Зубной имплантат
Зубной (дентальный) имплантат (англ. implant «имплант») — искусственно изготовленная, чаще всего многокомпонентная конструкция, используемая для внедрения в костную ткань челюсти с последующим сращением (остеоинтеграцией) с целью протезирования. Имплантаты замещают собой корни утраченных зубов, позволяя впоследствии провести восстановление зубного ряда.
Термин «имплантат» произошел от немецкого слова «implantat», который в свою очередь имеет латинские корни от слова «plantare» (сажать, лат.). В настоящее время правильно употреблять оба названия «имплантат» и «имплант».
Терминология
- имплантат — непосредственно вживляемая в кость часть конструкции
- временный имплантат — обычно служит опорой для временной протезной конструкции и подлежит удалению в момент постоянного протезирования
- формирователь десны (также: формирователь десневой манжеты, ФДМ; жарг. хилинг от англ. healing abutment досл. «опора для заживления; заживляющая опора»)
- абатмент (от англ. abutment досл. «опора») — прикрепляемая к имплантату часть конструкции, служит опорой для будущей коронки или протеза
- супраструктура — надстройка на имплантат, собирательное название для всех видов абатментов и формирователей десны
- имплантация All-on-4 («все на 4») — это зубопротезирование полного зубного ряда методом имплантации четырех искусственных корней (имплантатов) в костную ткань челюсти пациента с последующей установкой на них протеза.[1]
Типы имплантатов
- Внутрикостные (эндооссальные)
- Субпериостальные (подслизистые)
- Базальные
- Эндодонто-эндооссальные
Конструкция
По виду конструкции различают разборные и неразборные (однокомпонентные) имплантаты.
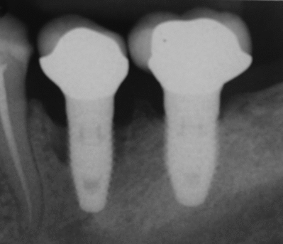
Разборный имплантат состоит из непосредственно имплантата и надстройки (супраструктуры), именуемой абатментом. Такой имплантат может быть установлен по одно- и двухэтапному протоколу. Двухэтапный протокол подразумевает полное погружение имплантата и накрывание его слизистой оболочкой, в результате чего исключается любой контакт имплантата с полостью рта — эта процедура называется первым этапом дентальной имплантации. Второй этап заключается в установке какой-либо надстройки (супраструктуры) — это может быть как формирователь десны, так и абатмент с временной коронкой или другим видом протезной конструкции. После какого промежутка времени будет выполнен второй этап обычно решает имплантолог, опираясь на данные о качестве костной ткани, возраст и общее состояние пациента, а также свой клинический опыт. Классические сроки составляют 4—6 месяцев, однако последнее время существует тенденция к сокращению сроков ожидания до 2,5—3 месяцев. Это связано с лучшим пониманием процесса остеоинтеграции, а также оптимизацией макродизайна и микрохарактеристик поверхности имплантатов.
В неразборном имплантате (употребляются также термины: одноэтапный имплантат, моноимплантат) внутрикостная часть имплантата и абатмент обычно изготовлены из единого куска материала. После установки имплантат своей наддесневой частью сразу оказываются в контакте с полостью рта. На усмотрение доктора устанавливается формирователь десны либо временная коронка. В случае установки временной протезной конструкции (коронки, моста или полного протеза) на имплантат не позднее трёх дней после имплантации говорят о немедленной нагрузке.
Форма имплантата
Внутрикостные имплантаты по форме разделяют на корневидные, пластиночные и комбинированные. Наибольшее распространение имеют корневидные имплантаты, которые могут быть цилиндрической или конической формы.
Корневидные имплантаты могут значительно отличаться по макродизайну резьбы: неагрессивная, агрессивная с глубокими полозьями, смешанные.
Материалы
В стоматологии с большим успехом используются имплантаты из титанового сплава. Обычно внутрикостная часть имплантата изготавливается из коммерчески чистого титана ВТ1-0 (класс 4), ввиду лучших механических свойств широкое распространение также получил ВТ6 Ti-6Al-4V (титан-алюминий-ванадиевый сплав, класс 5).
Производятся дентальные имплантаты также из диоксида циркония. Такие имплантаты имеют косметическое преимущество, так как отсутствует тёмное просвечивание сквозь слизистую оболочку, иногда проявляющееся при использовании имплантатов из титана и сплавов. Однако диоксид циркония остеоинтегрируется в меньшей степени, чем титан, а также является сложным в окончательной обработке в полости рта. Ввиду этого имплантаты из диоксида циркония не получили широкого применения в мире.
Ведутся исследования по поиску новых биосовместимых материалов. В частности, идут клинические испытания титаново-циркониевого сплава (коммерческое название «Roxolid»), разработанного специально для дентальной имплантации.
