Гамартома лёгкого
Гамарто́ма лёгкого (от др.-греч. ἁμάρτημα — ошибка, изъян и -ωμα от ὄγκωμα — опухоль) — доброкачественная опухоль лёгких врождённого происхождения, включающая в себя наряду с лёгочной тканью хрящевые, фиброзные, жировые или сосудистые структуры. Гамартома лёгкого, состоящая из тех же компонентов, что и само лёгкое, отличается их неправильным расположением и степенью дифференцировки[2]. Несмотря на устойчивую эпидемиологическую частоту данной нозологической формы, как и ранее, остаётся сложной диагностика гамартомы, дифференциация её с другими объёмными образованиями лёгкого, в первую очередь с первичными и метастатическими злокачественными процессами. Кроме того, и в наше время зачастую общие представления о гамартоме лёгкого среди врачей размыты и нередко неверны[3].
Что важно знать
История
Хрящевую опухоль лёгкого впервые в медицинской литературе описал в 1845 году немецкий врач Герман Леберт (Hermann Lebert, 1813—1878)[4]. Гистологическую структуру и макроскопическую картину позднее изучили Рудольф Вирхов (Rudolf Ludwig Karl Virchow, 1863), Ганс Киари (Hans Chiari, 1883), Феликс Виктор Бирх-Гиршфельд (Felix Victor Birch-Hirschfeld, 1887), Морис Летюль (Maurice Letulle, 1897), А. И. Абрикосов (1903), Hart (1906), однако сообщения о прижизненном обнаружении хрящевых опухолей лёгких появились только в XX веке, что связано с появлением и развитием рентгенологии. Уже к 1926 году по данным Hickey и Simpson в мировой литературе насчитывалось 40 случаев обнаружения хрящевых опухолей лёгких. В последующем в связи с успешным развитием торакальной хирургии сообщения о выявлении гамартом лёгких значительно участились[5].
В течение длительного времени в научных медицинских кругах не было единого мнения о причинах возникновения хрящевых опухолей лёгких. Обнаруживший это образование на фоне бронхоэктазов Ганс Киари полагал, что хрящевые опухоли возникают на фоне хронического воспаления. Аналогичных взглядов придерживались Рудольф Вирхов, Иоган Орт (Johannes Orth) и некоторые другие патологи. Will высказал предположение, что хондромы лёгких возникают из так называемой «бронхиогенной ткани» — зародышевых жаберных дуг. Все вышеперечисленные учёные сходились во мнении, что гамартомы являются истинными опухолями. Однако ещё в конце XIX и в начале XX века Феликс Виктор Бирх-Гиршфельд, Морис Летюль и А. И. Абрикосов полагали, что хрящевые опухоли возникают в эмбриональном периоде из элементов бронхиального дерева (по мнению А. И. Абрикосов, данная точка зрения подтверждалась присутствием в этих образованиях аденоматозных структур)[5].
Термин «гамартома» впервые предложен немецким патологоанатомом Евгением Альбрехтом (Eugen Albrecht, 1872—1908) в 1904 году при описании дизэмбриоплазий печени[6][7][8][9]. В 1922 году Feller впервые применил этот термин для обозначения опухолей лёгких, так как считал, что все описанные к тому времени доброкачественные новообразования лёгких могут быть отнесены к гамартомам. В 1930 году Bayer воспользовался этим термином для обозначения хрящевых опухолей лёгких, содержащих и другие тканевые элементы[5]. Goldsworthy в 1934 году применил термин «гамартома» в отношении доброкачественных опухолей лёгкого, состоящих преимущественно из сочетания жировой и хрящевой ткани[10].
Несмотря на то, что гамартома не является органоспецифическим патологическим состоянием, в настоящее время в мировой медицинской литературе термин «гамартома», как правило, применяется в отношении образований лёгкого[3].
