Искусственный сфинктер мочевого пузыря
Искусственный сфинктер мочевого пузыря (ИСМП) — это имплантируемое устройство используемое для лечения стрессового недержания мочи от средней до тяжелой степени тяжести, чаще всего у мужчин. ИСМП разработан, чтобы усилить функцию естественного мочевого сфинктера, который ограничивает отток мочи из мочевого пузыря.
Что важно знать
| Искусственный сфинктер мочевого пузыря | |
|---|---|
| МКБ-10-СКП | 0THC.0LZ |
| MeSH | D016741 |
Описание
Существуют 2 типа искусственных сфинктеров:
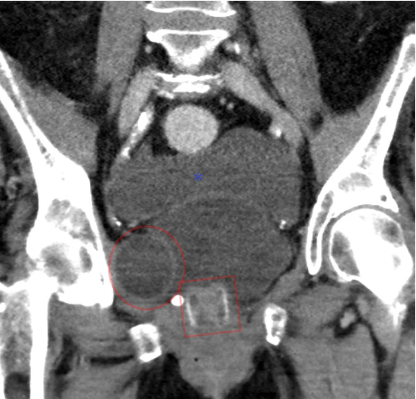
- Искусственный сфинктер с баллонным резервуаром или 3-компонентным устройством: манжета, помпа и баллон. Манжета располагается вокруг мочеиспускательного канала, помпа помещается в мошонку, а баллонный резервуар имплантируется в ретропубическое пространство — между мочевым пузырем и подвздошной веной. Давление в гидравлической цепи создается эластичным баллонным резервуаром и давлением из ретропубического пространства.[1]
- Искусственный мочевой сфинктер с пружиной или 2-компонентное устройство: манжета и помпа.[3][4] Манжета располагается вокруг мочеиспускательного канала, а помпа имплантируется в мошонку. Давление в гидравлическом контуре создается пружиной помпы. Давление в ретропубикальном пространстве не оказывает никакого влияния на сфинктер данного типа.
Общим среди доступных в настоящее время конструкций является механический механизм сжатия — надувная манжета, заполненная стерильным физиологическим раствором и помещенная вокруг уретры, которая удерживает просвет закрытым, благодаря давлению, создаваемому внутри устройства, и довольно легкодоступный извне управляющий помповый механизм, располагающийся между двумя слоями кожи мошонки. Эти 2 компонента позволяют пользователю вручную ослабить давление в системе, чтобы произвести мочеиспускание.
История
Фредерик Фолей был первым, кто описал искусственный сфинктер мочевого пузыря для лечения недержания мочи с наружным расположением, опубликовано в 1947 году.[5] В 1972 году Ф. Брантли Скотт и его коллеги из Медицинского колледжа Бейлора разработали первый предшественник современного искусственного мочевого сфинктера.[6][7] Первой моделью ИСМП, появившейся на рынке, является AMS 800 (Boston Scientific, Массачусетс, США), которая была разработана 50 лет назад.[8][9] Это трехкомпонентное устройство с манжетой, располагающейся вокруг мочеиспускательного канала, помпой, вставляемой в мошонку, имплантируемым в таз резервуаром для создания давления, который поставляется в виде набора для подготовки и наполнения перед имплантацией.[10]
Другой моделью ИСМП является ZSI 375 (Zephyr Surgical Implants, Женева, Швейцария), представлена в 2008 году.[11] Это цельное двухкомпонентное устройство с манжетой и помпой со встроенной пружиной. Оно поставляется как единое целое, предварительно соединенным и заполненным.[1][12] В ZSI 375 нет брюшного компонента, что наряду с его полной готовностью к имплантации сокращает операционное время.[13] Кроме того, отсутствие абдоминального разреза позволяет избежать постоперационного рубцевания а забрюшинном пространстве.[14][15] Еще одним преимуществом модели ZSI 375 является возможность увеличивать или уменьшать давление внутри устройства после имплантации для достижения желаемой степени сдерживания и удовлетворенности пациента. В частности, эти корректировки помогают контролировать сдерживание мочи в случае постимплантационной уретральной атрофии или задержки мочи (плохой отток мочи).[16][17][13] Регулировка давления может быть выполнена в амбулаторных условиях путем добавления или удаления дополнительного стерильного физиологического раствора при помощи шприца через мошонку.[12] К 2019 году во всем мире было имплантировано более 4,500 искусственных сфинктеров мочевого пузыря ZSI 375.[11]
Во внутренней системе обеих моделей для создания давления и сжатия уретры используется стерильный физраствор (для предотвращения протекания мочи). Манжета сдувается вручную при помощи нажатия на контрольную помпу расположенную в мошонке, что позволяет пациенту опорожнить мочевой пузырь. После опорожнения, манжета наполняется автоматически чтобы вновь предотвратить протекание мочи.[18]
Данный список содержит модели искусственных сфинктеров мочевого пузыря представленных на рынке в 2020 году:
