Промиелоцит
Промиелоцит (или програнулоцит) — это миелоидная клетка, предшественник гранулоцитов в процессе гранулопоэза, развивающаяся из миелобласта в миелоцит.
Что важно знать
| Промиелоцит | |
|---|---|
| История дифференцировки клетки | Зигота → Бластомер → Эмбриобласт → Эпибласт → ... → Миелобласт |
| Возможности для дальнейшей дифференцировки | гранулоциты |
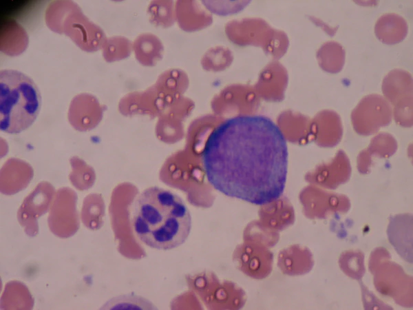
Морфологические характеристики
Промиелоцит несколько крупнее, чем миелобласт, и имеет размеры 10-20 мкм. Его ядро похоже на ядро миелобласта, но в нём наблюдается некоторая конденсация хроматина, а ядрышко менее выражено. Цитоплазма промиелоцита содержит выраженные азурофильные гранулы, так называемые «первичные гранулы». Эти гранулы содержат ферменты миелопероксидазу, кислую фосфатазу и эстеразу. В норме промиелоцитов не должно быть в периферической крови.
Заболевания
Избыточное размножение промиелоцитов в результате сбоя в процессе их созревания и дифференцировки, вызванного нарушением функционирования гена RARalpha и нарушением активации нужных для созревания генов, приводит к развитию острого промиелоцитарного лейкоза (разновидности острого миелоидного лейкоза, по классификации FAB отнесённого к типу M3).
Изображения
Типы промиелоцитов