Эпидемиология
Гамартома является наиболее часто выявляемой доброкачественной опухолью лёгкого[11] (составляет примерно 60—64 % всех периферических доброкачественных лёгочных новообразований[12], 60—69,6 % среди всех доброкачественных опухолевых и опухолеподобных образований неэпителиальной природы лёгочной ткани[3], 75 % от общего числа доброкачественных опухолей лёгких[10] и 5—8 % от всех новообразований лёгкого[10])[6]. По данным различных авторов, гамартомы по результатам аутопсии выявляются с частотой 0,025—0,32 %[10][13]. Редко наблюдаются эндобронхиальные гамартомы (1—12 %[14], 20 %[10]), при этом ещё реже они локализуются в крупных бронхах[15]. С большей частотой встречаются у пациентов старше 25 лет (40—70, в среднем — 49 лет)[13], причём у лиц мужского пола 2—4 раза чаще, чем у женского[10][12]. Периферическая гамартома в 3 раза чаще локализуется в передних сегментах лёгких, чем в задних[16]. Правое лёгкое поражается в 2 раза чаще, чем левое[4]. Редко встречаются множественные гамартомы одного или обоих лёгких[11]. Множественная гамартома лёгких у женщин может быть проявлением триады Карнея (Carney triad: лейомиобластома желудка, гамартома лёгкого и экстраадренальная параганглиома)[2][17][18], а также синдрома Cowden (поражения кожи и слизистых оболочек, множественные доброкачественные опухоли внутренних органов и повышенный риск развития рака молочной железы, щитовидной железы, органов мочеполовой системы и желудочно-кишечного тракта)[12]. Характерен очень медленный рост[4][10].
Этиология и патогенез
Гамартома является результатом нарушения развития в эмбриональном периоде, содержит различные элементы зародышевых тканей. Её развитие связывают с нарушением бронхиальной закладки и опухолеподобным ростом тканевых компонентов вокруг суженных частей бронхиальной почки[15]. Несмотря на то, что такая патологическая закладка зародышевых ростков происходит ещё в эмбриональном периоде, обычно гамартомы не имеют видимых проявлений вплоть до достижения пациентом взрослого возраста[13].Гамартома состоит из тех же компонентов, что и орган, где она находится, но отличается их неправильным расположением и степенью дифференцировки. Это отличает гамартому от тератомы, состоящей в том числе и из тканевых зачатков, чужеродных для данного органа[3].
Патологическая анатомия
Макроскопически гамартома обычно имеет округлую форму с гладкой или мелкобугристой поверхностью, и плотно-эластическую или плотную консистенцию, капсулы не имеет, но чётко отграничена от окружающей лёгочной ткани[14]. На разрезе опухоль сероватая или серовато-жёлтая, дольчатого вида, включает очаги хряща и разделена фиброзными прослойками, часто определяются включения извести[19]. В некоторых случаях удалённая из своего ложа гамартома распадается на отдельные дольки. Ложе опухоли образовано спрессованными альвеолами, между ним и опухолью анатомической связи нет, что объясняет возможность вылущивания гамартомы на операции[20][21]. Большинство гамартом лёгкого не превышает в диаметре 4 см, однако иногда могут достигать и 10 см[2]. В медицинской литературе имеются единичные описания случаев обнаружения гигантских гамартом[22], когда опухоль занимала 2 доли лёгкого и даже 3/4 соответствующей половины грудной клетки (Прозоров А. Е., 1939)[16][20].
Микроскопически определяется гиалиновый или, реже, эластический хрящ атипичного строения, вокруг которого располагаются прослойки жировой и волокнистой или миксоидной соединительной ткани, иногда гиалинизированной, с мелкими округлыми или овальными ядрами. Также выявляются участки окостенения или обызвествления. Иногда обнаруживаются гладко-мышечные волокна, лимфоидные скопления[14][20][21]. Между хрящевыми пластинками нередко встречаются щелевидные ходы, которые могут преобразоваться в кисты. Выстилка этих ходов и кист образована железистым эпителием. Эпителиальный компонент гамартомы представлен обычно небольшим количеством уродливых железистых и сосочковых структур[15].
Классификация
Клиническая картина
Гамартомы с внутрилёгочным расположением, как правило, формируются и развиваются бессимптомно. При прогрессирующем росте гамартомы субплевральной локализации больные могут отмечать необычные или болевые ощущения в соответствующей половине грудной клетки[24]. В случаях, когда гамартома исходит из стенки бронха, её рост может сопровождаться нарушением бронхиальной проходимости, появляются жалобы на кашель с отделением небольшого количества слизистой или слизисто-гнойной мокроты, очень редко наблюдается кровохарканье[13][19][25], а также хрипы в лёгких и одышка, что может быть неправильно интерпретировано как бронхиальная астма[10].
