Сердце человека
| Сердце | |
|---|---|
| лат. cor | |
| Сердце человека (схематичное изображение, фронтальный разрез) | |
![]() Сердечный цикл — работа сердца | |
| Система | Кровообращение |
| Кровоснабжение | Правая коронарная артерия, левая коронарная артерия |
| Венозный отток | большая вена сердца, средняя вена сердца, малая вена сердца, передние вены сердца, малые вены, задняя вена левого желудочка, косая вена левого предсердия |
| Иннервация |
|
| Лимфа | нижние трахеобронхиальные лимфоузлы, передние средостенные лимфоузлы. |
| Каталоги | |
Сердце человека (лат. cor, греч. ϰαρδία [kardia]) — это конусообразный полый мышечный орган, в который поступает кровь из впадающих в него венозных стволов и перекачивающий её в артерии, которые примыкают к сердцу. Полость сердца разделена на два предсердия и два желудочка. Левое предсердие и левый желудочек в совокупности образуют «артериальное сердце», названное так по типу проходящей через него крови, правый желудочек и правое предсердие объединяются в «венозное сердце», названное по тому же принципу. Сокращение сердца называется систолой, а расслабление — диастолой[B: 1].
Форма сердца не одинакова у разных людей. Она определяется возрастом, полом, телосложением, здоровьем и другими факторами. В упрощенных моделях описывается сферой, эллипсоидами, фигурами пересечения эллиптического параболоида и трёхосного эллипсоида. Мера вытянутости (фактор) формы есть отношение наибольших продольного и поперечного линейных размеров сердца. При гиперстеническом типе телосложения отношение близко к единице и астеническом — порядка 1,5. Длина сердца взрослого человека колеблется от 10 до 15 см (чаще 12—13 см), ширина в основании 8—11 см (чаще 9—10 см) и переднезадний размер 5—8,5 см (чаще 6,5—7 см). Масса сердца в среднем составляет у мужчин 332 г (от 274 до 385 г), у женщин — 253 г (от 203 до 302 г)[B: 2].
Анатомическое строение сердца
Сердце находится в грудной клетке в средостенье (в зависимости от анатомической или клинической классификации разделения средостенья — в нижнем среднем либо переднем соответственно) и смещено нижним левым краем в левую сторону, в так называемой околосердечной сумке — перикарде, который отделяет сердце от других органов.
По отношению к средней линии тела сердце располагается несимметрично — около 2/3 слева от неё и около 1/3 — справа. В зависимости от направления проекции продольной оси (от середины его основания до верхушки) на переднюю грудную стенку различают поперечное, косое и вертикальное положение сердца. Вертикальное положение чаще встречается у людей с узкой и длинной грудной клеткой, поперечное — у лиц с широкой и короткой грудной клеткой[B: 3].
Сердце состоит из четырёх отдельных полостей, называемых камерами: левое предсердие, правое предсердие, левый желудочек, правый желудочек. Они разделены перегородками. В правое предсердие входят верхняя полая и нижняя полая вены, в левое предсердие — лёгочные вены. Из правого желудочка и левого желудочка выходят, соответственно, лёгочная артерия (лёгочный ствол) и восходящая аорта. Правый желудочек и левое предсердие замыкают малый круг кровообращения, левый желудочек и правое предсердие — большой круг. Сердце расположено в нижней части переднего средостения, большая часть его передней поверхности прикрыта лёгкими с впадающими участками полых и лёгочных вен, а также выходящими аортой и лёгочным стволом. В полости перикарда содержится небольшое количество серозной жидкости[B: 2][B: 4].
Стенка левого желудочка приблизительно в три раза толще, чем стенка правого желудочка, так как левый должен быть достаточно сильным, чтобы вытолкнуть кровь в большой круг кровообращения для всего организма (сопротивление потоку крови в большом круге кровообращения в несколько раз больше, а давление крови в несколько раз выше, чем в малом круге кровообращения).
