Смена зубов
Смена зубов — замена одного поколения зубов другим. У позвоночных, имеющих зубы, может быть одна смена зубов (дифиодонти́зм или дифиодонтия — два поколения) или их может быть много (полифиодонтизм). Также может не быть смены зубов (монофиодонтизм).
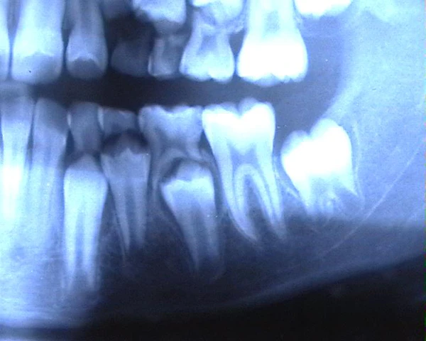
Физиология смены зубов
Источником формирования закладок эмалевых органов постоянных зубов служит зубная пластинка.
В современной литературе выделяют четыре основные теории, объясняющие механизм прорезывания зубов (В.Л. Быков, 1998 г):
- Теория роста корня зуба.
- Повышение гидростатического давления в периапикальной зоне или пульпе зуба.
- Перестройка костной ткани.
- Тяга периодонта.
Животные с одним поколением зубов
Монофиодонтизм характерен для рукокрылых, некоторых неполнозубых, китообразных.
У неполнозубых все зубы однородные, колышковидной формы с одним корнем, с постоянным ростом в течение жизни.
У всех китов зубы имеются в эмбриональном состоянии, но у усатых китов атрофируются, не прорезываясь, и заменяются бахромчатыми роговыми пластинами так называемого китового уса. У зубатых китов зубы конические, однородные, недифференцированные на резцы, клыки и коренные.
Дифиодонтные животные (два поколения)
Наличие двух поколений (генераций) зубов свойственно большинству млекопитающих.
Первое поколение — молочные зубы, второе — постоянные.
Первый зуб-моховик появляется у ребенка на шестом месяце жизни. К трем годам прорезываются почти все молочные зубы. В шесть лет молочные зубы начинают замещаться первыми постоянными зубами, заканчивается их замена к тринадцати годам. Четыре коренных зуба (зубы мудрости) обычно появляются после 18 лет.
У взрослого человека имеется от 28 до 32 постоянных зубов (8 резцов, 4 клыка, 8 малых коренных и 8-12 больших коренных). Состав зубов принято выражать зубной формулой: -- 2 резца, 1 клык, 2 малых и 3 больших коренных зуба.
Зачаток постоянного зуба отделен от корня молочного тонкой костной пластинкой. С развитием зачатка постоянного зуба последний начинает давить на костную перегородку. В окружающей соединительной ткани появляются остеокласты, которые и разрушают эту перегородку. Далее процесс начинает идти с двух сторон -- с поверхности корня с помощью остеокластов и со стороны пульпы. Пульпа молочного зуба постепенно превращается в грануляционную ткань, богатую кровеносными сосудами и остеокластами, которая разрушает дентин. Процесс заканчивается полным рассасыванием корней молочных зубов, оставляя одну коронку, которую легко удаляют иногда сами дети или выталкивает растущий постоянный зуб. Прорезывание постоянных зубов не сопровождается какими-либо болезненными изменениями со стороны организма ребенка, как это наблюдается в период прорезывания молочных зубов. Исключение составляют зубы мудрости, которые прорезываются в возрасте от 17 до 25 лет и старше.
Полифиодонтные животные
Наблюдается у низших позвоночных, например у рыб. Среди высших позвоночных свойственна рептилиям.
Смена зубов у зубастых птиц
Одонторниты, существовавшие в меловом периоде, имели зубы на верхнечелюстных и нижнечелюстных костях, но неясно как происходила смена зубов, и происходила ли она вообще.


