Костная мозоль
Ко́стная мозо́ль (лат. callus) — структура, образующаяся в ходе регенерации костной ткани после нарушения целостности кости при нормальном течении процесса заживления перелома; она представляет собой соединительную ткань, образующуюся в месте перелома.
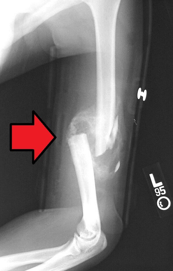
Вначале образуется соединительнотканная провизорная мозоль, к концу первой недели образуется остеоидная ткань, которая превращается либо непосредственно в костную, либо сначала в хрящевую, а затем в костную. Мозоль возникает из костеобразующих клеток надкостницы и эндоста. Образование костной мозоли играет важную роль в процессе срастания поврежденной кости. Костная мозоль, представляющая на рентгенограмме слегка затемненную область, в конце концов кальцифицируется и моделируется.
Костная мозоль перестраивается в нормальную кость примерно за один год.
Ссылки
- мозоль костная // Большой медицинский словарь. — 2000.
- Стадии регенерации костной ткани, виды костной мозоли, ориентировочные сроки в которые происходит сращение кости.


