здоровья и экологии. — 2019. — № 3 (61).
- Егорова Е. К., Суборцева И. Н., Плискунова Ю. В., Ковригина А. М., Меликян А. Л. Болезнь Кастлемана и IgG4-ассоциированная лимфаденопатия // Гематология и трансфузиология. — 2014. — № 4.


