Эктопия шейки матки
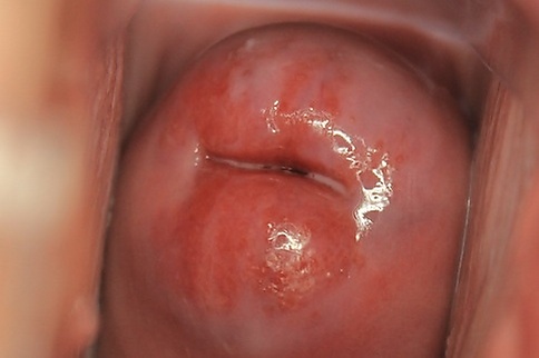
Эктопи́я ше́йки ма́тки (также эктопи́я эпите́лия ше́йки ма́тки, псевдоэро́зия ше́йки ма́тки, эро́зия ше́йки ма́тки, эндоцервико́з) — расположение цилиндрического эпителия, выстилающего канал шейки матки, на влагалищной её поверхности, что внешне выглядит как красное пятно вокруг наружного отверстия канала. Несмотря на то, что термин эктопия давно заменил устаревший термин эрозия, последний продолжает ещё использоваться врачами, вызывая негативную реакцию пациенток.
Эктопия встречается примерно у половины женщин репродуктивного возраста и не встречается у женщин после 40 лет. С течением времени эктопированный цилиндрический эпителий снова замещается многослойным плоским. Это происходит за счёт ростковых (резервных) клеток. Такой процесс носит название плоскоклеточной метаплазии, а вся область преобразования — зоной трансформации. Как правило, именно в ней возникает более 90 % случаев рака шейки матки[1].
Несмотря на расхожее мнение о существовании и пагубности этого заболевания, современная позиция доказательной медицины гласит, что эктопия шейки матки является вариантом нормы. Практически все случаи, регистрируемые врачами советской школы как эрозия шейки матки, не являются заболеванием по международную классификацию болезней, но являются нормальным физиологическим состоянием шейки матки женщины[2].
Причины возникновения
При внутриутробном развитии половых органов цилиндрический эпителий сначала покрывает всю внутреннюю поверхность зачатков влагалища и матки, а затем плоский эпителий замещает цилиндрический во влагалище и частично на влагалищной части шейки матки. В связи с чувствительностью цилиндрического эпителия к воздействию гормонов, в течение жизни женщины граница цилиндрического эпителия периодически смещается наружу, приводя к образованию эктопии, после чего вновь происходит нарастание плоского эпителия. Наличие эктопии наиболее характерно для периода новорожденности, полового созревания, у юных женщин, при беременности и использовании гормональной контрацепции. Эктопия может образовываться при инфекциях, механическом или химическом раздражении шейки матки.
Последствия
В результате перекрытия нарастающим в процессе заживления эрозии многослойным плоским эпителием протоков наботовых желёз цилиндрического эпителия могут образовываться пузырьки, наполненные слизистым секретов этих желёз. Такие пузырьки получили название «наботовы кисты». Наботова киста является разновидностью ретенционных кист, не содержит инфекцию, не создаёт воспаление и не влияет на работу шейки матки. Через некоторое время после закупорки выводного протока наботова железа прекращает свою работу и наботова киста прекращает увеличиваться в размерах. Наботова киста, как и породившая её эктопия шейки матки, является вариантом физиологической нормы и не требует лечения (удаления)[2].
Симптомы
В подавляющем большинстве случаев эктопия не имеет симптомов. При сопутствующем воспалении (цервиците) отмечаются выделения из влагалища. В редких случаях эктопия сопровождается кровянистыми выделениями после полового акта (контактными кровотечениями). Боли при половом акте.
Методы исследования
Для точной диагностики используют кольпоскопию, мазок на флору, анализы на половые инфекции.
Лечение
Бессимптомная эктопия не требует лечения. В ряде случаев показаны оперативные методы лечения: электрохирургический, криохирургический, лазеро- и радиохирургический, термокоагуляция, а также химическая и фармакологическая коагуляция[3]
По данным ряда исследований, в результате применения электрохирургических методов — диатермокоагуляции, диатермоконизации — эпителизация отмечается у 75—92 % больных[4].
