Гистероскопия
Гистероскопи́я — метод малоинвазивного обследования полости матки при помощи гистероскопа, с последующим проведением (при необходимости) диагностических и оперативных манипуляций.
Что важно знать
| Гистероскопия | |
|---|---|
| Код WordLift | data.medicalrecords.com/… |
Описание
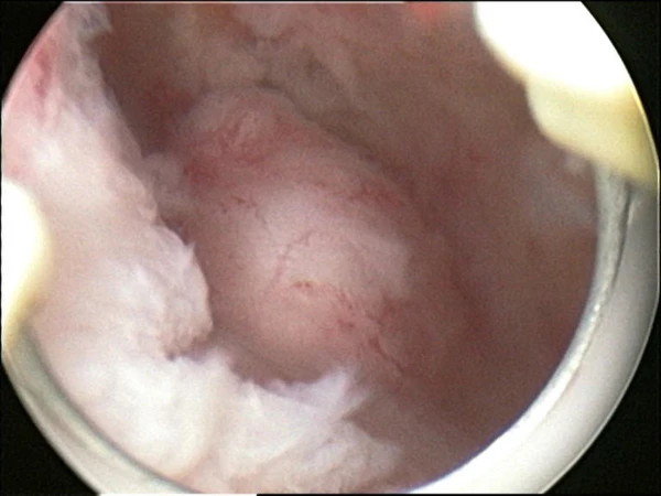
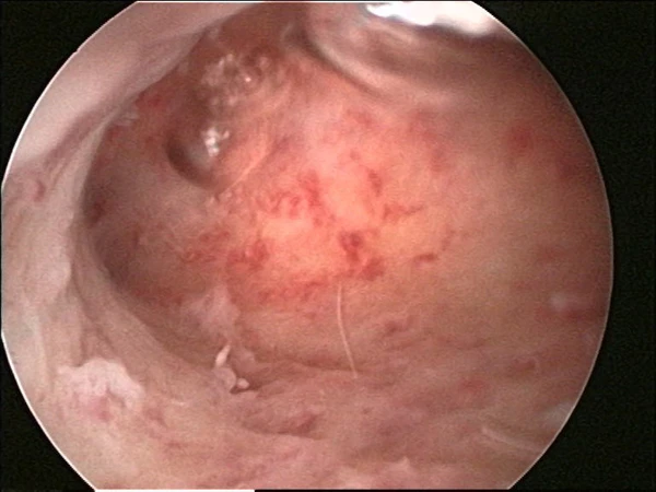
Гистероскопия позволяет выявлять и устранять внутриматочные патологии, удалять инородные тела, брать биопсию тканей, удалять полипы эндометрия. В процессе обследования доступны хирургические процедуры для устранения маточных причин бесплодия — эндометриальные полипы, субмукозные миоматозные узлы, гиперпластические очаги эндометрия, внутриматочные синехии и перегородки. Также возможна реканализация маточных труб и оценка их слизистой оболочки вплоть до фимбриального отдела.
Впервые гистероскопия была выполнена Панталеони в 1869 году женщине с маточным кровотечением[3]. С тех пор гистероскопия, претерпев целый ряд существенных изменений и модификаций, радикально улучшена доступна для диагностики и оперативного лечения значительной части маточного бесплодия. В общем, цель процедуры в оценке полости матки, эндометрия, миометрия, эндоцервикса.
Гистероскопия проводится во время ранней фолликулярной фазы, как правило 6—11 день менструального цикла, иногда 5—13 день м.ц.
Виды
- Диагностическая
- Хирургическая
- Контрольная[4]
Показания к проведению
Показаниями к проведению диагностической процедуры являются:
- Подозрение на внутренний эндометриоз тела матки, подслизистый узел миомы, синехии (сращения) в полости матки, остатки плодного яйца, рак шейки матки и эндометрия, патология эндометрия, перфорация стенок матки во время аборта или диагностического выскабливания
- Подозрение на пороки развития матки
- Нарушение менструального цикла у женщин детородного возраста
- Аномалии развития матки
- Кровотечения в постменопаузе
- Бесплодие
- Контрольное исследование полости матки после операции на матке, при невынашивании беременности, после гормонального лечения
Показаниями к проведению хирургической процедуры являются:
- Подслизистая миома матки
- Внутриматочная перегородка
- Внутриматочные синехии
- Полип эндометрия
- Гиперплазия эндометрия
- Удаление остатков внутриматочного контрацептива
Противопоказания к гистероскопии
Противопоказаниями являются:
- Недавно перенесённый или имеющийся к моменту исследования воспалительный процесс половых органов
- Прогрессирующая беременность
- Обильное маточное кровотечение
- Стеноз шейки матки
- Распространённый рак шейки матки
- Общие инфекционные заболевания в стадии обострения (грипп, пневмония, пиелонефрит, тромбофлебит)
- Тяжёлое состояние больной при заболевании сердечно-сосудистой системы, печени, почек


