Цитомегаловирусная инфекция
Цитомегалови́русная инфекция[1] (ЦМВИ, ) — вирусное инфекционное заболевание человека, возбудителем которого является ДНК-содержащий цитомегаловирус человека из семейства герпесвирусов (Herpesviridae)[2].
В семействе Herpesviridae, HCMV принадлежит к подсемейству Betaherpesvirinae, которое также включает цитомегаловирусы, патогенные и для других млекопитающих[3].
Хотя вирусные частицы могут быть обнаружены по всему телу, HCMV чаще всего ассоциирован со слюнными железами[3]. В здоровом организме вирус никак себя не проявляет, но может быть смертельно опасен для людей с иммунодефицитами: для ВИЧ-инфицированных, реципиентов трансплантатов, новорождённых[2]. После заражения HCMV может очень долго латентно персистировать в организме. В конце концов это может привести к развитию мукоэпидермоидной карциномы и других злокачественных новообразований[4].
HCMV обнаружен во всех местах земного шара и во всех социально-экономических группах. В США процент инфицированных колеблется между 50 % и 80 % взрослых людей. Во всем мире заражено примерно 40 % людей,[5] на что указывает наличие антител у большей части населения в целом[2]. Доля сероположительных людей зависит от возраста: от 6 лет и старше инфицировано 58,9 % индивидов, в то время как после 80 лет эта цифра составляет 90,8 %[6]. HCMV чаще всего поражает развивающийся плод и является наиболее распространённой вирусной причиной появления врождённых пороков развития в индустриальных странах. Он более распространён в развивающихся странах и среди людей, имеющих низкий социально-экономический статус. Вирус значительно воздействует на иммунную систему в дальнейшей жизни и может быть причиной повышенной заболеваемости и смертности[7].
Патогенез
Большинство здоровых людей, инфицированных HCMV после рождения, не имеют симптомов[2]. У других же появляется синдром, похожий на инфекционный мононуклеоз[8], с пролонгированной лихорадкой и мягким гепатитом. Часто болит горло. После инфицирования вирус остаётся латентным в теле человека на протяжении всей жизни. Он проявляет себя только при иммунодефиците, вызванном лекарствами, другой инфекцией или старостью.
Инфекциозный вирус имеется в биологических жидкостях любого заражённого человека, и может быть обнаружен в моче, слюне, крови, слезах, сперме и грудном молоке. Вирусовыделение может происходить периодически бессимптомно.
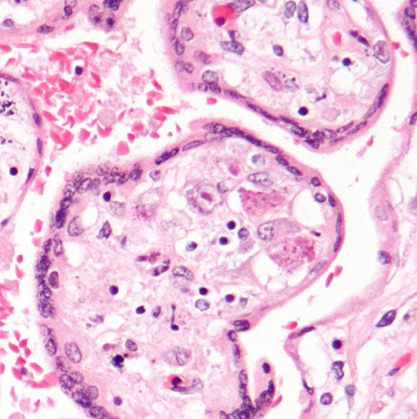
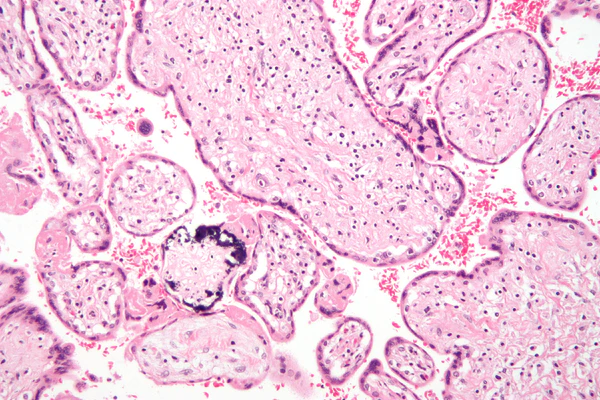
Инфекцию можно выявить микроскопически путём обнаружения внутриядерных включений. При окраске гематоксилин-эозином тельца включений становятся тёмно-розовыми, их называют «совиными глазами»[9].
Существуют группы риска, особенно подверженные вирусу[10]. Большую угрозу HCMV представляет для младенцев (даже ещё не рождённых) и людей с выраженными иммунодефицитами, такими как реципиенты трансплантатов, больные лейкемией или инфицированные ВИЧ. У ВИЧ-положительных людей проявление цитомегаловируса является индикатором того, что число Т-лимфоцитов снизилось до критического значения.