Инструментальное исследование
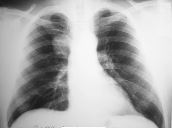
На рентгенограммах гамартомы с внутрилёгочной локализацией имеют вид одиночных (гораздо реже — множественных) шаровидных теней (солитарных лёгочных узлов) с чёткими, слегка волнистыми контурами[19]; при дольчатом строении очертания опухоли могут быть бугристыми. Характерны известковые включения, расположенные в виде отдельных зёрен или же в виде центрального конгломерата. Часто интенсивность тени центральной части опухоли значительно выше, чем краевых отделов (отличительная особенность гамартомы от других опухолей). Лёгочный рисунок вокруг гамартомы, как правило, не изменён[24]. Иногда имеется ободок по периферии (ложе опухоли). Характерно отсутствие изменений в корне лёгкого и плевральных реакций. При длительном динамическом наблюдении размеры гамартомы изменяются крайне медленно, но часто прогрессирует интенсивность известковых отложений[6][20].
В связи с особенностями рентгенологических проявлений выделяют 4 варианта гамартом:
- Гамартомы с неправильной, шаровидной или овальной формой, чёткими гладкими или же бугристыми контурами, имеющие весьма высокую интенсивность тени, которая уменьшается к периферии гамартомы. Характерны хорошо видимые на прямых и боковых рентгенограммах точечные, пятнистые и линейные обызвествления, которые сливаются в единый конгломерат.
- Гамартомы средней интенсивности, имеющие резко очерченные гладкие или бугристые контуры и хаотичное отложение глыбок извести в толще опухоли.
- Гамартомы с единичными или множественными очагами обызвествления, располагающимися как в толще гамартомы, так и по её периферии.
- Гамартомы без обызвествления[6].
Эндобронхиальные гамартомы проявляются прямыми (сферическое опухолевидное образование в просвете бронха с ровными и чёткими контурами при рентгеновской томографии) и косвенными признаками (различные рентгенологические проявления нарушений бронхиальной проходимости: гиповентиляция, ателектаз или вздутие, маятникообразные смещения средостения, вторичные бронхоэктазы)[2][23][26][27].
Основным преимуществом компьютерной томографии перед обзорной рентгенографией органов грудной клетки в обследовании пациентов с гамартомой лёгкого является возможность более детальной оценки внутренней архитектуры опухоли благодаря получению тонких срезов. В связи с этим включения кальция и жира лучше визуализируются при компьютерной томографии, чем при рентгенографии[2][10].
При компьютерной томографии органов грудной клетки гамартомы всех гистологических разновидностей дифференцируются в виде объёмного образования овальной формы с чёткими контурами различного диаметра, располагающегося на фоне неизменённой лёгочной ткани без реакции близлежащей междолевой или костальной плевры. Примерно в половине случаев структура гамартомы является неоднородной: либо за счёт центрально расположенных участков обызвествления (в 15—30 %), либо за счёт участков пониженной до −130 HU плотности (жировая ткань, в 34—50 %). Сочетание включений жира и кальция в одной опухоли является характерным признаком гамартомы. Частота обызвествления возрастает с увеличением размеров гамартомы: от 10 % для опухолей менее 2 см до 75 % для гамартом более 5 см[2]. При расположении опухоли в плащевой части лёгкого она имеет подчеркнутые контуры и гладкую поверхность, а при локализации гамартомы в толще лёгочной ткани её удалённый от корня полюс имеет подчёркнутые контуры и гладкую поверхность, обращённый же к корню лёгкого полюс остаётся чётким, но приобретает волнистый характер за счет множества коротких фиброзных тяжей, распространяющихся в ткань лёгкого. Отмечается также характерная ориентация длинной оси гамартомы: при расположении этой опухоли в любом отделе лёгочной ткани её длинная ось всегда направляется в сторону корня лёгкого[3].
