Окрашивание по Романовскому
Окрашивание по Романовскому (также окраски типа Романовского) — группа методов полихромной окраски микропрепаратов, основанных на взаимодействии кислого красителя (эозина) с продуктами окисления метиленового синего (азурами), при котором формируется характерная фиолетово-пурпурная окраска хроматина и некоторых цитоплазматических структур, известная как эффект Романовского[1].
К окраскам типа Романовского относятся методы Романовского—Гимзы, Романовского—Райта, Романовского—Лейшмана, Май—Грюнвальда и другие модификации, различающиеся составом красителей, растворителями и протоколами выполнения[2].
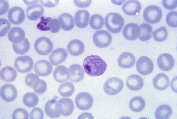
Методы данного типа широко применяются в гематологии, цитологии и паразитологии при исследовании мазков периферической крови, костного мозга и для выявления возбудителей малярии рода Plasmodium[3].
Что важно знать
| Окрашивание по Романовскому |
|---|
История
Предпосылки создания окраски типа Романовского связаны с развитием методов дифференциального окрашивания крови во второй половине XIX века. Пауль Эрлих применял комбинации кислых и основных анилиновых красителей для исследования мазков крови, однако используемые им растворы не давали характерной фиолетовой окраски ядерных структур[4].
В 1888 году Чеслав Чензинский использовал сочетание метиленового синего и эозина для окрашивания малярийного плазмодия, однако применявшийся им метиленовый синий не был полихромированным, вследствие чего характерный «эффект Романовского» не наблюдался[5].
В 1890 году Дмитрий Леонидович Романовский опубликовал предварительные результаты применения смеси эозина с выдержанным раствором метиленового синего для окрашивания мазков крови больных малярией. В 1891 году в докторской диссертации он описал использование раствора метиленового синего, подвергшегося естественному изменению при хранении, что приводило к появлению новых оттенков окраски[1].
Получаемая при этом фиолетово-пурпурная окраска хроматина и некоторых цитоплазматических гранул получила впоследствии название эффекта Романовского. Установлено, что данный эффект связан с образованием комплекса между эозином и продуктами окисления метиленового синего (прежде всего азуром B)[2].
Практически одновременно с Романовским Эрнст Малаховский применил щелочную полихромацию метиленового синего для окрашивания малярийных плазмодиев. В литературе отмечается, что Малаховский продемонстрировал метод в 1890 году и опубликовал его описание в 1891 году[5]. Вопрос о научном приоритете обсуждается в историографических работах и остаётся предметом анализа[1].
В конце XIX — начале XX века были предложены различные модификации окраски, направленные на повышение стабильности красителей и воспроизводимости результатов. Среди них — методы Дженнера (1899), Лейшмана (1901), Райта (1902) и Гимзы (1902–1904), в которых использовались спиртовые растворы и контролируемая полихромация метиленового синего[2].
Именно эти модификации получили широкое практическое распространение и сформировали группу методов, известных как окраски типа Романовского.
Механизм окрашивания и модификации
Эффект Романовского — формирование характерной фиолетово-пурпурной окраски хроматина и некоторых цитоплазматических гранул при взаимодействии кислого красителя (эозина) с продуктами окисления метиленового синего (азур B). Этот эффект обеспечивает чёткую дифференциацию базофильных и эозинофильных структур клеток[1].
Полихромный метиленовый синий — смесь метиленового синего и его окисленных производных (азуров A, B, C, тионин и др.) — является основным компонентом всех окрашиваний типа Романовского. Эозин, как кислый краситель, отвечает за розово-оранжевую окраску эритроцитов и цитоплазматических гранул эозинофильных лейкоцитов, тогда как базофильные структуры (ядра, рибосомы и др.) окрашиваются продуктами окисления метиленового синего[2].
С течением времени были разработаны различные модификации, направленные на воспроизводимость и стабильность красителей. К основным относятся:
- **Окрашивание по Гимзе** — включает «азур II» (смесь азура B и метиленового синего), эозин Y, метанол и глицерин. Широко используется для диагностики малярии и цитогенетических исследований[3].
- **Окрашивание по Райту** — методика с полихромным метиленовым синим и эозином, применяемая для окраски мазков крови и костного мозга. Часто используется в США, самостоятельно или в сочетании с Гимзой (окраска по Райту–Гимзе)[6].
- **Окрашивание по Дженнеру, Лейшману, Май–Грюнвальду, Паппенгейму и др.** — модификации, различающиеся составом красителей и растворителей, используемые в цитологии и паразитологии для повышения стабильности и контрастности окраски.
Все эти методики объединяет принцип взаимодействия эозина и продуктов окисления метиленового синего, благодаря которому достигается эффект Романовского.
Клиническое значение
Методы окраски типа Романовского применяются для морфологического исследования клеток крови, костного мозга и цитологических препаратов. Дифференциация клеточных структур обеспечивается эффектом Романовского, который позволяет визуально различать базофильные и эозинофильные компоненты клеток[2].
Окраски типа Романовского широко применяются для анализа мазков периферической крови и аспиратов костного мозга. Они позволяют оценивать морфологию эритроцитов, лейкоцитов и тромбоцитов, выявлять аномалии клеточного состава и диагностировать заболевания крови, включая анемии, лейкозы и миелодиспластические синдромы[7].
Метод окрашивания по Гимзе и его аналоги используются для выявления паразитов крови, таких как Plasmodium spp. (возбудители малярии). Микроскопическое исследование с использованием окраски типа Романовского остаётся эталонным диагностическим методом во многих регионах, несмотря на развитие молекулярных и иммунологических тестов[8].
В цитологической практике методы Романовского применяются для окрашивания пунктатов тонкоигольной аспирации, ликвора и других образцов. Они позволяют выявлять морфологические признаки опухолевых клеток и оценивать клеточный состав биоптатов[2].