В течение литического цикла вирус повреждает цитоскелет, вызывая значительное увеличение клеток, благодаря чему вирус был и назван.
В исследовании, опубликованном в 2009 году, изучали связь между HCMV и гипертонией у мышей и предположили, что повреждение эндотелиальных клеток кровеносных сосудов, развивающееся при цитомегаловирусной инфекции, является одной из значимых причин в развитии атеросклероза[11]. Исследователи также обнаружили, что поражённые клетки синтезируют ренин — белок, являющийся компонентом ренин-ангиотензиновой системы и повышающий артериальное давление. Высокое артериальное давление в свою очередь относят к факторам риска развития атеросклероза.
Передача
Механизм передачи вируса от человека к человеку до конца ещё не известен, однако считается, что передача происходит через слюну, мочу, сперму и другие биологические жидкости[3]. Так или иначе, процесс передачи требует близкого, интимного контакта с человеком, выделяющим вирус. Цитомегаловирус может передаваться при половом акте и через молоко при грудном вскармливании, трансплантации органов или при переливании крови[12]. Хотя HCMV не слишком заразен, было показано, что он распространён в семьях и детских садах[2].
Вакцина
Опубликованные в 2009 году материалы по второй фазе клинических исследований цитомегаловирусной вакцины показали 50 % эффективность. Защита была не полной, и многие люди, несмотря на проведённую вакцинацию, были заражены. Зарегистрирован один случай врождённой HCMV-инфекции[13].
Заболевания, вызываемые цитомегаловирусной инфекцией
Цитомегаловирусные инфекции наиболее опасны в перинатальном периоде и у людей с иммунодефицитами.
HCMV относится к группе TORCH-инфекций, приводящих к врождённым патологиям. Это токсоплазмоз, краснуха, цитомегаловирус и простой герпес. Мать заражает ребёнка при первичной инфекции или реактивации вируса перед родами.
До 5/1 000 новорождённых инфицированы. У 5 % развивается цитомегалия, напоминающая по симптомам краснуху. У других 5 % впоследствии развивается церебральная кальцификация, сопровождающаяся снижением коэффициента интеллекта, нейросенсорной глухотой и психомоторной заторможенностью.
Первичная цитомегаловирусная инфекция у пациентов с ослабленной системой иммунитета может вызывать серьёзные заболевания. Однако, более частой проблемой является реактивация латентного вируса.
Цитомегаловирусная инфекция является основной причиной болезней и смертей у пациентов с иммунодефицитами, включая реципиентов трансплантатов, пациентов, требующих гемодиализ, пациентов со злокачественными новообразованиями, ВИЧ-положительных, а также принимающих иммунодепрессанты. Такие люди должны быть максимально защищены от внешних источников вируса, чтобы минимизировать риск возникновения острой инфекции. Если не предпринимать никаких мер, восприимчивые люди могут заразиться через продукты крови при переливании или при трансплантации заражённых органов.
У пациентов с ослабленной иммунной системой HCMV-ассоциированные заболевания проходят более остро.
Заболевания, выявляемые у таких людей:
- Цитомегаловирусный гепатит, вызываемый острой печёночной недостаточностью
- Цитомегаловирусный ретинит (воспаление сетчатки)
- Цитомегаловирусный колит (воспаление толстой кишки)
- Цитомегаловирусный пневмонит
- Цитомегаловирусный эзофагит
- Полирадикулопатия (корешковый синдром), поперечный миелит и подострый энцефалит[14].
Люди, не инфицированные HCMV, но получающие органы от больного донора, должны пройти профилактическое лечение с валганцикловиром (в идеале) или ганцикловиром. Также потребуется серологический мониторинг для контроля за подъёмом титра HCMV-специфичных антител. Лечение, начатое на ранней стадии, снижает риск для жизни реципиента.
Цитомегаловирусная инфекция имеет клиническое значение для взрослого населения с хорошим иммунитетом.
