Болезнь Келлера I
Болезнь Келлера I — это хроническое дистрофическое заболевание ладьевидной кости стопы, приводящее к её асептическому некрозу.
Впервые заболевание было описано в 1908 году Келлером[3].
Эпидемиология
Остеохондропатии относят к болезням детского и юношеского возраста, взрослые болеют редко. В основном страдают мальчики в возрасте от 3 до 10 лет, иногда старше. Наблюдается как одностороннее, так и двустороннее (чаще всего) поражение ладьевидной кости[4].
Этиопатогенез
Этиопатогенез заболевания до конца не выяснен. В литературе описывается несколько факторов, под действием которых развивается остеохондропатия ладьевидной кости. Этими факторами являются:
- наследственность;
- нарушение обмена;
- инфекционные процессы;
- травмы[3].
Стоит отметить, что причины возникновения заболевания у детей и взрослых различны.
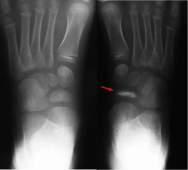
Причина асептического некроза у детей объясняется нарушением процесса окостенения ладьевидной кости. Что подтверждается на рентгенограммах: отмечается сплющивание, фрагментизация ядра окостенения, увеличение межкостного пространства, отделяющего ладьевидную кость от таранной и клиновидной.
Ведущим фактором в развитии асептического некроза у взрослых, является травма стопы, реже другие причины (последствия перегрузок стопы у спортсменов, лиц физического труда и др.). В этом случае асептический некроз поражает не ядра окостенения, а уже сформированную кость[4].
Классификация
Выделяют 5 стадий развития болезни Келлера I:
- Асептический некроз.
- Импрессионный перелом и фрагментация.
- Лизис некротизированной костной ткани.
- Репарации (остеосклероз).
- Воспаление[3].
Клиническая картина
Клиника заболевания всегда одинакова, несмотря на причины его возникновения. Клиника заболевания всегда одинакова, несмотря на причины его возникновения. Больной предъявляет жалобы на боль по медиальной поверхности стопы, учитывая прогрессирование болевого синдрома, пациенты стараются разгрузить внутренний отдел стопы и передвигаются с опорой на ее наружной стороне.
При внешнем осмотре отмечается отечность в области среднего отдела стопы, а при глубокой пальпации предъявляют жалобы на болевой синдром в проекции ладьевидной кости. Пациенты жалуются на хромоту, ограничение движений в суставах стопы. Пациенты жалуются на хромоту, ограничение движений в суставах стопы[5].
Диагностика
Диагностика основана на оценке клинических данных, полученных врачом во время обследования стопы пациента, характерных жалобах и данных опроса больного.
Основу диагностики составляют инструментальные методы исследования, рентгенография обеих стоп в прямой и боковой проекциях стоя в опоре дополненная МСКТ и МРТ исследованием пораженной стопы[5].
Лечение
Лечение у взрослых и детей кардинально отличается.
У детей на первый план выходит разгрузка стопы и соблюдение покоя. Предлагается ношение ортопедической обуви, по показаниям наложение гипсового «сапожка». Так же используют физиопроцедуры, тепловые процедуры, массаж. Восстановление ладьевидной кости, как правило, занимает около 1,5-2 лет.
У взрослых лечение только хирургическое. Выполняют артродез в таранно-ладьевидном суставе[4].
Примечание
- ↑ Disease Ontology (англ.) — 2016.
- ↑ Monarch Disease Ontology release 2018-06-29sonu — 2018-06-29 — 2018.
- ↑ 1 2 3 под ред. Г. П. Котельникова, СП. Миронова. Травматология. Национальное руководство. — ГЭОТАР-Медиа, 2008. — ISBN 978-5-9704-0571-0.
- ↑ 1 2 3 Черкес-Заде Д.И., Каменев Ю.Ф. ХИРУРГИЯ СТОПЫ. — "МЕДИЦИНА", 2002. — С. 290-295. — 328 с. — ISBN 5-225-04158-2.
- ↑ 1 2 Болезнь Келлера I | «ННИИТО им. Я.Л.Цивьяна» Минздрава России (рус.). niito.ru. Дата обращения: 21 марта 2025.


