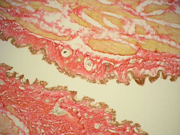
Окраска по Ван Гизону
Окраска по Ван-Гизону — метод окраски микропрепаратов в гистологии, предназначенный для изучения структуры соединительной ткани. Красителем служит смесь кислого фуксина и пикриновой кислоты, причем первый компонент окрашивает коллагеновые волокна в ярко-красный цвет, а второй придает прочим структурам ткани жёлтую окраску. Окраска разработана американским психоневрологом и патологом Айрой Ван-Гизоном в 1889 году.
Приготовление красящего состава
Смешать 100 мл насыщенного водного раствора пикриновой кислоты и 5 мл 1%-го раствора кислого фуксина.
Краситель ослабевает при длительном хранении, в таком случае добавляют несколько капель свежего кислого фуксина.
Алгоритм
- Удаление парафина из срезов в ксилоле и проведение среза через спирты нисходящей крепости до 80% этанола (возможный вариант обработки: ортоксилол – 2 порции по 3–5 минут, 96% этанол – 3 мин, 90% этанол – 3 мин, 80% этанол – 3 мин).
- Окраска железным гематоксилином Вейгерта в течение 3–15 минут.
- Промывание в проточной воде в течение нескольких минут.
- Промывание дистиллированной водой.
- Окраска пикрофуксином по Ван-Гизону в течение 5 минут.
- Быстрая промывка в дистиллированной воде (5–15 с).
- Быстрая промывка в двух порциях 96% этанола, одной порции абсолютного этанола (или карбол-ксилола), просветлить в двух порциях ортоксилола. Время пребывания срезов в каждой порции – 1–2 мин.
- Закрепление препарата нейтральным бальзамом.
Результаты
В результате окраски ядра клеток приобретают чёрный цвет, коллаген – красный, другие тканевые элементы (включая мышечные волокна и эритроциты) – жёлтые, фибрин – жёлтый или оранжевый.
Литература
- Jocelyn H. Bruce-Gregorios, M.D.: Histopathologic Techniques, JMC Press Inc., Quezon City, Philippines, 1974. ISBN 971-11-0853-4
- Пикрофуксин по Ван-Гизону. Архивировано из оригинала 15 июля 2013 года.