В качестве перспективного материала для зубных имплантатов рассматривается наноструктурированный титан[2]. Благодаря значительному уменьшению среднего размера кристаллических зёрен, его прочность становится сопоставимой с прочностью сплава ВТ6, что позволяет изготавливать имплантаты меньшего размера. При этом установлено, что нанотитан обеспечивает лучшую остеоинтеграцию по сравнению с крупнозернистым титаном.
Требования к имплантату
Следует понимать, что искомым результатом в стоматологии является восстановление функции и эстетики зубо-челюстной системы в целом. Зубной имплантат в этом контексте может быть лишь этапом общего процесса, являясь опорой для финальной реставрации. Имплантат должен быть как функциональным для пациента, так и удобным в работе для стоматолога на этапе установки. Этому способствуют: продуманный хирургический набор фрез и отвёрток; логичный последовательный протокол подготовки остеотомии (костного ложа). Наличие разных форм имплантата даёт возможность имплантологу выбрать оптимальный дизайн в зависимости от костных условий. Например, в пористой, губчатой кости больше подойдет имплантат конусной формы с «агрессивной» самонарезающей резьбой, а достигнуть адекватной стабилизации цилиндрическим имплантатом с мелким шагом резьбы будет трудной задачей. Если требования не удовлетворены, то система имплантатов так или иначе отвергается.
Имплантат должен:
- быть удобным на этапе установки.
- успешно интегрироваться, не вызывать угнетения остеоинтеграции, а возможно и потенцировать её. Этому способствует высокая степень очистки от механических частиц и уровень стерилизации.
- давать широкие возможности в протезировании
- обеспечить длительное сохранение потребительских свойств / не ломаться
Однако стоит учитывать, что успех процедуры зависит не только от материалов, но и от опыта врача, который устанавливает имплантаты, поскольку 80 % неудач происходят из-за низкой квалификации специалиста[3].
Показания к имплантации зубов
Показанием к имплантации является отсутствие зуба (адентия) по любой причине. [4] [5]
При утрате одного или нескольких зубов костная ткань в этом месте со временем истончается из-за отсутствия жевательной нагрузки, что ведёт к деформации челюстно-лицевой системы. Наличие имплантата обеспечивает адекватную нагрузку на кость челюсти подобно естественному корню зуба, поэтому истончения костной ткани не происходит. Каждый человек, который потерял один или несколько зубов в результате различных травм, болезней или разрушения зубов, имеют показания для имплантации зубов. Люди преклонного возраста также могут пройти процедуру имплантации, поскольку определяющим фактором её осуществления является скорее состояние здоровья, нежели возраст. Вопрос о том, возможно ли проведение дентальной имплантации, решается специалистом — стоматологом после тщательного медицинского обследования конкретного пациента и детального осмотра состояния его зубов.
Техника
При планировании зубных имплантатов основное внимание уделяется общему состоянию здоровья пациента, местному состоянию здоровья слизистых оболочек и челюстей, а также форме, размеру и положению костей челюстей, соседних и противолежащих зубов.
Было высказано предположение, что лучевая терапия может негативно повлиять на приживаемость имплантатов.[6] Тем не менее системное исследование, опубликованное в 2016 году, пришло к выводу, что дентальные имплантаты, установленные в облученной области полости рта, могут иметь высокую выживаемость при условии соблюдения пациентом мер гигиены полости рта и регулярного наблюдения для предотвращения осложнений.[7]
Преимущества имплантации
- хороший косметический эффект;
- восстановление важных физиологических функций;
- предотвращение негативных последствий отсутствия зубов.
Установка имплантата позволяет:
- восстановить утраченный зуб, не повреждая при этом здоровые соседние зубы;
- создать дополнительную опору и установить несъёмный протез;
- создать опору для улучшения фиксации съёмного протеза;
- сделать профилактику деменции (старческого слабоумия) и продлить жизнь. Жевательное давление через родные зубы или импланты препятствует процессам общесоматического старения организма.
Противопоказания к имплантации
- болезни крови;
- ишемическая болезнь сердца;
- гипертоническая болезнь;
- болезни центральной нервной системы;
- сахарный диабет;
- онкологические заболевания;
- тяжёлые формы заболеваний пародонта;
- врождённые или приобретённые деформации прикуса;
- возраст пациента до 16 лет;
- иммунопатологические состояния;
- системные заболевания соединительной ткани (ревматические, ревматоидные процессы, склеродермия и т. д.);
- туберкулёз.
Подобные противопоказания встречаются примерно у 10 % населения[3]. Не рекомендуется устанавливать имплантаты очень юным или, напротив, слишком пожилым пациентам, а также тем, кто курит или чрезмерно употребляет алкоголь.
Особое значение имеет уровень гигиены полости рта. Имплантация не может быть выполнена без санации полости рта (все зубы должны быть вылечены), поскольку любой очаг инфекции в организме может свести на нет работу имплантолога из-за высокой вероятности последующего отторжения вживлённого имплантата.
