Циклин D1
Циклин D1 — это белок из семейства циклинов, специфически регулирующий фазовый переход G1 / S-фаза в клеточном цикле. У человека он кодируется геном CCND1, расположенным в хромосомном локусе 11q13.[5][6]
Что важно знать
Функция
Циклин D1 относится к семейству эволюционно очень консервативных белков — циклинов. Члены этого семейства характеризуются резкой зависимостью содержания этих белков в клетке от фазы клеточного цикла. Циклины функционируют как регуляторы так называемых циклин-зависимых киназ (CDK). Разные циклины проявляют разные паттерны экспрессии и деградации в различные фазы клеточного цикла. В комплексе всё это способствует строгой временнОй координации работы различных внутриклеточных сигнальных каскадов в течение каждого митотического события и правильному течению клеточного цикла. Так, в частности, циклин D1 образует комплекс с циклин-зависимыми киназами CDK4 и CDK6, и служит регуляторной субъединицей этих киназ (активирует их). В свою очередь, комплекс циклин D1 / CDK4 или циклин D1 / CDK6 активирует (фосфорилирует) так называемый белок ретинобластомы Rb (опухолевый супрессор), что способствует прогрессии клеточного цикла и переходу из G1 в S-фазу. А экспрессия гена циклина D1, в свою очередь, положительно регулируется белком Rb. Мутации, амплификация и избыточная экспрессия гена циклина D1, ускоряющая прогрессию клеточного цикла и деление клеток, часто наблюдается в различных опухолях и может способствовать онкогенезу (развитию опухолей).
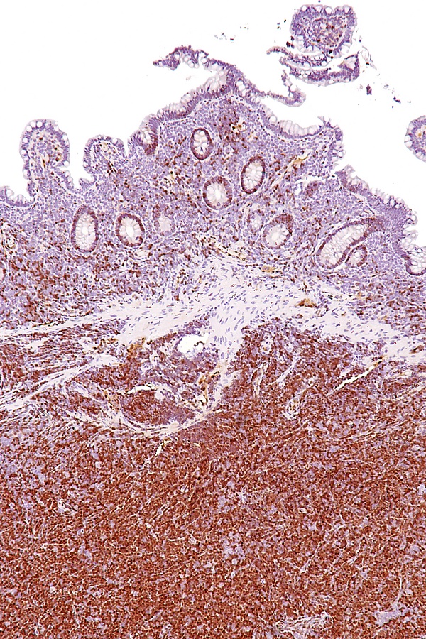
Иммуногистохимическое окрашивание на циклин D1 используется для диагностики мантийноклеточной лимфомы.
Было также обнаружено, что циклин D1 избыточно экспрессируется в клетках рака молочной железы. Было предложено его использование в качестве потенциального биомаркера.[7]
Взаимодействия
Циклин D1 взаимодействует со следующими белками и генами:
Дополнительное чтение
- Akita H. [Prognostic importance of altered expression of cell cycle regulators in lung cancer] (англ.) // Nippon Rinsho : journal. — 2003. — Vol. 60 Suppl 5. — P. 267—271. — PMID 12101670.
- Chung D. C. Cyclin D1 in human neuroendocrine: tumorigenesis (англ.) // Annals of the New York Academy of Sciences : journal. — 2004. — Vol. 1014. — P. 209—217. — doi:10.1196/annals.1294.022. — PMID 15153436.
- Jain S., Khuri F. R., Shin D. M. Prevention of head and neck cancer: current status and future prospects (англ.) // Current Problems in Cancer : journal. — 2004. — Vol. 28, no. 5. — P. 265—286. — doi:10.1016/j.currproblcancer.2004.05.003. — PMID 15375804.
- Gladden A. B., Diehl J. A. Location, location, location: the role of cyclin D1 nuclear localization in cancer (англ.) // Journal of Cellular Biochemistry : journal. — 2006. — Vol. 96, no. 5. — P. 906—913. — doi:10.1002/jcb.20613. — PMID 16163738.
- Walker J. L., Assoian R. K. Integrin-dependent signal transduction regulating cyclin D1 expression and G1 phase cell cycle progression (англ.) // Cancer Metastasis Rev. : journal. — 2006. — Vol. 24, no. 3. — P. 383—393. — doi:10.1007/s10555-005-5130-7. — PMID 16258726.
- Gautschi O., Ratschiller D., Gugger M., et al. Cyclin D1 in non-small cell lung cancer: a key driver of malignant transformation (англ.) // Lung Cancer : journal. — 2007. — Vol. 55, no. 1. — P. 1—14. — doi:10.1016/j.lungcan.2006.09.024. — PMID 17070615.
- Li Z., Wang C., Prendergast G. C., Pestell R. G. Cyclin D1 functions in cell migration (англ.) // Cell Cycle : journal. — 2007. — Vol. 5, no. 21. — P. 2440—2442. — doi:10.4161/cc.5.21.3428. — PMID 17106256.