Существует необходимость поддержания тока крови в одном направлении, в противном случае сердце могло бы наполниться той самой кровью, которая перед этим была отправлена в артерии. Ответственными за ток крови в одном направлении являются клапаны, которые в соответствующий момент открываются и закрываются, пропуская кровь или ставя ей заслон. Клапан между левым предсердием и левым желудочком называется митральный клапан или двустворчатый клапан, так как состоит из двух лепестков. Клапан между правым предсердием и правым желудочком носит название трёхстворчатый клапан — он состоит из трёх лепестков. В сердце находятся ещё аортальный и лёгочный клапаны. Они контролируют вытекание крови из обоих желудочков.
Этот раздел не завершён. |
Кровоснабжение
Каждая клетка сердечной ткани должна иметь постоянное поступление кислорода и питательных веществ. Этот процесс обеспечивается собственным кровообращением сердца по системе его коронарных сосудов; его принято обозначать как «коронарное кровообращение». Название происходит от 2 артерий, которые, как венец, оплетают сердце. Коронарные артерии непосредственно отходят от аорты. Через коронарную систему проходит до 20 % вытолкнутой сердцем крови. Только такая мощная порция обогащенной кислородом крови обеспечивает непрерывную работу животворного насоса человеческого организма.
Иннервация
Сердце получает чувствительную, симпатическую и парасимпатическую иннервацию. Симпатические волокна от правого и левого симпатических стволов, проходя в составе сердечных нервов, передают импульсы, которые ускоряют ритм сердца, расширяют просвет венечных артерий, а парасимпатические волокна проводят импульсы, которые замедляют сердечный ритм и сужают просвет венечных артерий. Чувствительные волокна от рецепторов стенок сердца и его сосудов идут в составе нервов к соответствующим центрам спинного и головного мозга.
Преганглионарные симпатические нервные волокна расположены между верхними 5-м и 6-м грудными сегментами спинного мозга и соединяются с нейронами второго порядка шейных симпатических узлов. В составе сердечных нервов эти волокна оканчиваются в сердце и крупных сосудах. Преганглионарные парасимпатические волокна начинаются в задних двигательных ядрах мозжечка и в составе ветвей блуждающего нерва достигают сердца и крупных сосудов. Здесь волокна образуют синапсы с нейронами второго порядка, расположенными в ганглиях внутри этих же образований[1].
Гистологическое строение сердца
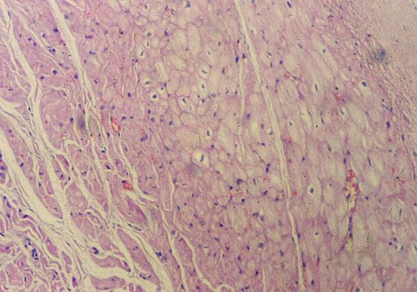
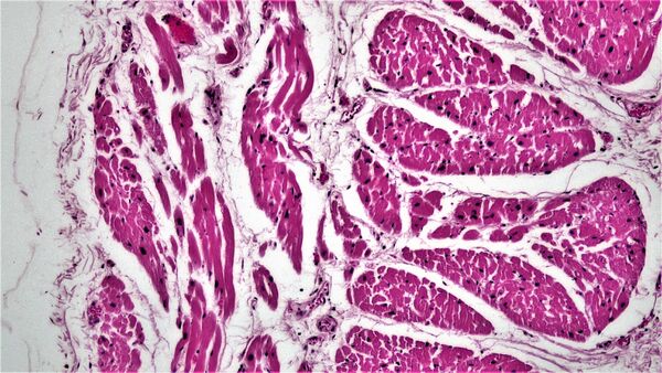
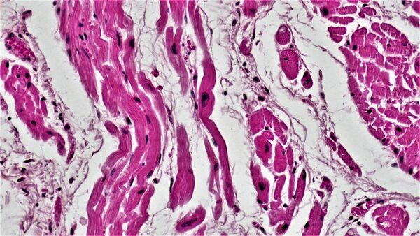
Стенка сердца состоит из трёх слоёв — эпикарда, миокарда и эндокарда. Эпикард состоит из тонкой (не более 0,3—0,7 мм) пластинки соединительной ткани, эндокард состоит из эпителиальной ткани, а миокард образован поперечно-полосатой сердечной мышцей (разновидность поперечно-полосатых мышц).
