Болезнь Диггве – Мельхиора – Клаузена
Боле́знь Ди́ггве — Мельхио́ра — Клаузена (БДМК) — редкое наследственное заболевание, обусловленное мутациями гена DYM и проявляющееся низким ростом, деформациями конечностей и нарушением интеллектуального развития. Болезнь начинает проявляться в младенческом возрасте, а её лечение носит симптоматический характер. Прогноз зависит от степени выраженности пороков развития, тяжести клинических проявлений, наличия осложнений и своевременности постановки диагноза[1].
Что важно знать
История
БДМК впервые была описана в 1962 году датскими исследователями Х. В. Диггве, Дж. К. Мельхиором и Дж. Клаузеном. Они наблюдали это заболевание у детей, рождённых от близкородственного брака в Гренландии. У пациентов отмечались умственная отсталость, деформации пальцев и генерализованная платиспондилия — снижение высоты и деформация позвонков. Ген DYM, мутации которого приводят к развитию этой болезни, был идентифицирован и локализован только в 2003 году[1].
Этиология
Заболевание вызвано мутациями гена DYM (локализация — 18q21.1). Большинство выявленных мутаций в этом гене приводят к потере функции его продукта. Ген DYM экспрессируется в большинстве тканей организма и кодирует белок димеклин, который взаимодействует с мембранами аппарата Гольджи. Этот белок играет важную роль в поддержании гомеостаза и регуляции мембранного транспорта. БДМК наследуется по аутосомно-рецессивному типу[1][2].
Патогенез
Димеклин — это цитозольный белок, способный перемещаться к аппарату Гольджи, где он играет ключевую роль в процессах везикулярного транспорта, включая образование везикул, их перемещение, сортировку и слияние мембран. Этот белок критически важен для эндохондрального формирования костей на ранних этапах развития, регулируя процессы обработки, секреции и усвоения факторов роста, компонентов внеклеточного матрикса, а также протеаз, участвующих в его ремоделировании. Нарушение функций димеклина приводит к расстройствам остеогенеза на различных уровнях. Кроме того, поскольку димеклин вносит существенный вклад в раннее развитие мозга, его дисфункция связана с возникновением интеллектуальных нарушений у пациентов. Мутации гена DYM приводят к прогрессирующей спондилоэпиметафизарной дисплазии и нарушению интеллектуального развития[1][3].
Эпидемиология
БДМК относится к категории исключительно редких генетических заболеваний. Точные данные о распространённости заболевания отсутствуют, однако согласно имеющимся медицинским публикациям, в мире зафиксировано не более 100 подтверждённых случаев этой болезни[1].
Диагностика
БДМК представляет собой редкое генетическое заболевание с прогрессирующим течением, проявляющееся комплексом скелетных аномалий и неврологических нарушений. При рождении дети могут иметь несколько сниженные показатели длины тела, но в остальном выглядят здоровыми. Первые клинические признаки обычно появляются в возрасте до 18 месяцев и включают деформации грудной клетки, трудности с кормлением и задержку психомоторного развития. По мере роста ребёнка формируется характерный фенотип: диспропорциональная низкорослость с относительно длинными конечностями по сравнению с туловищем, долихоцефалия, микроцефалия, грубые черты лица и прогнатизм[4].
Скелетные аномалии включают короткую шею и грудную клетку, килевидную деформацию грудной клетки, расширение рёберных дуг, кифоз, лордоз, сколиоз, когтеобразные кисти, контрактуры суставов (особенно локтевых и тазобедренных), вальгусную деформацию коленей и косолапость. Кости кистей и стоп укорочены, запястные кости часто недоразвиты или деформированы[4].
Неврологические нарушения включают интеллектуальную недостаточность от умеренной до тяжёлой степени, которая прогрессирует с возрастом, а также возможные проявления гиперактивности, растройства аутистического спектра и задержку речевого развития[4].