- Tao Zhang, Breslin M. B., Lan M. S. Zinc Finger Transcription Factor INSM1 Interrupts Cyclin D1 and CDK4 Binding and Induces Cell Cycle Arrest (англ.) // J. Biol. Chem. : journal. — 2009. — Vol. 284, no. 9. — P. 5574—5581. — doi:10.1074/jbc.M808843200. — PMID 19124461. — PMC 2645817.
- Inaba T., Matsushime H., Valentine M., et al. Genomic organization, chromosomal localization, and independent expression of human cyclin D genes (англ.) // Genomics : journal. — Academic Press, 1992. — Vol. 13, no. 3. — P. 565—574. — doi:10.1016/0888-7543(92)90126-D. — PMID 1386335.
- Schuuring E., Verhoeven E., Mooi W. J., Michalides R. J. Identification and cloning of two overexpressed genes, U21B31/PRAD1 and EMS1, within the amplified chromosome 11q13 region in human carcinomas (англ.) // Oncogene (журнал) : journal. — 1992. — Vol. 7, no. 2. — P. 355—361. — PMID 1532244.
- Seto M., Yamamoto K., Iida S., et al. Gene rearrangement and overexpression of PRAD1 in lymphoid malignancy with t(11;14)(q13;q32) translocation (англ.) // Oncogene (журнал) : journal. — 1992. — Vol. 7, no. 7. — P. 1401—1406. — PMID 1535701.
- Rosenberg C. L., Wong E., Petty E. M., et al. PRAD1, a candidate BCL1 oncogene: mapping and expression in centrocytic lymphoma (англ.) // Proceedings of the National Academy of Sciences of the United States of America : journal. — 1991. — Vol. 88, no. 21. — P. 9638—9642. — doi:10.1073/pnas.88.21.9638. — PMID 1682919. — PMC 52773.
- Xiong Y., Connolly T., Futcher B., Beach D. Human D-type cyclin (англ.) // Cell. — Cell Press, 1991. — Vol. 65, no. 4. — P. 691—699. — doi:10.1016/0092-8674(91)90100-D. — PMID 1827756.
- Withers D. A., Harvey R. C., Faust J. B., et al. Characterization of a candidate bcl-1 gene (англ.) // Molecular and Cellular Biology : journal. — 1991. — Vol. 11, no. 10. — P. 4846—4853. — PMID 1833629. — PMC 361453.
- Tsujimoto Y., Yunis J., Onorato-Showe L., et al. Molecular cloning of the chromosomal breakpoint of B-cell lymphomas and leukemias with the t(11;14) chromosome translocation (англ.) // Science : journal. — 1984. — Vol. 224, no. 4656. — P. 1403—1406. — doi:10.1126/science.6610211. — PMID 6610211.
- Hall M., Bates S., Peters G. Evidence for different modes of action of cyclin-dependent kinase inhibitors: p15 and p16 bind to kinases, p21 and p27 bind to cyclins (англ.) // Oncogene (журнал) : journal. — 1995. — Vol. 11, no. 8. — P. 1581—1588. — PMID 7478582.
- Tassan J. P., Jaquenoud M., Léopold P., et al. Identification of human cyclin-dependent kinase 8, a putative protein kinase partner for cyclin C (англ.) // Proceedings of the National Academy of Sciences of the United States of America : journal. — 1995. — Vol. 92, no. 19. — P. 8871—8875. — doi:10.1073/pnas.92.19.8871. — PMID 7568034. — PMC 41069.
- Fornaro M., Dell'Arciprete R., Stella M., et al. Cloning of the gene encoding Trop-2, a cell-surface glycoprotein expressed by human carcinomas (англ.) // International Journal of Cancer : journal. — 1995. — Vol. 62, no. 5. — P. 610—618. — doi:10.1002/ijc.2910620520. — PMID 7665234.
- Motokura T., Arnold A. PRAD1/cyclin D1 proto-oncogene: genomic organization, 5' DNA sequence, and sequence of a tumor-specific rearrangement breakpoint (англ.) // Genes, Chromosomes and Cancer : journal. — 1993. — Vol. 7, no. 2. — P. 89—95. — doi:10.1002/gcc.2870070205. — PMID 7687458.
- Gao, F., Zhou, L., Li, M., Liu, W., Yang, S., & Li, W. (2020). Inhibition of ERKs/Akt-Mediated c-Fos Expression Is Required for Piperlongumine-Induced Cyclin D1 Downregulation and Tumor Suppression in Colorectal Cancer Cells. OncoTargets and therapy, 13, 5591. doi:10.2147/OTT.S251295 PMC 7304781 PMID 32606774
- Cao, L., Liu, Y., Wang, D., Huang, L., Li, F., Liu, J., ... & Zhang, Y. (2018). MiR-760 suppresses human colorectal cancer growth by targeting BATF3/AP-1/cyclinD1 signaling. Journal of Experimental & Clinical Cancer Research, 37(1), 1-14. doi:10.1186/s13046-018-0757-8 PMC 5902951 PMID 29661228 BATF3 образует комплекс с c-Jun в составе AP-1 на промоторе циклина D1 и контролирует экспрессию циклина D1