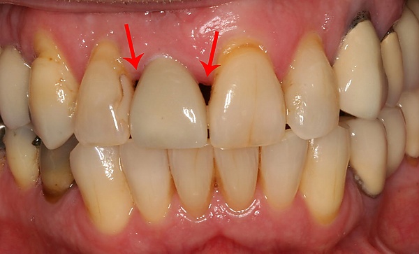
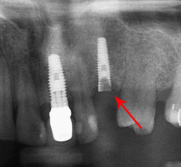
Установка зубных имплантатов может вести к периимплантиту, который возникает из-за бактериальной флоры, попадающей на внешнюю поверхность имплантатов через зубной налет. Лечение данного заболевания проводили корейские исследователи с использованием титановой щетки.
Влияние лекарственных препаратов на приживаемость зубных имплантатов
Прием антидепрессантов во время имплантации в четыре раза ухудшает её результаты, по данным исследования университета Буффало. Хотя для более точных выводов требуется бóльшая выборка пациентов, исследователи рекомендуют лечащим врачам по возможности не использовать антидепрессанты во время имплантации зубов.[8]
Бета-блокаторы способствуют интеграции зубных имплантатов в костную ткань и уменьшают их отторжение. Выводы основаны на канадском исследовании 1499 зубных имплантатов у 728 пациентов, в котором частота отторжения имплантатов у людей, принимавших бета-блокаторы по другим показаниям, составляла 0,6 %, а у не принимавших — 4,1 %.
Препараты для лечения изжоги способны ухудшать приживаемость зубных имплантатов. Данные основаны на канадском исследовании 1773 зубных имплантатов у 799 пациентов, в котором частота отторжения имплантатов у людей, принимавших препараты для лечения изжоги, составляла 6,8 %, а у не принимавших — 3,2 %. Исследователи связывают данное явление с тем, что препараты для лечения изжоги снижают всасываемость кальция в кишечнике.
Послеоперационное наблюдение
Срок службы имплантатов у разных пациентов неодинаков и варьирует от нескольких лет до десяти — двадцати пяти — в зависимости от состояния здоровья человека, в первую очередь, от наличия стоматологических или системных патологий. Следует своевременно посещать врача, соблюдая его рекомендации и не пренебрегая профилактическими мерами[3].
Каждому человеку, который решил пройти процедуру имплантации, очень важно знать, что после проведения операции необходимы обязательные плановые осмотры у стоматолога — через 1, 3 и 7 месяцев. Врач сможет проверить функциональность вживлённого имплантата, состояние гигиены полости рта, наличие признаков воспаления или отторжения имплантата.
В дальнейшем обязателен ежегодный осмотр специалистом, в процессе которого:
- с помощью рентгенографии изучаются качество и плотность костной ткани;
- проверяются окклюзия и артикуляция;
- при необходимости пациент получает консультацию по соблюдению правил гигиены;
- обязательно регистрируется износ коронок и пломб, закрывающих отверстия фиксирующих винтов;
- исследуется состояние зубов;
- выполняется профессиональная чистка зубов и имплантов от зубного камня. Гигиена является важнейшим фактором долгого срока службы зубных имплантов.
Под термином «имплантация зубов» в стоматологии понимают только вживление зубного имплантата. В дальнейшем на вживлённый имплантат с помощью цемента крепится коронка, которая может быть временной — пластмассовой, металлокерамической, керамической, золотой и т. д. Относительно кости она должна располагаться на том же уровне, на котором ранее располагалась коронка зуба, замещаемого имплантатом. В практике чаще всего применяются два вида фиксации коронок на имплантаты: цементная или винтовая.
Выбор типа коронки зависит от конкретной ситуации и финансовых возможностей пациента.
Примечания
Рекомендуемая литература
- Гурфинкель Л. Н., Гизатуллин Р. М. Тестирование дентальных имплантатов // Дентал Юг. — 2007. — № 7. — С. 50—52. (недоступная ссылка)
- Ибрагимов Т. И., Бычков А. И., Алешин Н. А., Тибилов В. Ф. Использование нового вида супраструктуры с микроамортизатором на дентальных имплантатах при протезировании больных с полным отсутствием зубов // Клиническая стоматология. — 2010. — № 1. — С. 58—60.
- Павлюченко Е. Ю., Днестранский В. И. Имплантация зубов — этапы, показания, противопоказания. // Стоматология — 2020 — № 3 — С. 34-36.
- Матвеева А. И., Фролов В. А., Гветадзе Р. Ш., Борисов А. Г., Кушхабиев 3.3. Влияние параметров имплантата на напряжённо-деформированное состояние костной ткани зоны имплантации // Стоматология. — 2010. — № 1. — С. 54—55.
- Робустова Т. Г. Имплантация зубов: хирургические аспекты. — М.: Медицина, 2003. — 557 с.
- Робустова Т. Г., Путь С. А. Применение временных внутрикостных зубных имплантатов // Российский стоматологический журнал. — 2005. — № 1. — С. 46—48.