Зрелая клетка миокарда (кардиомиоцит) имеет размер до 25 μm в диаметре и 100 μm в длину. Клетка имеет поперечно-полосатую исчерченность подобно клетке скелетной мышцы. Однако, в противоположность многоядерным скелетным миофибриллам, кардиомиоциты имеют одно или два ядра, расположенных в центре клетки. Вокруг каждого кардиомиоцита присутствует соединительная ткань, богатая сетью капилляров[1].
Миокард густо пронизан кровеносными сосудами и нервными волокнами, образующими несколько нервных сплетений. На каждый капилляр миокарда приходится примерно четыре нервных волокна[B: 5].
Мембрана миокардиальных клеток называется сарколеммой. Особый участок мембраны представлен вставочным диском — это отличительная характеристика ткани сердечной мышцы. Вставочные диски через обычный микроскоп видны как темно окрашенные поперечные линии, которые через неравномерные промежутки пересекают цепочки сердечных клеток. Диски представляют сложные мостики, соединяющие соседние волокна сердца, образуя структурную и электрическую непрерывную связь между клетками миокарда. Для обслуживания огромных метаболических потребностей сердца и обеспечения высокоэнергетическими фосфатами, миокардиальные клетки снабжены изобилием митохондрий. Эти органеллы расположены между отдельными миофибриллами и занимают приблизительно 35 % объёма клетки[1].
Гистологический микропрепарат мышечной ткани сердца. Оптическая микроскопия, ×100, окраска гематоксилин-эозином
Биофизический взгляд на строение сердца
С точки зрения кардиофизики, сердце представляет собой многокомпонентную полимерную неоднородную активную среду естественного происхождения. Тонкая организация структуры этой среды и обеспечивает её основные биологические функции.
Неоднородная структура сердца, лежащая в основе его тонкой организации, была многократно подтверждена сначала при помощи методов электрофизиологии, а затем и методами вычислительной биологии.
Автоволновые свойства сердечной ткани уже более чем полстолетия активно исследуются и российской, и мировой наукой.
Новый научный взгляд на этот биологический объект позволяет по-новому подойти к решению проблемы создания искусственного сердца: задача сводится к налаживанию базирующегося на современных нанотехнологиях производства искусственной полимерной активной среды с аналогичной автоволновой функцией[2][B: 6].
Потенциалы действия сердца
Схематичное отображение мест формирования зубцов PQRST на ЭКГ
Физиология сердечной деятельности
Сердечная деятельность
- Автоматия сердца — это способность сердца ритмически сокращаться под влиянием импульсов, зарождающихся в нём самом.
- Возбудимость сердца — это способность сердечной мышцы возбуждаться от различных раздражителей физической или химической природы, сопровождающееся изменениями физико-химических свойств ткани.
- Проводимость сердца — осуществляется в сердце электрическим путём вследствие образования потенциала действия в клетках пейс-мейкерах. Местом перехода возбуждения с одной клетки на другую, служат нексусы.
- Сократимость сердца — сила сокращения сердечной мышцы прямо пропорциональна начальной длине мышечных волокон.
- Рефрактерность миокарда — временное состояние невозбудимости тканей в течение потенциала действия. Различают три уровня рефрактерности: абсолютный, эффективный и относительный рефрактерный период. Рефрактерный период клеток предсердия короче, чем клеток миокарда желудочков, поэтому ритм предсердий может значительно превышать ритм желудочков при тахиаритмиях[1].
Явления автоматии, возбудимости и проводимости могут быть объединены понятием «автоволновая функция сердца»[2][B: 6].
Считается, что сердечная деятельность нацелена на обеспечение насосной функции сердца, то есть «основной физиологической функцией сердца является ритмическое нагнетание крови в сосудистую систему»[B: 8].
Кровообращение
Выполняя в системе кровообращения насосную функцию, сердце постоянно нагнетает кровь в артерии. Сердце человека — это своеобразный насос, который обеспечивает постоянное и непрерывное движение крови по сосудам в нужном направлении.
Двустворчатый и трёхстворчатый клапаны обеспечивают ток крови в одном направлении — из предсердий в желудочки.