При компьютерной томографии с болюсным контрастным усилением изображения отмечается постепенное повышение плотности гамартомы на протяжении всех фаз контрастирования. Характерно, что в артериальную фазу увеличение плотности ткани образования происходит на 57,2 %, в венозную фазу — на 26,4 %[Комм 1][3].
Фибробронхоскопия позволяет диагностировать гамартому в тех случаях, когда она исходит из стенки бронха. Эндобронхиальная гамартома может располагаться на стенках бронхов или в области бронхиальной «шпоры», имеет шаровидную или конусовидную форму, белесоватый цвет и широкое основание. Покрывающая гамартому слизистая оболочка не изменена. При инструментальной пальпации имеет каменистую плотность, что вызывает значительные трудности при взятии биопсии из опухоли[4].
Трансбронхиальное ультразвуковое исследование, проводимое при фибробронхоскопии, позволяет произвести прицельную трансбронхиальную пункционную биопсию гамартомы, расположенной вблизи бронха. Цитологическое исследование полученного таким образом материала даёт возможность уточнить диагноз и определить дальнейшую тактику лечения[10].
Как правило, ультразвуковое исследование (УЗИ) не применяется для выявления гамартом лёгкого. Однако при наличии субплевральной гамартомы, прилежащей к грудной стенке, возможна её визуализации при ультразвуковом исследовании с выполнением прицельной пункционной биопсии опухоли через грудную стенку под контролем УЗИ[2][24]. Выполнение трансторакальной пункционной биопсии возможно и под контролем компьютерной томографии[10].
Лечение
Так как окончательный диагноз при периферической (паренхимальной) гамартоме возможно установить лишь после гистологического исследования удалённой опухоли, основной метод лечения — хирургический[19]. В настоящее время в медицинской литературе определены следующие показания к оперативному вмешательству по поводу гамартомы лёгкого:
- одиночное образование в лёгком более 2,5 см в диаметре;
- чрезмерные психические переживания пациента по поводу обнаруженного новообразования;
- тенденция к прогрессирующему росту;
- не поддающиеся медикаментозной терапии лёгочные симптомы;
- невозможность однозначно исключить злокачественный характер новообразования[13].
В зависимости от размеров опухоли, её расположения и анатомической доступности, а также связанных особенностей возможно выполнение оперативного вмешательства в объёме энуклеации опухоли, клиновидной резекции, сегментэктомии, лобэктомии или пневмонэктомии[10]. Субплеврально расположенные гамартомы могут быть удалены простым вылущиванием после надсечения над ними плевры и кортикального слоя лёгкого, в последнее время это стало возможно выполнить с использованием видеоторакоскопических методик без травматичных разрезов (торакотомии)[19][23].
Показаниями к выполнению лобэктомии или пневмонэктомии при паренхимальной гамартоме лёгкого являются:
- расположение гамартомы в глубине лёгочной паренхимы или в корне лёгкого, что делает невозможным выполнение клиновидной резекции;
- нарушение функционирования части лёгкого дистальнее гамартомы;
- гамартомы больших размеров или множественные гамартомы, что также делает невозможным клиновидную резекцию[13].
При эндоброхиальной локализации в некоторых случаях возможна эксцизия опухоли при фибробронхоскопии путём воздействия высокоэнергетических лазеров[19] или электрокоагуляционной петли без последующего рецидива опухолевого роста. В медицинской литературе имеются также сообщения об удалении эндобронхиальных гамартом при помощи криотерапии (криоабляция), аргон-плазменной коагуляции или сочетании различных методик[26]. В некоторых случаях при эндобронхиальных гамартомах прибегают к выполнению открытых бронхопластических операций[10].
Эндобронхиальные гамартомы, сопровождающиеся ателектазом, деструкцией дренируемой ими части лёгкого или часто рецидивирующими пневмониями, удаляют путём сегментарной или более крупномасштабной анатомической резекции[19][26].
При наличии существенных противопоказаний к выполнению оперативного вмешательства возможно длительное диспансерное наблюдение[19][23].
