Bradyrhizobium
Bradyrhizobium (лат.) — род грамотрицательных почвенных бактерий, часть видов которого способна к фиксации азота.
Общие сведения
| Bradyrhizobium | |
|---|---|
| Научная классификация | |
|
Домен: Тип: Класс: Порядок: Семейство: Род: Bradyrhizobium |
|
| Международное научное название | |
| Bradyrhizobium Jordan 1982 | |
| Синонимы | |
|
|
| Виды[2] | |
|
Характеристика
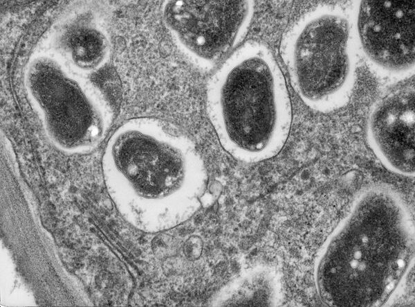
Виды рода Bradyrhizobium — грамотрицательные бациллы с единственным полярным или субполярным жгутиком. Это обычные почвенные организмы, способные вступать в симбиотические отношения с бобовыми. Как и прочие клубеньковые бактерии, они способны фиксировать атмосферный азот в доступной для других организмов форме. В отличие от видов Rhizobium, которые считаются быстрорастущими клубеньковыми бактериями, это медленнорастущие организмы. В жидкой среде или отваре видам Bradyrhizobium требуется от 3 до 5 дней, чтобы вызвать значительное помутнение среды, и 6—8 часов, чтобы удвоить свою популяцию. Лучше всего они растут на среде с пентозами в качестве источника углерода[3]. Некоторые штаммы (например, USDA 6 и CPP) способны аэробно окислять монооксид углерода[4]. В микроаэробных условиях корня растений, при которых содержание кислорода крайне низкое, некоторые виды, как например B. japonicum, переходят к нитратному дыханию, при котором терминальным акцептором электронов служит NO3−, восстанавливаемый до NO2−[5][6].
Для типового представителя рода, Bradyrhizobium japonicum, и фотосинтезирующего штамма Bradyrhizobium BTAi1 показана возможность фиксации CO2 в цикле Кальвина. Фотосинтезирующие Bradyrhizobium способны вступать в симбиоз с полуводными растениями из рода Aeschynomene.
Любопытно, что у таких бактерий нет стандартных nodABC генов, а значит, они образуют симбиоз по совершенно новому, неизвестному механизму без использования Nod-факторы. Согласно последним данным, для этого процесса необходимы белки CbbL, относимые к группе Рубиско. Приспособление к водной среде привело у таких бактерий к появлению необычной способности образовывать клубеньки не только на корнях, но и на стеблях Aeschynomene[7].
Ещё один необычный представитель этой группы — Bradyrhizobium sp. ORS278, тропическая фотосинтезирующая бактерия, способная к фиксации атмосферного азота, симбионт бобовых и эндофит риса. Полагают, что фотосинтезирующие представители Bradyrhizobium могут или же представлять собой новые виды этого рода. Филогенетически эти организмы занимают промежуточное положение между пурпурной бактерией Rhodopseudomonas palustris и типовым представителем рода B. japonicum и обладают рядом отличительных черт, таких как образование клубеньков на стеблях Aeschynomene, способность к фотосинтезу, необычный механизм формирования симбиоза, включающий субъединицы Рубиско, способность колонизировать корневую систему диких видов риса (например, Oryza breviligulata), способность некоторых штаммов, в частности ORS278, синтезировать кантаксантин, используемый в агропищевой, фармацевтической и косметологической промышленности в качестве красителя и обладающего фотозащитными свойствами[8].
Видовое разнообразие
Этот род бактерий способен как к специфическому, так и к неспецифическому симбиозу[3]. Некоторые виды Bradyrhizobium образуют клубеньки только с одним определённым видом растений, в то время как другие способны вступать в симбиоз сразу с несколькими видами. Традиционно Bradyrhizobium считается трудной группой для филогенетического анализа. Эта группа бактерий обладает крайне консервативной рибосомной РНК, что делает почти невозможными её использование в качестве видового маркёра. Вместо этого используется ДНК-ДНК гибридизация, которая показала значительно большее видовое разнообразие. Однако между видами существует крайне мало фенотипических различий, что делает крайне сложным идентификацию и описание новых видов[9].
Значение для науки
Особое значение род Bradyrhizobium имеет для молекулярной биологии, так как его представители были обнаружены в качестве загрязнителя комплектов экстракции ДНК и систем ультраочистки воды, что может привести к его ошибочному появлению среди микробиоты метагеномных баз данных[10]. Наличие азотфиксирующих бактерий в качестве загрязнителей можно объяснить использованием газообразного азота в системах ультраочистки воды и ёмкостях для её хранения. Азот используется как заменитель воздуха, он предотвращает растворения в воде углекислого газа и кислорода[11].
Применение
Bradyrhizobium фиксируют больше азота, чем может использовать растение. Его избыток остаётся в почве и становится доступен для других растений. Уплотнённые посевы с бобовыми позволяют снизить потребность растений в азотных удобрениях. Существуют коммерческие инокуляты Bradyrhizobium, которые в виде торфа или жидкости можно вносить в почву при посеве семян.
Представители
- Bradyrhizobium betae выделенный из корневых опухолей сахарной свёклы; имеют неясный симбиотический статус[9].
- Bradyrhizobium elkanii, Bradyrhizobium diazoefficiens и Bradyrhizobium liaoningense состоят в симбиотических отношениях с соей[9].
- Bradyrhizobium japonicum образует клубеньки с соей, коровьим горохом, машем и Macroptilium atropurpureum[9].
- Bradyrhizobium yuanmingense образует клубеньки с Lespedeza[9].
- Bradyrhizobium canariense образует клубеньки с представителями Genistoid, эндемиками Канарских островов. Также обнаружена в люпине и сераделле из западной Австралии и южной Африки[9].