Цикл работы сердца
Здоровое сердце ритмично и без перерывов сжимается и разжимается. В одном цикле работы сердца различают три фазы:
- Наполненные кровью предсердия сокращаются. При этом кровь через открытые клапаны нагнетается в желудочки сердца (они в это время остаются в состоянии расслабления). Сокращение предсердий начинается с места впадения в него вен, поэтому устья их сжаты и попасть назад в вены кровь не может.
- Происходит сокращение желудочков с одновременным расслаблением предсердий. Трёхстворчатые и двустворчатые клапаны, отделяющие предсердия от желудочков, поднимаются, захлопываются и препятствуют возврату крови в предсердия, а аортальный и лёгочный клапаны открываются. Сокращение желудочков нагнетает кровь в аорту и лёгочную артерию.
- Пауза (диастола) короткий период отдыха этого органа. Во время паузы из вен кровь попадает в предсердия и частично стекает в желудочки. Когда начнётся новый цикл, оставшаяся в предсердиях кровь будет вытолкнута в желудочки — цикл повторится.
Один цикл работы сердца длится около 0,85 сек., из которых на время сокращения предсердий приходится только 0,11 сек., на время сокращения желудочков 0,32 сек., и самый длинный — период отдыха, продолжающийся 0,4 сек. Сердце взрослого человека, находящегося в покое, работает в системе около 70 циклов в минуту.
В норме сердечный цикл является упорядоченным процессом, в основе которого лежит проведение возбуждения в сердце. В норме электрический импульс возникает в синоатриальлном узле, расположенном у места впадения в правое предсердие верхней полой вены. Волна деполяризации быстро распространяется через правое и левое предсердия, достигая предсердно-желудочкового узла, где происходит её значительная задержка. Затем импульс быстро распространяется через пучок Гиса и проходит по правой и левой ножкам пучка Гиса. Они разветвляются на волокна Пуркинье, по которым импульс расходится к волокнам миокарда, вызывая их сокращение[1].
Автоматизм сердца
Определённая часть сердечной мышцы специализируется на выдаче остальному сердцу управляющих сигналов в форме соответствующих импульсов автоволновой природы; эта специализированная часть сердца получила название Проводящая система сердца (ПСС). Именно она обеспечивает автоматизм сердца[B: 9][B: 10].
Автоматизм — способность сердца возбуждаться под влиянием импульсов, возникающих в кардиомиоцитах без внешних раздражителей. В физиологических условиях наивысшим автоматизмом в сердце обладает САУ, поэтому его называют автоматическим центром первого порядка.А.В. Ардашев и др., 2009 [3]
Синусно-предсердный узел, называемый водителем ритма 1-го порядка и расположенный на своде правого предсердия, является важной частью ПСС[B: 11]. Путём отправки регулярных автоволновых импульсов он управляет частотой сердечного цикла. Эти импульсы через пути проведения предсердий поступают в предсердно-желудочковый узел и дальше — в отдельные клетки рабочего миокарда, вызывая их сокращение.
Таким образом, ПСС при помощи координации сокращений предсердий и желудочков обеспечивает ритмичную работу сердца, то есть нормальную сердечную деятельность.
Сопряжение возбуждения и сокращения
Трансформация потенциала действия в сокращение кардиомиоцитов или процесс сопряжения возбуждения и сокращения. В его основе лежит переход химической энергии в виде макроэргических фосфатов в механическую энергию сокращений кардиомиоцитов. Существует несколько белков, ответственных за сокращение клеток миокарда. Два из них — актин и миозин — являются главными сократительными элементами. Два других — тропомиозин и тропонин — выполняют регуляторную функцию. Мышечное сокращение развивается вследствие связывания головок миозина с актиновыми филаментами и «сгибания» головок. В результате этого тонкие и толстые филаменты движутся друг вдоль друга за счет энергии АТФ. Первым этапом в этом процессе является активация головки миозина при гидролизе АТФ, после чего головка миозина связывается с актином, образуя поперечный мостик. Взаимодействие головки миозина с актином приводит к структурным изменениям в головке, вызывающим ее «сгибание» Это сгибательное движение вызывает смещение актинового филамента вдоль миозинового[4].
