Гемангиома орбиты
Гемангиома орбиты — доброкачественная врождённая или приобретённая сосудистая опухоль. В большинстве случаев представлена кавернозной гемангиомой. Для гемангиом характерен медленный рост. Несмотря на доброкачественный характер, гемангиомы приводят к существенным функциональным и косметическим дефектам: экзофтальм, диплопия, косоглазие, застойный диск зрительного нерва, атрофия зрительного нерва.
Причины капиллярных гемангиом изучены плохо, но есть несколько гипотез. Наиболее вероятная причина — гипоксический стресс, повышающий выработку GLUT 1 и VEGF, что приводит к мобилизации клеток-предшественников эндотелия. Другие гипотезы заключается в том, что опухоли образуются из плацентарных трофобластов, из существующих сосудов или из эндотелиоцитов и перицитов[1].
Кавернозная гемангиома — порок развития сосудов. Её относят к гамартомам — опухолеподобным образованиям, возникающим в результате нарушения эмбрионального развития тканей[2].
Кавернозная гемангиома составляет 4 % всех опухолей орбиты[2] и 70-80 % сосудистых опухолей. Возраст больных 12-65 лет. Женщины страдают в 2,5 раза чаще[3][4].
Капиллярная гемангиома — самая частая врождённая опухоль орбиты у детей. Она поражает около 5 % детей в возрасте до 1 года[5]. Проявляется в первые месяцы жизни и может спонтанно регрессировать[3].
Рацемозная гемангиома — врождённая опухоль из сформированных сосудов кожи или подкожной жировой клетчатки, прорастающая в орбитальную клетчатку. Проявляется на первом году жизни[3].
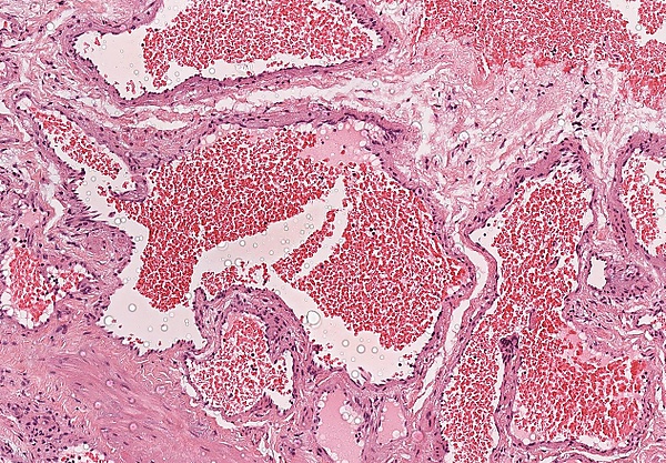
Кавернозная гемангиома характеризуется медленным ростом. Однако растущая опухоль давит на глазное яблоко сзади и постепенно смещает его, а также сдавливает глазодвигательные мышцы и зрительный нерв[3]. Гистологически это инкапсулированная узловая масса, состоящая из расширенных, кавернозных сосудистых пространств, разделённых соединительнотканной стромой[6].
Капиллярная гемангиома локализуется в коже лица, в верхне-внутреннем отделе орбиты и сдавливает глазное яблоко сзади и сбоку[3]. Поверхностные образования красные и приподнятые над окружающей кожей, глубокие имеют тёмно-синюю окраску. Гистологически в начале заболевания гемангиомы содержат скопления эндотелиальных клеток и небольшие сосудистые просветы. Развитые опухоли состоят из хорошо уплощённых, выстланных эндотелием капиллярных каналов и имеют дольчатое строение. Старые образования фиброзируются и гиалинизируются, просвет капилляров сужается[5].
Рацемозная гемангиома растёт в толще век или мягких тканей надбровной и височной областей, прорастает в орбиту, смещает глазное яблоко кпереди, книзу и кнутри[3].
- Кавернозная гемангиома (орбитальная кавернозная венозная мальформация)
- Капиллярная гемангиома (инфантильная гемангиома, ювенильная гемангиома, клубничный невус[5]):
- простая,
- ювенильная,
- гипертрофическая.
- Рацемозная гемангиома:
- венозная,
- артериальная,
- смешанная[3].
Клиническая картина зависит от локализации опухоли. При расположении за глазным яблоком постепенно нарастает экзофтальм, затрудняется репозиция глазного яблока, нарастают нарушения зрения.
Больные жалуются на снижение остроты зрения, уменьшение близорукости или развитие дальнозоркости, кровоизлияния под конъюнктиву и кожу век, отёки век, складчатость на глазном дне и дистрофические изменения макулы. При глубоком расположении возможна боль, застойный диск зрительного нерва и атрофия зрительного нерва. Если опухоль расположена ближе к стенкам орбиты, то развивается экзофтальм со смещением в сторону и ограничением подвижности глазного яблока[3][7].
Проявляется припухлостью с голубоватым или тёмно-синим оттенком, экзофтальмом со смещением в стороны, рецидивирующими подкожными и субконъюнктивальными кровоизлияниями, астигматизмом, амблиопией, косоглазием, атрофией зрительного нерва[3]. Проявляется гемангиома в течение первых 6 месяцев жизни, может увеличиваться и/или менять цвет при плаче; а кожное поражение бледнеть при надавливании. Капиллярные гемангиомы не пульсируют.
