Колоноскопия
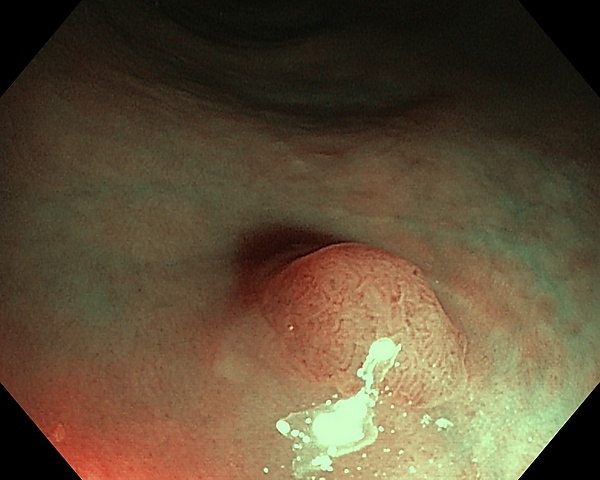
Колоноскопи́я, также фиброколоноскопия или ФКС — медицинский эндоскопический диагностический метод, во время которого врач осматривает и оценивает состояние внутренней поверхности толстой кишки при помощи эндоскопа. Колоноскопия даёт возможность визуально диагностировать такие заболевания, как образование язвы, полипы и др., а также провести биопсию и удалить эти поражения. Колоноскопия позволяет удалять полипы размером от долей миллиметра до 30-40 мм (в зависимости от их строения решение об удалении принимается во время первичного осмотра). Сразу после удаления полипа его можно исследовать в гистологической лаборатории и определить тип его строения. Это поможет спрогнозировать риски развития онкологических заболеваний у пациента в дальнейшем.
Удаление полипов при колоноскопии - важная процедура, позволяющая исключить вероятность развития злокачественного перерождения полипа.
Регулярное проведение колоноскопии с целью профилактики 1 раз в 5 лет лицам старше 40 лет (при отсутствии противопоказаний или специальных показаний) позволяет значительно снизить заболеваемость колоректальным раком (рак толстой кишки).
В современных условиях колоноскопия может проводиться в состоянии медикаментозного сна (при отсутствии противопоказаний и при наличии такой возможности у медицинской организации).
Колоноскопия во многом схожа с ректороманоскопией, но не является ею, разница заключается в обследуемых частях кишечника: колоноскопия позволяет обследовать весь толстый кишечник (120—152 см от общей длины), а ректороманоскопия — его дистальную часть (последние 60 см). Также существует ещё один метод диагностики заболеваний толстого кишечника, основанный на рентгене, — ирригоскопия.
Виртуальная колоноскопия — разновидность колоноскопии в 2D/3D/5D формате, реконструируемая из результатов компьютерной томограммы (КТ) или ядерно-магнитной резонансной томографии (ЯМРТ) и относящаяся к полностью неинвазивным диагностическим методикам. На данный момент существуют споры относительно диагностических возможностей виртуальной колоноскопии. К тому же, виртуальная колоноскопия не позволяет проводить терапевтические манипуляции, такие как биопсия и удаление полипов/опухолей, и выявлять повреждения размером до 5 мм.
Колоноскопия не рекомендуется для пациентов с активной стадией язвенного колита или болезни Крона, чтобы избежать перфорации толстой кишки.
Медицинское применение
Показания к применению колоноскопии:
- абсолютные — желудочно-кишечные кровотечения, полипы ЖКТ, рецидивирующая кишечная непроходимость, рецидивирующие абдоминальные боли неясной этиологии, подозрения на неспецифический язвенный колит, болезнь Крона; подозрение на новообразования, симптомокомплекс: снижение веса, субфебрилитет неясной этиологии, анемия;
- относительные — упорный запор.
Помимо диагностики опухолей кишечника, колоноскопия часто используется для диагностики воспалительных заболеваний у пожилых людей.
В России
Приказом МЗ и СР РФ от 2 июня 2010 года № 415н определено, что гастроэнтерологическое отделение или медицинская организация, имеющая в своей структуре кабинет врача-гастроэнтеролога, должны быть оснащены двумя колоноскопами с наборами для биопсии[1].
Примечания
Литература
- Буянов В. М., Романова В. А. Колоноскопия // Большая медицинская энциклопедия, 3-е изд. — М.: Советская энциклопедия. — Т. 11.
Ссылки
- Описание процедуры колоноскопии на сайте Государственного Научного Центра колопроктологии Росздрава.