Регуляция работы сердца
«Способность сердца к адаптации обусловлена двумя типами регуляторных механизмов:
- Внутрисердечная регуляция (такая регуляция связана с особыми свойствами самого миокарда, благодаря чему она действует и в условиях изолированного сердца, т.е. с автоматией).
- Экстракардиальная регуляция, которую осуществляют эндокринные железы и вегетативная нервная система»[5].
Работа сердца регулируется при помощи миогенных, нервных и гуморальных механизмов.
Миогенный, или гемодинамический, механизм регуляции разделяют на: гетерометрический и гомеометрический[B: 12].
Внутрисердечная регуляция
В качестве примера внутрисердечной регуляции можно привести закон Франка — Старлинга, в результате действия которого ударный объем сердца увеличивается в ответ на увеличение объема крови в желудочках перед началом систолы (конечный диастолический объем), когда все остальные факторы остаются неизменными. Физиологическое значение этого механизма заключается в основном в поддержании равенства объёмов крови, проходящей через левый и правый желудочек. Косвенно этот механизм может влиять и на ЧСС.
Доказано, что концентрация Ca2+ внутри клетки является главным фактором, определяющим силу сердечного сокращения. Механизмы, которые способствуют повышению концентрации внутриклеточного кальция, увеличивают силу сокращения, в то время как факторы, снижающие концентрацию кальция — уменьшают силу сокращения[1].
Экстракардиальная регуляция
Нервная система регулирует частоту и силу сердечных сокращений: (симпатическая нервная система обуславливает усиление сокращений, парасимпатическая — ослабляет).
Расположенный в продолговатом мозге сосудодвигательный центр, являющийся частью вегетативной нервной системы, получает сигналы от различных рецепторов: проприорецепторов, барорецепторов и хеморецепторов, — а также стимулы от лимбической системы. В совокупности эти входные сигналы обычно позволяют сосудодвигательному центру достаточно точно регулировать работу сердца через процессы, известные как сердечные рефлексы[6].
Богатое снабжение афферентными волокнами блуждающего нерва передней и задней поверхности желудочков обусловливает формирование важных сердечных рефлексов, в то время как обилие эфферентных волокон блуждающего нерва, направленных к СА и АВ узлам, позволяет регулировать выработку и проведение электрического импульса[1].
В качестве примера можно привести барорефлекс (рефлекс Циона — Людвига): при повышении артериального давления увеличивается частота импульсации барорецепторов, а сосудодвигательный центр уменьшают симпатическую стимуляцию и увеличивают парасимпатическую стимуляцию, что приводит, в частности, и к уменьшению ЧСС; и, наоборот, по мере снижения давления скорость срабатывания барорецепторов уменьшается, и сосудодвигательный центр увеличивает симпатическую стимуляцию и снижает парасимпатическую, что приводит, в частности, и к увеличению ЧСС. Существует аналогичный рефлекс, называемый предсердным рефлексом или рефлексом Бейнбриджа, в котором задействованы специализированные барорецепторы предсердий.
Воздействие эндокринной системы на сердце происходит при посредстве гормонов, которые могут усиливать или ослаблять силу сердечных сокращений, изменять их частоту. Основной эндокринной железой, регулирующей работу сердца, можно считать надпочечники: они выделяют гормоны адреналин и норадреналин, помимо них также ускоряют сердечные сокращения: серотонин, тироксин, Ca2+ действие которых на сердце соответствуют функциям симпатической нервной системы. Эффект на работу сердца оказывают также ионы кальция и калия, а также эндорфины и множество иных биологически активных веществ. Однако существуют вещества способствующие замедлению работы сердца: ацетилхолин, брадикинин, K+.
Инструментальные методы диагностики работы сердца
Ультразвуковое исследование сердца
Достаточно информативным методом визуализации структуры, физиологических процессов, патологий, и гемодинамики (допплерэхокардиография) является ультразвуковое исследование сердца. В отличие от методов, основанных на рентген технологии, не имеет лучевой нагрузки. К достоинствам метода можно также отнести быстроту исследования, безопасность, доступность.
