Синдром токсического переднего сегмента
Синдро́м токси́ческого пере́днего сегме́нта (toxic anterior segment syndrome, TASS) — редкое осложнение операций на переднем отрезке глаза. Развивается из-за попадания в переднюю камеру талька, консервантов, бактериальных эндотоксинов, ионов металлов и т. п. Синдром характеризуется токсическим воспалением и апоптозом тканей передней камеры глаза, помутнением роговицы и повышением внутриглазного давления. Развивается в течение 12-48 часов после операции по поводу катаракты, витрэктомии, кератопластики или интравитреальной инъекции с частотой 0,22 %. Для лечения используют глюкокортикоиды, циклоплегики, нестероидные противовоспалительные и антиглаукомные препараты; в случае неэффективности — промывание передней камеры, витрэктомию, удаление интраокулярной линзы или кератопластику. Прогноз в большинстве случаев благоприятный[1].
Историческая справка
Первым TASS описал Мельцер в 1980 году. Тогда синдром назвали стерильным эндофтальмитом, так как воспаление не было связано с инфекцией. Это название не отражало суть состояния, потому что воспаление при TASS затрагивает только передний отрезок глаза. В 1992 году М. К. Монсон и соавт. предложили термин «toxic anterior segment syndrome»[2].
Классификация
По сроку развития:
- острый — через несколько часов или дней после операции;
- отсроченный — через несколько дней или месяцев.
По степени тяжести:
- лёгкий — полное восстановление прозрачности роговицы за несколько дней или недель;
- средний — симптомы сохраняются несколько недель или месяцев;
- тяжёлый — требует задней послойной кератопластики[3].
Этиология
TASS развивается после попадания токсинов в переднюю камеру глаза во время хирургических вмешательств (имплантация интраокулярных линз, кератопластика, интравитреальные инъекции anti-VEGF). Источниками токсинов могут стать многоразовые и одноразовые медицинские инструменты, импланты и растворы, содержащие тальк, вещества, применявшиеся в производстве, стерилизации и упаковке. После промывания и стерилизации на стенках многоразовых инструментов могут оставаться денатурировавшие вискоэластики, окислённые ионы металлов, моющие средства. Ферменты моющих средств инактивируются при температуре выше 140 °C, а большинство стерилизаторов не достигают этой температуры. Остатки погибших бактерий становятся источником токсичных липополисахаридов. Газовая стерилизация металлических инструментов окисляет ионы меди и железа. При использовании водопроводной воды в парогенераторах на поверхности инструментов откладываются медь, цинк и никель. Попадая в передний отрезок глаза, ионы металлов оказывают токсическое действие. Стерилизация этиленоксидом может вызвать тяжёлый TASS. При внутрикамерном введении медицинских растворов TASS могут спровоцировать высокая концентрация действующего вещества, низкие или высокие значения pH или осмолярности, консерванты, красители и другие вспомогательные вещества[3].
Факторы риска: сахарный диабет, артериальная гипертензия, гиперлипидемия, ишемическая болезнь сердца, хроническая почечная недостаточность[2].
Патогенез
Токсины активируют тяжёлые воспалительные каскады в передней камере. Развивается токсическое повреждение внеклеточных пространств внутриглазных тканей, некроз и апоптоз клеток. Нарушается функция роговичного эндотелия, и роговица отекает. Воспалительные и некротизированные клетки оседают в нижней части передней камеры (гипопион), препятствуют оттоку внутриглазной жидкости, провоцируя офтальмогипертензию. Повреждение радужной оболочки стимулирует выработку фибрина и нарушает зрачковые реакции[3].
Эпидемиология
Диагностика
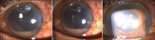
TASS обычно развивается в первые 24 часа после операции. Пациенты отмечают, что сразу после вмешательства зрение было лучше, а через несколько часов появилось затуманивание, светобоязнь и лёгкая боль в глазу. При осмотре роговица мутная, зрачок расширен, реакция на свет ослаблена[3].
- Проверка остроты зрения — острота зрения снижается до световосприятия.
- Биомикроскопия — тотальный отёк роговицы, складки десцеметовой оболочки, воспалительные клетки в передней камере или гипопион, преципитаты на эндотелии; на поверхности интраокулярной линзы и в передней камере видны нити фибрина.
- Офтальмотонометрия — внутриглазное давление повышено.
- Офтальмоскопия после расширения зрачка[3][5].
Если выздоровление затягивается или не удаётся установить причину TASS, то назначают дополнительные методы для исключения инфекционного эндофтальмита: ультразвуковое исследование глазного яблока и орбиты, аспирация передней камеры, пункция и биопсия стекловидного тела для микробиологического исследования[4].
Дифференциальная диагностика
- Увеит
- Эндофтальмит
- Остатки хрусталиковых масс[2]
Осложнения
- Буллёзная кератопатия
- Глаукома
- Макулярный отёк
- Синехии
- Атрофия радужной оболочки[5]
Лечение
Глазные капли с глюкокортикоидами, циклоплегиками, нестероидными противовоспалительными и антиглаукомными препаратами. В тяжёлых случаях, сопровождающихся гипопионом и образованием фибрина, глюкокортикоиды назначают для приёма внутрь или в виде парабульбарных, субконъюнктивальных, интравитреальных инъекций. Для лечения рефрактерных TASS выполняют внутрикамерные инъекции рекомбинантного тканевого плазминогена[2].
Промывание передней камеры, витрэктомию и удаление интраокулярной линзы выполняют, когда медикаментозное лечение неэффективно; кератопластику — при буллёзной кератопатии[2].
Прогноз
TASS может быть настолько лёгким, что не ощущается пациентами и разрешается за несколько дней, а зрение полностью восстанавливается. Если симптомы сохраняются в течение 6 недель, то скорее всего лечение будет неэффективно, зрение может снизиться вплоть до светоощущения и потребуется кератопластика[5][4].
Диспансерное наблюдение
Пациентов наблюдают ежедневно, чтобы оценивать реакцию на лечение. Когда воспаление стихает, устанавливают индивидуальную частоту осмотров, чтобы отслеживать повреждение роговицы и трабекулярной сети, контролировать внутриглазное давление[4].
Профилактика
Необходимо контролировать предстерилизационную подготовку и стерилизацию инструментов; регулярно менять жидкости в ультразвуковых и паровых стерилизаторах; использовать растворы и красители с правильным pH, осмолярностью и ионным составом, без консервантов; использовать подходящие концентрации антибиотиков, адреналина и анестетиков для внутрикамерного введения; избегать прикосновения перчаток к хирургическим инструментам и имплантам[2].


