Вещество Ниссля
Вещество Ниссля (базофильное вещество Ниссля, хроматофильное вещество Ниссля, тигроидное вещество, тигроид) — скопления уплощённых цистерн гранулярной эндоплазматической сети[1], выявляемые в нейроне с помощью метода окраски по Нисслю.
История открытия
Открыта Францем Нисслем с помощью его метода окраски, изобретённого им в студенческие годы (метиленовым синим с последующим промыванием спиртом).
Описание
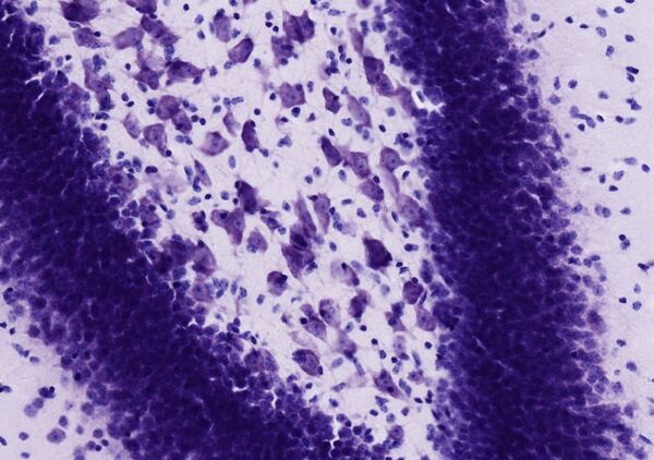
Долгое время базофильное вещество Ниссля рассматривалось как таинственная материальная субстанция, неким образом определяющая свойства нервных клеток. Однако, впоследствии с помощью электронной микроскопии выяснилось, что базофильное вещество — не что иное, как скопление уплощённых цистерн гранулярной эндоплазматической сети, расположенных параллельно друг другу, которые при окрашивании специальными красителями выявляются в виде базофильных зёрен или глыбок.
Базофильные глыбки локализуются в перикарионе и дендритах, но никогда не обнаруживаются в нейритах и их конусовидных основаниях (аксонных холмиках)[1]. Большое содержание рибонуклеопротеидов и белково-полисахаридных комплексов в базофильных глыбках свидетельствуют о интенсивно происходящих в нейронах процессах синтеза нейросекреторных белков, интегральных белков плазмолеммы и белков лизосом[2], обеспечивающих поддержание массы перикарионов, отростков и их синаптической функции. Базофилия обусловлена большим количеством РНК в составе рибосом[1].



