Пихтовое масло
Пихтовое масло — эфирное масло, которое извлекают паровой перегонкой из хвои и молодых веток деревьев сибирской пихты (Abies sibirica Ledeb.), белой пихты (Abies alba) и бальзамической пихты (Abies balsamea L.), произрастающих в ряде стран Европы, Азии и Северной Америки.
Свойства
Пихтовое масло — бесцветная или слабо окрашенная жидкость с хвойным бальзамическим запахом. Растворимо в этаноле (1:5÷9 — в 90%-м), бензилбензоате, диэтилфталате, растительных и минеральных маслах; малорастворимо в глицерине и пропиленгликоле; нерастворимо в воде. В сильнокислой и щелочной среде неустойчиво.
| ЛД50 | |||
|---|---|---|---|
| 0,872 ÷ 0,878 | 1,4752 ÷ 1,4798 | -31 ÷ +47 | > 5 г/кг крысы (перорально), кролики (накожно) |
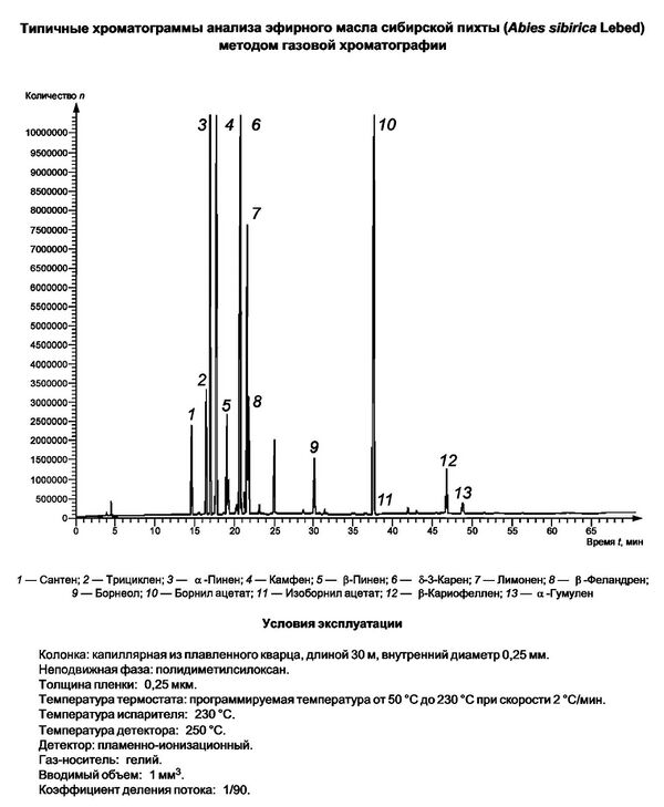
Химический состав
В состав масла входят — мирцен, цис- и транс-β-оцимены, лимонен, дипентен, α- и γ-терпинены, терпинолен, α- и β-пинены, камфен, сантен, α-туйен, α-фенхен, 3-карен, γ-бисаболен, сабинен, n-цимол, борнеол, цинеол и другие компоненты. В масле европейской пихты также содержатся деканаль и додеканаль.
Получение
Применение
Применяют как компонент отдушек для косметических изделий, мыла и товаров бытовой химии.
Наиболее ценная часть пихтового масла — борнилацетат (уксуснокислый эфир борнеола), его содержание у различных видов пихт колеблется от 8 до 47%. Борнилацетат — это твердое кристаллическое вещество, растворяющееся в других частях эфирного масла. При низкой температуре он иногда может выпадать на дно сосуда в виде белых кристаллов. Из всех составных частей эфирного масла борнилацетат имеет наибольший удельный вес, и от его количества зависит удельный вес масла.
Проводят испытания эфирного масла методом газовой хроматографии. Определяют в полученной хроматограмме полученные репрезентативные и характерные компоненты, представленные в таблице 1. Соотношение этих компонентов, определённое интегратором, должно быть таким как показано в таблице 1. Они представляют собой хроматографический профиль эфирного масла.
Литература
- Хейфиц Л. А., Дашунин В. М. Душистые вещества и другие продукты для парфюмерии. — М.: Химия, 1994. — 256 с. — 2000 экз. — ISBN 5-7245-0967-9.