Прогноз
Прогноз при гамартоме благоприятный[2]. Гамартомы обычно растут очень медленно[10][11], но могут достигать гигантских размеров[22][25]. Случаи озлокачествления гамартомы очень редки[15][23]: возможность малигнизации не превышает 5—7 %[3][12], некоторые авторы вообще исключают такую возможность, сомневаясь в достоверности приводимых единичных наблюдений малигнизации[14][16][20]. Озлокачествление происходит как в мезенхимном (хондросаркома, фибросаркома, липосаркома), так и эпителиальном компоненте образования (аденокарцинома[15], эпидермоидный рак), с метастазированием в лимфатические узлы, плевру, печень, позвоночник[3].
См. также
Комментарии
Примечания
Литература
- Вагнер Р. И. Гамартома лёгочной ткани // Опухоли лёгких. — СПб.: ИПФ «Ника», 2008. — С. 17—18. — 164 с. — 700 экз.
- Васильев Н.В., Самцов Е.Н., Байдала П.Г. Гамартома лёгких: предмет исследования и опыт наблюдения // Сибирский онкологический журнал. — Томск: ГУ НИИ онкологии Томского научного центра СО РАМН, 2008. — № 3 (27). — С. 77—81. — ISSN 1814-4861.
- Колесников И. С., Лыткин М. И. Гамартома // Хирургия лёгких и плевры: Руководство для врачей. — Л.: Медицина, 1988. — С. 310—311. — 384 с. — 20 000 экз. — ISBN 5-225-01655-3.
- Молотков В. Н., Соколов В. Н., Пугачёв В. С., Гомоляко И. В. Гамартохондрома // Пульмонология. Справочное пособие. — К.: Наукова думка, 1985. — С. 293—294. — 392 с. — 29 000 экз.
- Перельман М. И., Ефимов Б. И., Бирюков Ю. В. Гамартма // Доброкачественные опухоли лёгких. — М.: Медицина, 1981. — С. 26—32. — 240 с. — 15 000 экз.
- Пикунов М. Ю. Множественные хондроматозные гамартомы легких // Хирургия. Журнал им. Н. И. Пирогова : статья в журнале — научная статья. — М.: Медиа Сфера, 2004. — № 9. — С. 66—67. — ISSN 0023-1207. Архивировано 5 октября 2013 года.
- Пилипчук В. Н., Сердюк Т. М., Бережной А. Б. Гамартома лёгкого // Поликлиническая пульмонология: Руководство для врачей. — К.: Генеза, 2001. — С. 246—249. — 400 с. — ISBN 966-504-038-3.
- Платонова И. С., Мосин И. В. Озлокачествленная гамартома легких // Вопросы онкологии : статья в журнале — научная статья. — СПб.: Автономная некоммерческая научно-медицинская организация «Вопросы онкологии», 2009. — Т. 55, № 1. — С. 109—111. — ISSN 0507-3758.
- Путов Н. В., Толузаков В. Л., Левашов Ю. Н. Гамартома // Руководство по пульмонологии / Под редакцией Путова Н. В., Федосеева Г. Б. — 2-е издание, переработанное и дополненное. — Л.: Медицина, 1984. — С. 41—42. — 456 с. — 50 000 экз.
- Розенштраух Л. С., Виннер М. Г. Периферические (внебронхиальные) доброкачественные опухоли и заполненные кисты лёгких // Болезни органов дыхания: Руководство для врачей. В 4 томах / Под редакцией Н. Р. Палеева. — М.: Медицина, 1989. — Т. 2. Частная пульмонология. — С. 454—456. — 512 с. — 40 000 экз. — ISBN 5-225-01647-2.
- Розенштраух Л. С., Рождественская А. И. Гамартохондромы лёгких // Доброкачественные опухоли лёгких. — М.: Медицина, 1968. — С. 105—120. — 208 с. — 8000 экз.
- Розенштраух Л. С., Рыбакова Н. И., Виннер М. Г. Гамартохондромы лёгких // Рентгенодиагностика заболеваний органов дыхания. — М.: Медицина, 1978. — С. 304—307. — 528 с. — 11 000 экз.
- Торакальная хирургия: Руководство для врачей / Под редакцией Л. Н. Бисенкова. — СПб.: ЭЛБИ-СПб, 2004. — С. 330—331. — 928 с. — ISBN 5-93979-103-4.
- Трахтенберг А. Х., Чиссов В. И. Гамартома // Клиническая онкопульмонология. — М.: ГЭОТАР МЕДИЦИНА, 2000. — С. 86. — 600 с. — (Высокие технологии в медицине). — 1500 экз. — ISBN 5-9231-0017-7.