Электрические явления
Работа сердца (как и любой мышцы) сопровождается электрическими явлениями, которые вызывают появление электромагнитного поля вокруг работающего органа. Электрическую активность сердца можно зарегистрировать при помощи различных методов электрокардиографии, дающей картину изменений во времени разности потенциалов на поверхности тела человека, либо электрофизиологического исследования миокарда, позволяющее проследить пути распространения волн возбуждения непосредственно на эндокарде. Эти методы играют важную роль в диагностике инфаркта и других заболеваний сердечно-сосудистой системы.
Акустические явления
Аускультативно у сердца в норме можно услышать тоны сердца и, шумы при некоторых его патологиях.
Акустические явления, называемые тонами сердца, можно услышать, прикладывая к грудной клетке ухо или стетоскоп. Каждый сердечный цикл в норме разделяют на 4 тона. Ухом при каждом сокращении слышны первые 2. Более долгий и низкий связан с закрытием дву- и трёхстворчатого клапанов, более короткий и высокий — это закрываются клапаны аорты и лёгочной артерии. Между одним и вторым тоном идёт фаза сокращения желудочков.
Механическая активность
Сердечные сокращения сопровождаются рядом механических проявлений, регистрируя которые, также можно получить представление о динамике сокращения сердца. Например, в пятом межреберье слева, на 1 см внутри от среднеключичной линии, в момент сокращения сердца ощущается верхушечный толчок. В период диастолы сердце напоминает эллипсоид, ось которого направлена сверху вниз и справа налево. При сокращении желудочков форма сердца приближается к шару, при этом продольный диаметр сердца уменьшается, а поперечный возрастает. Уплотненный миокард левого желудочка касается внутренней поверхности грудной стенки. Одновременно опущенная к диафрагме при диастоле верхушка сердца в момент систолы приподнимается и ударяется о переднюю стенку грудной клетки. Все это и вызывает появление верхушечного толчка[B: 8].
Для анализа механической активности сердца используют ряд специальных методов.
Кинетокардиография[прим. 1] — метод регистрации низкочастотных вибраций грудной клетки, обусловленных механической деятельностью сердца; позволяет изучить фазовую структуру цикла левого и правого желудочков сердца одновременно.
Электрокимография — метод электрической регистрации движения контура сердечной тени на экране рентгеновского аппарата[B: 13]. К экрану у краев контура сердца прикладывают фотоэлемент, соединенный с осциллографом. При движениях сердца изменяется освещенность фотоэлемента, что регистрируется осциллографом в виде кривой. Получаются кривые сокращения и расслабления сердца.
Баллистокардиография — метод, основанный на том, что изгнание крови из желудочков и её движение в крупных сосудах вызывают колебания всего тела, зависящие от явлений реактивной отдачи, подобных тем, которые наблюдаются при выстреле из пушки (название методики «баллистокардиография» происходит от слова «баллиста» — метательный снаряд). Кривые смещений тела, записываемые баллистокардиографом и зависящие от работы сердца, имеют в норме характерный вид. Для их регистрации существует несколько различных способов и приборов. Основоположником баллистокардиографии в Советском Союзе считается академик В. В. Парин[A: 1].
Динамокардиография — метод, основан на том, что движения сердца в грудной клетке и перемещение крови из сердца в сосуды сопровождаются смещением центра тяжести грудной клетки по отношению к той поверхности, на которой лежит человек.[B: 13] Обследуемый лежит на специальном столе, на котором смонтировано особое устройство с датчиками — преобразователями механических величин в электрические колебания. Устройство находится под грудной клеткой исследуемого. Смещения центра тяжести регистрируются осциллографом в виде кривых. На динамокардиограмме отмечаются все фазы сердечного цикла: систола предсердий, периоды напряжения желудочков и изгнания из них крови, протодиастолический период, периоды расслабления и наполнения желудочков кровью.