Венозный тип проявляется медленно прогрессирующим экзофтальмом, расширением вен орбиты и массивными жизнеугрожающими кровотечениями. Артериальный тип проявляется пульсирующим экзофтальмом, разрушает костные стенки орбиты, прорастает в полость черепа, вызывает тяжёлые и необратимые нарушения зрения[3].
Дополнительные методы исследования: ультразвуковая диагностика, компьютерная томография, сцинтиграфия[4].
- Атрофия зрительного нерва
- Косоглазие
- Косметический дефект
- Распространение в полость черепа
- Некроз опухоли
- Инфицирование опухоли
Кавернозные гемангиомы лечат хирургически — выполняют орбитотомию транскутанным, трансконъюнктивальным или костно-пластическим доступом в зависимости от локализации опухоли. Показания: размер опухоли 1 см3 и более, замедление кровотока и повышение индексов периферического сопротивления в центральной артерии сетчатки, в задних коротких цилиарных артериях и в центральной вене сетчатки[7]. Латеральную орбитотомию часто используют при опухолях, расположенных между глазодвигательными мышцами. Доступ через конъюнктиву или складку верхнего века используют при небольших новообразованиях, расположенных медиально и книзу от зрительного нерва или у вершины орбиты. Надглазничный доступ через разрез кожи в области брови показан при опухолях, локализующихся кверху от зрительного нерва. При больших опухолях вершины орбиты предпочтителен транскраниальный доступ, однако он сопряжён с большой вероятностью тяжёлых осложнений[2][6].
Капиллярные гемангиомы спонтанно регрессируют: 40 % исчезают к 4 годам, 80 % — к 8 годам. Показания к лечению: риск амблиопии, компрессия зрительного нерва, экспозиционная кератопатия, косметический дефект, инфицирование и некроз. Лечение: пероральный приём пропранолола, лазерная фотокоагуляция, лучевая терапия, эмболизация, хирургическое иссечение[5].
Рацемозные гемангиомы лечат эмболизацией, склеротерапией, хирургическим иссечением или комбинацией этих методов[8].
После удаления больших гемангиом положение глаз остаётся асимметричным (экзофтальм сменяется энофтальмом), а подвижность глазного яблока ограниченной из-за атрофии орбитальной клетчатки и повреждения мышц. У больных малыми гемангиомами объём клетчатки уменьшается незначительно, поэтому послеоперационный энофтальм составит примерно 0,5 мм и не будет заметен. После удаления средних и больших гемангиом энофтальм составит примерно 1,5 и 3,5 мм, соответственно[9].
Любая орбитотомия сопряжена с риском осложнений. Наиболее высокая частота потери зрения отмечается после удаления больших новообразований орбиты. Подвижность глазного яблока может пострадать вследствие повреждения экстраокулярных мышц и/или нервов[2].
Частоту осмотров выбирают в зависимости от скорости нарастания симптомов так, чтобы не допустить необратимых нарушений зрения. После удаления опухоли пациентов осматривают через 1 месяц, а затем наблюдают каждые 12 месяцев на предмет рецидивов[6].
Не разработана.
- ↑ Amal Chamli, Payal Aggarwal, Radia T. Jamil, Noureddine Litaiem. Hemangioma (англ.). — 2023-06-12.
- ↑ 1 2 3 4 Груша Я. О., Исмаилова Д. С., Эксаренко О. В., и др. Гигантская кавернозная гемангиома орбиты (случай из практики) // Вестник офтальмологии. — 2014. — Т. 130, № 2. — С. 44—49.
- ↑ 1 2 3 4 5 6 7 8 9 10 Чечин А. А., Янченко Т. В. Новообразования орбиты // Проблемы медицины и биологии: Научные литературные обзоры и статьи : материалы Международной научно-практической конференции молодых ученых и студентов. Кемерово, 24-26 апреля 2024 г.. — С. 294—302.
- ↑ 1 2 Алтынбаева Лиана Римовна, Серёжин Игорь Николаевич, Акчурина Розалия Анваровна. Дифференциальная диагностика гемангиом и других объёмных образований орбиты // Казанский медицинский журнал. — 2015. — № 3.
- ↑ 1 2 3 4 Capillary Hemangioma - EyeWiki (англ.). eyewiki.org. Дата обращения: 30 сентября 2024.
- ↑ 1 2 3 Orbital Cavernous Venous Malformation (Cavernous Hemangioma) - EyeWiki (англ.). eyewiki.org. Дата обращения: 30 сентября 2024.
- ↑ 1 2 Саакян С. В., Гусев Г. А., Мякошина Е. Б., Алиханова В. Р. Кавернозная гемангиома орбиты малых размеров: диагностика и тактика ведения // Голова и шея. — 2019. — № 2. — С. 18—27.
- ↑ Nur Nadia Ahmad Tarmizi, Mae-Lynn Catherine Bastion, Roslin Azni Abdul Aziz, Norshamsiah Md Din, Safinaz Mohd Khialdin. Retinal Racemose Hemangioma With Optic Neuropathy in a Child // Cureus. — 2021-08-31. — ISSN 2168-8184. — doi:10.7759/cureus.17620.
- ↑ O. Yu. Yatsenko. Cavernous Hemangioma of the Orbit and Its Impact on Orbital Fat // Ophthalmology in Russia. — 2017-01-01. — Т. 14, вып. 1. — С. 53–58. — ISSN 1816-5095 2500-0845, 1816-5095. — doi:10.18008/1816-5095-2017-1-53-58.