- Цитомегаловирусный мононуклеоз (некоторые источники применяют термин «мононуклеоз» только для мононуклеоза, вызванного вирусом Эпштейна — Барр)
- Пост-трансфузионный HCMV — похож на предыдущий
- Исследования 2009 года показывают, что цитомегаловирусная инфекция может быть связана с развитием артериальной гипертензии[11]. У мышей, питавшихся пищей с высоким содержанием холестерина и заражённых HCMV, гипертензия и сосудистые повреждения проявлялись в значительно большей степени, чем у не заражённых. Инфекция стимулировала цитокины — интерлейкин 6, фактор некроза опухоли и CCL2, и у инфицированных мышей отмечался воспалительный ответ в сосудах и других тканях. Далее возрастает выделение ренина и ангиотензина II, как дополнительных факторов, приводящих к гипертензии. HCMV был также найден в гладких миоцитах аорты у пациентов с абдоминальной аневризмой аорты, вследствие чего можно предположить, что HCMV индуцирует сосудистые заболевания[15][16].
Диагностика
Большинство цитомегаловирусных инфекций не диагностируются из-за невыраженной симптоматики, а редкие вспышки проходят зачастую без каких-либо внешних проявлений. Тем не менее, система иммунитета людей, заражённых HCMV, вырабатывает антитела к вирусу, которые сохраняются на протяжении жизни человека. Существует ряд лабораторных тестов, способных иммунологически выявить эти антитела и, соответственно, определить, произошло заражение или нет. Возможен также вирусологический метод исследования: культивирование вируса для выявления активной инфекции, обнаруженного в образцах мочи, мазках из горла, бронхиальных смывов и тканей. Кроме того, можно использовать ПЦР не только для выявления вируса, но и для определения вирусной нагрузки. Также эффективен метод непрямой иммунофлуоресценции для выявления РР65-белков цитомегаловируса в лейкоцитах периферической крови.
Цитомегаловирусная pp65-проба широко используется для мониторинга цитомегаловирусной инфекции, в том числе и у беременных, и контроля во время противовирусной терапии у пациентов с иммунодефицитами. Реакция с антителами позволяет выявить инфекцию за пять дней по появления первых симптомов болезни. Преимуществом этого метода является скорость (результат становится известным в течение нескольких часов) и то, что определение pp65-антигена позволяет врачу своевременно назначить лечение. Недостатком является то, что за один раз можно проверить сравнительно небольшое количество образцов. Данный тест безопасен и может легко применяться у беременных. Однако из-за высокой стоимости постоянное тестирование всех беременных женщин невозможно, и необходимость диагностики рассматривается индивидуально в каждом случае.
Для лучшего диагностического эффекта лабораторные тесты должны выполняться с использованием парных серологических сывороток. Первый образец крови должен быть взят сразу, на две недели позже. При выраженных симптомах культуру можно брать в любое время.
Цитомегаловирусную инфекцию можно заподозрить у человека с симптомами инфекционного мононуклеоза, но дающего негативный результат при анализе на мононуклеоз и вирус Эпштейна — Барр, а также если пациент отрицателен на гепатиты A, B и C, хотя имеет характерную симптоматику.
Иммуноферментный анализ является наиболее доступным методом диагностики и чаще всего используется для измерения титра антител. Полученный результат может быть использован для установления факта начальной, острой инфекции или наличия антител, полученных от матери. Другие тесты предполагают использование разнообразных флуоресцентных сывороток, РНГА, а также ПЦР и реакцию связывания латекса.
Иммуноферментный анализ для HCMV-специфических иммуноглобулинов M является доступным, но не слишком достоверным методом, так как может давать ложноположительный результат, если не удалить ревматоидный фактор или большую часть IgG перед началом исследования. В случае реактивации вируса HCMV-специфический IgM может присутствовать в слишком малом количестве, и его наличие не всегда свидетельствует о первичной инфекции. Только выделение вируса из материала, полученного из поражённого органа, например лёгких, даёт однозначное доказательство того, что заболевание вызвано именно цитомегаловирусом. Если серологические тесты определяют положительный или высокий титр IgG, то это не обязательно значит, что это активная HCMV-инфекция. Но если тесты в парных сыворотках показывают четырёхкратное повышение антител IgG и значительный уровень антител IgM (составляет не менее 30 % от IgG), вирус культивируется в посевах мочи или других мазков, все эти результаты указывают на присутствие активной цитомегаловирусной инфекции.