Фонокардиография — метод регистрации тонов сердца на фонокардиограмме. Если в левой половине грудной клетки на уровне IV—V ребра обследуемого приложить чувствительный микрофон, соединенный с усилителем и осциллографом, то возможно зарегистрировать на фотобумаге тоны сердца в виде кривых. Этот метод используется для диагностики поражений клапанов сердца[B: 13].
См. также
Примечания
- Комментарии
- ↑ См. также Исследование механической активности сердца
- Источники
- ↑ 1 2 3 4 5 6 7 Лилли, 2003, Глава 1. Основы строения и функции сердца, с. 1—32.
- ↑ 1 2 Ардашев, 2009, Базовые механизмы аритмий сердца, с. 45—74.
- ↑ Ардашев, 2009, Анатомия и физиология проводящей системы сердца, с. 35—41.
- ↑ Лилли, 2003, Нормальный процесс распространения возбуждения в сердце, с. 101—105.
- ↑ Шмидт, 2005, § 19.5. Приспособление сердечной деятельности к различным нагрузкам, с. 485.
- ↑ Betts, 2013, § 19.4 Cardiac Physiology, с. 865—876.
- ↑ 1 2 Дудель Й., Рюэгг Й., Шмидт Р. и др. Физиология человека: в 3-х томах. Пер. с англ = Human Physiology / под ред. Р. Шмидта и Г. Тевса. — 3. — М.: Мир, 2010. — Т. 1. — 323 с илл. с. — 1000 экз. — ISBN 978-5-03-003834-6.
- ↑ 1 2 Привес М. Г., Лысенков Н. К., Бушкович В. И. Анатомия человека. — 11-е переработанное и дополненное. — М.: Медицина, 1985.
- ↑ Betts J. G., Desaix P. , Johnson E. W., Johnson J. E., Korol O., Kruse D., Poe B., Wise J., Womble M. D., Young K. A. Anatomy and Physiology (англ.). — OpenStax, 2013. — 1410 p. — ISBN 978-1-947172-04-3.
- ↑ Патофизиология заболеваний сердечно-сосудистой системы / под ред. Л. Лилли; Пер. с англ.. — М.: БИНОМ, 2003. — 598 с. — 3000 экз. — ISBN 5-94774-080-X.
- ↑ Гистология / под ред. Ю. И. Афанасьева, Н. А. Юриной. — М.: Медицина, 1998. — 15 000 экз.
- ↑ 1 2 Tachycardia as “Shadow Play” // Tachycardia / Takumi Yamada, editor. — Croatia: InTech, 2012. — P. 97—122. — 202 p. — ISBN 978-953-51-0413-1.
- ↑ Дудель Й., Рюэгг Й., Шмидт Р. и др. Физиология человека: в 3-х томах. Пер. с англ = Human Physiology / Под ред. Р. Шмидта, Г. Тевса. — 3-е изд.. — М.: Мир, 2005. — Т. 2. — 314 с. — 1000 экз. — ISBN 5-03-003576-1.
- ↑ 1 2 Физиология человека / под ред. В. М. Покровского и Г. Ф. Коротько. — 3. — М.: Медицина, 2007. — 656 с. — (Учебная литература для студентов медицинских вузов). — 10 000 экз. — ISBN 5-225-04729-7.
- ↑ Фундаментальная и клиническая физиология / под ред. А. Камкина, А. Каменского. — М.: Academia, 2004. — 1072 с. — ISBN 5-7695-1675-5.
- ↑ Клиническая аритмология / Под ред. проф. А. В. Ардашева. — М.: МЕДПРАКТИКА-М, 2009. — 1220 с. — ISBN 978-5-98803-198-7.
- ↑ Бабский Е. Б. Физиология человека. — 2-е изд. — М.: Медицина, 1972. — С. 69.
- ↑ Судаков К. В. Нормальная физиология. — М.: Медицинское информационное агентство, 2006. — С. 329. — 920 с. — ISBN 5-89481-294-1.
- ↑ 1 2 3 Косицкий Г. И. Физиология человека. — 3-е изд. — М.: Медицина, 1985. — С. 256.
- ↑ К Юбилею Романа Марковича Баевского // Клиническая информатика и телемедицина. — 2013. — Т. 9, № 10. — С. 160—161.
