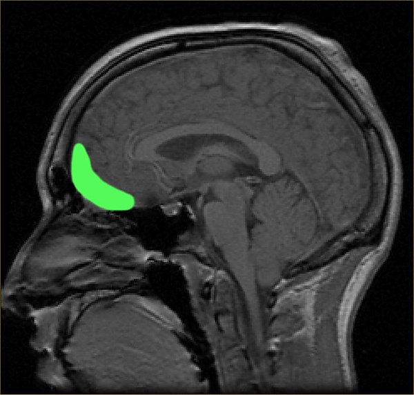
Орбитофронтальная кора
Орбитофронтальная кора (ОФК) — участок префронтальной коры в лобных долях головного мозга, принимающий участие в принятии решений. У человекообразных обезьян ОФК представлена совокупностью полей Бродмана под номерами 11, 12 и 13; у людей эта кора представлена полями 10, 11 и 47[1].
Орбитофронтальная кора анатомически синонимична вентромедиальной префронтальной коре. ОФК выделяется отдельно, поскольку содержит определенные нейронные связи, а также выполняет строго определенные функции. Принято считать, что ОФК является частью префронтальной коры, которая получает сигналы от магноклеточных нейронов, медиальных ядер таламуса, и принимает участие в представлении эмоций и поощрений во время принятия решений[2]. Название ОФК получила из-за своего расположения в области лобных долей, находящейся выше глазниц (орбит).
Функции ОФК у человека
Орбитофронтальная кора человека является одной из наименее исследованных структур мозга, однако существуют предположения о том, что ОФК участвует в механизмах подкрепления, принятия решений и ожиданий. В частности, ОФК, вероятно, играет важную роль в оповещении об ожидаемых наградах/наказаниях в определенных ситуациях. Исходя из этого, мозг способен сравнивать ожидаемые награды/наказания с действительными. Таким образом, орбитофронтальная кора является ключевой структурой, ответственной за адаптивное обучение. Все вышеописанное подкреплено исследованиями на людях, человекообразных обезьянах, а также грызунах. Собственно, исследование на людях сосредоточилось на нейровизуализации здоровых людей и нейропсихологических данных пациентов, имеющих некоторые нарушения в структуре ОФК. Исследование Лейпцигского университета говорит о том, что ОФК человека активируется во время интуитивных согласованных суждений[3].
Нарушения нейронных связей ОФК и их последствия
Нарушение каких-либо нейронных связей в структуре орбитофронтальной коры может привести к определенным когнитивным, поведенческим и эмоциональным расстройствам. Исследования сообщают, что основные расстройства связаны с нарушением регуляции связей ОФК, принимающих участие в процессе принятия решений, регулирования эмоций и ожидания поощрения. Комплексная нейровизуализация человека показала, что нарушение структурных и функциональных связей ОФК с субкортикальными лимбическими структурами (например, миндалевидным телом или гиппокампом) коррелирует с состоянием тревожности у взрослых пациентов[4].
Ещё одной проблемой, связанной с ОФК, является зависимость от психоактивных и наркотических веществ, наблюдающаяся при нарушении стриато-таламо-орбитофронтального взаимодействия. Синдром дефицита внимания и гиперактивности также может быть сопряжен с дисфункцией ОФК и систем поощрения, затрагивающих, например, способность к мотивации.
Некоторые деменции могут быть также ассоциированы с нарушением связей в структурах ОФК. Изменения поведения при фронтотемпоральной деменции связано с атрофией серого и белого веществ, включенных во взаимодействие с орбитофронтальной корой. Болезнь Альцгеймера, в конце концов, может быть вызвана уже упомянутыми изменениями в нейронных взаимодействиях в ОФК[5].
Зависимость и её связь с орбитофронтальной корой
Есть основания полагать, что ОФК, наряду с прилежащим ядром (nucles accumbens) и миндалевидным телом, задействована в формировании аддикций (зависимостей). Исходя из исследований по нейровизуализации, стриато-таламо-орбитофронтальная сеть принимает участие в формировании зависимостей; пациенты, страдающие зависимостью от наркотических препаратов, особенно склонны к их приему в случае, если они имеют нарушения в стриато-таламо-орбитофронтальной сети.
При воздержании от кокаина, наблюдается усиленный метаболизм в ОФК, что сравнимо с ощущением пристрастия. Для сравнения, длительный отказ от приема кокаина (до 3-4 месяцев) приводит к активности ОФК, сравнимой с таковой у здоровых пациентов. Точно так же, у лиц, страдающих алкоголизмом, наблюдается тот же паттерн активности ОФК при длительном воздержании, что и у здоровых пациентов[6].
Анатомия ОФК
Орбитофронтальная кора анатомически связана с прилежащим ядром (nucles accumbens) — структурой, играющей роль в механизме, формирующем зависимость от наркотических веществ. ОФК получает информацию от прилежащего ядра. Лимбические структуры, такие как миндалевидное тело, гиппокамп и цингулярная извилина передают информацию в ОФК через посредственные и непосредственные пути. Получается, что ОФК является не только мишенью для формирования пристрастия к наркотикам, но также служит для согласования информации от лимбической системы, формируя ответ лимбических структур на прием наркотических препаратов[6].
Исследования на пациентах
Тестирование состоит из двух компонентов. Первый компонент — «обратное обучение» — представляет из себя эксперимент с двумя карточками, предлагаемыми испытуемым, на которых представлены картинки A и B. Перед началом теста испытуемых знакомят с одним простым правилом: нажатие на кнопку при появлении картинки A сопровождается наградой, в то время как нажатие на кнопку в случае с картинкой B приводит к негативному эффекту. С тех пор, как это легкое правило усвоено, оно меняется на противоположное без осведомления испытуемых. Большинство здоровых пациентов принимает эту особенность во внимание и нажимает кнопки согласно вновь установленному правилу, однако, что интересно, подобного переобучения не наблюдается у пациентов, имеющих нарушения в орбитофронтальной коре; они продолжают нажимать кнопки, ответственные за негативное действие. Любопытная деталь состоит в том, что пациенты, страдающие недугом, отзываются о том, что уяснили правило[7].
Второй компонент тестирования называется «исчезновение» (extinction). Испытуемых знакомят с вышеописанным правилом, однако теперь оно меняется радикально: пациенты будут испытывать негативный эффект (наказание) при нажатии на обе кнопки. Верным окажется вариант не нажимать на них, но пациентам, имеющим нарушения в ОФК, тяжело противостоять нажатию на кнопку, несмотря на испытываемый дискомфорт.
Последствия повреждений ОФК
Перенесенные травмы ОФК как правило способствуют проявлению распущенного поведения. Примерами подобного поведения являются обильное сквернословие, гиперсексуальность, нарушения социальных взаимодействий, склонность к употреблению наркотических веществ (в том числе к употреблению алкоголя и табака), снижение способности к эмпатии.