Хотя риски, как указывалось выше, низки, цитомегаловирусные сывороточные тесты являются частью стандартного набора скрининг-тестов для анонимных доноров в США, Великобритании и многих других странах.
HCMV-негативные препараты крови далее выделяются для переливания младенцам или пациентам с иммунодефицитами. Некоторые центры переливания крови ведут учёт таких доноров на случай чрезвычайных ситуаций[17].
Наличие у доноров костного мозга (гемопоэтических стволовых клеток) IgG-антител к цитомегаловирусу является благоприятным фактором, так как, попадая в организм реципиента, донорские клетки производят антитела, предохраняющие ослабленного пациента от цитомегаловирусной инфекции.
Лечение
Для лечения применяют гипериммунный цитомегаловирусный (человеческий) иммуноглобулин (HCMV-IGIV). Это иммуноглобулин класса G (IgG), содержащий стандартное количество антител к цитомегаловирусу. Он может быть использован для профилактики цитомегаловирусной инфекции, ассоциированной с трансплантацией почек, печени, лёгких, поджелудочной железы и сердца.
Механизм действия HCMV-IGIV основан на блокировании способности цитомегаловируса индуцировать внутриклеточную активацию сигнальных систем NF-kappaB, Sp-1, P13-K и выработки немедленных, ранних и поздних вирусных протеинов[18].
При отдельном применении или в комбинации с противовирусным препаратами было показано, что HCMV-IGIV:
- Снижает риск HCMV-ассоциированных заболеваний и смертей у пациентов групп риска (реципиентов трансплантатов)
- Статистически достоверно увеличивает выживаемость
- Имеет минимальные побочные эффекты[19].
Терапия ганцикловиром (англ. Cytovene) проводится у пациентов с иммунодефицитами или имеющими другие ассоциированные или опасные для жизни заболевания. Валганцикловир (англ. Valcyte) — противовирусный препарат, эффективный при пероральном применении. Однако его эффективность часто снижается из-за появления резистентных штаммов вируса. Резистентность связывают с вариабельностью аминокислотных остатков в UL97-протеинкиназе и вирусной ДНК-полимеразе. Фоскарнет или цидофовир применяют только у пациентов с цитомегаловирусом, резистентным к ганцикловиру, так как эти препараты являются нефротоксичными и вызывают колебания уровня Ca2+ или P, снижается Mg2+.
Лекарственная устойчивость
Резистентность цитомегаловируса (HCMV) к противовирусным препаратам является хорошо признанным явлением, которое наблюдается как в лабораторных, так и в клинических условиях. Инфекции, вызванные устойчивым к противовирусным препаратам HCMV, были обнаружены исключительно у лиц с ослабленным иммунитетом, включая больных СПИДом, реципиентов трансплантата костного мозга и твёрдых органов, а также пациентов с гематологическими злокачественными новообразованиями и лиц с первичными иммунодефицитами. Большинство этих инфекций, как было описано, возникают у пациентов со СПИДом, получающих длительную противовирусную терапию для лечения HCMV-заболевания конечных органов. Противовирусные препараты, которые в настоящее время лицензированы для лечения HCMV-инфекций, включают ганцикловир, фоскарнет и цидофовир. Резистентность HCMV к ганцикловиру связана с мутациями в области UL97 вирусного генома и / или мутациями в вирусной ДНК-полимеразе. Резистентность к фоскарнету и цидофовиру связана с мутациями в вирусной ДНК-полимеразе. Противовирусная восприимчивость штаммов HCMV, содержащих мутации ДНК-полимеразы, зависит от области ДНК-полимеразы, в которой расположены мутации. Некоторые ДНК-полимеразные мутантные вирусы обладают перекрёстной устойчивостью к ганцикловиру, фоскарнету и цидофовиру. Признание того, что специфические мутации UL97 и UL54 связаны с устойчивостью к противовирусным препаратам, привело к разработке молекулярных методов обнаружения мутантных вирусов.
Галерея
Литература
Ссылки
- Цитомегаловирусная инфекция в каталоге ссылок Curlie (dmoz)
- Цитомегаловирус US Центры по контролю и профилактике заболеваний США (CDC). May 22, 2009
- Цитомегаловирус Clinical DNA Information Resource (CDIR)