| Продукт | Компания | Страна | Представлен на рынке с | Дизайн | Предварительно соединенный и заполненный | Подача давления | Регулируемое давление |
|---|---|---|---|---|---|---|---|
| AMS 800 | Boston Scientific (ранее American Medical Systems) | Соединённые Штаты Америки | 1988 | 3-компонентное устройство: манжета, помпа, баллонный резервуар | Нет | Гибкий резервуар имплантируемый в тазoвое дно | Нет |
| ZSI 375 | Zephyr Surgical Implants | Швейцария | 2008 | 2-компонентное устройство: манжета, помповый механизм | Да | Пружина из нержавеющей стали встроенный в помповом механизме имплантирующийся в мошонке | Да |
Медицинское применение
Врожденная недостаточность сфинктера, приводящая к стрессовому недержанию, является наиболее распространенным показанием для имплантации ИСМП.[9] Европейская ассоциация урологов рекомендует имплантацию ИСМП мужчинам со стрессовым недержанием мочи средней — тяжелой степени.[19] Кроме того, несмотря на современные варианты лечения (стропы, уретральные инъекции, стволовые клетки), ИСМП считается золотым стандартом хирургического лечения как стрессового недержания мочи у мужчин, так и недержания мочи, являющегося результатом осложнения хирургических вмешательств, таких как простатэктомия, цистэктомия и трансуретральная резекция простаты.[8][4][3]
В литературе опубликовано несколько сообщений о случаях имплантации ИСМП у детей при вторичном недержании мочи, возникшем после травматического повреждения уретры.[20][21]
Данные об использовании ИСМП у женщин ограничены, и не каждый продукт, доступный на рынке, предназначен для женщин.[22][23] Европейская ассоциация урологов дает слабые рекомендации по применению ИСМП у женщин, утверждая, что, хотя лечение возможно, риск осложнений высок.[19] Тем не менее, AUS используется в качестве последнего варианта для лечения недержания мочи у женщин с врожденными проблемами и при вторичном недержании мочи, связанным с неврологическими болезнями.[22]
Результаты
Многочисленные исследования опубликованы относительно результатов у пациентов с имплантированным сфинктером мочевого пузыря. Уровень успешности в литературе варьирует от 61% до 100%, и определялся, как достижение полного (без использования прокладки) или приемлемого сдерживания мочи (использование ≤1 прокладки/день) с имплантированным устройством.[4] Улучшение качества жизни также считалось успехом, даже если требовалось более 1 прокладки в день. Данные успешные результаты сообщались у 78% пациентов с последующим 3-летним наблюдением и у более 72% с 5–7-летним наблюдением.[24][25] Согласно недавнему систематическому обзору, показатель успешности составил 79% с периодом наблюдения от 5 месяцев до 16 лет.[26] Сравнительное исследование среди пациентов, которым имплантировали различные модели искусственного мочевого сфинктера и достигали приемлемого воздержания, не выявило различий между двумя группами в отношении уродинамических тестов, таких как скорость потока, давление в уретре и т.д.[2]
В различных исследованиях со средним периодом наблюдения более 6 лет по меньшей мере 73% мужчин с имплантированным искусственным мочевым сфинктером были удовлетворены или очень удовлетворены устройством,[27][28] а 10-23% сообщили о неудовлетворенности. В более короткие периоды наблюдения (2-4 года) уровень удовлетворенности достигал более 90%. В другом исследовании со средним периодом наблюдения более 7 лет общий уровень удовлетворенности составил 3.9 по шкале от 0 до 5.[27] Уровень удовлетворенности, по-видимому, не снижается у пациентов после лучевой терапии.[29] Сообщается, что первоначальное удовлетворение уровнем воздержания улучшается путем регулировки давления внутри имплантата с помощью модели ZSI 375.[23]
Опросы пациентов, прошедших процедуру, показали, что более 90% рекомендовали бы процедуру другу или родственнику с той же проблемой, а более 90% снова провели бы имплантацию.[30][31] Наряду с этим 14% пациентов сообщили об улучшении сексуальной активности.[31]
Было показано, что качество жизни после имплантации ИСМП значительно улучшилось в многочисленных исследованиях с использованием различных инструментов измерения.[26][7] И, как представляется, повторные вмешательства не влияют на качество жизни при условии, что устройство продолжает функционировать после ревизии.