При этом известны разнообразные осложнения диатермокоагуляции. Они возникают, по разным данным, в 6,2—40 % случаев. Наиболее частые осложнения: обострение воспалительных процессов, кровотечения из-под струпа, нарушение менструального цикла, стенозирование цервикального канала с образованием синехий в 40 % случаев[5].
Криохирургическое лечение эктопии шейки матки основывается на том, что под влиянием низкотемпературного охлаждения происходит комплекс биохимических, биофизических, физико-химических реакций, которые вызывают структурные и функциональные изменения в тканях.[6].
При криодеструкции эктопии шейки матки достичь терапевтического эффекта удаётся в 82—97 %. Криохирургический метод характеризуют бескровность, безболезненность, возможность использования без анестезии в амбулаторных условиях[5][6].
Отрицательные стороны криовоздействия: риск недостаточного промораживания тканей, как в глубину, так и на поверхности. В результате не уничтожаются все патологически изменённые клетки. Также характерны длительные выделения экссудата и более долгие сроки регенерации. Перспективное направление в лечении эктопии — применение углекислотного лазера (СО2-лазера). В процессе действия СО2-лазера происходит нагрев ткани в зоне воздействия за счёт поглощения лазерного излучения. Это приводит к испарению внутри- и внеклеточной жидкости, нагреванию безводных клеточных структур до их коагуляции и испарения[7]
СО2-лазер чаще используют для лечения эктопии шейки матки у молодых нерожавших женщин, поскольку это не приводит к нарушению репродуктивной и менструальной функции. Эффективность лечения составляет 98 %, а при сочетании с лечением гелий-неоновым лазером она может достигать 100 %.[8]
Противопоказания для лазерной деструкции: злокачественные заболевания, острые воспалительные заболевания гениталий, распространение патологического процесса до 33 % длины цервикального канала. Относительное противопоказание — геморрагические диатезы (болезнь Виллебранда, Верльгофа).
Лазерные раны заживают в 2—3 раза быстрее, чем при диатермокоагуляции.
Осложнения при лазерном лечении бывают редко, однако иногда могут наблюдаться повышенная кровоточивость, а также вторичное инфицирование раны[7]
Также для лечения эктопии шейки матки применяются радиохирургические методы[9]. Радиохирургическое воздействие основывается на биологических эффектах сверхвысокочастотного электромагнитного поля, которое оказывает гемостатическое, противовоспалительное, регенераторное, деструктивное, фиксирующее действие. Однако метод малодоступен и дорогостоящ.
Термокоагуляция эктопий шейки матки также даёт хорошие результаты[10] Согласно исследованиям, после проведения термокоагуляции полная эпителизация шейки матки происходила через 4 недели у 92,7 % пациенток. Осложнений не было[11]
Хирургические методы лечения: реконструктивно-пластические операции (шредера, эммета, штурмдорфа).
Химическая коагуляция эктопии шейки матки: физиотерапевтическая (электрофорез с цинком по методу Г. А. Келлата), фармакологическая. Химическую коагуляцию проводят с применением препаратов «Ваготил» (Польша) и «Солковагин» (Швейцария). Фармакологическая коагуляция проводится с использованием препарата «Вульностимулин» (Германия). «Вульностимулин» может применяться как самостоятельно, так и в комбинации с другими методами деструкции.
Из немедикаментозных и нетрадиционных методов лечения наиболее часто применяются аппаратная физиотерапия и акупунктура.
См. также
Примечания
Литература
- Эрозия шейки матки // Большая медицинская энциклопедия / гл. ред. Б. В. Петровский. — 3-е изд.. — М.: Советская энциклопедия, 1986. — Т. 28. — 544 с.
- Лубнин, Д. Добрая книга для будущей мамы : Позитивное руководство для тех, кто хочет ребёнка / Научн. ред.: Н. Никольская (врач высш. кат.). — М. : Эксмо, 2016. — 512 с. — (Гинеколог-практик Дмитрий Лубнин). — ББК 57.16. — УДК 618.2(G). — ISBN 978-5-699-91941-3.
- Nguyen, K.-H. D. Benign Cervical Lesions : [англ.] : [арх. 6 октября 2022] // Medscape. — 2018.