Плазморрагия
Плазморрагия — выход плазмы из кровеносного русла. Следствием плазморрагии является пропитывание плазмой стенки сосуда и окружающих тканей, или плазматическое пропитывание. Является одним из проявлений нарушенной сосудистой проницаемости, обеспечивающей в норме транскапиллярный обмен.
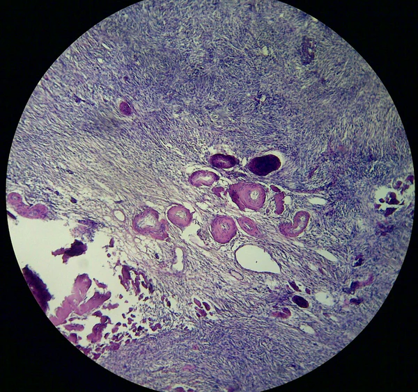
Причины плазморрагии кроются в патологическом увеличении сосудистой проницаемости, обеспечивающей в норме транскапиллярный обмен. При крайней степени плазморрагии возникает фибриноидный некроз. Эндотелий истончается, в нем появляются фенестры (окна) и туннели, широкие межклеточные щели, целостность базальной мембраны нарушается. Для плазморрагии различают транс- и интерэндотелиальные пути.
Патогенез плазморрагии и плазматического пропитывания определяется двумя основными условиями — повреждением сосудов микроциркуляторного русла и изменениями констант крови, способствующими повышению сосудистой проницаемости. Повреждение микрососудов связано чаще всего с нервно-сосудистыми нарушениями (спазм), тканевой гипоксией, иммунопатологическими реакциями. Изменения крови, способствующие плазморрагии, сводятся к увеличению содержания в плазме вазоактивных веществ (гистамин, серотонин), естественных антикоагулянтов (гепарин, фибринолизин), грубодисперсных белков, липопротеидов, появлению иммунных комплексов, нарушению реологических свойств. Плазморрагия встречается наиболее часто при гипертонической болезни, атеросклерозе, декомпенсированных пороках сердца, инфекционных, инфекционно-аллергических и аутоиммунных заболеваниях.
В исходе плазматического пропитывания развиваются фибриноидный некроз и гиалиноз сосудов. Значение плазморрагии заключается прежде всего в нарушениях транскапиллярного обмена, ведущих к структурным изменениям органов и тканей.
Литература
Струков, А. И.Патологическая анатомия : учебник / А. И. Струков, В. В. Се ров ; под ред. В. С. Паукова. — 6-е изд., перераб. и доп. — М. ГЭОТАР-Медиа, 2015. - 880 с.: ил. ISBN 978-5-9704-3260-0