В самой масштабной доступной серии исследований, в которой оценивались 1082 пациента, с выполненной первичной имплантацией ИСМП, 5-летняя выживаемость устройства составила 74%, что согласуется с опубликованными результатами в литературе, согласно которым она варьирует от 59% до 79%.[32] Примечательно, что во всех сериях со временем некоторым пациентам требовалась повторная операция по поводу рецидивирующего недержания мочи или инфекции устройства. В объединенном анализе доступных исследований частота повторных вмешательств (по любой причине) составила примерно 26%.[26] Некоторые исследования показали, что хирурги, которые выполняют эту процедуру чаще, имеют лучшие результаты по сравнению с теми, кто делает их реже.[23] Фактически, в этой серии частота реопераций снижалась примерно на 50%, после того как хирурги достигали своего 200-го случая. Это подчеркивает факт необходимости обращаться за процедурой к хирургам с высоким потоком, для увеличения шансов на успех.[23]
Осложнения
Возможные риски, связанные с имплантацией AUS, включают:[1]
- повреждение мочеиспускательного канала или мочевого пузыря во время установки ИСМП,
- трудности с опорожнением мочевого пузыря, требующие временной самокатетеризации,
- постоянное стрессовое недержание мочи,
- инфекция устройства, ведущая к удалению,
- рецидивирующее недержание мочи или поломка устройства,
- атрофия тканей мочеиспускательного канала (в этих случаях может быть выполнена вторичная операция по удалению старого устройства и установке нового).
Общий зарегистрированный уровень осложнений у мужчин составляет 37%.[33] Наиболее частыми послеоперационными осложнениями являются:
- механическая недостаточность (8-21%)
- эрозия мочеиспускательного канала (4-15%)
- инфекция (1-14%) и атрофия уретры (4-10%)
Другими менее частыми осложнениями являются гематома, стеноз уретры, свищ.[34] К ревизии могут привести механические сбои устройства (8-45%) и немеханические осложнения (7-17%). Сообщается, что общие показатели удаления устройства у мужчин составляют 16-20%.[35]
Одной из причин механической неисправности являются осложнения, связанные с баллонным резервуаром. Сообщалось, что 26% мужчин с имплантированным ИСМП нуждались в повторной операции в период десятилетнего наблюдения, для регулирования давления внутри устройства.
Последующее наблюдение
Для того чтобы рана зажила должным образом, следует избегать половых контактов в течение 6-ти недель после проведения процедуры.[36] Также следует ограничить физические нагрузки, которые оказывают прямое давление на рану. Например. таких, как верховая езда и езда на велосипеде, в течение как минимум 6-ти недель. Пациентам может быть назначена специальная мошоночная поддержка, которую следует носить в течение 1 недели после процедуры.[37]
Для тех, кому поставили ИСМП, важно, чтобы они информировали медицинских работников о его наличие до установки мочевого катетера, цистоскопии или любого другого медицинского вмешательства на мочевыводящих путях, чтобы минимизировать риск повреждения ИСМП или мочеиспускательного канала.[38] Пациентам, особенно тем, кто сообщает о выраженной сухости ночью, может быть рекомендовано отключение устройства на ночь, чтобы минимизировать риск атрофии мочеиспускательного канала.[39][36]