- Чернеховская Н. Е., Федченко Г. Г., Андреев В. Г., Поваляев А. В. Гамартома // Рентгено-эндоскопическая диагностика заболеваний органов дыхания. — М.: МЕДпресс-информ, 2007. — С. 168—169. — 240 с. — 2000 экз. — ISBN 5-98322-308-9.
- Bini A., Grazia M., Petrella F., Chittolini M. Multiple chondromatous hamartomas of the lung (англ.) // Interactive cardiovascular and thoracic surgery. — Нидерланды: Elsevier Science, 2002. — Vol. 1, no. 2. — P. 78—80. — ISSN 1569-9293. — doi:10.1016/S1569-9293(02)00058-0. — PMID 17669965.
- Dimitrakakis G., Challoumas D., Rama Rao Podila S., Mainwaring A. M., Kolettis T., Kornazewska M. The challenge of pulmonary endobronchial chondromatous hamartomas (англ.) // Journal of Balkan Union of Oncology. — Греция: Zerbinis Medical Publications, 2014. — Vol. 19, no. 1. — P. 60—65. — ISSN 1107-0625. — PMID 24659644. Архивировано 29 ноября 2014 года.
- Hutter J., Reich-Weinberger S., Hutarew G., Stein H. J. Giant pulmonary hamartoma — a rare presentation of a common tumor (англ.) // The Annals of thoracic surgery. — Нидерланды: Elsevier, 2006. — Vol. 82, no. 2. — P. e5—e7. — ISSN 0003-4975. — doi:10.1016/j.athoracsur.2006.05.032. — PMID 16863731.
- Kiryu T., Kawaguchi S., Matsui E., Hoshi H., Kokubo M., Shimokawa K. Multiple chondromatous hamartomas of the lung: a case report and review of the literature with special reference to Carney syndrome (англ.) // Cancer (журнал). — Соединенные Штаты Америки: American Cancer Society, 1999. — Vol. 85, no. 12. — P. 2557—2561. — ISSN 0008-543X. — doi:10.1002/(SICI)1097-0142(19990615)85:12<2557::AID-CNCR10>3.0.CO;2-2. — PMID 10375102.
- Lee S. Y., Park H J., Lee C. S., Lee K. R. Giant pulmonary hamartoma (англ.) // European journal of cardio-thoracic surgery. — Великобритания: Elsevier Science, 2002. — Vol. 22, no. 6. — P. 1006. — ISSN 1010-7940. — doi:10.1016/S1010-7940(02)00579-1. — PMID 12467828.
- Oguma T., Takiguchi H., Niimi K., Tomomatsu H., Tomomatsu K., Hayama N., Aoki T., Urano T., Nakano N., Ogura G., Nakagawa T., Masuda R., Iwazaki M., Abe T., Asano K. Endobronchial Hamartoma as a Cause of Pneumonia (англ.) // The American Journal of Case Reports. — Соединенные Штаты Америки: International Scientific Literature, Inc., 2014. — Vol. 15. — P. 388—392. — ISSN 1941-5923. — doi:10.12659/AJCR.890869. — PMID 25208559.
Ссылки
- Пикунов М. Ю. Множественные хондроматозные гамартомы легких. Хирургия. Журнал им. Н.И. Пирогова. 2004. №9 (2004). Дата обращения: 25 января 2011. Архивировано из оригинала 5 октября 2013 года.
- Ali Nawaz Khan. Lung Hamartoma Imaging. Medscape. WebMD LLC (1 августа 2013). Дата обращения: 15 октября 2014.
- Ganti S., Milton R., Davidson L., Anikin V. Giant pulmonary hamartoma. Journal of cardiothoracic surgery. BioMed Central (3 августа 2006). Дата обращения: 16 ноября 2014.
- Guo W., Zhao Y. P., Jiang Y. G., Wang R. W., Ma Z. Surgical treatment and outcome of pulmonary hamartoma: a retrospective study of 20-year experience. Journal of experimental & clinical cancer research. BioMed Central (31 мая 2008). Дата обращения: 19 ноября 2014.


