Болезнь Форбса
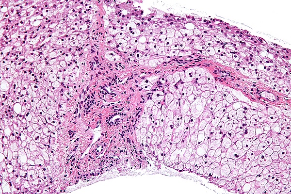
Болезнь Форбса (гликогеноз III типа) — гликогеноз, вызванный недостаточностью фермента амило-1,6-глюкозидазы.
Этот фермент катализирует расщепление связей [ …C — O - C… ] в молекуле гликогена в точках ветвления.
Болезнь сопровождается отложением атипичного гликогена в печени, сердце, мышцах.
Что важно знать