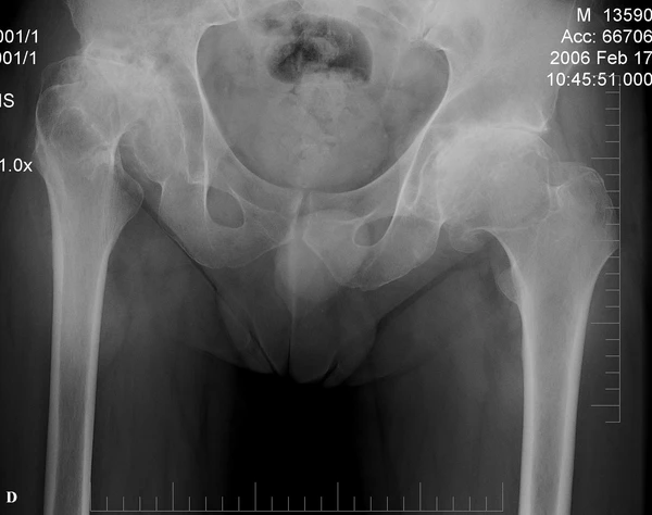
Рентгенография скелета демонстрирует характерные изменения: микроцефалия и платиспондилия — уплощение тел позвонков с характерным центральным вдавлением замыкательных пластинок, создающим эффект «двойного горба». Рёбра при этом заболевании выглядят расширенными. Таз уменьшен в размерах, с узкими костными структурами, при этом подвздошные гребни имеют характерный «кружевной» рисунок за счёт мелких склеротических изменений. Вертлужные впадины деформированы с неровными контурами, лонное сочленение расширено. Головки бедренных костей часто повёрнуты медиально[5].
Компьютерная томография головного мозга: возможны центральные и кортикальные атрофические изменения[5].
Биохимический анализ мочи: возможно повышение концентрации гликозаминогликанов[5].
Молекулярно-генетический анализ: характерно выявление мутации в гене DYM методом секвенирования[1].
Дифференциальная диагностика
Дифференциальная диагностика БДМК проводится со следующими состояниями[4]:
- синдром Моркио (мукополисахаридоз IV типа);
- псевдоахондроплазия — редкое аутосомно-доминантное заболевание, вызванное мутациями гена COMP, кодирующего олигомерный матриксный белок хряща. Характеризуется укорочением конечностей, умеренной низкорослостью, брахидактилией (короткими пальцами), вальгусной или варусной деформацией коленей, а также аномалиями позвоночника (лордозом, кифозом). В некоторых случаях наблюдается девиация запястий и ограничение подвижности в локтевых и тазобедренных суставах;
- врождённая спондилоэпифизарная дисплазия — редкое генетическое заболевание, вызванное мутацией гена COL2A1, отвечающего за синтез коллагена II типа. Проявляется внутриутробной задержкой роста, низкорослостью с укорочением шеи и туловища, кифосколиозом, поясничным лордозом и килевидной деформацией грудной клетки. Характерны близорукость, риск отслойки сетчатки и мышечная гипотония, приводящая к задержке моторного развития и «утиной» походке. Интеллект обычно сохранён. Наследуется по аутосомно-доминантному типу;
- поздняя спондилоэпифизарная дисплазия;
- метатропная дисплазия I типа — редкое генетическое заболевание, обусловленное мутацией гена TRPV4. Характеризуется выраженной низкорослостью с укорочением конечностей, узкой грудной клеткой, короткими рёбрами и кифосколиозом, что приводит к характерному укорочению туловища. Наследуется по аутосомно-доминантному типу.
Осложнения
Осложнения, связанные с скелетными аномалиями, включают компрессию спинного мозга (особенно в шейном отделе из-за нестабильности атлантоаксиального сочленения), подвывихи и вывихи тазобедренных суставов, ограничение подвижности суставов и характерную «утиную» походку[4].
Лечение
Лечение БДМК носит исключительно симптоматический и поддерживающий характер. Основные направления терапии включают ортопедическую коррекцию при поражениях скелета. Проводится коррекция вывихов крупных суставов. Обязательным компонентом является нейрореабилитация, включающая физиотерапию и лечебную физкультуру[1][4].
Прогноз
Прогноз при БДМК зависит от тяжести пороков развития и своевременности диагностики. Прогрессирующее течение приводит к ортопедическим осложнениям и значительному ухудшению качества жизни[1].
Примечания
Литература
- Dupuis N., Fafouri A., Bayot A., Kumar M., Lecharpentier T., Ball G., Edwards D., Bernard V., Dournaud P., Drunat S. [и др.] Dymeclin deficiency causes postnatal microcephaly, hypomyelination and reticulum-to-Golgi trafficking defects in mice and humans (англ.) // Human Molecular Genetics : журнал. — 2015. — 15 May (vol. 24, no. 10). — P. 2771—2783. — doi:10.1093/hmg/ddv038.


