Сесамовидные кости
| Сесамовидные кости | |
|---|---|
| лат. ossa sesamoideа | |
| Сагиттальный разрез правого коленного сустава | |
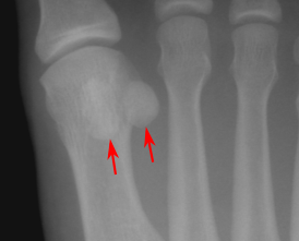
| Сесамовидные кости в области дистального отдела первой плюсневой кости | |
| Каталоги | |
Сесамовидные кости (от лат. Sesamum) — кости, расположенные в толще сухожилий и обычно лежащие на поверхности других костей. Сесамовидные кости отмечаются в областях, где сухожилия перекидываются через суставы (например, в области запястья, коленного сустава, стопы). Сесамовидные кости обеспечивают защиту сухожилий и удерживают сухожилия в некотором отдалении от центра сустава, увеличивая плечо силы.
Сесамовидные кости тесно связаны с капсулой сустава и сухожилиями мышц. Одна из поверхностей у них покрыта гиалиновым хрящом и обращена в полость сустава.
В анатомии человека
Сесамовидные кости могут располагаться в области любых суставов, включая:
- коленный сустав — надколенник (в толще сухожилия четырёхглавой мышцы)
- кисть — две сесамовидные кости располагаются в дистальном отделе первой пястной кости. Обычно имеется также сесамовидная кость в дистальных отделах второй пястной кости. Гороховидная кость запястья также фактически является сесамовидной, располагаясь в сухожилии локтевого сгибателя запястья[1].
- стопа — две сесамовидные кости в области соединения первой плюсневой кости с первым пальцем (внутри сухожилия короткого сгибателя большого пальца стопы)[2].
Небольшая сесамовидная кость фабелла встроена в сухожилие боковой головки икроножной мышцы.
Заболевания сесамовидных костей
Распространённое заболевание стопы у танцоров — сесамоидит. Встречаются также раздвоенные сесамовидные кости, которые могут иметь как врождённый, так и посттравматический характер.
Недостаточность кровоснабжения сустава, в котором находится сесамовидная кость, также может привести к некрозу тканей.
Помимо того возможен артроз сустава, чаще всего наблюдаемый у людей с высоким продольным подъемом свода стопы. Последствием данного заболевания является полное разрушение хряща суставного и хряща сесамовидной кости.
Примечания
- ↑ White, 2000, p. 199−205.
- ↑ White, 2000, p. 157−261.
Литература
- White, Tim D. Human Osteology : [англ.]. — 2nd ed. — San Diego : Academic Press, 2000.
- Gray, H. Anatomy of The Human Body : [англ.]. — 20th ed. — Philadelphia : Lea & Febiger ; New York, 1918.
Это статья-заготовка по анатомии. Помогите РУВИКИ, дополнив эту статью, как и любую другую. |
Для улучшения этой статьи желательно:
|