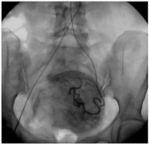
Эмболизация маточных артерий
Эмболизация маточных артерий (ЭМА) — способ лечения миомы матки без хирургической операции. Эффект достигается за счет перекрытия кровотока в узлах миомы с помощью специального препарата, который вводится в артерии матки по тонкой трубке (катетеру) через бедро. Препарат содержит мелкие шарики (эмболы), которые перекрывают артерии миомы, после чего она погибает в течение нескольких часов. Эмболизация маточных артерий позволяет во многих случаях отказаться от необходимости удаления матки при миоме и сохранить репродуктивную функцию.
Показания к проведению
- Симптомная или растущая миома матки
- размером до 20 недель беременности при отсутствии выраженной патологии шейки матки, эндометрия и яичников.
- у пациенток, заинтересованных в беременности, с подтвержденной ролью миомы матки в патогенезе бесплодия или с высоким риском выкидыша, при невозможности выполнения безопасной миомэктомии.
- в качестве подготовки к миомэктомии или гистерорезектоскопии.
- Интенсивное маточное кровотечение различной этиологии, когда другие методы лечения невозможны или сопряжены с реальной угрозой жизни больной.
При определении показаний к ЭМА по поводу миомы важное значение имеет мотивация больных: стойкое желание пациентки сохранить матку, избежать операции, заинтересованность в беременности.
Противопоказания
- Наличие активного инфекционного процесса.
- Известная выраженная аллергия (анафилактический шок, отек Квинке) на контрастные препараты.
Механизм действия
При маточном кровотечении ЭМА вызывает механическую закупорку кровоточащего сосуда с последующим образованием тромба.
При миоме ЭМА вызывает прекращение кровотока по ветвям маточных артерий, кровоснабжающим миому. Разный диаметр питающих миому ветвей и ветвей, питающих миометрий, приводит к минимальному воздействию на сосуды неизмененного миометрия. После прекращения кровоснабжения мышечные клетки, формирующие миому, гибнут. В течение нескольких недель происходит их замещение соединительной тканью. Затем в процессе «рассасывания» этой ткани происходит значительное уменьшение и/или полное исчезновение узлов, а симптомы миомы проходят.
Постэмболизационный период
Непосредственно после адекватно выполненной ЭМА возникают тянущие боли в нижних отделах живота. Болезненные ощущения продолжаются несколько часов и купируются обезболивающими препаратами. В первые дни после ЭМА могут отмечаться повышенная температура, кровяные выделения из половых путей, лейкоцитоз, гиперфибриногенемия, нарушения мочеиспускания, расстройства деятельности желудочно-кишечного тракта (тошнота, рвота).
Побочные эффекты и осложнения
Риск любых осложнений в десятки раз ниже, чем после хирургического лечения и не превышает 1 %.
Не более, чем у 3 % пациенток в первые 3-6 месяцев после ЭМА возможно нарушение регулярности менструального цикла или аменорея. Примерно в 20 % случаев при субмукозной миоме матки отмечается рождение узлов.
ЭМА и беременность
ЭМА не лишает женщин способности к деторождению. Многие женщины после ЭМА рожают здоровых детей[1].
Галерея
Примечания
Ссылки
- Эмболизация маточных артерий, Ю. Э. Доброхотова, С. А. Капранов, Б. Ю. Бобров, А. А. Алиева, И. И. Гришин, Российский вестник акушера-гинеколога, 2005, том 5, № 2, стр. 44-49. (недоступная ссылка)
- Перспективы органосохраняющего лечения миомы матки Т. Ф. Татарчук, д.м.н., профессор, Н. В. Косей, Г. М. Васильчук; Институт педиатрии, акушерства и гинекологии АМН Украины, г. Киев
- Эмболизация маточных артерий в лечении миомы матки. С. А. Капранов, В. Г. Бреусенко, Ю. Э. Доброхотова, Б. Ю. Бобров, И. А. Краснова, И. Б. Коваленко, Глава 37, c 542—597. Руководство по рентгеноэндоваскуляной хирургии сердца и сосудов./под редакцией Л. А. Бокерия, Б. Г. Алекяна. Том 1. Рентгеноэндоваскулярая хирургия заболеваний магистральных сосудов./под редакцией Л. А. Бокерия, Б. Г. Алекяна, М.Анри — М:ИЦССХ им. А. Н. Бакулева. РАМН. 2008. −608с.



