Операция по Нассу
Операция по Нассу (Дональд Насс (англ. Dr. Donald Nuss), американский детский хирург) — малоинвазивная операция, разработанная в 1987 году[1] доктором Дональдом Нассом, применяется для коррекции воронкообразной деформации грудной клетки (лат. Pectus excavatum).
Что важно знать
| Операция по Нассу |
|---|
Дональд Насс
Уроженец Южной Африки, ставший впоследствии американским детским хирургом, профессором медицинской школы Восточной Вирджинии. В 1987 разработал малоинвазивную технологию, позволяющую корректировать воронкообразную деформацию грудной клетки в Детской Клинике Дочерей Короля (англ. Children’s Hospital of The King’s Daughters), Норфолк, штат Вирджиния, США. В 1998 году Дональд Насс представил результаты уже 10-летней практики коррекции ВДГК с применением малоинвазивной технологии (получившей впоследствии его имя).[2]
Описание метода
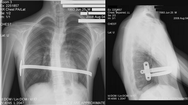
В ходе операции производится два небольших боковых разреза с обеих сторон грудной клетки. Через отверстие вводят интродьюсер, который проводят сначала в подкожное пространство, под мышцы, внутрь грудной клетки и за грудину, далее проводится перед перикардом в сторону противоположному разрезу кожи. Процесс можно контролировать с помощью торакоскопа. К интродьюсеру фиксируют тесьму и производят извлечение интродьюсера. По ленте вдоль сформированного канала проводится специальная титановая или стальная пластина (обычно её вводят с правой половины грудной клетки). Когда пластина введена и корректно размещена, её поворачивают. Заключительный этап операции — фиксация и стабилизация пластины — это делается нескольким способами — подшиванием к рёбрам и мышцам, установлением специальных фиксаторов (по Парку) или с использованием стабилизаторов (классически по Нассу или по Пилегарду).
В послеоперационном периоде обезболивание осуществляется посредством эпидуральной анестезии (в среднем от 3 до 5 суток), наркотических анальгетиков (до 3 суток после операции), ненаркотические анальгетики используются в течение 7 суток.
Возможные осложнения
Описаны ранние и поздние осложнения. Среди ранних: гемоторакс, пневмоторакс, гидроторакс, смещение пластины. К поздним относят: гиперкоррекцию и отторжение пластины.
Примечания
Ссылки
- Александр Юрьевич Разумовский, заведующий отделением торакальной хирургии и хирургической гастроэнтерологии ДКБ № 13 им. Н. Ф. Филатова — Хирургия грудной стенки у детей Архивная копия от 1 сентября 2013 на Wayback Machine;
- Павлов А. А. Хирургическая коррекция воронкообразной деформации грудной клетки методом Насса Архивная копия от 5 марта 2016 на Wayback Machine;


